Obstetrics and Gynaecology Cases - Reviews
Intestinal Obstruction due to Endometriosis Involving Atypical Hyperplasia: A Case Report
Mehmet B. Senturk1*, Hakan Guraslan2, Bülent Babaoglu2 and Mesut Polat1
1Department of Obstetrics and Gynecology, Zeynep Kamil Gynecologic and Pediatric Training and Research Hospital, Turkey
2Departments of Obstetrics and Gynecology, Bakirkoy Dr Sadi Konuk Teaching and Research Hospital, Turkey
*Corresponding author: Mehmet B. Senturk, Department of Obstetrics and Gynecology, Zeynep Kamil Gynecologic and Pediatric Training and Research Hospital, Opr. Dr. Burhanettin Ustunel Cad. No:10, Uskudar, Istanbul 34668, Turkey, Tel: +905417737176, Fax: +90 216 391 06 90, E-mail: dr.baki77@gmail.com
Obstet Gynecol Cases Rev, OGCR-2-051, (Volume 2, Issue 4), Case Report; ISSN: 2377-9004
Received: June 26, 2015 | Accepted: July 21, 2015 | Published: July 24, 2015
Citation: Senturk MB, Guraslan H, Babaoglu B, Polat M (2015) Intestinal Obstruction due to Endometriosis Involving Atypical Hyperplasia: A Case Report. Obstet Gynecol Cases Rev 2:051. 10.23937/2377-9004/1410051
Copyright: © 2015 Senturk MB, et al. This is an open-access article distributed under the terms of the Creative Commons Attribution License, which permits unrestricted use, distribution, and reproduction in any medium, provided the original author and source are credited.
Abstract
Intestinal endometriosis is not a rare entity. However, malignant transformation and emergency clinical table such as intestinal obstruction due to endometriosis are rare. This is an important condition because it requires a multidisciplinary approach and careful pathologic intervention especially in mass lesions. The case is here presented of a patient who underwent laparotomy in the emergency surgery clinic because of intestinal obstruction. The pathology analysis revealed atypical endometrial hyperplasia in the endometriotic foci of the recto-sigmoid colon.
Introduction
Approximately 15%-37% of patients with endometriosis have intestinal involvement [1-3]. The majority of these are located in the recto-sigmoid (65.7%) and sigmoid (17.4%) [4]. Particularly, if a mass has formed in these regions or if intestinal mucosa has been reached, an emergency clinical table may be seen such as abdominal pain, rectal bleeding, diarrhea and occasionally intussusception and ileus [5-7]. When the mass grows and the area of involvement intensifies, even though it is rare, precancerous or cancerous changes may be seen [8].
The clinical case is here presented of a patient who underwent emergent laparotomy because of intestinal obstruction.
Case
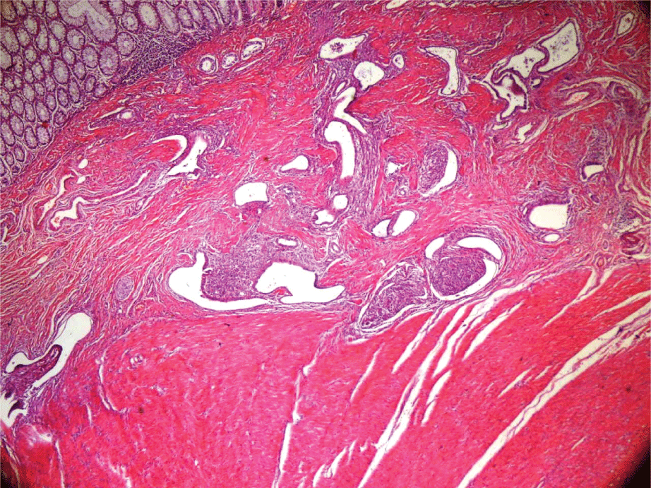
A 39-year old gravida 3 patient who presented with complaints of nausea, vomiting and no discharge of faeces or gas for 2 days was admitted to the emergency clinic with an initial diagnosis of ileus. The patient had previously been operated on for ovarian endometrioma at another clinic and was being followed up for pain associated with endometriosis. On the tomography image, a mass, 3.5-4.5cm in diameter, was observed in the recto-sigmoid region obliterating the lumen. In addition, proximal to this mass, the colon reached a diameter of 8cm. The preoperative haemogram and full urine test biochemistry values were examined. The patient was admitted for laparotomy and a colostomy was opened by resection from the recto-sigmoid region. In both ovaries, endometrioma of 5cm were observed, which had moved towards the Douglas pouch in the left ovary and widespread endometriotic foci were observed over the broad ligament attached to the Douglas pouch. A diagnosis of Grade 4 endometriosis was made [9]. As advanced stage endometriosis was determined in the patient, there was a history of endometrioma surgery and she was being followed up for pain, a total abdominal hysterectomy and bilateral oopherectomy were applied at the same session for definitive treatment. No problems were experienced in the postoperative period and the patient was discharged on the 7th day. The mass was causing a serosal adhesion and extending 3.5 x 3 x 3cm within the intestinal lumen at 25cm length and 10cm width. Microscopic images of the mass are shown in figures 1 and 2. The intestine was seen with transmural lumen involvement, showing frequent changes in the endometriotic tissue and atypical hyperplasia in focal areas. On the posterior surface of the uterus, focal endometriotic tissue was observed and findings were seen of endometrium delayed secretion. In accordance with the decision of the general surgeon, the colostomy was closed after 2 weeks and end-to-end anastomosis was applied.
