Citation

Oikawa JET, de Souza JGL, Ferreira VCC, Wille PR, Parolin LF, et al. (2019) Optic Perineuritis Secondary to Sjogreen's Syndrome: Case Report. Int J Brain Disord Treat 5:031. doi.org/10.23937/2469-5866/1410031

CASE REPORT | OPEN ACCESS DOI: 10.23937/2469-5866/1410031

Optic Perineuritis Secondary to Sjogreen's Syndrome: Case Report

Juliana Emy Tolachinski Oikawa1*, Julia Gomes Leite de Souza1, Vitória Caroline Cardoso Ferreira1, Paulo Roberto Wille, MD, PhD2, Laura Fiuza Parolin, MD3 and Marcus Vinícius Magno Gonçalves, MD, PhD3

1Medical Students, Universidade da Região de Joinville, Brazil

2Department of Radiology, Universidade da Região de Joinville, Brazil

3Department of Neurology, Universidade da Região de Joinville, Brazil

Keywords

Optic perineurits, Sjogreen, Neuroimmunology

Background

Optic perineuritis (OPN) is a rare inflammatory disease involving the optic nerve sheath [1], causing pain and disc edema and is often bilateral [2]. The diagnosis of OPN is commonly based on magnetic resonance imaging (MRI) findings and clinical features [3]. In MRI it is possible to visualize a circumferential enhancement around the intraorbital optic nerve with preservation of the nerve itself (doughnut sign) [4]. This is better seen in contrast-enhanced and suppressed coronal MRI sequences with fat. Magnetic resonance imaging may also show enhancement of orbital fat and slight increase in extraocular muscles [1]. The etiologies of OPN include syphilis [5,6], tuberculosis [7,8], herpes zoster [9], sarcoidosis [10,11], Wegener's granulomatosis [12], granulomatosis associated with polyangiitis [13], giant cell arteritis [14,15] Crohn's disease [16], Behçet's disease [1], acute retinal necrosis [17]. However, in most cases, no specific etiology is identified and these cases are categorized as idiopathic OPN [18].

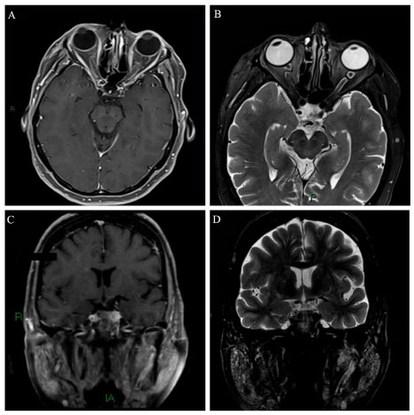
A 68-year-old woman started with a subacute onset of progressive visual acuity worsening associated with bilateral retrobulbar pain about 4 months ago. Fundoscopy was normal and reduced direct and consensual photo motor reflex. Sicca syndrome was confirmed in Schirmer test. Rheumatoid factor was positive (23.6) and anti-RO/LA antibody positive. Cranial MRI showed very thin and intense contrast enhancement along both optic nerve sheath and parotid edema associated (Figure 1) meeting the criteria of Sjogren syndrome (SS) [19]. We found no evidence of secondary SS suggesting a form primary.

Figure 1: Axial A) T1-spin echo, after gadolinium i.v. injection and axial; B) T2 with fat saturation show a very thin and intense symmetrically contrast enhancement along both optic nerve sheath as well a high intensity thickening along of both optic perineural CSF space. Coronal C) T1-spin echo, after gadolinium i.v. injection and coronal; D) T2 with fat saturation reveal a symmetrical increase of parotidite glands. View Figure 1

Patient had clinical improvement of visual acuity and retroocular pain partially after pulse therapy with methylprednisolone. Rituximab maintenance patient every 6 months. SS is a rare cause and should not be forgotten as a differential diagnosis of optic perineurit.

