Journal of Clinical Gastroenterology and Treatment
Minimal Change Nephrotic Syndrome and Hodgkin's Lymphoma Associated with Adalimumab Therapy
James Brief1*, Anupama Chawla1, Kathleen Usmani1, Grace Gathungu1, Robert Woroniecki2, Daniel Coldren3 and Jeffrey Morganstern1
1Department of Pediatric Gastroenterology, Stony Brook Children's Hospital, Stony Brook, New York, USA
2Department of Pediatric Nephrology, Stony Brook Children's Hospital, Stony Brook, New York, USA
3Department of Pathology, Stony Brook University Hospital, Stony Brook, New York, USA
*Corresponding author:
James Brief, Department of Pediatric Gastroenterology, Stony Brook Children's Hospital, HSC T-11 080, 101 Nicolls Road, Stony Brook, NY 11794, USA, Tel: 631-444-8115, E-mail: james.brief@stonybrook.edu
J Clin Gastroenterol Treat, JCGT-2-014, (Volume 2, Issue 1), Case Report; ISSN: 2469-584X
Received: December 04, 2015 | Accepted: January 30, 2016 | Published: February 02, 2016
Citation: Brief J, Chawla A, Usmani K, Gathungu G, Woroniecki R, et al. (2016) Minimal Change Nephrotic Syndrome and Hodgkin's Lymphoma Associated with Adalimumab Therapy. J Clin Gastroenterol Treat 2:014. 10.23937/2469-584X/1510014
Copyright: © 2016 Brief J, et al. This is an open-access article distributed under the terms of the Creative Commons Attribution License, which permits unrestricted use, distribution, and reproduction in any medium, provided the original author and source are credited.
Abstract
Anti-TNF-α medications have become a mainstay of treatment of moderate to severe symptoms of diseases including inflammatory bowel disease, ankylosing spondylitis, psoriasis and arthritis. There are many well-known adverse effects of anti-TNF-α biologic agents, the most common of which are hypersensitivity-like symptoms of erythema, pruritus, nausea, vomiting and airway compromise. Rarer, more serious complications of anti-TNF-α biologic agents such as lymphoma have also been reported. To date, there have been a few cases in medical literature of nephrotoxic reactions following commencement of anti-TNF-α therapy. Our case report details the first reported case of minimal change nephrotic syndrome associated with the use of anti-TNF-α medications followed by the development of Hodgkin's lymphoma in a pediatric patient.
Keywords
Nephrotic syndrome, Inflammatory bowel disease, Crohn's disease, TNF-alpha inhibitor, Infliximab, Adalimumab, Vedolizumab
Abbreviations
IBD: Inflammatory Bowel Disease, TNF-α: Tumor Necrosis Factor-Alpha, CD: Crohn's Disease, MCNS: Minimal change nephrotic syndrome.
Introduction
Inhibitors of tumor necrosis factor alpha (TNF-α) are being used to treat diseases across an increasing number of numerous medical subspecialties. In pediatrics, these agents are often used successfully by gastroenterologists, dermatologists and rheumatologists to treat inflammatory bowel disease (IBD), psoriasis, ankylosing spondylitis and arthritis.
The most common adverse reactions encountered are infections (e.g. upper respiratory, sinusitis and pharyngitis), hypersensitivity (e.g. erythema, pruritus and airway compromise), headache, and abdominal pain [1]. Additional side effects include severe infections and development of autoimmune, dermatologic, cardiovascular and neurologic sequelae. Arguably the worst complication of these medications is the increased risk of lymphoma [2,3]. With a rate of 0.08-0.10 cases of lymphoma per 100 patient-years of follow up, this represents a four-fold increase of such malignancies as compared to the general population.
In addition to these adverse effects, there have been several reports of nephrotoxic reactions following commencement of anti-TNF-α therapy. Gupta reported a case of membranous glomerulonephritis in a 60 year-old male shortly after beginning adalimumab for treatment of Crohn's Disease (CD) [4]. Kaushik reported a case of membranous glomerulonephritis in a 60 year-old female undergoing treatment of ankylosing spondylitis with etanercept [5]. Chin and Stokes presented cases of glomerulonephritis in six patients aged 10-30 after treatment of rheumatoid arthritis with infliximab [6,7].
Case Report
The patient is a 16 year-old male with CD and no family history of IBD, nephrotic disease or hypertension. CD was diagnosed at age 15 after intestinal biopsies demonstrated severe disease in the terminal ileum, ascending and transverse colon. Initial attempts to treat his disease with 5-aminosalicylic acid (800 mg mesalamine TID) and 6-mercaptopurine (both 50 mg and 75 mg daily) were ineffective in controlling his gastrointestinal symptoms. After several hospitalizations for exacerbations of his IBD a decision was made to begin anti-TNF-α therapy with infliximab at a dose of 5 mg/kg. Unfortunately, during his fourth infusion the patient experienced symptoms of dyspnea, facial flushing and throat tightness.
