Obstetrics and Gynaecology Cases - Reviews
Conservative Management of Uterine Artery Pseudoaneurysm Rupture with Rectal Fistula after Laparoscopic Myomectomy and Review of the Literature
Gabbi L1 , Petrocelli F2 , Di Domenico S3 , Ferrero S1 and RemorgidaV1
1Department of Obstetric and Gynaecology, IRCCS San Martino-IST and University of Genoa, Italy
1Department of Diagnostic and Interventional Radiology, IRCCS San Martino-IST and University of Genoa, Italy
1 3Department of General Surgery, IRCCS San Martino-IST and University of Genoa, Italy
*Corresponding author: Laura Gabbi MD, Department of Obstetrics and Gynaecology, IRCCS San Martino-IST and University of Genoa, L.go Rosanna Benzi, 1 Pad 1 16131 Genova, Italy, Tel: 0105557723, Fax: 0105556714, E-mail: gabbi2@libero.it
Obstet Gynecol Cases Rev, OGCR-1-019, (Volume 1, Issue 2),Case Report; ISSN: 2377-9004
Received: November 17, 2014 | Accepted: December 14, 2014 | Published: December 17, 2014
Citation: Gabbi L, Petrocelli F, Di Domenico S, Ferrero S, Remorgida V (2014) Conservative Management of Uterine Artery Pseudoaneurysm Rupture with Rectal Fistula after Laparoscopic Myomectomy and Review of the Literature. Gynecol Cases Rev 1:019. 10.23937/2377-9004/1410019
Copyright: © 2014 Gabbi L, et al. This is an open-access article distributed under the terms of the Creative Commons Attribution License, which permits unrestricted use, distribution, and reproduction in any medium, provided the original author and source are credited.
Abstract
Late uterine hemorrhage caused by uterine artery pseudoaneurysm is a rare but life-threatening complication after uterine surgery. The association of uterine pseudoanerysm rupture causing rectal fistula has not been reported in literature as well as its management. Herein we report a case of massive late uterine bleeding and rectal bleeding after laparoscopic myomectomy.
A 43 year old Caucasian nulliparous woman underwent laparoscopic excision of 8 cm posterior intramural myoma. One month later she developed acute abdominal pain and proctorrhagia. A Computer Tomography scan (CT) demonstrated a 10 cm pelvic hematoma. The transvaginal ultrasound (TVU) showed 1 cm aneurism of the uterine artery. Transarterial angiography confirmed the ruptured uterine artery pseudoaneurysm that was successfully embolized. Repeated colonoscopy showed a rectal fistula. Total parenteral nutrition (TPN) and antibiotic prophylaxis were started. During the following month the intensity and frequency of proctorrhagia gradually declined. After four week of TPN colonoscopy confirmed a complete fistula healing. Oral feeding was gradually reintroduced. Two months later an ultrasound scan showed a complete resolution of the pelvic hematoma. To the best of our knowledge this the first described association of two rare complications: a pseudoaneurysm rupture and the subsequent rectal laceration successfully treated with embolization and conservative management.
Keywords
Uterine artery pseudoaneurysm, Rectal bleeding, Rectal fistula, Myomectomy
Introduction
Pseudoaneurysm of uterine artery (UAP) is a rare complication after gynecological, obstetric and pelvic surgery. Pseudoaneurysm is characterized by the absence of the three layers in its boundaries and by the presence of a peripheral thrombus [1] and this is the main difference with true aneurysm. The incidence of pseudoaneurysm formation is not well known because it can be silent, the delay of symptoms if rupture occurs [1] and the diagnosis is not easy. This event can be life-threatening if rupture happens. Isono [2] found that the interval between surgery and pseudoaneurysm rupture can vary between 3 to 60 days.
The main symptoms of rupture are methrorrhagia, abdominal pain and anemia. Diagnosis can be made with Ultrasonography (US), Color Doppler Ultrasonography (CDUS), Computer Tomography (CT), Magnetic Resonance Imaging (MRI) and angiography. The gold standard for treatment is transfemoral angiography with concomitant embolisation. We report a case of pseudoaneurysm rupture associated with bleeding from the rectum and conservative management along with a review of literature. A PubMed search of English literature was performed using: “uterine artery pseudoaneurysm” and “uterine artery pseudoaneurysm and rectal bleeding” .We found 106 articles, 105 for the first search and only one for the second. The latter refers to a case of locally advanced cervical [3]. In our knowledge our case should be the first of a ruptured UAP, after laparoscopic myomectomy, associated with proctorrhagia.
