Citation

DINGAMNODJI M, ANDJEFFA V, MOSSALMBAYE DA, FANDEBNET S, NTJAM ACM, et al. (2025) Place of Hackethal-Type Fasciculated Pinning in the Treatment of Diaphyseal Fractures of the Humerus at the University Hospital Centre of the Renaissance of N'djamena. Trauma Cases Rev 11:109. doi. org/10.23937/2469-5777/1510109

Research Article | OPEN ACCESS DOI: 10.23937/2469-5777/1510109

Place of Hackethal-Type Fasciculated Pinning in the Treatment of Diaphyseal Fractures of the Humerus at the University Hospital Centre of the Renaissance of N'djamena

Magloire DINGAMNODJI1*, Valentin ANDJEFFA2, Daniel ADENDJINGUE MOSSALMBAYE2, Siniki FANDEBNET3, André Claude MBAGA NTJAM4, Ngamai KOTYADE5 and Mohamed TALL6

1Department of Orthopedic Surgery and Traumatology, Faculty of Medicine, CHU la Renaissance, University of Abéché, Chad

2Department of Orthopedic Surgery and Traumatology, Faculty of Human Health Sciences, University of N'djaména (FSSH), Chad

3Department of Orthopedic Surgery and Traumatology, Faculty of Human Health Sciences, CHU la Renaissance, University of N'djaména (FSSH), Chad

4Department of Orthopedic Surgery and Traumatology, Faculty of Medicine and Biomedical Sciences, Bonassama-Douala District Hospital, University of Yaoundé, Cameroon

5Department of Orthopedic Surgery and Traumatology, Faculty of Medicine, CHU la Renaissance, Adam Barka University of Abéché (UNABA), Chad

6Head of the Orthopedic and Traumatological Surgery Department at the CHU de bogodogo in Ouagadougou; Full Professor at the Faculty of Medicine, Joseph Ki Zerbo University, Ouagadougou, Burkina Faso

Abstract

Introduction: Hackethal-type fasciculated pinning is a closed-focus osteosynthesis technique for humeral shaft fractures. Our aim was to evaluate the anatomical and functional results.

Methodology: This was a descriptive cross-sectional study covering a 54-month period from January 2019 to June 2023 in the Department of Orthopaedic and Traumatological Surgery. All patients aged 18 or over who underwent surgery and were followed up at SCOT during the study period and had a usable clinical record were included. The AO and Gustillo/Anderson (G/A) classifications were used to classify lesions. Results were assessed using the STEWARD AND HUNDLEY score.

Results: Frequency was 1.15%. Mean age was 31.55 (18 and 68 years). Men accounted for 90% (n = 18), women 10% (n = 2), with a sex ratio of 9 in favor of men. The average consultation time was 6.2 days. Road traffic accidents predominated, accounting for 55% (n = 11). The majority of patients were right-sided, 85% (n = 17), while the left side was affected in 60% (n = 12). There were five cases of cutaneous opening, and AO type 12A3 invoices were frequent in 65% (n = 13). The approach was supraolecranial in 19 (95%). Bone consolidation was achieved in 19 cases (95%). The mean time to consolidation was 11 weeks. Functional and anatomical results were excellent in 80% of cases.

Conclusion: Hackethal skewering remains an easy and rapid technique, but requires perfect mastery of the procedure.

Keywords

Hackethal pinning humerus N'Djamena

Introduction

Fractures of the humeral shaft are all solutions of continuity occurring in a region bounded superiorly by the inferior edge of the insertion of the pectoralis major muscle and inferiorly by the inferior edge of the insertion of the brachialis anterior muscle [1]. They are not uncommon, ranking 4th behind leg fractures [2]. They account for 5% of all fractures [3]. Their frequency is increasing due to the growing number of public road accidents [4]. Diagnosis of these fractures is straightforward, based on the clinical X-ray findings. On the other hand, there is far from unanimous agreement on treatment modalities [5]. There are advocates of orthopedic treatment and those of surgical treatment. Hackethal-type fasciculated pinning is a closed-focus osteosynthesis technique, and appears to be an intermediate solution between orthopedic methods and plate or nail osteosynthesis. The aim of our work was to analyze the anatomical and functional results of this technique in order to deduce its advantages and limitations.