Due to his adverse reaction to infliximab the patient was switched to adalimumab. While infliximab is a chimeric IgG antibody derived from both mice and humans and administered intravenously, adalimumab is a 100% human derived monoclonal antibody against TNF-α. It has been shown to be well tolerated in a large portion of patients who have had adverse reactions to infliximab [8].
The patient's gastrointestinal symptoms of pain and bloody diarrhea subsided within a week of commencing adalimumab therapy at a dose of 40 mg. Over the subsequent six weeks he had no adverse reactions with his next three injections.
A week following the fourth dose of adalimumab the patient presented to the emergency department with complaints of edema of the scrotum, face, legs and feet. Initial laboratory work showed hypoalbuminemia of 1.2 g/dL, elevated creatinine of 1.3 mg/dL and urinalysis revealed a urine protein: creatinine ratio of 5.58 (urine protein: creatinine ratio in nephrotic syndrome is defined as being ≥ 3) [9]. The patient was also found to be hypertensive with systolic blood pressure over 150 mm Hg. A renal biopsy was performed. While glomeruli appeared normal under light microscopy (Figure 1), effacement of the foot processes was visualized under electron microscopy (Figure 2). Trace (scale 0-3) focal and segmental granular mesangial staining for IgM and trace to 1+ arteriolar staining for complement C3 were found. Also visualized with electron microscopy was focal trapping in glomeruli for complement C1q and tubular epithelial droplet staining for albumin. A lipid panel revealed hyperlipidemia with an elevated total cholesterol of 239 mg/dL, LDL of 158 mg/dL, VLDL of 43 mg/dL and triglycerides of 216 mg/dL. His HDL levels were normal at 38 mg/dL. With symptoms of proteinuria, hypoalbuminemia, edema, hyperlipidemia along with the electron microscopy findings above, the patient was diagnosed with minimal change nephrotic syndrome (MCNS).
.
Figure 1: Patient's PAS-stained glomerulus under light microscopy at 20X, showing a glomerulus with no segmental or global sclerosis. The glomerular basement membranes are unremarkable without corrugation, spikes, appearance of holes or contour duplication on silver stain. There is no acute tubular injury or necrosis. There is < 5% interstitial fibrosis with proportional tubular atrophy and a minimal lymphocytic infiltrate in scarred areas. There are no interstitial neutrophilic or eosinophilic infiltrates. Arterioles and interlobular arteries are unremarkable.
View Figure 1
.
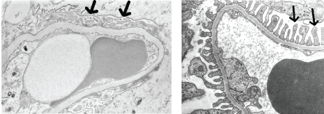
Figure 2: In an electron microscope image of the patient's biopsy [left], approximately 90% foot process effacement with diffuse microvillous transformation of visceral epithelial cells, consistent with minimal change nephrotic syndrome [left]. The changes in the patient's renal cellular architecture are apparent when compared to a biopsy sample from a healthy kidney [right] [28].
View Figure 2
At this point the patient's adalimumab was discontinued and he was admitted to the hospital. He received three 150 g infusions of 25% albumin infusions and the patient was started on 60 mg daily prednisone therapy. Additionally, he was started on furosemide 40 mg BID and metolazone 2.5 mg daily. To manage his hypertension, he was started on enalapril 2.5 mg and amlodipine 10 mg daily and he was put on a low sodium diet. Eight days later his creatinine was normal at 0.9 mg/dL. At an outpatient follow up four weeks later, his edema had resolved, his serum albumin was 3.4 and urine protein:creatinine ratio was 1.69.
A trial on subcutaneous methotrexate therapy (25 mg once weekly) failed to alleviate his gastrointestinal symptoms and caused the patient headaches so this was discontinued after several weeks. By this time, most of the conventional therapies for pediatric CD had been exhausted among the aminosalicylate-based, immunomodulator and biologic categories of drugs. We explored other established therapies for pediatric CD with the patient and his parents including medical, nutritional and surgical options.
Six months after discontinuing his adalimumab, the patient was started on vedolizumab, a monoclonal antibody to a α4β7 integrin in the intestines. As the patient was adult sized, he was given the standard initial adult dose of 300 mg of vedolizumab. He successfully completed the initial infusion without any acute adverse events.
Vedolizumab is FDA approved for the treatment of CD. It has a similar adverse event profile to adalimumab, with headache, arthralgia and nasopharyngitis occurring in around 10% of patients. Upon its introduction, there were initial concerns about the risk of progressive multifocal leukoencephalopathy (PML) which had been associated with natalizumab (Tysabri), vedolizumab's parent molecule [10]. To date, no cases of PML have been reported with vedolizumab use [11]. Current data do not suggest that vedolizumab causes increased risk of malignancies [12].
