Citation

Öztürk B, Eroğlu A, Öztop I, Sivrikoz ON, Mungan MU (2024) Cystıc Nephroma: Case Report. Int J Pathol Clin Res 10:160. doi.org/10.23937/2469-5807/1510160

Case Report | OPEN ACCESS DOI: 10.23937/2469-5807/1510160

Cystıc Nephroma: Case Report

Bilgin Öztürk1*, Aşkın Eroğlu2, İncila Öztop3, Oya Nermin Sivrikoz3 and Mehmet Uğur Mungan4

1Department of Urology, Private Medifema Hospital, İzmir, Turkey

2Department of Urology, Başkent University Research and Training Medical Center, İzmir, Turkey

3Department of Pathology, Başkent University Research and Training Medical Center, İzmir, Turkey

4Department of Urology, School of Medicine, Dokuz Eylül University, İzmir

Summary

Cystic nephromas, formerly known as multilocular cystic nephromas, are rare benign renal neoplasms that classically occur in adult women in the 4th and 5th decades. In our case report, we present a 72-year-old male with a cystic nephroma who was admitted to our clinic due to hematuria and underwent surgery for a right renal mass, along with radiology and pathology images.

Introduction

Cystic nephroma (CN) is a rare benign neoplasia and is mostly seen in middle-aged women. These masses, which are generally asymptomatic, are detected incidentally radiologically. Emerging terminology regarding CNs, and other cystic kidney tumors reflects ongoing changes in classification as understanding of disease processes and genetic abnormalities changes. Herein, we present a patient with a CN who was presented to hospital with hematuria and underwent surgery for a renal mass, along with radiology and pathology images.

Case Report

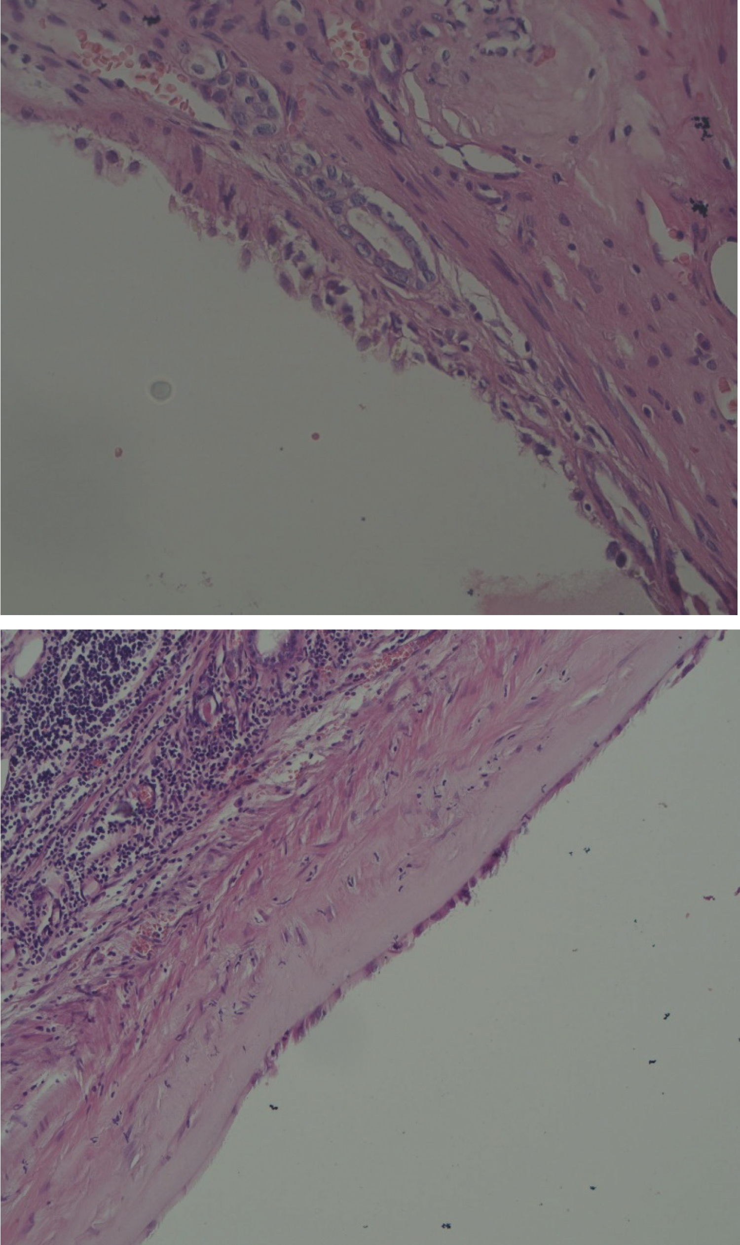
A 72-year-old male patient was admitted to our urology clinic after a right renal mass was detected in abdominal ultrasonography performed due to hematuria. A computed tomography (CT) scan was performed on the patient before the surgery. In the patient's entire abdominal tomography examination, a multilocular cystic lesion was observed in the upper pole of the right kidney, containing parapelvic and exophytic components, reaching 50 × 51 × 50 mm in size at its widest point, and containing thin septa in the anterior and slight contrast enhancement and millimetric-sized calcification in the septa (Figure 1). This cystic lesion was evaluated as type 3 according to the Bosniak classification. The patient underwent transperitoneal laparoscopic right radical nephrectomy. After pathologic examination, a diagnosis of CN was made. In CN, which consists of cysts and septa, epithelial cells in the form of hobnail and a tubular structure in the septa were seen (Figure 2 and Figure 3). During the 2-year follow-up of the patient, no additional treatment was given, and no local recurrence or metastasis was observed. The patient was informed about the case presentation and written consent was obtained for the publication of the case and the use of their images.