Materials and Methods

We conducted a descriptive cross-sectional study over a 54-month period from January 2019 to June 2023 at the Orthopedic and Trauma Surgery Department (SCOT) of the Renaissance University Hospital. All patients aged 18 or over who underwent surgery and were followed up at SCOT during the study period and had a usable clinical record were included. Patients treated by other surgical procedures and orthopedically, as well as those with incomplete clinical records, were excluded from our study. The AO classification was used for bone lesions and the Gustillo/Anderson (G/A) classification for skin opening. All patients were positioned supine on a standard table under general anaesthesia, with the fractured limb placed on a radiolucent table. Reduction was performed by external maneuvering under the control of a mobile image intensifier, parallel to the operating table. The supra-olecranial approach through an oval hole was used to insert Metaizeau wires of various sizes (Figure 1). The pins were inserted into the fracture site and diverged in the humeral head under image intensifier control (Figure 2), and an immediate control radiograph was taken (Figure 3). Epidemiological, radio-clinical, therapeutic and evolutionary variables were studied on the basis of a data sheet and patient summons. Anatomical and functional results were assessed using the STEWARD AND HUNDLEY score.

Figure 1: Different sizes of Métaizeau wire and materials for installation. View Figure 1

Figure 2: (a) Left humeral shaft fracture; (b) Wire insertion. View Figure 2

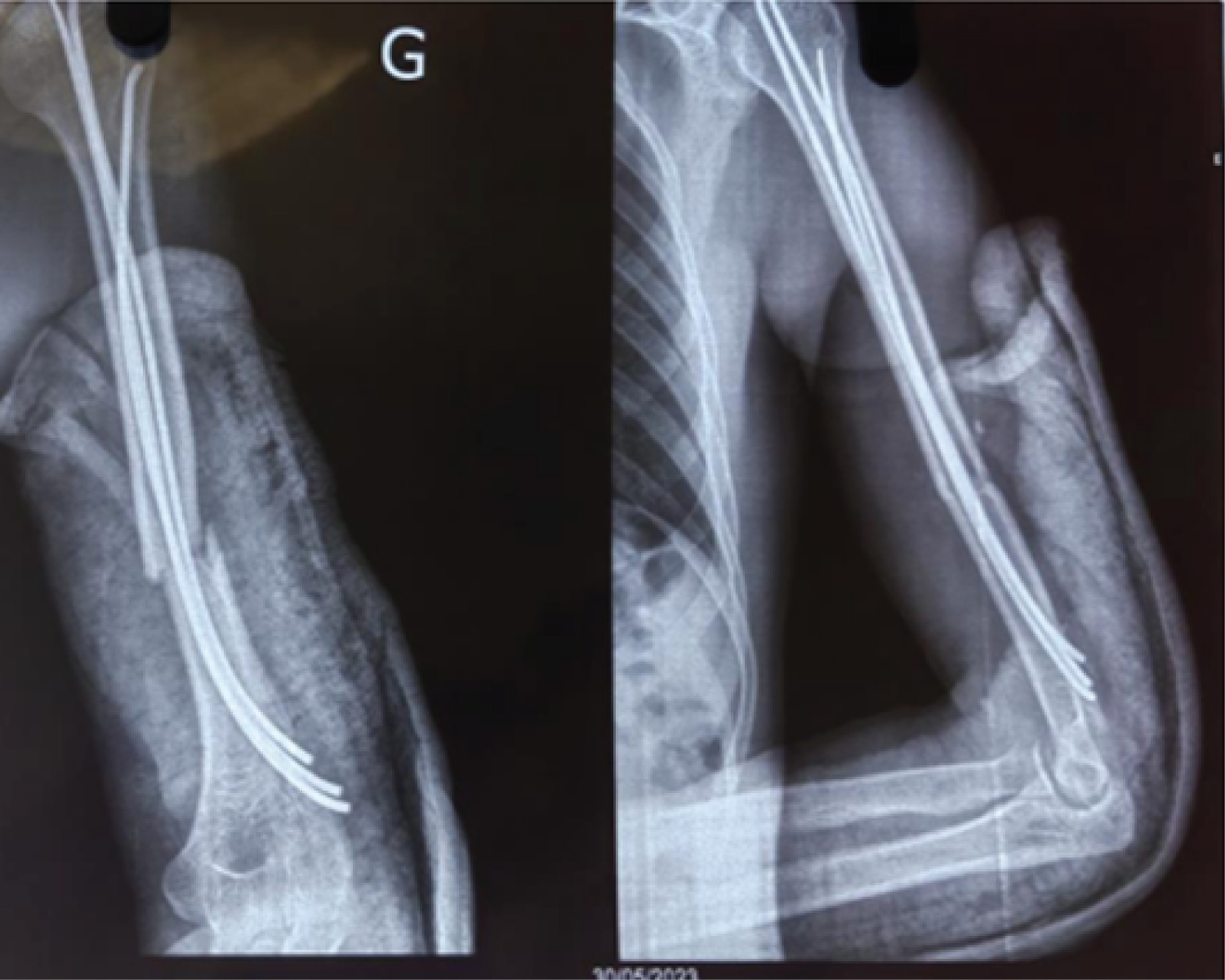
Figure 3: Control X-ray (a) front (b) profile. View Figure 3