Discussion
Since the first report of malignant transformation in ovarian endometriosis by Sampson [10], there have been several reports on the malignant transformation of an endometriosis focal point [11-13]. The majority of endometriosis cases involve serosal surfaces in the gastrointestinal system. As there are few studies in literature on the relationship between the size of the mass in intestinal endometriosis and malignant transformation, there is a need for studies on this subject [8,14-16].
In the majority of patients with these lesions, changes in intestinal habits, rectal bleeding, abdominal cramps or vaginal bleeding may be seen [8]. However, the number of cases presenting with an emergency clinical table such as intussusception or intestinal obstruction is extremely low [5,7,8,17,18]. Aronchick et al. [14] reported the first case of endometriosis who presented with ileocolic intussusception and bleeding. Then Deneve et al. [19] presented the case of a 43-year old patient with non-reductable ileocolic intussusception and obstruction. In the majority of endometriosis showing subserosal location, especially when the muscle layer has started to be invaded, colonic passage is slowed by impairment of colon peristalsis. Together with transmural involvement, adhesion caused by significant inflammation may result in mural fibrosis with obstruction [5]. In addition, the mass formation caused by endometriosis may cause an obstruction in the lumen by extending in a polypoid way towards the lumen interior [5,14,15,20,21]. In the current case, the transmural involvement together with extension into the lumen had caused the obstruction. Yantiss et al. [8] reported a series of 17 patients including 2 patients determined with endometrial hyperplasia. One of these patients presented with intestinal habit dysfunction and the other with obstruction. Both patients were observed to have a 3.5cm mass and in the patient with obstruction, the mass in the sigmoid colon had destroyed the mucosa, as in the current case.
It is well known that exogenous estrogen treatment can cause precancerous or cancerous lesions in endometriotic tissue [22]. There have been previous reports on the relationship between estrogen treatment and precancerous or cancerous lesions in gastrointestinal endometriotic foci. Dunn et al. [23] presented a case of endometrioid adenocarcinoma in the ovarian endometriosis of a postmenopausal patient taking tamoxifen for breast cancer. In a report by Yantiss et al. [8], 8 of 17 cases had previously taken unopposed estrogen and had previously undergone total abdominal hysterectomy and bilateral salpingo-oopherectomy. In 3 of these patients, adenocarcinoma developed; adenocarcinoma in situ in 1, atypical endometrial hyperplasia in 2, adenosarcoma in 1 and adenofibroma showing borderline malignancy in 1. It was reported that unopposed estrogen had a potential effect on the development of precancerous or cancerous lesions in endometriotic foci and pathologists should take this into account when examining endometriotic foci.
Endometriosis may be accompanied by clear cell ovarian cancer at a rate of 30-40% and high grade serous ovarian carcinoma at less than 10% [24]. Endometriotic tissue adjacent or attached to endometriotic tissue of normal appearance may hold cytologically atypical or obvious cancer tissue. Good evidence showing the relationship between this endometriosis and cancer has also reported a molecular and genetic relationship. The mutation causing loss of function of the ARID 1A gene has been seen in foci as atypical and cancer tissue together [25,26]. In addition, the CTNNB1 gene mutation has been reported in tissue formed of clear cell carcinoma, endometriotic ovarian carcinoma and atypical endometriosis together [27]. Furthermore, in atypical endometriosis tissue which is included in carcinoma tissue, endometrial receptor expression continues and HNF 1B gene expression is reduced [27].
Sometimes difficulties may be encountered in the differential diagnosis of neoplasm occurring in the endometrial tissue from neoplasm originating in the epithelium or gastrointestinal normal mucosa. This differentiation is even more difficult in masses which have extended into the lumen, therefore awareness of these types of lesions and careful examination by pathologists is important. Masses which are under the endometriosis support endometriotic adenocarcinoma, while atrophic gland and stroma may develop due to excessive growth of the lesion and neoplastic tissue may be seen [8]. The location of the neoplastic tissue may be helpful in the differential diagnosis. Primary colonic cancer always involves the mucosa. When there are coexisting adenomatous changes in the mucosa, and are often associated with adenomatous changes or a neoplastic polyp in the adjacent epithelium [8].
Preneoplastic or neoplastic changes with intestinal pathologies of endometriosis are extremely rare. Apart from the ovary, the area of most involvement is the colon and therefore symptoms often mimic colon diseases. Thus, a multidisciplinary approach with general surgeons is required for clinicians for the diagnosis and treatment of colonic endometriosis. In addition, careful microscopic examination must be made of the resected material, particularly in cases with a large or widespread mass.
References
-
Croom RD 3rd, Donovan ML, Schwesinger WH (1984) Intestinal endometriosis. Am J Surg 148: 660-667.