Case Report
A 43 years old nulliparous woman with sudden abdominal pain associated with rectal bleeding came to our attention in April 2013. A gasless laparoscopic myomectomy had been performed one month before (in another hospital) for the removal of an 8 cm intramural leyomioma, located on the posterior wall, causing severe methrorrhagia. Although procthorrhagia was not massive her hemoglobin concentration at admission was 10,4g/l, dropping to 8,4g/l after 3 hours. Leucocytosis was also present. She immediately underwent a CT scan showing the presence of a dyshomogenous mass behind the uterus of 10x7x8cm with a central hypodensepart (hematic). In the iliac fossa and above the rectum an hemorrhagic area was found presenting no clear cleavage plane from the bowel. The sigmoid tract appeared swalled and hyperhemic. Free fluid was present in the abdomen. A TVU was performed and showed the posterior wall of uterus discontinued with an adjacent hypo-hyperecogenic mass of 8 cm. The anechoic part was pulsing. The patient remained hemodynamic stable. After counseling with general surgeon we decided to perform transfemoral angiography with 4 Fr catheters introduced in the right femoral artery. During the exam the pseudoaneurysm was confirmed and embolisation was performed.
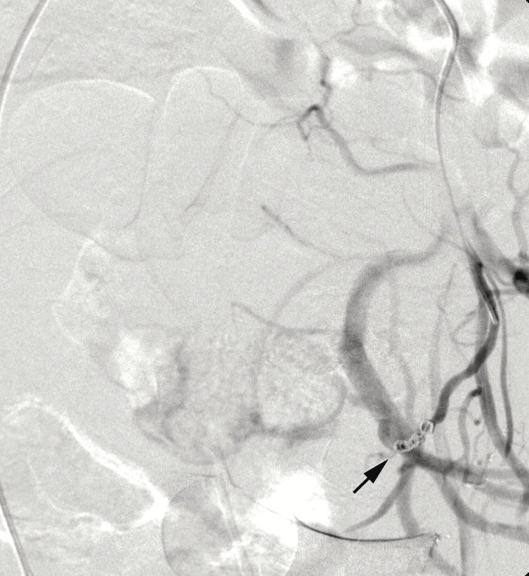
Angiographic control performed during procedure showed an important active bleeding from the pseudoaneurysm and so cyanoacrylate 1 ml was injected before metallic spirals to achieve complete embolization (Figure 1,2).
Figure 1: Angiogrphic finding of bleeding left UAP
View Figure 1
Figure 2: Left UAP embolisation
View Figure 2
Long term conservative management was decided along with the patient also in view of lack of interest for future pregnancy. Otherwise due to possible sequelae on fertility arising from severe pelvic infection such a decision should be taken only after a thorough discussion with the patient. Colonoscopy revealed the presence of rectal fistula explaining the observed procthorragia. Parenteral antibiotic therapy with Piperacillin and Tazobactam (2g+0,25g) and nutrition was administered daily. Abdominal pain decreased and stopped in few days while procthorragia disappeared in one week. Hemoglobin concentration raised and leucocitosis normalized in two weeks. Colonoscopy, repeated one month later, revealed the complete healing of the rectal fistula allowing a return to enteral nutrition. Two months after hospital discharge a normal pelvic finding with no visible hematoma was observed at follow-up TVU scan.
Discussion
This is the first described case of UAP rupture associated with rectal bleeding. The treatment of the pseudoaneurysm with transfemoral angiography and embolisation is the gold standard either to confirm the diagnosis or to treat the hemorrhage. In our case the expectant management avoided major surgery such as hysterectomy, bowel resection and protective colostomy. Few cases of pseudoaneurysm are reported in the literature. This is due to the rare frequency and also the difficult diagnosis.