Results

Epidemiological variables

We recorded 1,729 cases of compound fractures in the Department of Orthopaedic Surgery and Traumatology (SCOT) at CHU-R, including 20 cases of diaphyseal humeral fractures meeting the inclusion criteria, representing a frequency of 1.15%. The mean age was 31.55, with extremes of 18 and 68 years. Males accounted for 90% (n = 18), females 10% (n = 2), with a sex ratio of 9 in favor of males. School children/students were the most affected in 40% (n = 8), followed by military personnel in 30% (n = 6). Three patients (15%) were referred to traditional practitioners.

Radio-clinical variables

The average consultation time was 6.2 days, with extremes ranging from one hour to 16 days. The circumstances of onset were dominated by road traffic accidents 55% (n = 11), followed by firearm injuries 25% (n = 5) and falls 20% (n = 4). The majority of patients were right-sided, i.e. 85% (n = 17), while the left side was affected in 60% (n = 12). There were no cases of bilateral fractures. Five cases of skin opening, three of which were G/A type I and two type II. Inclusions classified as AO type 12A3 were frequent in 65% (n = 13), and one case of bifocal fracture following ballistic trauma. In 7 cases (35%), the fracture was part of a polytrauma.

Therapeutic variables

The mean time from trauma to surgery was 5 days, with extremes of 10 hours and 16 days. General anaesthesia was used in 18 patients (90%), versus 10% with plexus block. The approach was supraolecranial in 19 (95%). Only one patient with radial nerve damage underwent neurolysis. The number of pins used varied between 2 and 4, depending on the diameter of the medullary canal. Average hospital stay was 5 days, with extremes ranging from 2 to 21 days.

Progressive variables

Bone consolidation was achieved in 19 cases (95%). Mean time to consolidation was 11 weeks. Mean time to removal of osteosynthesis material (AMOS) was 7 months, with extremes of 2 months and 13 months. Five patients developed complications (Table 1).

Table 1: Distribution of complication types. View Table 1

When evaluating our results, we noted 80% of very good and good results (n = 16); 15% of fairly good results (n = 3); 5% of bad results (n = 1). The latter was a case of vicious callus (Table 2).

