International Journal of Radiology and Imaging Technology
Incidental Non-Cardiovascular, Non-Pulmonary Findings Identified in a Low-Dose CT Lung Cancer Screening Population: Prevalence and Clinical Implications
Michal Klysik, David Lynch, Nicholas Stence and Kavita Garg*
Department of Radiology, University of Colorado Denver School of Medicine, USA
*Corresponding author:
Kavita Garg, Department of Radiology, F726, University of Colorado Denver School of Medicine, 12631 E. 17th Avenue, Aurora, CO 80045, USA, E-mail: Kavita.garg@ucdenver.edu
Int J Radiol Imaging Technol,
IJRIT-1-002, (Volume 1, Issue 1),
Original Article
Received: July 31, 2015: Accepted: August 28, 2015: Published: August 30, 2015
Citation: Klysik M, Lynch D, Stence N, Garg K (2015) Incidental Non-Cardiovascular, Non-Pulmonary Findings Identified in a Low-Dose CT Lung Cancer Screening Population: Prevalence and Clinical Implications. Int J Radiol Imaging Technol 1:002
Copyright: © 2015 Klysik M. This is an open-access article distributed under the terms of the Creative Commons Attribution License, which permits unrestricted use, distribution, and reproduction in any medium, provided the original author and source are credited.
Abstract
Objective:To determine the prevalence and clinical implications of non-cardiovascular non-pulmonary findings encountered at screening chest CT and their follow-up over a two-year period in asymptomatic adults enrolled at one institution in the National Lung Screening Trial (NLST).
Materials and methods:The study was HIPAA compliant and approved by the institutional review board and informed consent was obtained from all participants. Out of 3,743 individuals ages 55-74 recruited for NLST at one institution, 1572 participants that came back for the second annual screening CT constituted the study group (total of 5340 CT exams). All screening low-dose CT exams were performed on multidetector CT scanners with parameters: 120 kVp, 30 effective mAs, 2 mm reconstructed contiguous slices without IV contrast. Extra-cardiopulmonary findings noted at baseline screening CT and followed on two subsequent annual screening CT exams were assigned into three categories: 1. findings of little or no clinical significance, 2. findings of variable clinical significance, and 3. clinically significant findings.
Results: The overall prevalence was 11.9 % (187 of 1572 participants). Common non-cardiovascular, non-pulmonary CT findings in 134 (8.5%) of little or no clinical significance included: simple appearing renal or hepatic cysts (> 1cm), small hiatal hernia, fatty liver, pericardial cysts, benign skeletal findings such as bony islands, synovial osteochondromatosis, adrenal adenomas, foregut duplication cyst, splenosis, sebaceous cysts. CT findings in 44 (2.8%) of variable clinical significance included minimally complex hepatic or renal cysts, solid appearing adrenal nodules, thyroid hypodensities, cholelithiasis, nephrolithiasis, pancreatic calcifications, small thymic masses , duplicated inferior vena cava, and polysplenia. Clinically significant findings in 9 (0.057%) included: solid appearing renal, hepatic, adrenal masses or nodules, suspicious thyroid nodule, mediastinal lymphadenopathy or solid masses. The vast majority of findings in categories 1 and 2 were stable over a 2 year period or proven benign.
Conclusion: Incidental non-cardiovascular, non-pulmonary findings detected at screening chest CT are common and most are of little or no clinical significance.
Keywords
Incidental findings, National lung screening trial, Low-dose chest CT, Adrenal adenoma, Thyroid nodule
Introduction
Lung cancer is the leading cause of cancer death worldwide. Recently, the National Lung Screening Trial (NLST) demonstrated that, relative to chest x-ray, a 20% decrease in mortality was observed for high risk subjects screened with low dose chest CT [1]. Chest CT unavoidably images non-cardiovascular, non-pulmonary organs such as thyroid, adrenals, liver, kidneys and other structures in the upper abdomen. Moreover, when utilizing a low dose screening-chest CT protocol, the images are often noisy and incidental findings are suboptimally evaluated. It is important for radiologists involved in interpreting screening chest CTs to be aware of the prevalence and clinical implications of incidental findings. Detection of incidental findings is a double-edged sword. For the majority of patients, the potential benefits include reassurance when nothing ominous is found. Conversely, for a minority of patients, discovery of an unsuspected, but clinically significant process at an early stage may be of great value. The potential harms include undue anxiety, added time, morbidity and costs stemming from additional workup of findings that eventually prove to be of no clinical significance. Incidental cardiac, mediastinal and pulmonary findings in a lung cancer screening cohort have been reported previously [2,3]. The objective of this study is to determine the prevalence and clinical significance of non-cardiovascular, non-pulmonary findings amongst participants enrolled in the CT arm of NLST at one institution.