Figure 1: CT image of multilocular cystic lesion, separated by thin septations. View Figure 1

Figure 2: Macroscopic image of specimen. View Figure 2

Figure 3: Microscopic image of the lesion (Hematoxylin & Eosin staining, top x40 magnification. bottom x20 magnification). View Figure 3

Discussion

Cystic nephroma is a rare, non-hereditary, benign cystic neoplasm of the kidney. It was first described by Edmunds in 1893, called cystic adenoma, and nearly 200 cases have been reported [1]. It was described as a case report by Boggs and Kimmelstiel in 1956 [2]. CN is a benign, cystic, multilocular renal mass composed of epithelial and stromal elements. Cyst adenoma is defined using many terms such as solitary multilocular cyst, benign mutilocular cyst, benign cystic nephroma, cystic hamartoma, multilocular kidney cyst, multilocular cystic nephroma, and multi-cystic nephroma [3]. Histologic criteria for multicystic nephroma were determined by Joshi and Beckwith in 1989 [4]. Accordingly, the diagnostic criteria of CN were redefined as follows: (a) Multiple cysts and their septa; (b) Well-circumscribed mass distinct from the renal parenchyma; (c) Does not contain any solid components, only compartments may contain solid parts; (d) The cyst epithelium contains collapsed, cuboidal or “hobnail” cells; (e) Septa consist of well-differentiated renal tubular or fibrous tissues. CN has a bimodal distribution pattern. It is most common in boys in the first 2-years of life and is called pediatric cystic nephroma. Secondly, it is seen over the age of 30 years. The so-called adult CN (suggesting association with circulating hormones) is characterized by a female predominance and is considered to be at the highly cystic end of the spectrum of mixed epithelial and stromal tumors (MEST) [5].

CN is considered a separate entity classified under soft tissue tumors of the kidney [6]. The World Health Organization (WHO) 2016 classification covers the tumor spectrum, ranging from predominantly cystic tumors and CN to variable solid and cystic MEST [7]. They are clinically silent lesions and are seen incidentally on radiologic examinations, like other mass or cystic lesions of the kidney. Symptomatic adult patients present with flank pain, gross hematuria, abdominal mass, and urinary tract infection. They tend to be unilateral, but very rare bilateral cases have also been reported. Most patients have silent lesions and remain asymptomatic unless incidentally diagnosed on imaging due to another cause. In the differential diagnosis, cystic partially differentiated nephroblastoma, multicystic dysplastic kidney, malignant necrotic and hemorrhagic mass lesions (renal cell carcinoma) and cystic mesoblastic nephroma should be considered [4].

