Citation

Obeng-Gyasi B, Love ES, Swar-Eldahab M, Blackwell M, Mao G (2024) Hidden Hazard of Remote Cerebellar Hemorrhage after Cervical Spine Surgery. Neurosurg Cases Rev 7:164. doi.org/10.23937/2643-4474/1710164

Case Report | OPEN ACCESS DOI: 10.23937/2643-4474/1710164

Hidden Hazard of Remote Cerebellar Hemorrhage after Cervical Spine Surgery

Barnabas Obeng-Gyasi, BS*, Emma Stephens Love, BA, MS, Mugtaba Swar-Eldahab, MS, Matthew Blackwell, MS and Gordon Mao, MD

Department of Neurological Surgery, Indiana University School of Medicine, Indianapolis, USA

Abstract

Background: Remote cerebellar hemorrhage (RCH) is a rare but potentially serious complication of spinal surgery, particularly after decompressive procedures and instrumented fusion. The complex interplay between cerebrospinal fluid leaks and hemorrhage risk necessitates a high index of suspicion and prompt management to optimize patient outcomes.

Observations: We present a case of RCH in a man in his 50s with hypertension, cervical myelopathy, and radiculopathy following a C3-C6 laminectomy with posterior fusion. Despite an initially benign presentation, the patient developed severe positional headaches, nausea, vomiting, and lethargy. A CT scan on postoperative day five revealed a right cerebellar hemorrhage with obstructive hydrocephalus. Intensive care management, including strict blood pressure control, serial neuroimaging, and close neurological monitoring, led to hemorrhage stabilization and discharge on postoperative day 18.

Lessons: This case underscores the importance of meticulous surgical technique, vigilant postoperative care, and the judicious use of imaging in managing RCH. It also highlights that radiographic severity does not always dictate the need for aggressive surgical intervention and emphasizes the significance of recognizing postoperative headaches as a potential sign of intracranial bleeding.

Keywords

Remote cerebellar hemorrhage, Spinal surgery complications, Cerebrospinal fluid leak, Dural tear, Postoperative monitoring

Abbreviations

AVM: Arteriovenous Malformations; CSF: Cerebrospinal Fluid; CT: Computed Tomography; GCS: Glasgow Coma Scale; ICU: Intensive Care Unit; IH: Intracranial Hemorrhage; ICH: Intracerebral Hemorrhage; POD: Postoperative Day; RCH: Remote Cerebellar Hemorrhage

Introduction

Remote cerebellar hemorrhage (RCH) following spinal surgery is a rare yet clinically significant complication, with an incidence rate of 0.0657% [1]. RCH is predominantly observed following decompressive procedures for spinal canal stenosis and is more prevalent among procedures involving instrumented fusion [1-3]. RCH has also been reported following surgeries such as spinal tumor debulking and disc herniation removal [1,3]. RCH affects both genders and spans a broad age spectrum, highlighting its clinical relevance and the need for heightened awareness among spine surgeons.

The pathology of RCH is often centered in the cerebellar compartment, with the characteristic 'zebra sign' bleeding pattern serving as a diagnostic hallmark [3,4]. This pattern, a result of venous hemorrhagic infarction due to cerebellar sagging from rapid cerebrospinal fluid (CSF) loss, highlights the crucial role of maintaining dural integrity during spinal surgeries [3,4]. The occurrence of intraoperative dural lesions in about 93% of RCH cases further corroborates the significance of this factor in the condition's pathophysiology [3].

Clinically, RCH presents with a spectrum of symptoms, from benign headaches and nausea to severe neurological impairments such as altered mental status and cerebellar dysfunction [1,5-7]. Risk factors for RCH include arterial hypertension, extensive CSF loss, and the use of postoperative subfascial drains, necessitating careful perioperative planning and execution [1,8]. Despite the potential severity of RCH, a majority of cases respond well to conservative management, with a mortality rate of roughly 8% and more than 75% of patients showing favorable outcomes [1,3].