-
Prystowsky JB, Stryker SJ, Ujiki GT, Poticha SM (1988) Gastrointestinal endometriosis. Incidence and indications for resection. Arch Surg 123: 855-858.
-
Sapmson JA (1992) Intestinal adenomas of endometrial type: their importance and their relation to ovarian hematomas of endometrial type (perforating hemorrhagic cysts of the ovary. Arch Surg 5: 217-280
-
Chapron C, Chopin N, Borghese B, Foulot H, Dousset B, et al. (2006) Deeply infiltrating endometriosis: pathogenetic implications of the anatomical distribution. Hum Reprod 21: 1839-1845.
-
Yantiss RK, Clement PB, Young RH (2001) Endometriosis of the intestinal tract: a study of 44 cases of a disease that may cause diverse challenges in clinical and pathologic evaluation. Am J Surg Pathol 25: 445-454.
-
Busard MP, van der Houwen LE, Bleeker MC, Pieters van den Bos IC, Cuesta MA, et al. (2012) Deep infiltrating endometriosis of the bowel: MR imaging as a method to predict muscular invasion. Abdom Imaging 37: 549-557.
-
Emmanuel R, Léa M, Claude P, Antonio V, Marianne Z, et al. (2012) Ileocolic intussusception due to a cecal endometriosis: case report and review of literature. Diagn Pathol 7: 62.
-
Yantiss RK, Clement PB, Young RH (2000) Neoplastic and pre-neoplastic changes in gastrointestinal endometriosis: a study of 17 cases. Am J Surg Pathol 24: 513-524.
-
(1985) Revised American Fertility Society classification of endometriosis: 1985. Fertil Steril 43: 351-352.
-
Sampson JA (1921) Perforating hemorrhagic cysts of the ovary: their importance and especially their relationship to pelvic adenomas of endometrial type. Arch Surg 3: 245-323.
-
Heaps JM, Nieberg RK, Berek JS (1990) Malignant neoplasms arising in endometriosis. Obstet Gynecol 75: 1023-1028.
-
Mittal VK, Choudhury SP, Cortez JA (1981) Endometriosis of the appendix presenting as acute appendicitis. Am J Surg 142: 519-521.
-
Scully RE, Richardson GS, Barlow JF (1966) The development of malignancy in endometriosis. Clin Obstet Gynecol 9: 384-411.
-
LiVolsi VA, Perzin KH (1974) Endometriosis of the small intestine, producing intestinal obstruction or simulating neoplasm. Am J Dig Dis 19: 100-108.
-
Sievert W, Sellin JH, Stringer CA (1989) Pelvic endometriosis simulating colonic malignant neoplasm. Arch Intern Med 149: 935-938.
-
Brooks JJ, Wheeler JE (1977) Malignancy arising in extragonadal endometriosis: a case report and summary of the world literature. Cancer 40: 3065-3073.
-
Le Meaux JP, Sangana G, Panel P, Raynal P (2007) [Digestive endometriosis of the caecum and intussusception: about one case]. Gynecol Obstet Fertil 35: 1232-1234.
-
Indraccolo U, Trevisan P, Gasparin P, Barbieri F (2010) Cecal endometriosis as a cause of ileocolic intussusception. JSLS 14: 140-142.
-
Denève E, Maillet O, Blanc P, Fabre JM, Nocca D (2008) Ileocecal intussusception secondary to a cecal endometriosis. J Gynecol Obstet Biol Reprod (Paris) 37: 796-798.
-
Ozumba BC, Ojukwu JO, Anyaeze CM, Onuigbo WI (1993) Endometriosis of the rectum. Br J Obstet Gynaecol 100: 963-964.
-
Wynn TE (1971) Endometriosis of the sigmoid colon. Massive intramural hematoma. Arch Pathol 92: 24-27.
-
Reimnitz C, Brand E, Nieberg RK, Hacker NF (1988) Malignancy arising in endometriosis associated with unopposed estrogen replacement. Obstet Gynecol 71: 444-447.
-
Duun S, Roed-Petersen K, Michelsen JW (1993) Endometrioid carcinoma arising from endometriosis of the sigmoid colon during estrogenic treatment. Acta Obstet Gynecol Scand 72: 676-678.
-
Heidemann LN, Hartwell D, Heidemann CH, Jochumsen KM (2014) The relation between endometriosis and ovarian cancer - a review. Acta Obstet Gynecol Scand 93: 20-31.
-
Wiegand KC, Shah SP, Al-Agha OM, Zhao Y, Tse K, et al. (2010) ARID1A mutations in endometriosis-associated ovarian carcinomas. N Engl J Med 363: 1532-1543.
-
Jones S, Wang TL, Shih IeM, Mao TL, Nakayama K, et al. (2010) Frequent mutations of chromatin remodeling gene ARID1A in ovarian clear cell carcinoma. Science 330: 228-231.
-
Anglesio MS, Bashashati A, Wang YK, Senz J, Ha G, et al. (2015) Multifocal endometriotic lesions associated with cancer are clonal and carry a high mutation burden. J Pathol 236: 201-209.