In imaging studies, although ultrasonography (USG) and abdominal CT are helpful in the differential diagnosis of CN, it is generally very difficult to distinguish between Bosniak type 2 and 3 cysts. On CT, CN appears as a well-circumscribed multilocular cystic mass containing numerous variable thickened septa and solid components with serous fluid and contrast enhancement within the cyst. Sometimes obstructive symptoms such as hydronephrosis and bleeding may be observed due to the spread of the neoplasm to the renal pelvis [8]. In cases where the exact distinction between type 2 and 3 cysts is very difficult, the Bosniak classification is generally used in CT to determine the risk of malignancy. Generally, the potential for Category III and above CN or malignancy is greater than 54% [9]. In multicystic renal cell carcinoma (RCC), it is difficult to make a preoperative diagnosis based on imaging studies, and therefore total or partial nephrectomy is the only feasible and definitive method depending on the size of the tumor to reach a specific diagnosis.

As a result, CN is a rare, mostly benign lesion, and renal tumors with malignant cystic content should be kept in mind in its differential diagnosis. In selected cases, partial nephrectomy may be an appropriate treatment option. It has been reported that local recurrence may occur in cases where partial nephrectomy was performed [10]. After the histopathologic diagnosis is made, it is necessary to follow up for malignant transformation, local recurrence or metastasis.

References

  1. Edmunds W (1892) Cystic adenoma of kidney. Trans Pathol Soc Lond 43: 89-90.
  2. Boggs LK, Kimmelstiel P (1956) Benign multilocular cystic nephroma: Report of two cases of so-called multilocular cyst of the kidney. J Urol 76: 530-541.
  3. Castillo OA, Boyle ET Jr, Kramer SA (1991) Multilocular cysts of kidney. A study of 29 patients and review of literature. Urology 37: 156-162.
  4. Joshi VV, Beckwith JB (1989) Multilocular cyst of the kidney (cystic nephroma) and cystic, partially differentiated nephroblastoma. Terminology and criteria for diagnosis. Cancer 64: 466-479.
  5. Mehra BR, Thawait AP, Akther MJ, Narang RR (2011) Multicystic nephroma masquerading as Wilms’ tumor: A clinical diagnostic challenge. Saudi J Kidney Dis Transpl 22: 774-778.
  6. Jevremovic D, Lager DJ, Lewin M (2006) Cystic nephroma (multilocular cyst) and mixed epithelial stromal tumor of the kidney: A spectrum or the same entity? Ann Diagn Pathol 10: 77-82.
  7. Moch H, Cubilla AL, Humphrey PA, Reuter VE, Ulbright TM (2016) The 2016 WHO classification of tumours of the urinary system and male genital organs-part a: Renal, penile, and testicular tumours. Eur Urol 70: 93-105.
  8. Verma R, Verma J, Gupta N (2024) Multilocular cystic nephroma in an adult: A diagnostic quandary. CEN Case Rep 13: 356-365.
  9. Wilkinson C, Palit V, Bardapure M, Thomas J, Browning AJ, et al. (2013) Adult multilocular cystic nephroma: Report of six cases with clinical, radio-pathologic correlation and review of literature. Urol Ann 5: 13-17.
  10. Bastian PJ, Kuhlmann R, Vogel J, Bastian HP (2004) Local recurrence of a unilateral cystic nephroma. Int J Urol 11: 329-331.

Citation

Öztürk B, Eroğlu A, Öztop I, Sivrikoz ON, Mungan MU (2024) Cystıc Nephroma: Case Report. Int J Pathol Clin Res 10:160. doi.org/10.23937/2469-5807/1510160