RESEARCH ARTICLE | VOLUME 4, ISSUE 1 | OPEN ACCESS DOI: 10.23937/2469-584X/1510054

A Retrospective Study of Catheter-Related Thrombosis Using the Central Vein Catheters for the Ulcerative Colitis Patients

Shinichiro Koketsu1,2*, Shinichi Sameshima1, Takashi Okuyama1, Hiroshi Shigematsu3 and Masatoshi Oya1

1Department of Surgery, Koshigaya Hospital, Dokkyo Medical University, Saitama, Japan

2Soka Green Clinic, Saitama, Japan

3Department of Vascular Surgery, International University of Health and Welfare, Tokyo, Japan

*Corresponding author: Shinichiro Koketsu, Department of Surgery, Koshigaya Hospital, Dokkyo Medical University, 2-1-50, Minamikoshigaya, Koshigaya City, Saitama, Japan, Post code: 343-8555, Tel: +81-48-965-1111, Fax: +81-48-965-1127.

Accepted: January 20, 2018 | Published: January 22, 2018

Citation: Koketsu S, Sameshima S, Okuyama T, Shigematsu H, Oya M (2018) A Retrospective Study of Catheter-Related Thrombosis Using the Central Vein Catheters for the Ulcerative Colitis Patients. J Clin Gastroenterol Treat 4:054. doi.org/10.23937/2469-584X/1510054

Copyright: © 2018 Koketsu S, et al. This is an open-access article distributed under the terms of the Creative Commons Attribution License, which permits unrestricted use, distribution, and reproduction in any medium, provided the original author and source are credited.

Abstract


Background

Leukocyte apheresis is a therapeutic option for moderate-to-severe active ulcerative colitis in Japan. It causes fewer complications, however, leukocyte apheresis requires the use of a relatively large caliber of peripheral venous line for hemodialysis. We reluctantly used a large caliber catheter with a double-lumen into the central vein. Catheter-related thrombosis and infection cases were occasionally observed during leukocyte apheresis. The impact of the catheter size and the thrombosis complication has been not fully elucidated. This was a retrospective study of 15 ulcerative colitis patients using the central vein catheters for the leukocyte apheresis.

Methods

We examined data derived from patients receiving leukocyte apheresis over 2 years. Leukocyte apheresis was performed through the peripheral vein in 9 patients, and for 6 patients placed a double-lumen central vein catheter.

Results

Three of 6 patients who used dialysis catheters developed catheter-related thrombosis and sepsis. Another 3 patients who underwent a double-lumen central vein catheter and 9 patients who underwent apheresis through the peripheral vein did not develop obvious infection or thrombosis.

Conclusion

It is important to select as small a caliber of catheter as possible to prevent thrombosis, when we place a central vein catheter in patients in the active phase of ulcerative colitis, as caliber of catheter is associated with thrombus formation. Especially the risk of hypercoagulability increases in the active phase of ulcerative colitis.

Keywords


Ulcerative colitis, Central vein catheter, Thrombosis, Hypercoagulability, Leukocyte apheresis

Abbreviations


UC: Ulcerative Colitis; LA: Leukocyte Apheresis; CV: Central Vein

Introduction


Ulcerative colitis (UC) is an idiopathic colonic inflammatory disease. In addition to corticosteroids, 5-aminosalicylic acid and conventional immunosuppressive agents, more recent effective drugs such as infliximab, adalimumab, and tacrolimus, have been introduced to the remission induction therapy of UC. However, achieving remission induction therapy is difficult in some cases when inflammation flares up. Leukocyte apheresis (LA) is a therapeutic option for steroid-dependent or steroid-resistant UC patients with moderate-to-severe active steroid UC as described in 'Guidelines for the Management of Ulcerative Colitis in Japan' [1]. The infiltration of leukocytes into the intestinal mucosa plays an important role in the formation of mucosal lesions via the increased production of cytokines and inflammatory mediators [2]. LA is an excellent therapy that removes peripherally circulating activated leukocytes or granulocytes in the blood by the extracorporeal circulation technique of filtration using a leukocyte removal column [3]. In addition, it has fewer complications compared to other drug therapies. Furthermore, it does not require the measurement of blood concentrations of the administrated agent [4,5]. However, LA requires a relatively large caliber peripheral venous line for hemodialysis over several weeks. Sometimes it is difficult to maintain the peripheral venous line in patients with veins in a poor condition. In this situation, we reluctantly place a large caliber catheter with a double- or triple-lumen into the central vein (CV) via the internal jugular vein or the femoral vein for LA. We have occasionally experienced severe catheter-related thrombosis and infection cases with central vein catheters. The impact of the catheter size and the thrombosis complication has been not fully elucidated. We retrospectively collected data derived from patients who received LA over 2 years in our hospital.

