International Journal of Women's Health and Wellness
Malignant Epignathus with Intra Cranial Extension: A Very Unusual Case
Aynur Mustafa1*, Zehra Bozdag2, Neslihan Bayramoglu Tepe1 and Huseyin Caglayan Ozcan1
1Department of Obstetrics and Gynecology, Gaziantep University, Turkey
2Department of Pathology, Gaziantep University, Turkey
*Corresponding author:
Aynur Mustafa, M.D, Fellow Researcher, Faculty of Medicine, Department of Obstetrics and Gynecology, Gaziantep University, Sahinbey, Gaziantep, Turkey, Tel: +9055-1104-9770, Fax: +903423603928, E-mail: dr.aynur.moustafa@hotmail.com
Int J Womens Health Wellness, IJWHW-2-040, (Volume 2, Issue 4), Case Report; ISSN: 2474-1353
Received: September 27, 2016 | Accepted: November 14, 2016 | Published: November 16, 2016
Citation: Mustafa A, Bozdag Z, Tepe NB, Ozcan HC (2016) Malignant Epignathus with Intra Cranial Extension: A Very Unusual Case. Int J Womens Health Wellness 2:040. 10.23937/2474-1353/1510040
Copyright: © 2016 Mustafa A, et al. This is an open-access article distributed under the terms of the Creative Commons Attribution License, which permits unrestricted use, distribution, and reproduction in any medium, provided the original author and source are credited.
Abstract
Epignathus or oropharyngeal teratomas are extremely rare congenital neoplasms that arise from the oral cavity or pharynx. Teratomas commonly occur in sacrococcygeal region. However, less than 5% occur in the head and neck. Malignant teratomas account 5%-30% of all teratomas. We present an unusual case of immatureoropharyngeal teratoma that arises from sphenoid with intracranial extension, in a 22 weeks female fetus. There are many types of head and neck tumors, so we should always keep in mind epignathus in the differential diagnosis of head and neck tumors.
Keywords
Epignathus, Immature teratoma, Head, Neck
Introduction
Epignathus is considered as a rare congenital tumor. The incidence is 1 in 35.000 to 1 in 200.000 live births [1,2]. The term 'epignathus' refers to teratomas of the oropharyngeal cavity in neonates regardless of its origin [3]. It arises from the sphenoid region of the palate or pharynx. Epignathus is benign in most cases [1,4], and commonly occurs in young mothers [5] with a tendency to affect females three times more than males [1] with a rate of 80-100% mortality due to airway obstruction it leads to life threatening condition.
Coincidence of other congenital malformations is about 6%, which occur mainly in midline, for example; craniofacial clefts, including bifid tongue, cleft nose and cleft palate. The correlation between oropharyngeal teratoma with the midline malformations is elusive [6]. The mystery of head and neck teratomasis their indecisive origin, weird microscopic appearance, and misleading ultrasonographic appearance. In this case, we present a 22 weeks pregnant, who is diagnosed with malignant epignathus with intracranial extensions, depending on ultrasonographic and pathological findings.
Case Report
A 18-year-old Asian nulliparous woman was referred to our institution due to congenital abnormality with a suspect of encephalocele. She was 22 weeks pregnant, her triple test was normal. Ultrasonography revealed single alive female fetus with normal amniotic fluid index, and semisolid, polypoid mass measuring approximately (5 × 4 × 4) cm that originated from the head (Figure 1).There was not any other abnormality. We explained the perinatal risks related to severe airway obstruction caused by this mass to parents. They decided to terminate the pregnancy.
.
Figure 1: Polypoid mass measuring approximately (5 × 4 × 4) cm that originated from the head.
View Figure 1
Pathologic Result
Gross appearance
Polypoid mass was filling oropharynx and protruding outside the mouth, the mass had an intracranial extension (Figure 2 and Figure 3), cut section of the tumor showed multi-lobulated cysts andsolid areas.
Microscopically
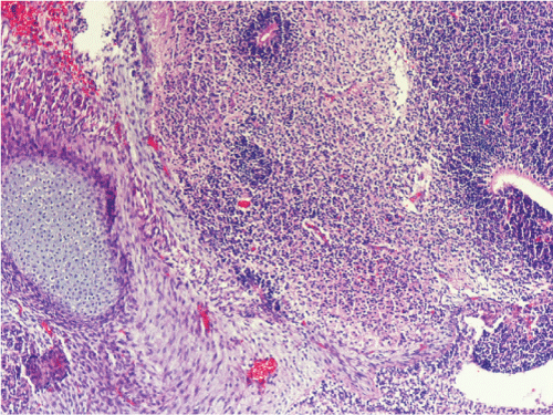
The mass was composed of mature components of all the three germ cell layers comprising stratified squamous epithelium, nervous tissue, intestinal epithelium, respiratory epithelium, adipose tissue, bone and cartilage tissue. Wide areas of immature neuroepithelial components comprising small round cells forming rosettes and tubules were also found. Therefore, pathologic final diagnosis was immature teratoma (grade 3) (Figure 4 and Figure 5).