Case Description

A man in his 50s with hypertension, type 2 diabetes, hyperlipidemia, cervical myelopathy, and radiculopathy underwent a C3-C6 laminectomy with posterior fusion for severe spinal stenosis exacerbated by congenital spinal stenosis and degenerative disc disease. The surgery involved primary closure of a small C3-C4 durotomy and placement of a subfascial 10 Fr Hemovac drain. Initially, the drain showed minimal output. By postoperative day (POD) 3, the patient experienced severe positional headaches, nausea, and was unable to lie flat despite being fully oriented with a Glasgow Coma Scale (GCS) of 15 and no focal neurologic deficits.

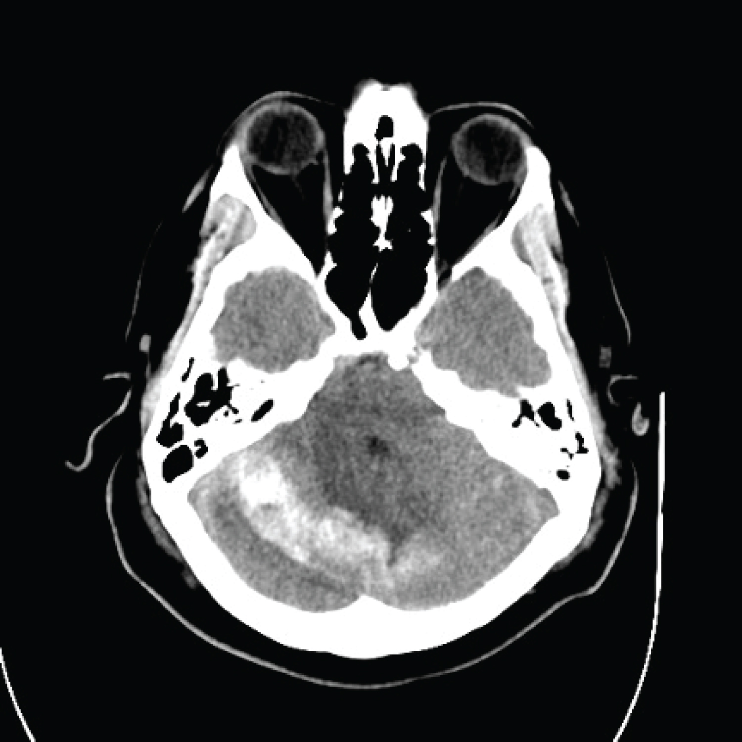
On POD4, a fever of 38.5 °C prompted the medicine consult team to order a non-contrast head computed tomography (CT) scan, suspecting meningitis. By POD5, the patient's condition had progressed to lethargy, although he remained arousable to verbal stimuli with intact motor strength. The CT scan revealed an acute right cerebellar parenchymal hemorrhage measuring 1.7 cm × 4.9 cm × 1.5 cm with mass effect and obstructive hydrocephalus, leading to an intracerebral hemorrhage (ICH) score of 1 (Figure 1). Despite the patient's lethargy and a GCS of 14, he maintained full orientation with a mild delay in verbal responses.

Figure 1: Head CT without IV contrast POD5 demonstrating a 1.7 cm × 4.9 cm × 1.5 cm right cerebellar hemorrhage with mild mass effect on the fourth ventricle. View Figure 1