Materials and Methods
Subjects: This Health Insurance Portability and Accountability Act-compliant study was approved by the institutional review board. The NLST protocol with the inclusion and exclusion criteria have been described previously [1]. A full description of the NLST is available at: cancer.gov. Briefly, NLST was a randomized trial comparing annual chest x-ray to LDCT scans for the early detection of lung cancer among current and former smokers. Subjects were eligible to participate in this screening trial if they were between the ages of 55 and 75 and had a minimum of 30 pack-years of tobacco exposure. Out of 3,743 subjects enrolled in the NLST at one participating institution from February 2002 to November 2004, 1,572 subjects (870 men, 702 women, median age 65 years) randomized to the CT arm were eligible for this study.
Imaging Method and Analysis: The baseline and annual incident screening CT parameters met NLST specifications, and included a kVp of 120, effective mAs of 30, and reconstruction collimation and slice intervals of 2 mm. Participants underwent imaging with 4-, 16- or 64-detector row CT scanner (Definition 4-, 16 or sensation 64: Siemens Medical Solutions, Forchheim, Germany). Images were reconstructed with an edge-enhancing reconstruction algorithm for the lungs (viewed at window width of 1500, and window level of -700 HU) and a soft tissue reconstruction algorithm for the soft tissues (viewed at window width of 400, and window level of 40 HU). The original CT reports were reviewed for descriptors of non-cardiovascular, non-pulmonary findings, including the size, location, and attenuation by MK and NS (both with > 5 years of experience). If the report was not clear, the corresponding images were reviewed by KG and DL (both NLST radiologists with > 15 years of reading screening CT experience). Follow-up recommendations for these incidental findings from the CT reports were also noted. Per NLST protocol, clinical follow-up was available by chart abstraction only for subjects who had positive screens or those who had clinically significant findings.
Using the current imaging criteria, a hepatic or renal simple cyst was diagnosed when a lesion had a uniformly low attenuation coefficient of 20 H units or less. An adrenal adenoma was diagnosed when there was a small, well-defined round or oval mass with homogeneous low attenuation of < 10 H units. The thyroid gland was assessed for single or multiple hypodense nodules. The nodule was assessed for size, location, density, the presence or absence of calcifications, margins and overall size of the gland [4]. The location of each mediastinal mass was classified according to the mediastinal compartment, superior or inferior, with the latter subclassified as anterior, middle or posterior, and also according to the likely organ involved on the basis of location of the mass. The length and width of the mass were measured and the diameter and average of the length and width was calculated. The CT numbers were obtained for each mass to determine whether it was cystic or solid or containing fat. Calcifications and necrosis of the mass as well as infiltration of the surrounding mediastinal fat were documented. All subsequent CT scans were reviewed to assess change in size (increased, no change, decreased). An attempt was made to get the pathology report if the mass was resected for pathologic diagnosis. Each thymic mass was evaluated for its shape: ovoid, bilobed or arrowhead; the latter two represented benign appearance). If the thymic mass was larger than 3 cm or if necrosis or infiltration of mediastinal fat was seen, further workup was required [3].
Stable well characterized simple cyst, adrenal adenomas, goiter without significant mass effect on trachea, small uncomplicated hiatal hernia or fat containing ventral hernia, small < 1cm thyroid hypodensities or mediastinal nodules and anatomic variants were considered clinically insignificant. Solid kidney mass, larger solid thymic, thyroid and adrenal masses, and mediastinal lymphadenopathy were considered clinically significant per current practice guidelines and findings not meeting these two criteria were included in variable clinical significance category. All of the scans were read by one radiologist who is fellowship-trained in both thoracic and body imaging.
Results
Of the eligible 1,572 subjects, 187 subjects revealed non-cardiovascular, non-pulmonary findings for an overall prevalence of 11.9 % (Table 1, Table 2).
