International Journal of Radiology and Imaging Technology
Aberrant Internal Carotid Artery in the Temporal Bone: A Case Report
Mehtap Cavusoglu*, Semra Duran, Eda Elverici and Arzu Özsoy
Department of Radiology, Ankara Numune Training and Research Hospital, Ankara, Turkey
*Corresponding author:
Mehtap Cavusoglu, MD, Radiology Department, Ankara Numune Research Hospital Samanpazari, Ankara, Turkey, Tel: +90 312 508 48 71, E-mail: mehtapcavusoglu2@gmail.com
Int J Radiol Imaging Technol, IJRIT-2-011, (Volume 2, Issue 1), Case Report
Received: January 20, 2016: Accepted: March 29, 2016: Published: March 31, 2016
Citation: Cavusoglu M, Duran S, Elverici E, Özsoy A (2016) Aberrant Internal Carotid Artery in the Temporal Bone: A Case Report. Int J Radiol Imaging Technol 2:011
Copyright: © 2016 Cavusoglu M, et al. This is an open-access article distributed under the terms of the Creative Commons Attribution License, which permits unrestricted use, distribution, and reproduction in any medium, provided the original author and source are credited.
Abstract
An aberrant internal carotid artery (ICA) in the middle ear is a rare and potentially serious vascular anomaly. Symptoms and signs of aberrant internal carotid artery are often non-specific, therefore radiographic investigation with the combination of CT scan and MRA is required for the diagnosis. It is also essential to inform physicians to avoid disastrous consequences.
Keywords
Aberrant internal carotid artery, Temporal bone, High resolution CT, Magnetic resonance angiography
An aberrant internal carotid artery (ICA) in the middle ear is a rare and potentially serious vascular anomaly [1]. In this variation, ICA takes an aberrant lateral course in the temporal bone, and passes through the middle-ear cavity. The clinical diagnosis of aberrant ICA is often difficult, because symptoms and signs are nonspecific. Conductive hearing loss, pulsatile tinnitus, vertigo and a retro-tympanic mass behind the antero-inferior part of the tympanic membrane are typical symptoms. An aberrant ICA should be distinguished from glomus tumor and other vascular malformations (e.g., dehiscent jugular bulb, hemangiomas and aneurysms) by radiological investigations [2,3]. The misdiagnosis of aberrant ICA can result in fatal bleeding and life-threatening complications [4,5]. The diagnosis of aberrant ICA is not difficult with the combination of temporal bone computed tomography (CT) and magnetic resonance angiography (MRA) [5]. Here, we report an aberrant ICA diagnosed by CT scan and MRA, additionally, an incidental finding of hypoplasia of the A1 segment of ACA on the same side.
Case Report
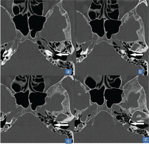
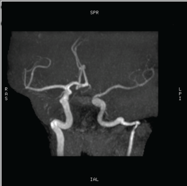
A 50-year-old woman presented with a four-year history of left-sided pulsatile tinnitus and hearing impairment. Otoscopy revealed a reddish mass behind the inferior half of the left tympanic membrane. Audiometric evaluation showed mild conductive hearing loss in the left ear. High-resolution CT scanning of the temporal bone was performed. On the CT scan of the temporal bone, a left-sided aberrant ICA entering the middle ear cavity through an enlarged inferior tympanic canaliculus was observed (Figure 1). The right temporal bone was normal. MRA showed a reduced diameter and lateralization of the left ICA (Figure 2A and Figure 2B). The vertical segment of the ICA was lateral and posterior to a line drawn vertically through the vestibule. Hypoplasia of the A1 segment of left ACA was also identified.

.
Figure 1: Axial high resolution computed tomography scan of the temporal bone, showing left aberrant internal carotid artery entering the middle ear cavity through an enlarged inferior tympanic canaliculus (arrows).
View Figure 1

.
Figure 2a: Magnetic resonance angiography showing reduced diameter and lateralization of the left internal carotid artery (ICA). The right ICA is normal. Hypoplasia of the A1 segment of the left anterior cerebral artery (ACA) is also noted.
View Figure 2a