Treatment

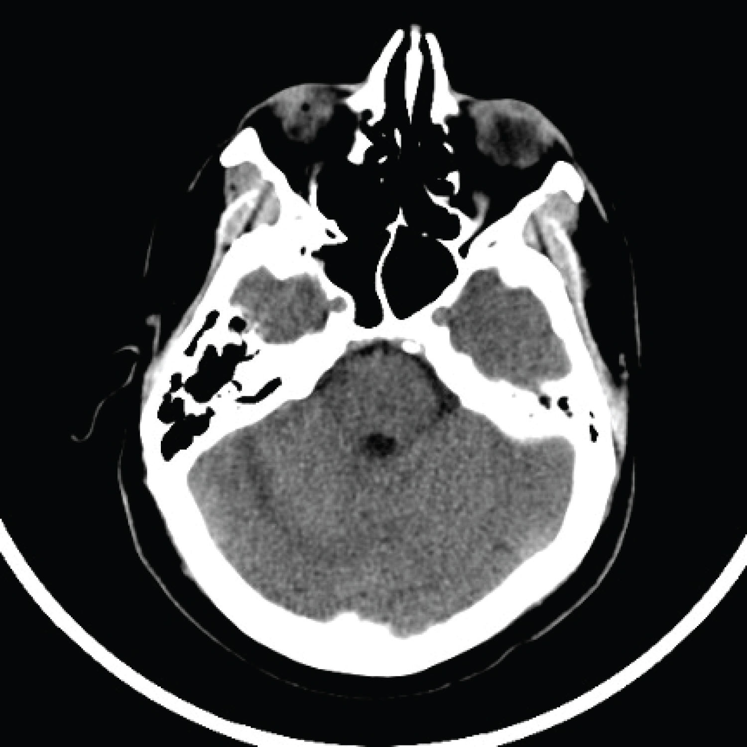
Given the patient’s obstructive hydrocephalus and 4.9 cm hemorrhage, he was transferred to the intensive care unit (ICU) for close monitoring for possible ventriculostomy and suboccipital craniotomy. The Hemovac drain was removed to decrease the possibility of CSF egress worsening his cerebellar hemorrhage. His systolic blood pressure was kept strictly below 140 mmHg and hypertonic saline was administered as needed to reduce cerebral edema. He remained in the ICU for 11 days with serial head CT imaging showing improvement of his cerebellar hemorrhage and hydrocephalus (Figure 2). Midway through the clinical course, a 6-vessel digital subtraction angiography was performed and ruled out the presence of an aneurysm, dural venous sinus thrombosis, or arteriovenous malformation (AVM), which could have significantly altered the management approach (Figure 3). The patient’s mental status rapidly improved during his ICU course and remained stable. Throughout his hospitalization, extensive discussions were held on whether the patient was a suitable candidate for surgery or ventriculostomy given his neurological exam. Ultimately, the decision was made against surgery given his rapid improvement and ongoing stability.

Figure 2: Head CT without IV contrast POD15 demonstrating improvement of right cerebellar hemorrhage during inpatient course. View Figure 2

Figure 3: 6-vessel digital subtraction angiography ruling out the presence of an aneurysm or arteriovenous malformation. View Figure 3

Outcome and follow-up

Following the removal of the Hemovac drain, the patient experienced gradual headache relief and improved mental status. Serial head CTs showed no progression and eventual stabilization. Under vigilant care of the neurosurgery and critical care teams, he was discharged on day 18 with a head CT showing diminished hemorrhage, edema, and ventriculomegaly. At follow-up, he demonstrated good mobility with minor balance issues and no headaches, and a repeat CT scan confirmed complete resolution of the cerebellar hemorrhage and significant reduction in edema and ventriculomegaly (Figure 4). He resumed work three months post-surgery.

Figure 4: Head CT without IV contrast 1 month postoperatively demonstrating complete resolution of cerebellar hemorrhage. View Figure 4

Discussion

The occurrence of RCH following spinal surgery, though rare, sheds light on critical aspects of perioperative care and highlights the nuances of neurosurgical complications. Through an extensive literature review, we identified over 60 instances of RCH following spinal surgery, underscoring its rare but noteworthy occurrence. RCH post-cervical spinal surgery was first noted by Chadduck in 1981 [9]. The primary mechanism underlying RCH is believed to be venous hemorrhagic infarction resulting from cerebellar sagging due to rapid CSF loss, often following intraoperative dural tears [1-3]. This phenomenon emphasizes the need for meticulous surgical technique to minimize the risk of dural injury, a significant contributor to RCH development [1].

During the surgery, a minor dural tear was identified, prompting the postoperative neurosurgery team to initially evaluate the risk of hemorrhage as low. However, a notable aspect of RCH is the relationship between the risk of hemorrhage and the volume of CSF leak. Interestingly, this risk does not increase linearly with the amount of CSF lost [1]. This observation is significant as it indicates that even small CSF leaks, which might typically be overlooked or deemed insignificant, require rigorous monitoring. These seemingly minor leaks can lead to serious complications, challenging the traditional understanding of RCH risk factors and emphasizing the need for thorough postoperative surveillance regardless of the initial size or perceived severity of the dural tear [1,2,10,11].