Table 1: Prevalence of incidental non-cardiovascular, non-pulmonary findings at baseline CT in 1572 men and women
View Table 1
Table 2: Frequency of incidental non-cardiovascular, non-pulmonary findings at baseline CT
View Table 2
One hundred and thirty four (8.5%) exhibited findings of little or no clinical significance (category 1) for prevalence of 8.5 %. There was no change in size or attenuation of findings in any subject in category 1 on two subsequent annual screening CT scans. Incidental CT findings of variable clinical significance (category 2) were demonstrated in 44 out of 1572 subjects for prevalence rate of 2.8 %. One anterior mediastinal nodule increased in size and two cases of thyroid hypodensities were lost to follow-up in category 2. The findings in the remaining 41 did not change over two subsequent annual CT scans. The majority of incidental findings in category 1 and 2 were stable over a two year period (Figure 1, Figure 2 and Figure 3).
.
Figure 1: 57-year old woman with a simple hepatic cyst. Axial LDCT image shows a simple appearing cyst (arrow), however given noisy images, a follow-up ultrasound (not shown) was performed to confirm.
View Figure 1
.
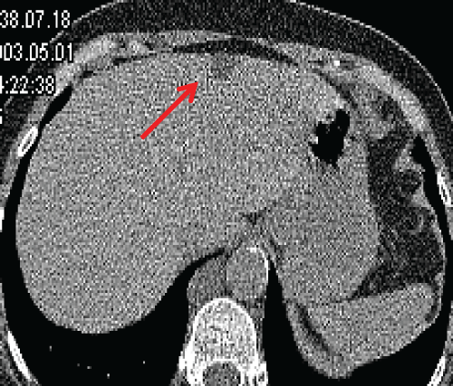
Figure 2: 63-year old man with adrenal adenoma. Axial LDCT image shows a 3 cm low density (-7 HU) right adrenal nodule (arrow)
View Figure 2
Further evaluation of renal or hepatic cysts and thyroid nodules in category 1 and 2 by ultrasound was however recommended in one third of subjects. In addition, a wide variety of incidental congenital variants including aberrant right subclavian artery, duplicated inferior vena cava, or azygos continuation of inferior vena cava were not included in data analysis. Bone islands and synovial osteochondromatosis were also not included in data analysis.
.
Figure 3: 67-year old man with a nodule in anterior mediastinum (arrow). Axial LDCT image shows a 1-cm soft tissue nodule in anterior mediastinum which was stable over 3 annual screening CT scans
View Figure 3
.
Figure 4: 59-year old man with lymphoma. Contiguous axial LDCT images (a & b) demonstrate enlarged right paratracheal lymph node (arrow).
View Figure 4
The prevalence rate of clinically significant findings (category 3) was 0.057% (9 out of 1572 subjects). Examples of malignancy in this study included lymphoma in two participants (Figure 4), renal cell cancer in three participants (Figure 5) and thyroid cancer in one participant (Figure 6) and thymomas in three participants. Further evaluation by CT or ultrasound was recommended for all the incidental findings in category 3.
.
Figure 5: 73-year old man with left renal cell carcinoma. Axial LDCT image shows a 3.5 cm hypodense mass in the upper pole of left kidney (arrow).
View Figure 5
.
Figure 6: 59-year old woman with thyroid papillary cancer. Axial LDCT image (a) shows asymmetric enlargement of right thyroid lobe (arrow). Longitudinal ultrasound image of right thyroid lobe (b) shows a hypoechoic nodule (arrow) with calcifications (arrowhead).
View Figure 6
Discussion
Incidental non-cardiovascular, non-pulmonary findings detected during screening chest CT were common and most were of little or no clinical significance. Renal cyst imaging categorization using Bosniak criteria has been widely accepted [5]. For suspicious lesions a dedicated contrast enhanced renal CT or MR is recommended. In low risk population, incidentally discovered liver cysts demonstrating sharply defined margins and low-attenuation (20 HU) do not need further evaluation. We may have underestimated the prevalence of smaller cysts given noisy images; however, all the cysts categorized as simple or Bosniak one category were stable over three annual screening CT scans. Ultrasound was suggested in approximately 50% in our study for some of the simple cysts and thyroid nodules which were not well characterized at baseline CT due to noisy images likely resulting in anxiety and cost of care, however cost-effectiveness was not the focus of this paper.