Table 1 shows the summary of the 9 reported cases of postgynecologic surgical uterine artery pseudoaneurysms (including current case) found on PubMed search. Two cases occurred after hysterectomy 3 cases occurred after laparotomic myomectomy and the other 2 after laparoscopic myomectomy for intramural myoma. It is interesting to know that, on TVU scan, pseudoaneurysms have characteristic sonographic appearance consisting of pulsating anechoic or hypoechoic, well-defined cystic structure. This can be found with or without an associated pelvic hematoma or free fluid. Although color Doppler ultrasonography might help in establishing the diagnosis (by revealing blood flow within cystic structure after initial identification on gray-scale ultrasonography) one must remember that sensitivity of color Doppler is variable depending on the site of pseudoaneurysm [4]. Emergency angiography remains the gold standard for definitive diagnosis. Endovascular embolization is now the preferred method of management pelvic pseudoaneurysms [5,6] as shown in the reported 9 cases (Table 1). This technique has significant advantages over traditional surgery.
Table 1: Pseudoaneurysms of uterine artery after myomectomy reported in the literature (up to date December 2014)
View Table 1
References
-
Higon MA, Domingo S, Bauset C, Martinez J, Pellicer A (2007) Hemorrhage after myomectomy resulting from pseudoaneurysm of the uterine artery. Fertil Steril 87: 417.
-
Isono W, Tsutsumi R, Wada-Hiraike O, Fujimoto A, Osuga Y, et al. (2010) Uterine artery pseudoaneurysm after cesarean section: case report and literature review. J Minim Invasive Gynecol 17: 687-691.
-
Huang WY, Huang CY, Chen CA, Hsieh CY, Cheng WF (2008) Ruptured pseudoaneurysm of the external iliac artery in an advanced cervical cancer patient treated by endovascular covered stent placement. J Formos Med Assoc 107: 348-351
-
Saad NE, Saad WE, Davies MG, Waldman DL, Fultz PJ, et al. (2005) Pseudoaneurysms and the role of minimally invasive techniques in their management. Radiographics 25 Suppl 1: S173-189.
-
Vedantham S, Goodwin SC, McLucas B, Mohr G (1997) Uterine artery embolization: an underused method of controlling pelvic hemorrhage. Am J Obstet Gynecol 176: 938-948.
-
Lee WK, Roche CJ, Duddalwar VA, Buckley AR, Morris DC (2001) Pseudoaneurysm of the uterine artery after abdominal hysterectomy: radiologic diagnosis and management. Am J Obstet Gynecol 185: 1269-1272.
-
Wan AY, Shin JH, Yoon HK, Ko GY, Park S, et al. (2014) Post-operative hemorrhage after myomectomy: safety and efficacy of transcatheter uterine artery embolization. Korean J Radiol 15: 356-363.
-
Ito N, Natimatsu Y, Tsukada J, Sato A, Hasegawa I, et al. (2013) Two cases of postmyomectomy pseudoaneurysm treated by transarterial embolization. Cardiovasc Intervent Radiol 36: 1681-1685.
-
Takeda A, Koyama K, Imoto S, Mori M, Sakai K, et al. (2009) Early diagnosis and endovascular management of uterine artery pseudoaneurysm after laparoscopic-assisted myomectomy. Fertil Steril 92: 1487-1491.
-
Zorlu CG, Akar ME, Seker-Ari E, Yilmaz S, Sindel T (2005) Uterine artery embolization to control bleeding after myomectomy. Acta Obstet Gynecol Scand 84: 606-607.
-
Oishi H, Wada-Hiraike O, Osuga Y, Yano T, Kozuma S, et al. (2013) Spontaneous cessation and recurrence of massive uterine bleeding can occur in uterine artery pseudoaneurysm after laparoscopically assisted myomectomy. J Obstet Gynaecol Res 39: 598-602.
-
Takeda A, Koyama K, Imoto S, Mori M, Sakai K, et al. (2009) Early diagnosis and endovascular management of uterine artery pseudoaneurysm after laparoscopic-assisted myomectomy. Fertil Steril 92: 1487-1491.
-
Asai S, Asada H, Furuya M, Ishimoto H, Tanaka M, et al. (2009) Pseudoaneurysm of the uterine artery after laparoscopic myomectomy. Fertil Steril 91: 929.