References

  1. Lai C, Sun Y, Wang J, Purvin VA, He Y, et al. (2015) Optic perineuritis in behçet disease. J Neuroophthalmol 35: 342-347.
  2. Lana-Peixoto MA (2002) Sistema sensorial-parte I-Revisão 1997-1999. Neurooftalmologia. Arquivos Brasileiros de Oftalmologia.
  3. Tatsugawa M, Noma H, Mimura T, Funatsu H (2010) High-dose steroid therapy for idiopathic optic perineuritis: A case series. J Med Case Rep 4: 404.
  4. Purvin V, Kawasaki A (2009) Optic perineuritis secondary to wegener's granulomatosis. Clin Exp Ophthalmol 37: 712-717.
  5. Toshniwal P (1987) Optic perineuritis with secondary syphilis. J ClinNeuroophthalmol 7: 6-10.
  6. Lim SH, Heng LK, Puvanendran K (1990) Secondary syphilis presenting with optic perineuritis and uveitis. Ann Acad Med Singapore 19: 413-415.
  7. Raghibi A, Wan Hitam WH, Noor RAM, Embong Z (2012) Optic perineuritis secondary to tuberculosis: A rare case presentation. Asian Pac J Trop Biomed 2: S1206-S1208.
  8. Yates WB, Nothling S, Lawlor M (2019) Optic perineuritis due to tuberculosis. J Neuro-Ophthalmology 39: 257-259.
  9. Bansal R, Singh R, Takkar A, Lal V (2017) Combined central retinal artery and vein occlusion with optic perineuritis following herpes zoster dermatitis in an immunocompetent child. Indian J Ophthalmol 65: 1233-1235.
  10. Yu-Wai-Man P, Crompton DE, Graham JY, Black FM, Dayan MR (2017) Optic perineuritis as a rare initial presentation of sarcoidosis. Clin Exp Ophthalmol 35: 682-684.
  11. Kidd DP, Burton BJ, Graham EM, Plant GT (2016) Optic neuropathy associated with systemic sarcoidosis. Neurol Neuroimmunol Neuroinflammation 3: e270.
  12. Takazawa T, Ikeda K, Nagaoka T, Hirayama T, Yamamoto T, et al. (2014) Wegener granulomatosis-associated optic perineuritis. Orbit 33: 13-16.
  13. Yoshitaka K, Kurumi A, Hirotoshi K, Hajime K (2017) Refractory optic perineuritis due to granulomatosis with polyangiitis successfully treated with methotrexate and mycophenolate mofetil combination therapy. Eur J Rheumatol 4: 70-72.
  14. Morotti A, Liberini P, Padovani A (2013) Bilateral optic perineuritis as the presenting feature of giant cell arteritis. BMJ Case Rep.
  15. Pappolla A, Silveira F, Norscini J, Miquelini L, Patrucco L (2019) Bilateral optic perineuritis as initial presentation of giant cell arteritis. Neurologist 24: 26-28.
  16. Mcclelland C, Zaveri M, Walsh R, Fleisher J, Galetta S (2012) Optic perineuritis as the presenting feature of crohn disease. J Neuroophthalmology 32: 345-347.
  17. Byon IS, Jung JH, Kim HY, Park SW, Lee JE (2013) Optic perineuritis secondary to acute retinal necrosis. J Neuro-Ophthalmology 33: 419-421.
  18. Hickman SJ (2016) Optic perineuritis. Curr Neurol Neurosci Rep 16: 16.
  19. Vitali C, Bombardieri S, Jonsson R, Moutsopoulos HM, Alexander EL, et al. (2002) Classification criteria for sjögren's syndrome: A revised version of the European criteria proposed by the American-European consensus group. Ann Rheum Dis 61: 554-558.

Citation

Oikawa JET, de Souza JGL, Ferreira VCC, Wille PR, Parolin LF, et al. (2019) Optic Perineuritis Secondary to Sjogreen's Syndrome: Case Report. Int J Brain Disord Treat 5:031. doi.org/10.23937/2469-5866/1410031