One of the commonest incidental findings was an adrenal adenoma (Table 2). We used the widely accepted criteria to diagnose adrenal adenomas; attenuation coefficient of < 10 Hounsfield Units (HU) on unenhanced CT and lack of change for at least 1 year [6]. In another study incidentally detected adrenal masses with a CT attenuation of > 10 HU units were also found to be benign in patients with no known malignancy [7]. For indeterminate adrenal nodules further characterization by contrast enhanced CT shows absolute contrast washout of > 50% at 10 minutes or 60% at 15 minutes [6]. Chemical shift MRI with cancellation or signal dropout on opposed-phased MR imaging is virtually diagnostic of an adenoma. In this study for adrenal nodules without confirmatory imaging, at least one year of stability on follow-up examination was used as imaging proof for benignity, in fact two year imaging follow-up was available for most of the incidental adrenal masses. It is possible that some unsuspected functioning adrenal masses were missed in our study because biochemical screening was not routinely performed. The incidence of unsuspected functioning adrenal masses is low, reportedly 1% or less [8]. Follow-up imaging recommendations regarding adrenal nodules that were used in this study and now formally proposed in a white paper have been widely accepted [9]. Adrenal nodule demonstrating HU of less than 10 requires no further work-up. Adrenal nodules demonstrating attenuation of more than 10 HU and measuring 1-4 cm can be followed for one year with either CT or MRI, and if they remain stable, no further workup is necessary. However, a dedicated adrenal CT or MRI protocol is recommended if an adrenal nodule measures greater than 4 cm [9,10].
Incidental abnormalities of the thyroid gland were also commonly encountered (Table 2). Varied rate of 2-67% incidental thyroid findings is reported on cross-sectional imaging [11-13] and 9% on sonography [14]. Since there are no established CT features which reliably distinguish benign from malignant thyroid lesions, several management strategies may be employed by the interpreting radiologist, ranging from further imaging by sonography in all cases or further follow-up only for nodules bigger than 1.5 cm [4]. Sonography was recommended only for larger nodules in our study and to the best of our knowledge there was no missed thyroid cancer. In a recent publication, a prevalence rate of 11.3% was reported for malignant or potentially malignant lesions amongst incidental thyroid abnormalities detected on CT [15] similar to what was found in this study (1 of 9 cases). An appropriate management algorithm requires knowledge of the imaging and demographic features that may predict malignancy. Family history, prior radiation therapy, history of multiple endocrine neoplasm 2, history of thyroid cancer, young age and male gender have all been implicated as predisposing factors to thyroid cancer [16]. Thyroid nodules that are less than 1 cm in size without predisposing factors can just be mentioned in the report without the need for further workup. Nodules associated with cervical adenopathy and/or with fluoro-deoxyglucose (FDG) uptake on PET CT are considered suspicious, requiring ultrasound work up, with or without FNA biopsy [11].
Underestimation of incidental findings in our study is possible. However, the prevalence and clinical importance of incidental findings was not much different than reported on recent CT colonography studies [17-19]. The majority of patients (86.6%) were either negative for extracolonic findings or had unimportant extracolonic findings, likely unimportant but indeterminate extracolonic findings where further workup might be indicated were found in 11.3% of patients, whereas 2.1% had likely important extracolonic findings in one study [19].
In another recent study evaluating prospective CT screening for lung cancer in HIV-positive smokers (median age 48 years Vs 65 years in our study), extrathoracic incidental findings were noted in 40% of patients with the majority being renal and hepatic abnormalities, similar to this study. Participants in this study had a baseline screening CT and up to 4 scans annually compared to only 2 scans in NLST. However, in contrast to our study, no extrapulmonary malignancy was identified; this difference may be due to the younger age of subjects in their study [20]. Other limitation of this study is the lack of longer follow-up as some slow-growing malignancies may have been missed.
As screening chest CT becomes a standard of practice, radiologists not only need to be aware of the prevalence and significance of incidental findings on screening chest CTs, but also need to report their findings in a concise, standardized manner to help triage and guide follow up appropriately. Similar to current guidelines of reporting findings on CT colonoscopy [18,19], we propose categorizing the non-cardiopulmonary, non-pulmonary findings into an easily implementable system (Table 2).
Summary
Incidental non-cardiovascular, non-pulmonary findings detected during screening chest CT are common and most are of little or no clinical significance. In the ever evolving practice of medicine, now focused on quality and costs of care, radiologists must be cognizant of the recommendations made regarding incidental findings on screening chest CT examinations. Guidelines reviewed herein pertain to several commonly encountered incidental findings including adrenal and thyroid nodules. However, many other findings do not have established guidelines and appropriate recommendations remains a work-in-progress. Variability in reporting and follow-up of incidental findings needs to be standardized to avoid patient's anxiety, medical cost inflation and to ensure quality care.
