International Journal of Clinical Cardiology
Recurrent Thrombus Formation in Left Ventricle with Preserved Systolic Function
Mustafa Yilmaztepe1*, Fatih Mehmet Ucar1, Serhat Huseyin2, Gökay Taylan1, Volkan Yüksel2, Suat Canbaz2 and Hanefi Yekta Gürlertop1
1Department of Cardiovascular Medicine, Trakya University School of Medicine, Edirne, Turkey
2Department of Cardiothoracic Surgery, Trakya University School of Medicine, Edirne, Turkey
*Corresponding author: Mustafa Yilmaztepe, MD, Department of Cardiovascular Medicine, Trakya University School of Medicine, Edirne, Turkey, 22030, Tel: 90 284 235 76 41-4314, E-mail: mayilmaztepe@yahoo.com
Int J Clin Cardiol, IJCC-2-067, (Volume 2, Issue 6), Case Report; ISSN: 2378-2951
Received: October 28, 2015 | Accepted: December 08, 2015 | Published: December 12, 2015
Citation: Yilmaztepe M, Ucar FM, Huseyin S, Taylan G, Yüksel V, et al. (2015) Recurrent Thrombus Formation in Left Ventricle with Preserved Systolic Function. Int J Clin Cardiol 2:067. 10.23937/2378-2951/1410067
Copyright: © 2015 Yilmaztepe M, et al. This is an open-access article distributed under the terms of the Creative Commons Attribution License, which permits unrestricted use, distribution, and reproduction in any medium, provided the original author and source are credited.
Case Report
A 48 years old male patient was referred to our clinic for intraventricular mass, detected incidentally during non-cardiac preoperative evaluation. The medical history of the patient was unremarkable except suspicious history of heart attack four years ago. Physical examination was normal. ECG showed normal sinus rhythm 76 beats per minute.
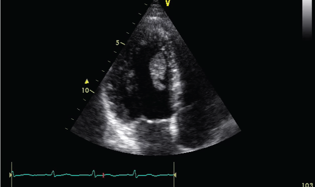
Echocardiographic examination (Figure 1) revealed isodense mobile mass attached to left ventricle apex, moving in every systole towards the left ventricle outflow tract. Left ventricular segmental wall motion abnormalities weren't detected by echocardiography. Blood analysis were performed to determine any diseases predisposing to thrombosis formation (antithrombin III, activated protein C resistance, Protein C and Protein S, Lupus anticoagulants, rheumatologic markers, erythrocyte sedimentation rate, full blood count including eosinophil count) and imaging studies were performed to rule out malignancies, but nothing could be found. Surgical excision of this mobile mass was planned because of high risk of embolization. Preoperative coronary angiography revealed chronic dissection and severe stenosis at right coronary artery with TIMI 3 distal flow. Surgical excision of the mass (Figure 2) was performed without any complication, and the patient was discharged with antiplatelet and oral anticoagulation treatment.
Pathologic examination of the mass was coherent with partially organized thrombus. At follow-ups after three months, echocardiographic examination showed recurrent apical mass (14 × 8 mm) (Figure 3). The patient was rehospitalized for adjusting anticoagulant therapy (INR was 1, 3) and with effective anticoagulant therapy the thrombus dissolved. The patient was discharged on warfarin and clopidogrel. Under strict control of INR the patient has been asymptomatic for about one year and thrombus haven't recurred.
Discussion
Left ventricular thrombi usually occur in cardiac diseases with systolic dysfunction [1], especially in patients with large anterior myocardial infarction. But there are also some reports of thrombus formation in patients with small infarcts [2] and without segmental wall motion abnormalities [3,4]. In our patient, although there wasn't any segmental wall motion abnormality in transthoracic echocardiography, cardiac magnetic resonance imaging (MRI) would be more accurate in showing wall motion abnormalities. Unfortunately MRI couldn't be performed. Rarely, left ventricular thrombus can occur due to rheumatological, hematological, oncological, inflammatory bowel diseases or some infectious diseases that are causing predisposition to coagulation [5-10]. We could not find any other disorder causing a procoagulant state in our patient. Endothelial dysfunction due to previous myocardial infarction is the most probable cause of thrombus formation. Treatment of patients with left ventricular thrombus is controversial. Although the thrombus can dissolve with anticoagulant treatment or thrombolytic therapy [11], there is high risk of thromboembolism. Surgery must be thought in patients with large masses, like in our case, and a history of emboli.
Supplementary file 1
Supplementary file 2
References
-
Wilensky RL, Jung SC (1995) Thromboembolism in patients with decreased left ventricular function: incidence, risk, and treatment. J Cardiovasc Risk 2: 91-96.
-
Kareem H, Devasia T, Pai VB, Minocha K (2014) A giant 'sausage' thrombus in the left ventricle in a patient with preserved ventricular function. BMJ Case Rep 2014.
-
Kahya Eren N, Emren SV, Duygu H, Kocabas U (2013) Left ventricular thrombus formation in a patient with normal ejection fraction. Turk Kardiyol Dern Ars 41: 625-628.
-
Raut MS, Maheshwari A, Dubey S, Joshi S (2015) Left ventricular mass: myxoma or thrombus? Ann Card Anaesth 18: 95-97.
-
Alzand BS, Ilhan M (2008) Thrombus in a normal left ventricle. Neth Heart J 16: 24-25.
-
Oeser C, Martin Andreas, Claus Rath, Andreas Habertheuer, Alfred Kocher (2015) Left ventricular thrombus in a patient with cutaneous T-cell lymphoma, hypereosinophilia and Mycoplasma pneumoniae infection - a challenging diagnosis: a case report. J Cardiothorac Surg 10: 21.
-
Lisitsyna T, Alekberova Z, Ovcharov P, Volkov A, Korsakova J, et al. (2015) Left ventricular intracardiac thrombus in a patient with Behcet disease successfully treated with immunosuppressive agents without anticoagulation: a case report and review of the literature. Rheumatol Int 35: 1931-1935.
-
Denas G, Jose SP, Bracco A, Zoppellaro G, Pengo V (2015) Antiphospholipid syndrome and the heart: a case series and literature review. Autoimmun Rev 14: 214-222.
-
Iyer A, Marney L, Ipp S, Bough G, McCoombe D, et al. (2014) Recurrent left ventricular thrombus in Crohn's disease: a rare presentation. Asian Cardiovasc Thorac Ann 22: 86-88.
-
Ozyigit T, Z Bugra (2007) Left ventricular thrombus in a patient with esophageal carcinoma. Anadolu Kardiyol Derg 7: 115-116.
-
Seker T, Baykan AO, Borekci A, Gur M, Cayli M (2014) Successful treatment of a huge thrombus with thrombolytic therapy in a patient with normal left ventricle function and Takayasu arteritis. Turk Kardiyol Dern Ars 42: 763-766.