Table 2: Assessment using the Modified Stewart & H score. View Table 2

Discussion

Humeral shaft fractures are relatively common in our practice. The epidemiology of our work is unremarkable. It shows a clear predominance of young men following road traffic accidents. It also shows that medio-diaphyseal fractures are more frequent, as reported in the literature [6]. On the other hand, left-sided involvement predominates in our series, a result which is superimposed on that of Haider, et al. [7] in Iraq. On the other hand, Abiome, et al. [8] in Gabon and Moykoua, et al. [9] in India note a predominance of right-sided involvement. This could be explained by the high number of right-handers in our population, who tend to protect their dominant side, which is the right side. With regard to skin lesions, the fracture was open in 25%, i.e. 5 cases. This result is superior to those of Dayez, et al. [10] in France and Bouyarmane, et al. [11] in Morocco, who found 5.5% and 12.5% open skin respectively. The small size of our sample and ballistic trauma, the second most common etiology in our series, explain this frequency. Humeral diaphyseal fractures pose a real therapeutic problem, with several complications. Fasciculated hackethal pinning remains a reliable technique, with a lower risk of both infectious and neurological complications. We have only recorded one case of post-fracture radial nerve damage, which required an approach to the site and neurolysis. Omar, et al. [6] noted a rate of 8.57% of post-traumatic radial paralysis, which is comparable to the average in the literature: 7.73% for Putz, [12] and 10% for Coudane, [13]. Systematic exploration in cases of radial nerve damage has been reported by several authors [14,15], as in our series. Post-osteosynthesis radial paralysis using screw plates varies from 6.5% to 12% in the literature [3]. In the case of anterograde centromedullary nailing, Blum, et al. [16] reported a rate of 4%, with a non-negligible rate of abduction limitation due to rotator cuff damage. Schvingt, et al. [17] reported a 19% rate of abduction limitation beyond 20 degrees. In our series, no radial paralysis secondary to osteosynthesis was noted; however, the main complications encountered were elbow stiffness and one case of pseudarthrosis. These complications have been reported by several authors [18-20]. Secondary immobilization in our series could explain the frequency of elbow stiffness, and also the association with other lesions forming part of the polytrauma picture. The lack of impaction at the fracture site explains the occurrence of pseudarthrosis. The biomechanical problems encountered in most studies of fasciculated pinning are secondary to defective fixtures with reduced mechanical properties. This can be seen, on the one hand, in the failure to fill the medullary canal and, on the other hand, in the pins being too short and not bearing in the metaphyseal cancellous zone. Pin migration, encountered in 7% of cases in the study by Gayet, et al. [18], was not recorded in our series. The mean time to consolidation was 11 weeks, close to those reported by Ouahidi, et al. [21], and Mardar, et al. [6], who found 9.6 and 10 weeks respectively. In the study by Pidhorz, et al. [3] of recent and old humeral shaft fractures, the time to consolidation after screw-plate osteosynthesis ranged from 11 to 19 weeks. For anterograde nailing, the team of Ingman, et al. [22] reported a consolidation time of 12.6 weeks. Functional and anatomical results were very good, and good in 80% of our series. This very satisfactory result could be explained by the mastery of the surgical technique and the reduced time required for management.

Conclusion

Hachethal-type fasciculated pinning appears to be a genuine intermediate solution between orthopedic and surgical methods using plates or nails. It is quick and easy to perform, but requires mastery of the closed-focus technique. This procedure avoids intraoperative damage to the radial nerve and rotator cuff, and reduces the risk of infection. The accessibility and lower cost of metaizeau wires are major advantages in the therapeutic arsenal.

Conflicts of Interest

We declare no conflicts.

Data Availability

All data are included in the content of the article.

Funding Statement

We have received no funding for this research.

Declaration for Human Participants

This study complies with the Helsinki ethical principles for medical research involving human subjects. We have obtained the informed consent of all our patients and the authorization of the competent institutional body, which is the medical management of our Centre Hospitalier Universitaire la renaissance.