.
Figure 2b: Magnetic resonance angiography showing reduced diameter and lateralization of the left internal carotid artery (ICA). The right ICA is normal. Hypoplasia of the A1 segment of the left anterior cerebral artery (ACA) is also noted.
View Figure 2b
Discussion
Aberrant ICA is a rare, but important vascular anomaly, which may cause complications during surgery of the middle-ear. Other vascular variations of the temporal bone are, persistent stapedial artery, high-riding jugular bulb, dehiscent carotid artery and dehiscent high jugular bulb [3]. Aberrant ICA is the rarest of these vascular variations, with an incidence of less than one per cent [4].
In adults, ICA enters, normally, the petrous bone medial to the styloid process via the carotid canal. The initial vertical segment is separated from the tympanic cavity by a thin plate of bone. Then, ICA turns anteriorly, to lie inferior and posteromedial to the Eustachian tube, traverses the foramen lacerum and enters the medial cranial fossa [6]. An aberrant ICA on the other hand, enters the tympanic cavity through an enlarged inferior tympanic canaliculus, courses through the tympanic cavity under the cochlear promontory anteriorly, and then medially enters the horizontal carotid canal through a dehiscence in the carotid plate [7]. Numerous hypotheses have been proposed concerning the genesis of aberrant ICA. Embryogenic malformation of the first and second branchial arches, is the most commonly accepted hypothesis. The malformation results in the persistence of embryonic vessels and anomalous anastomoses in the middle ear [7].
It is difficult to diagnose an aberrant ICA clinically, because symptoms and signs are often non-specific or absent. Findings such as pulsatile tinnitus, conductive hearing loss and a pulsatile retrotympanic mass in the antero-inferior part of the tympanic membrane should bring out the possibility of an aberrant ICA [2,3,5]. The pulsatile tinnitus and hearing loss are caused by the malleus handle touching the exposed carotid artery [7]. Otosclerosis, glomus tumours and other vascular malformations could be responsible for the same symptoms and signs. However, as opposed to glomus tumours, the retro-tympanic mass due to aberrant ICA is localized anteriorly, is pulsatile and coloured white or rosy [8]. Audiometric results may be normal or show a conductive hearing loss due to associated middle ear disease, persistent stapedial artery, or malleus or incus blockade [5].
The misdiagnosis of aberrant ICA can result in fatal bleeding or other life-threatening complications. Suspicion of a retro-tympanic mass in the middle ear necessitates radiographic investigation. CT scan of the temporal bone is considered as one of the most reliable methods to diagnose an aberrant ICA. On CT scan, aberrant ICA is recognized by; an enhanced mass in the hypotympanum, a deficient bony plate along the tympanic portion of the ICA, absence of the vertical segment of the carotid canal, and a reduced diameter of ICA that runs adjacent to the jugular bulb [2-5]. MRA can be used as an additional tool for the definitive diagnosis and it also provides excellent visualization of the intracranial and extracranial circulation. The important features at angiography are; a reduced diameter of the tympanic ICA, the vertical segment of the ICA is lateral to a line drawn vertically through the vestibule [2,5]. In our case, CT and MRA showed all the characteristic features of aberrant ICA. In addition, hypoplasia of the A1 segment of the anterior cerebral artery was identified on MRA. In a review of the literature, we noted various other reports of an aberrant ICA in which hypoplasia of the A1 segment of the ACA was noted as an incidental finding [8-11]. Hypoplasia of the A1 segment of the ACA is reported to be present in 10% of autopsies [12]. The relationship between ipsilateral absence or hypoplasia of the A1 segment and a reduced caliber of the ICA has been further reported by Kane et al. [13] in a study of intracranial MR angiograms.
Conclusion
We report a rare case of an aberrant ICA in the temporal bone, in addition with hypoplasia of the A1 segment of the ACA on the same side, without any surgical injury and bleeding complications. Symptoms and signs of aberrant ICA are often non-specific, therefore a radiographic investigation with the combination of CT scan, MRI and MRA, is required for the definitive diagnosis. It is also essential to warn the physicians taking care of the patient, in order to avoid catastrophic consequences.
References
-
Caldas JG, Iffenecker C, Attal P, Lasjaunias P, Doyon D (1998) Anomalous vessel in the middle ear: the role of CT and MR angiography. Neuroradiology 40: 748-751.
-
Windfuhr JP (2004) Aberrant internal carotid artery in the middle ear. Ann Otol Rhinol Laryngol Suppl 192: 1-16.
-
Lin YY, Wang CH, Liu SC, Chen HC (2012) Aberrant internal carotid artery in the middle ear with dehiscent high jugular bulb. J Laryngol Otol 126: 645-647.
-
Botma M, Kell RA, Bhattacharya J, Crowther JA (2000) Aberrant internal carotid artery in the middle-ear space. J Laryngol Otol 114: 784-787.
-
Sauvaget E, Paris J, Kici S, Kania R, Guichard JP, et al. (2006) Aberrant internal carotid artery in the temporal bone: imaging findings and management. Arch Otolaryngol Head Neck Surg 132: 86-91.
-
Moret J, Delvert JC, Bretonneau CH, Lasjaunias P, de BicĂȘtre CH (1982) Vascularization of the ear: normal-variations-glomus tumors. J Neuroradiol 9: 209-260.
-
Endo K, Maruyama Y, Tsukatani T, Furukawa M (2006) Aberrant internal carotid artery as a cause of objective pulsatile tinnitus. Auris Nasus Larynx 33: 447-450.
-
Shimizu S, Sasahara G, Iida Y, Shibuya M, Numata T (2009) Aberrant internal carotid artery in the middle ear with a deficiency in the origin of the anterior cerebral artery: a case report. Auris Nasus Larynx 36: 359-362.
-
Hatipoglu HG, Cetin MA, Yuksel E, Dere H (2011) A case of a coexisting aberrant internal carotid artery and persistent stapedial artery: the role of MR angiography in the diagnosis. Ear Nose Throat J 90: E17-20.
-
Meder JF, Blustajn J, Trystram D, Godon-Hardy S, Devaux B, et al. (1997) Radiologic anatomy of segmental agenesis of the internal carotid artery. Surg Radiol Anat 19: 385-394.
-
Saini J, Kesavadas C, Thomas B, Arvinda HR (2008) Aberrant petrous internal carotid artery with cochlear anomaly-an unusual association. Surg Radiol Anat 30: 453-457.
-
Perlmutter D, Rhoton AL Jr (1976) Microsurgical anatomy of the anterior cerebral-anterior communicating-recurrent artery complex. J Neurosurg 45: 259-272.
-
Kane AG, Dillon WP, Barkovich AJ, Norman D, Dowd CF, et al. (1996) Reduced caliber of the internal carotid artery: a normal finding with ipsilateral absence or hypoplasia of the A1 segment. AJNR Am J Neuroradiol 17: 1295-1301.