Methods


Fifteen patients received LA over 2 years in our hospital. LA was performed through the peripheral vein in 9 patients. Six patients received dialysis catheters into the CV. We used a double-lumen catheter (GamCath Dolphin catheter, 11Fr, double lumen, Baxter, Deerfield, IL, USA) for LA in 5 adult patients and a double-lumen catheter (6.5Fr) for 1 pediatric patient. Patient characteristics are shown in Table 1. All catheters were managed in accordance with the Centers for Disease Control and Prevention Guidelines [6]. LA was preformed twice a week, and total parenteral nutrition was administered daily.

Table 1: Characteristics of ulcerative colitis cases associated with leukocyte apheresis. View Table 1

Results


LA was performed safely without complication in 15 patients. Three of 6 patients who received dialysis catheters showed catheter-related thrombosis and sepsis and one patient had catheter occlusion (Table 2). Another 3 patients who underwent a double-lumen central vein catheter and 9 patients who underwent apheresis through the peripheral vein did not develop obvious infection or thrombosis. Seven of 9 patients with apheresis through the peripheral vein underwent single lumen central vein catheter for intravenous alimentation.

Table 2: Complications of ulcerative colitis cases when a catheter was placed into the central vein. View Table 2

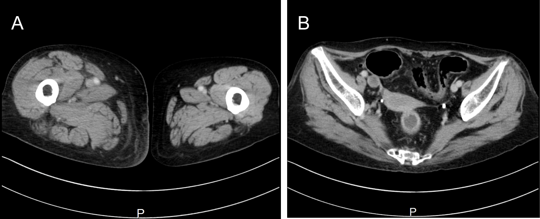
Patient case 1 was placed a right inguinal catheter and had swelling and flares on her right lower extremity after 12 days of catheter placement. Computed-tomography scans revealed a wide range of thrombus formation over the right femoral vein to inferior vena cava (Figure 1). We immediately placed an inferior vena cava filter (Figure 2) via the jugular vein and initiated thrombolytic therapy. Patient case 3 was placed a right jugular catheter and showed signs of sepsis; therefore, we removed the catheter on the third day. A thrombus was found on the catheter tip. Acinetobacter was also detected by culture of patient blood and the catheter tip. The patient's fever was improved after catheter withdrawal. Patient case 5 was placed a right jugular catheter and developed remittent fever after the initial LA. We administrated antibiotics and removed the catheter. Thrombus was observed on the tip of catheter. Blood culture and culturing the catheter tip were negative. However, remittent fever was improved after catheter removal. All patients recovered without any after effects.

Figure 1: CT scan reveals a swollen right lower extremity (1-a) and filling defect showed thrombosis in the right iliac vein (1-b). View Figure 1

Figure 2: Venography shows a blood clot and the inferior vena cava filter. View Figure 2

Discussion


LA, as stated in 'Guidelines for the Management of Ulcerative Colitis in Japan', is an effective treatment for patients with severe refractory UC. LA was reported to induce remission in 60 -75% of active-staged UC patients [4,5]. However, to perform hemodialysis a relatively large caliber of peripheral venous line is required. Our hospital performs steroid intensive intravenous therapy and LA for patients with refractory UC. In cases where maintaining the intravenous line is difficult because of the poor quality of the peripheral vein, LA is performed by using a CV catheter. It is important to note that we complied with the Maximal Sterile Barrier Precautions in accordance with the Centers for Disease Control and Prevention Guidelines [6] for CV placement.

It is rare to observe thrombosis and infection over such a short period in diseases other than UC. Fifteen cases received LA of which six were performed using dialysis catheters. Complications such as catheter-related thrombosis and sepsis occurred in 3 cases and occlusion in 1 case.