References

  1. Bonnevialle P (1996) Recent and old fractures of the humeral shaft. Cahiers d'enseignement de la Sofcot 55: 79-96.
  2. Gayet LE, Muller A, Pries P, Merienne JF, Brax P, et al. (1992) Fractures of the humeral shaft: Role of fasciculated nailing using Hackethal's method. Apropos of 129 cases. Rev Chir Orthop Reparatrice Appar Mot 78: 13-22.
  3. Pidhorz L (2014) Recent and late humeral shaft fractures. Eslevier Masson 103: 61-71.
  4. Dieme CB, Abalo A, Sane AD, Fall D, Dakouré PW, et al. (2005) Ascending centromedullary skewering of diaphyseal fractures of the adult humerus. Evaluation of anatomical and functional outcomes for 63 cases. Elsevier Chimai 24: 92-98.
  5. Hackethal KH (1961) In: Diébundel-nagelund Berlin: Springer-Verlag 103-110.
  6. Margad O, Boukhris J, Sallahi H, Daoudi M, Azriouil O, et al. (2016) Role of Hackethal bundle nailing in the treatment of humerus fractures: About 80 cases. Pan Afr Med J 24: 253.
  7. Nasser HA, Ouday F (2010) Closed diaphyseal humeral fractures in adults: A comparison between conservative and operative treatment. Bas J Surg.
  8. Abiome R, Mikiela A, Djembi YR, Koussou R, Akue FA, et al. (2019) Results of the treatment of fractures of the humeral shaft at the Owendo university hospital. Health Sci. Dis 20: 35-38.
  9. Moyikoua A, Ebenga N, Pena-Pitra B (1992) Recent fractures of the humeral shaft in adults. Role of surgical treatment using screwed plates. Apropos of 35 cases surgically treated. Rev Chir Orthop Reparatrice Appar Mot 78: 23-27.
  10. Dayez J (1999) Internal screwed plate in recent fractures of the humeral diaphysis in adults. Rev Chir Orthop Reparatrice Appar Mot 85: 238-244.
  11. Bouyarmane H, Benhima MA, Taouili H, Arssi M, Ngamai K, et al. (2008) Complex fractures of the humeral shaft (about 40 cases). Rev Maroc Chir Orthop Traumato 37: 28-33.
  12. Putz P (1984) The treatment of fractures of the humeral shaft by fascicled skewering according to hackethal: About 194 cases. Acta Orthop Belg 50: 521-538.
  13. Coudane H (1995) Fracture of the humeral shaft. EMC Musculoskeletal system 10: 6.
  14. Bumbasirevic M, Lesic A, Bumbasirevic V, Cobeljic G, Milosevic I, et al. (2010) The management of humeral shaft fractures with associated radial nerve palsy: A review of 117 cases. Arch Orthop Trauma Surg 130: 519-522.
  15. De Mourgues G (1975) Recent fractures of the humeral shaft. Rev Chir Orthop Reparatrice Appar Mot 61: 191-200.
  16. Blum J, Rommens PM, Janzing H (1997) The unreamed humeral nail-a biological osteosynthesis of the upper arm. Acta Chir Belg 97: 184-189.
  17. Schvingt E, Petit R, Katzner M (1974) The treatment of fractures of the humeral shaft by closed-focus centromedullary nailing according to Küntscher. Rev Chir Orthop 60: 387-400.
  18. Gayet LE (2004) Surgical treatment by fascicled skewering. Rev Chir Orthop Reparatrice Appar Mot 90: 42-44.
  19. Zaraa M (2015) Orthopedic Tunisia. Sotcot 7: 54-59.
  20. André S, de Chauvin PF, Camilleri A, Bombart M, Tiberi F, et al. (1984) Recent fractures of the humeral shaft in adults. Comparison of orthopedic and surgical treatment. Apropos of 252 cases. Rev Chir Orthop Reparatrice Appar Mot 70: 49-61.
  21. Mohamed O, Bousbaa H, Bennani M, Cherrad T, Zejjari H, et al. (2018) Treatment of humerus diaphyseal fractures using Hackethal's retrograde centro-medullary bundle nailing: About 54 cases. Pan Afr Med J 30: 38.
  22. Ingman AM, Waters DA (1994) Locked intramedullary nailing of humeral shaft fractures. Implant design, surgical technique, and clinical results. J Bone Joint Surg Br 76: 23-29.

Citation

DINGAMNODJI M, ANDJEFFA V, MOSSALMBAYE DA, FANDEBNET S, NTJAM ACM, et al. (2025) Place of Hackethal-Type Fasciculated Pinning in the Treatment of Diaphyseal Fractures of the Humerus at the University Hospital Centre of the Renaissance of N'djamena. Trauma Cases Rev 11:109. doi. org/10.23937/2469-5777/1510109