.
Figure 5: Wide areas of immature neuroepithelial components comprising small round cells forming rosettes and tubules.
View Figure 5
Discussion
Teratoma is synonym of "monstrous tumour" is derived from the Greek word "teraton". This tumor consists of multiple tissues foreign to the normal organin, which it arises. All three embryological germ cell layers (ectoderm, mesoderm and endoderm) can be seen in these tissues [3]. First report of epignathus, diagnosed in prenatal period, was in 1970 [4]. Epignathus is a very unusual condition that obstetrician may encounter. Nogales, et al. reported a single case of epignathus in 800.000 deliveries in east Andalusia [3].
In neonates, teratomas commonly occur in sacrococcygeal region, accounting for nearly 40% of all cases. In addition, it can affect mediastinum, retroperitoneum, brain, spinal cord, gonads and liver [7]. However, less than 5% occur in the head and neck. While, facial involvement accounts 1.6%. Malignant teratomas account 5%-30% of all teratomas [7].
Teratomas can be associated with chromosomal abnormalities [10]. In addition, epignathus can be associated with diverse malformations of the palate, upper and lower jaw such as Pierre Robin syndrome, with features like cleft palate, glossoptosis and microretrognathia [3]. However, our case had no other malformations.
Levels of both (MSAFP) alpha fetoprotein and β-human chorionic gonadotropin (β hCG), measured in second trimester for aneuploidy screening test, elevate in most cases. Thus, we can depend on this test in the follow up patient desiring pregnancy [3,4]. However, in our case triple test was normal. Although the majority of epignathus are benign [6], in our case malignant transformation was detected depending on the presence of immature components and prevalentneural tissue. As far as we know, this is the eighth case report in the English literature.
Many theories are suggested to explain the etiopathogenesis of epignathus such as persistence of a totipotent cell during embryogenesis and parthenogenetic transformation of a germ cell to a teratoma [3].
An algorithm suggests these tumors can be classified as fetus-in-fetus (FIF). Senyiz, et al. [8] after dealing with a similar case, have found that it is difficult to make a clear discrepancy whether the mass was a fetus-in-fetus or a highly organoid epignathus. De Lagausie, et al. postulate that fetus-in-fetus and teratoma are not two distinct items, but rather different expressions of the same pathology at diverse stages of maturation. Although 80% of fetus in fetus occurs in the retroperitoneal region, there have been few reports of FIF location in the head, sacrum, scrotum and the mouth [9].
Conclusion
In conclusion, we present a rare case of oropharyngeal teratoma showing malignant features.
In the assessment of head and neck tumors, we should always keep in mind the possibility of epignathus in the differential diagnosis. If epignathus is diagnosed in prenatal period, we can avoid this lethal condition.
References
-
Kumar SY, Shrikrishna U, Shetty J, Sitaram A (2011) Epignathus with Fetiform Features. J Lab Physicians 3: 56-58.
-
Prevedello MD, Kassam BA, Carrau LR, Snyderman HC, Thomas A, et al. (2007) Transpalatal endoscopic endonasal resection of a giant epignathus skull base teratoma in a new born. J Neurosurg 107: 266-271.
-
Vandenhaut B, Leteurtre, Leconte-Houche M, PallerinP, Nayts JP, et al. (2000) Epignathus teratoma: Report of three cases with a review of the literature. Cleft Palate-Craniofacial J 37: 83-89.
- Chung JH, Farinelli CK, Porto M, Major CA (2012) Fetal epignathus: the case of an early EXIT (ex utero intrapartum treatment). Obstet Gynecol 119: 466-470.
-
Shah A, Latoo S, Ahmaed I, Malik AH (2009) Head and neck teratomas. J Maxillofac Oral Surg 8: 60-63.
-
Silvia Morlino, Marco Castori, Francesca Servadei, Luigi Laino, Evelina Silvestri (2015) Oropharyngeal teratoma, oral duplication, cervical diplomyelia and anencephaly in a 22-week fetus: A review of the craniofacial teratoma syndrome. Birth Defects Res A Clin Mol Teratol 103: 554-566.
-
Okafor CI, Okafor CO, Odike MA (2004) Congenital teratoma of the face. J Obstet Gynaecol 24: 828-829.
-
Senytiz OF, Rizalar R, Celayir S, Oz F (1992) Fetus in fetus or grant epignathus protruding from the mouth. J Pediatr Surg 27: 1493-1495.
-
Karaman I, Erdogan D, Ozalevli S, Karaman A, Cavusoglu YH, et al. (2008) Fetus in fetus: A report of two cases. J Indian Assoc Pediatr Surg 13: 30-32.
-
Tonni G, De Felice C, Centini G, Ginanneschi C (2010) Cervical and oral teratoma in the fetus: a systematic review of etiology, pathology, diagnosis, treatment and prognosis. Arch Gynecol Obstet 282: 355-361.