One month later the patient reported no gastrointestinal symptoms, his albumin was normal at 4.2 g/dL and his creatinine was normal at 0.65 mg/dL. His systolic blood pressure, while improved, remained elevated at 124-131mm Hg and continued to be treated with enalapril. He continued to have proteinuria on urinalysis (100 mg/dL), although this was improved when compared to his initial MCNS presentation.
Nine months after the patient's MCNS was diagnosed and three months after commencing vedolizumab therapy, the patient reported a newly developed 4 cm × 3 cm mass in the supraclavicular area on the left side of his neck. An ultrasound and CT scan revealed multiple enlarged lymph nodes in the supraclavicular region. Fine needle aspiration biopsy of his left supraclavicular lymph node revealed numerous Reed-Sternberg cells consistent with Hodgkin lymphoma, nodular sclerosing subtype. Subsequent staging revealed that the patient had Stage II B Hodgkin's lymphoma and he was started on an ABVE-Pc chemotherapy regimen: doxorubicin (Adriamycin), bleomycin, vincristine, etoposide, prednisone and cyclophosphamide.
Discussion
There have been numerous case reports [13-18], some dating as far back as the early 1970s, linking nephrotic syndrome and lymphoma. Bhatt reported [19] a case of an 18 year-old patient with MCNS who was diagnosed with Hodgkin's lymphoma 13 months later. Kofman describes 4 patients with MCNS diagnosed with non-Hodgkin's lymphoma an average of 15 months later [20]. The incidence of pediatric patients with nephrotic syndrome subsequently developing lymphoma may be as high as 1% [21].
Although there is no direct evidence that our patient's MCNS and lymphoma were related, past studies have suggested that such an association exists [22]. MCNS has been shown to be a paraneoplastic manifestation of classical Hodgkin's lymphoma with one proposed mechanism suggesting that the TNF-α produced by Hodgkin-Reed-Sternberg cells plays a role in the development of MCNS [23].
Another possible etiology of lymphoma found in the case report patient may be secondary to his use of anti-TNF-α therapy. There have been isolated reports of patients developing lymphoma after anti-TNF-α biologic agents [24]. Stokes presented five patients aged 10-30 years (mean, 23 years) who developed MCNS after receiving anti-TNF-α for treatment of rheumatoid arthritis [7].
While there are examples, including the case patient presented here, that suggest a correlation between nephrotic syndrome, anti-TNF-α therapy and lymphoma, and there is no currently known mechanism of causality. Even if the anti-TNF-α therapy had in fact caused the case patient's lymphoma, there is no way of knowing if this was caused by infliximab, adalimumab or a combination of the two medications. Additionally, physicians must take into consideration that patients who would be candidates for anti-TNF-α therapy such as those with CD, rheumatoid arthritis or plaque psoriasis are already at a higher risk than the general population for the development of lymphoma [25,26]. Finally, the patient's lymphoma might have been due to chance alone as the incidence of Hodgkin's lymphoma in patients aged fifteen to nineteen in the United States is 29 cases per million per year [27].
To our knowledge, there are no prior documented cases of MCNS and Hodgkin's lymphoma occurring in a pediatric patient on anti-TNF-α medications. As anti-TNF-α therapy becomes more widely used among pediatricians and pediatric subspecialists, it is increasingly important for clinicians to be aware of both minor and severe side effects of these medications. Although no direct link between such medications and the development of lymphoma or MCNS can be implied, clinicians should be on the lookout for new symptoms of edema, hypertension, hypoalbuminemia, elevated triglyceride levels or signs of cancer in patients on anti-TNF-α therapy.
Funding Source
No funding was secured for this study.
Financial Disclosure
The authors have no financial relationships relevant to this article to disclose.
Conflict of Interest
The other authors have no conflicts of interest to disclose.
References
-
Remicade (2015) Horsham, PA: Janssen Biotech, Inc.
-
Siegel C (2009) Risk of Lymphoma in Inflammatory Bowel Disease. Gastroenterol Hepatol 5: 784–790.
-
Targownik LE, Bernstein CN (2013) Infectious and malignant complications of TNF inhibitor therapy in IBD. Am J Gastroenterol 108: 1835-1842.
-
Gupta A, Pendyala P, Arora P, Sitrin MD (2011) Development of the nephrotic syndrome during treatment of Crohn's disease with adalimumab. J Clin Gastroenterol 45: e30-33.
-
Kaushik P, Rahmani M, Ellison W (2011) Membranous glomerulonephritis with the use of etanercept in ankylosing spondylitis. Ann Pharmacother 45: e62.