References
-
National Lung Screening Trial Research Team, Aberle DR, Adams AM, Berg CD, Black WC, et al. (2011) Reduced lung-cancer mortality with low-dose computed tomographic screening. N Engl J Med 365: 395-409.
-
Chiles C, Paul NS (2013) Beyond lung cancer: a strategic approach to interpreting screening computed tomography scans on the basis of mortality data from the National Lung Screening Trial. J Thorac Imaging 28: 347-354.
-
Henschke CI, Lee IJ, Wu N, Farooqi A, Khan A, et al. (2006) CT screening for lung cancer: prevalence and incidence of mediastinal masses. Radiology 239: 586-590.
-
Hoang JK, Langer JE, Middleton WD, Wu CC, Hammers LW, et al. (2015) Managing incidental thyroid nodules detected on imaging: white paper of the ACR Incidental Thyroid Findings Committee. J Am Coll Radiol 12: 143-150.
-
Israel GM, Bosniak MA (2005) How I do it: evaluating renal masses. Radiology 236: 441-450.
-
Blake MA, Holalkere NS, Boland GW (2008) Imaging techniques for adrenal lesion characterization. Radiol Clin North Am 46: 65-78.
-
Song JH, Chaudhry FS, Mayo-Smith WW (2007) The incidental indeterminate adrenal mass on CT (>10 H) in patients without cancer: is further imaging necessary? Follow-up of 321 consecutive indeterminate adrenal masses. AJR Am J Roentgenol 189: 1119-1123.
-
Willatt JM, Francis IR (2010) Radiologic evaluation of incidentally discovered adrenal masses. Am Fam Physician 81: 1361-1366.
-
Berland LL, Silverman SG, Gore RM, Mayo-Smith WW, Megibow AJ, et al. (2010) Managing incidental findings on abdominal CT: white paper of the ACR incidental findings committee. J Am Coll Radiol 7: 754-773.
-
Berland LL, Silverman SG, Megibow AJ, Mayo-Smith WW (2014) ACR members' response to JACR white paper on the management of incidental abdominal CT findings. J Am Coll Radiol 11: 30-35.
-
Cohen MS, Arslan N, Dehdashti F, Doherty GM, Lairmore TC, et al. (2001) Risk of malignancy in thyroid incidentalomas identified by fluorodeoxyglucose-positron emission tomography. Surgery 130: 941-946.
-
Ezzat S, Sarti DA, Cain DR, Braunstein GD (1994) Thyroid incidentalomas. Prevalence by palpation and ultrasonography. Arch Intern Med 154: 1838-1840.
-
Kang KW, Kim SK, Kang HS, Lee ES, Sim JS et al. (2003) Prevalence and risk of cancer of focal thyroid incidentaloma identified by 18F-fluorodeoxyglucose positron emission tomography for metastasis evaluation and cancer screening in healthy subjects. J Clin Endocrinol Metab 88: 4100-4104.
-
Steele SR, Martin MJ, Mullenix PS, Azarow KS, Andersen CA (2005) The significance of incidental thyroid abnormalities identified during carotid duplex ultrasonography. Arch Surg 140: 981-985.
-
Shetty SK, Maher MM, Hahn PF, Halpern EF, Aquino SL (2006) Significance of incidental thyroid lesions detected on CT: correlation among CT, sonography, and pathology. AJR Am J Roentgenol 187: 1349-1356.
-
Hoang JK, Raduazo P, Yousem DM, Eastwood JD (2012) What to do with incidental thyroid nodules on imaging? An approach for the radiologist. Semin Ultrasound CT MR 33: 150-157.
-
Pickhardt PJ, Taylor AJ (2006) Extracolonic findings identified in asymptomatic adults at screening CT colonography. AJR Am J Roentgenol 186: 718-728.
-
Zalis ME, Barish MA, Choi JR, Dachman AH, Fenlon HM, et al. (2005) CT colonography reporting and data system: a consensus proposal. Radiology 236: 3-9.
-
Pooler BD, Kim DH, Lam VP, Burnside ES, Pickhardt PJ (2014) CT Colonography Reporting and Data System (C-RADS): benchmark values from a clinical screening program. AJR Am J Roentgenol 202: 1232-1237.
-
Hulbert A, Hooker CM, Keruly JC, Brown T, Horton K, et al. (2014) Prospective CT screening for lung cancer in a high-risk population: HIV-positive smokers. J Thorac Oncol 9: 752-759.

