Clinical Medical Reviews and Case Reports
Recurrent Ischemic Strokes as the First Manifestation of A Pancreatic Cancer
Rosaria Renna*
Multiple Sclerosis Center, Neurology Unit, Regina Elena National Cancer Institute, IFO, Italy
*Corresponding author: Rosaria Renna, Multiple Sclerosis Center, Neurology Unit, Regina Elena National Cancer Institute, IFO, Rome, Italy, Tel: +393488124880, Fax: +390635501909, E-mail: rosrenna@yahoo.it
Clin Med Rev Case Rep, CMRCR-2-013, (Volume 2, Issue 1), Case Report; ISSN: 2378-3656
Received: December 10, 2014 | Accepted: January 01, 2015 | Published: January 03, 2015
Citation: Renna R (2015) Recurrent Ischemic Strokes as the First Manifestation of A Pancreatic Cancer. Clin Med Rev Case Rep 2:013. 10.23937/2378-3656/1410013
Copyright: © 2015 Renna R. This is an open-access article distributed under the terms of the Creative Commons Attribution License, which permits unrestricted use, distribution, and reproduction in any medium, provided the original author and source are credited.
Keywords
Stroke, Hypercoagulable state, MRI, Pancreatic cancer
Case Report
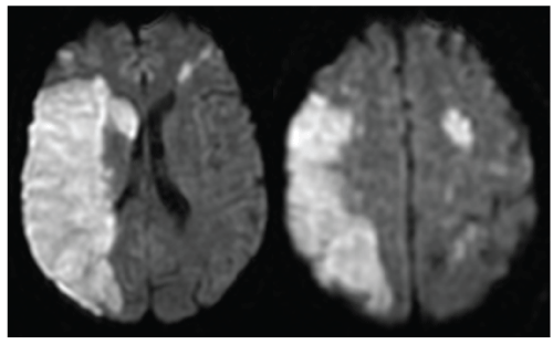
A 56-year-old Caucasian woman presented to the Emergency Department of our hospital with acute headache and a speech disorder characterized by mild aphasia and dysarthria. She had a history of arterial hypertension and nicotism for several years. Neurological evaluation at admission revealed mild motor aphasia and dysarthria (NIHSS: 2). Brain computed tomography (CT) showed two hypodense lesions, in the left temporal and the right frontal lobes respectively. Results of laboratory tests revealed elevated values of serum lactate dehydrogenase (753 UI/l), gamma-glutamyltransferase (195UI/l), alanine-aminotransferase (114UI/l) and thrombocytopenia (platelet count 76 x 10^9/l). Glucose, Hb1Ac, lipid asset, and homocysteina levels were all within normal values. Hematologic tests, including protein C, protein S, anti-thrombin III, antiphospholipid antibodies, activated protein C resistance secondary to factor V Leiden, and prothrombin G20210A mutation screening were normal. Three days after admission the patient acutely presented left hemiplegia and hemihypoesthesia (NIHSS: 16). Brain Magnetic Resonance Imaging (MRI) showed multiregional and bilateral acute ischemic lesions, especially in the right middle cerebral artery territory (Figure 1). Carotid doppler ultrasound scan and transthoracic echocardiography revealed normal findings. A 24-Hour ECG Monitoring did not revealed arrhythmias. On the basis of the clinical picture a paraneoplastic process was suspected. Tumoral screening was found positive for CYFRA 21-1 (78.53 ng/ml) and CA 125 (125.2 U/ml). A total body CT scan revealed a carcinoma of the pancreas localized in the body-tail, sized 7cm, and multiple hepatic metastasis. Moreover, multiple ischemic lesions of the spleen and the kidneys were detected. The patient was diagnosed with recurrent strokes in a cancer-related hypercoagulable state. An anticoagulation therapy with low molecular weight heparin (enoxaparin, 4000 U every 12 hours) was started, but patient’s clinical conditions rapidly worsened and she died two weeks later.
Figure 1: Brain MRI
Axial diffusion-weighted imaging (DWI) MR images showing a large hyperintense lesion in the right middle cerebral artery territory (A) and fronto-parietal hyperintense lesions in the left hemisphere consistent with infarctions (B)
View Figure 1
Secondary hypercoagulable states are acquired conditions associated with a predisposition to venous thrombosis (including upper and lower extremity deep venous thrombosis with or without pulmonary embolism, and cerebral venous thrombosis), arterial thrombosis (including myocardial infarction, stroke, splanchnic and limb ischemia), or both. Secondary hypercoagulable states include cancers, myeloproliferative syndromes, antiphospholipid antibodies , and hyperhomocysteinemia. Indeed, it has been well established the association between cancers and thrombosis. The clinical manifestations of cancer-related thromoembolism include spontaneous recurrent migratory venous thrombosis, arterial thrombosis, microangiopathy, non bacterial thrombotic endocarditis, acute or chronic disseminated intravascular coagulation [1]. The malignancies most commonly associated with thrombosis are myeloproliferative syndromes, paraprotein disorders and solid cancers of the lung, colon, gallbladder, stomach, ovary and pancreas [2]. Pancreatic cancer is associated with the highest risk of venous thromboembolism, while arterial thromboembolic events present with an incidence of only 2-5% [3]. Among arterial thromboembolic events, myocardial infarction and stroke are the most common manifestations. Cancer-related hypercoagulable state is a complex and not completely understood phenomenon. Indeed, it depends by different mechanisms, such as the production of procoagulant molecules activating coagulation and the fragmentation and embolization of intracardiac or intravascular metastases. In rare cases, ischemic stroke can be the first manifestation of an undiagnosed pancreatic carcinoma [4]; so when a hypercoagulable state is suspected as the cause of the stroke, undiagnosed malignancy should be always searched.
References
-
Sack GH Jr, Levin J, Bell WR (1977) Trousseau's syndrome and other manifestations of chronic disseminated coagulopathy in patients with neoplasms: clinical, pathophysiologic, and therapeutic features. Medicine (Baltimore) 56: 1-37.
-
Bick RL (1992) Coagulation abnormalities in malignancy: a review. Semin Thromb Hemost 18: 353-372.
-
Epstein AS, Soff GA, Capanu M, Crosbie C, Shah MA, et al. (2012) Analysis of incidence and clinical outcomes in patients with thromboembolic events and invasive exocrine pancreatic cancer. Cancer 118: 3053-3061.
-
Giray S, Sarica FB, Arlier Z, Bal N (2011) Recurrent ischemic stroke as an initial manifestation of an concealed pancreatic adenocarcinoma: Trousseau's syndrome. Chin Med J (Engl) 124: 637-640.