In a previous systematic review and meta-analysis, no clear association was established between the location of primary surgery and hemorrhage risk [2]. However, in our case, the close intracranial proximity of the CSF leak to the posterior fossa may have played a significant role. Literature indicates a higher prevalence of RCH following lumbar canal decompression surgeries, especially when combined with instrumented fusion [1]. This is attributed to the commonality of degenerative diseases in the lumbar spine and the increasing use of instrumented fusion [12]. The insertion of pedicle screws, a standard procedure in these surgeries, can lead to inadvertent dural damage and subsequent CSF fistulas, a major risk factor for RCH. Studies suggest that occult dural lesions are frequently linked to RCH, even more so than RCH following intentional meningeal incisions, due to more effective closure in the latter [1,3,12]. Our case report reflects these findings, emphasizing the significant role of postoperative CSF leakage in RCH development, particularly in the context of spinal surgery.

Supratentorial ICH following spinal surgery is less common than RCH, with the literature suggesting a higher incidence of RCH due to its direct connection with the dynamics of CSF loss and cerebellar sagging post-dural tear [1]. While supratentorial ICH does occur, it is typically associated with different pathophysiological mechanisms, including hypertension and coagulopathy, and its incidence in the context of spinal surgery requires further investigation to establish a clear epidemiological profile [13]. Infratentorial hemorrhages are also reported but are primarily linked to venous infarctions due to cerebellar sagging and alterations in venous drainage following significant CSF loss [13].

Patient positioning during surgery (whether sitting, supine, or prone) can influence the risk of complications such as cerebellar hemorrhage [1,14-19]. This is primarily due to its effect on the pressure gradient between the cranium and the spinal site where the dura is opened. The position affects cerebrospinal fluid (CSF) dynamics, impacting the amount of CSF loss during the procedure [1]. Another critical clinical consideration is the significance of postoperative headaches in patients with dural leaks. Judicious use of subfascial drains can help manage CSF leakage, but this must be balanced against the risk of inducing low CSF pressure, which can contribute to the development of RCH [1,8]. The emergence of headaches post-surgery warrants immediate attention as it could indicate an increased risk of intracranial bleeding, underscoring the importance of vigilant postoperative monitoring for neurological symptoms [1,4,16].

Evidence supports the use of subfascial drains to aid in wound healing and prevents cerebrospinal fluid (CSF) fistulas. The proposed mechanism involves reducing subfascial pressure buildup and tension on the surgical wound [20-22]. Once the tissue has time to strengthen, the drain can be removed. The backpressure created by the fascia and any potential pseudomeningocele formation is thought to reach an equilibrium with the subdural CSF, stopping additional flow. This mechanism allows the dural flaps to approximate and adhere, promoting effective closure of the dural defect. While the duration of the drain varies, studies have demonstrated a significant reduction in reoperation rates for persistent CSF leaks when subfascial drains are used for 5 to 7 days postoperatively compared to no drainage [23]. The use of subfascial drains has been associated with fewer reoperations, reduced need for inpatient rehabilitation, and lower readmission rates, thereby promoting better overall outcomes in spinal surgery patients.

Our patient showed significant symptom progression postoperatively, a common occurrence in about half of RCH cases following such procedures. However, he experienced a postoperative course atypical for RCH, with symptoms including lethargy and fever by POD3/4, indicative of consciousness impairment. These symptoms prompted a medical evaluation for potential meningitis. This deviation from the more common presentation of RCH, often characterized by impaired consciousness, underscores the diverse clinical manifestations of this condition and highlights the importance of a vigilant and tailored approach to postoperative monitoring [3,12]. Diagnosed with RCH on day 5 via CT imaging, this case reflects the delayed presentation typical in spine surgery-related RCH, mainly due to infrequent postoperative neurological imaging with symptoms generally emerging around 60.6 ± 76.7 hours after surgery [3].

The patient had hypertension, a less common risk factor for RCH in spine surgeries compared to its higher prevalence in RCH after supratentorial craniotomies [3,12]. The elective nature of his surgery might have influenced the management of anticoagulant or antiplatelet therapies. Notably, his imaging showed a pure intracerebral hemorrhage pattern, more associated with spinal surgery RCH than with supratentorial procedures [3,12]. Despite this, he did not need further surgical intervention and achieved a favorable outcome, aligning with the experiences of approximately three-quarters of patients in similar situations [1,3,12]. The diverse clinical presentations and outcomes associated with RCH in spinal surgeries, as demonstrated by our patient's case, highlight the imperative for prompt diagnosis and tailored management strategies.