In general, venous thromboembolism is a serious complication of UC [7]. Hypercoagulability has also been shown to increase in the active phase of UC [8,9], and might be caused by a mechanism involving increasing platelet counts and enhancement of the coagulation system [7]. However, in the case of severe UC, we may use a CV catheter for intravenous alimentation in fasted cases, but we do not often experience severe complications such as thrombosis and sepsis with catheter use over a short period. In the present study, a CV catheter (16G, single lumen) was used for intravenous alimentation in 7 patients; however, obvious infection or thrombosis was not detected. The diameter of a 16 G catheter is 1.6 mm; in contrast, the diameter of an 11 Fr catheter for LA is 3.5 mm. An association between thrombus formation and catheter caliber was previously reported [10,11]. In the cases described here, we considered the use of a large caliber catheter the cause of thrombosis and subsequent sepsis.

The Centers for Disease Control and Prevention Guidelines also describe a relationship between thrombosis and catheter infection [6]. In the present cases, catheter-related infections had evolved from the catheter thrombosis. The possible reasons why a large caliber catheter causes thrombosis might be a relative stenosis of the vein into which the catheter is inserted, blood flow stasis and turbulence.

Conclusion


When the active phase of UC shows hypercoagulability, a high risk of catheter-related thrombosis must be considered. The placement of a large caliber catheter into the CV has a high risk of causing thrombosis. Therefore, when we place a CV catheter into patients in the active phase of UC, it is necessary to select as small a caliber of catheter as possible to prevent thrombosis. In conclusion, it is important to pay attention to catheter-related thrombosis for cases when a CV catheter is used in the active phase of UC.

Disclosure Statement


There is no Conflict of Interest about this manuscript for all authors.

Compliance with Ethical Standards


Funding: This study was not funded by any grant.

Ethical approval: All procedures performed in studies involving human participants were in accordance with the ethical standards of the institutional and national research committee and with the 1964 Helsinki declaration and its later amendments or comparable ethical standards.

Informed consent: Informed consent was obtained from all individual participants included in the study.

Statement of equal authors' contribution: No coauthor applicable.

References


  1. Hibi T, Ueno F, Research group for intractable Inflammatory Bowel Disease 2006 (2010) Guidelines for the management of ulcerative colitis in japan. IBD Research 4: 44-91.

  2. Grimm MC, Pullman WE, Bennett GM, Sullivan PJ, Pavli P, et al. (1995) Direct evidence of monocyte recruitment to inflammatory bowel disease mucosa. J Gastroenterol Hepatol 10: 387-395.

  3. Emmrich J, Petermann S, Nowak D, Beutner I, Brock P, et al. (2007) Leukocytapheresis (LCAP) in the management of chronic active ulcerative colitis--results of a randomized pilot trial. Dig Dis Sci 52: 2044-2053.

  4. Sawada K, Muto T, Shimoyama T, Satomi M, Sawada T, et al. (2003) Multicenter randomized controlled trial for the treatment of ulcerative colitis with a leukocytapheresis column. Curr Pharm Des 9: 307-321.

  5. Shimoyama T, Sawada K, Hiwatashi N, Sawada T, Matsueda K, et al. (2001) Safety and efficacy of granulocyte and monocyte adsorption apheresis in patients with active ulcerative colitis: a multicenter study. J Clin Apher 16: 1-9.

  6. O'Grady NP, Alexander M, Burns LA, Dellinger EP, Garland J, et al. (2011) Guidelines for the prevention of intravascular catheter-related infections. Clin Infect Dis 52: e162-e193.

  7. Miehsler W, Reinisch W, Valic E, Osterode W, Tillinger W, et al. (2004) Is inflammatory bowel disease an independent and disease specific risk factor for thromboembolism? Gut 53: 542-548.

  8. Solem CA, Loftus EV, Tremaine WJ, Sandborn WJ (2004) Venous thromboembolism in inflammatory bowel disease. Am J Gastroenterol 99: 97-101.

  9. Danese S, Papa A, Saibeni S, Repici A, Malesci A, et al. (2007) Inflammation and coagulation in inflammatory bowel disease: The clot thickens. Am J Gastroenterol 102: 174-186.

  10. Grove JR, Pevec WC (2000) Venous thrombosis related to peripherally inserted central catheters. J Vasc Interv Radiol 11: 837-840.

  11. Evans RS, Sharp JH, Linford LH, Lloyd JF, Tripp JS, et al. (2010) Risk of symptomatic DVT associated with peripherally inserted central catheters. Chest 138: 803-810.