-
Chin G, Luxton G, Harvey JM (2005) Infliximab and nephrotic syndrome. Nephrol Dial Transplant 20: 2824-2826.
-
Stokes MB, Foster K, Markowitz GS, Ebrahimi F, Hines W, et al. (2005) Development of glomerulonephritis during anti-TNF-alpha therapy for rheumatoid arthritis. Nephrol Dial Transplant 20: 1400-1406.
-
Dogra S, Khullar G (2013) Tumor necrosis factor-α antagonists: Side effects and their management. Indian J Dermatol Venereol Leprol 79 Suppl 7: S35-46.
-
Jaipaul, Navin. Merck Manual Professional Version: Overview of Nephrotic Syndrome.
-
Fine AJ, Sorbello A, Kortepeter C, Scarazzini L (2014) Progressive multifocal leukoencephalopathy after natalizumab discontinuation. Ann Neurol 75: 108-115.
-
Chandar AK, Singh S, Murad MH, Peyrin-Biroulet L, Loftus EV Jr (2015) Efficacy and Safety of Natalizumab and Vedolizumab for the Management of Crohn's Disease: A Systematic Review and Meta-analysis. Inflamm Bowel Dis 21: 1695-1708.
-
Raine T (2014) Vedolizumab for inflammatory bowel disease: Changing the game, or more of the same? United European Gastroenterol J 2: 333-344.
-
Eagen JW (1977) Glomerulopathies of neoplasia. Kidney Int 11: 297-303.
-
Peces R, Sánchez L, Gorostidi M, Alvarez J (1991) Minimal change nephrotic syndrome associated with Hodgkin's lymphoma. Nephrol Dial Transplant 6: 155-158.
-
Wągrowska-Danilewicz M, Danilewicz M (2011) Nephrotic syndrome and neoplasia: our experience and review of the literature. Pol J Pathol 62: 12-18.
-
Alpers CE, Cotran RS (1986) Neoplasia and glomerular injury. Kidney Int 30: 465-473.
-
Plager J, Stutzman L (1971) Acute nephrotic syndrome as a manifestation of active Hodgkin's Disease. Report of four cases and review of the literature. Am J Med 50: 56-66.
-
Pourtsidis A, Doganis D, Baka M, Varvoutsi M, Kosmidis H (2014) Nephrotic syndrome and Hodgkin lymphoma in children. Report of two cases. Hippokratia 18: 373-375.
-
Bhatt N (2005) Nephrotic syndrome preceding Hodgkin's lymphoma by 13 months. Clin Nephrol 64: 228-230.
-
Kofman T, Zhang SY, Copie-Bergman C, Moktefi A, Raimbourg Q, et al. (2014) Minimal change nephrotic syndrome associated with non-Hodgkin lymphoid disorders: a retrospective study of 18 cases. Medicine (Baltimore) 93: 350-358.
-
Stéphan JL, Deschênes G, Pérel Y, Bader-Meunier B, Brunat-Mentigny M, et al. (1997) Nephrotic syndrome and Hodgkin disease in children: a report of five cases. Eur J Pediatr 156: 239-242.
-
Audard V, Larousserie F, Grimbert P, Abtahi M, Sotto JJ, et al. (2006) Minimal change nephrotic syndrome and classical Hodgkin's lymphoma: report of 21 cases and review of the literature. Kidney Int 69: 2251-2260.
-
Nakayama S, Yokote T, Kobayashi K, Hirata Y, Akioka T, et al. (2010) Minimal-change nephrotic syndrome preceding Hodgkin lymphoma by 5 years with expression of tumor necrosis factor alpha in Hodgkin-Reed-Sternberg cells. Hum Pathol 41: 1196-1199.
-
Ziakas PD, Giannouli S, Tzioufas AG, Voulgarelis M (2003) Lymphoma development in a patient receiving anti-TNF therapy. Haematologica 88: ECR25.
-
Gelfand JM, Shin DB, Neimann AL, Wang X, Margolis DJ, et al. (2006) The risk of lymphoma in patients with psoriasis. J Invest Dermatol 126: 2194-2201.
-
Simon TA, Thompson A, Gandhi KK, Hochberg MC, Suissa S (2015) Incidence of malignancy in adult patients with rheumatoid arthritis: a meta-analysis. Arthritis Res Ther 17: 212.
-
Ward E, DeSantis C, Robbins A, Kohler B, Jemal A (2014) Childhood and adolescent cancer statistics, 2014. CA Cancer J Clin 64: 83-103.
-
Kumar V, Abbas A, Fausto N, Aster J. (2010) Robbins and Cotran (2010) Pathologic Basis of Disease 8th Edition. Philadelphia, Pa: Elsevier Inc., 910.