Management decisions based on imaging findings also play a pivotal role in the treatment of RCH. RCH occurring after cervical spinal surgery typically resolves on its own, and cases of limited RCH often respond well to conservative management. It is crucial to closely monitor these patients and conduct follow-up assessments using CT scans [16]. In RCH, alarming radiological signs do not necessarily mandate immediate surgical intervention, especially if the hemorrhage is venous in nature [1,2,6,7]. In patients with existing arterial hypertension or following dural tears, subfascial suction drainage heightens the risk of intracranial hemorrhage (IH). To avert negative outcomes, especially in revision surgeries, early recognition through cranial imaging is key in cases of post-spinal surgery neurological decline [1,2]. In our patient's case, we ensured diligent monitoring and maintained systolic blood pressure below 140 mmHg using a nicardipine drip to mitigate cerebral edema. Recovery is influenced by a treatment approach tailored to the severity and location of the IH. In the management of post-spinal surgery hemorrhage, it is critical to exclude other etiologies for intracranial hemorrhage. Cerebral angiography plays an essential role in this differential diagnosis, as it can effectively rule out vascular malformations such as AVMs, aneurysms, or dural venous sinus thrombosis, which may present similarly but require distinctly different management approaches and have varied prognoses. Identifying these conditions is crucial, as their presence could necessitate more aggressive intervention, including potential endovascular or surgical treatment [24]. A comprehensive assessment and thorough understanding of the underlying pathology are essential to guide appropriate treatment strategies. This approach reinforces the significance of a balanced evaluation between clinical presentation and imaging findings in determining the course of action for managing RCH.

Conclusions

Our case report not only contributes to the growing body of evidence on the rare but serious complication of RCH following spinal surgery but also calls for a paradigm shift in postoperative care. The findings underscore the critical importance of vigilant monitoring for even minor CSF leaks, which, while often underestimated, can precipitate significant neurological complications. By highlighting the non-linear relationship between CSF leak volume and hemorrhage risk, our report challenges prevailing notions and sets a precedent for more rigorous postoperative surveillance and intervention strategies.

Moreover, the discussion on patient positioning and headache management post-surgery provides a clinical roadmap for spine surgeons to mitigate the risk of RCH. This case serves as a compelling reminder that attention to minute intraoperative details and proactive postoperative management can be the difference between a full recovery and a catastrophic outcome. Thus, it bears a crucial message for clinical practice: Meticulousness in surgery and postoperative care is not just about preventing common complications but also about guarding against the rare ones that carry significant morbidity.

Our findings hold profound implications for enhancing patient safety, refining surgical techniques, and advancing the standard of care in neurosurgery.

References

  1. Allouch H, Nahleh KA, Mursch K, Shousha M, Alhashash M, et al. (2021) Symptomatic intracranial hemorrhage after dural tear in spinal surgery-a series of 10 cases and review of the literature. World Neurosurg 150: e52-e65.
  2. Brockmann MA, Groden C (2006) Remote cerebellar hemorrhage: A review. Cerebellum 5: 64-68.
  3. Sturiale CL, Rossetto M, Ermani M, Baro V, Volpin F, et al. (2016) Remote cerebellar hemorrhage after spinal procedures (part 2): A systematic review. Neurosurg Rev 39: 369-376.
  4. Brockmann MA, Nowak G, Reusche E, Russlies M, Petersen D (2005) Zebra sign: Cerebellar bleeding pattern characteristic of cerebrospinal fluid loss. Case report. J Neurosurg 102: 1159-1162.
  5. Calisaneller T, Yilmaz C, Ozger O, Caner H, Altinors N (2007) Remote cerebellar haemorrhage after spinal surgery. Can J Neurol Sci 34: 483-484.
  6. Cevik B, Kirbas I, Cakir B, Akin K, Teksam M (2009) Remote cerebellar hemorrhage after lumbar spinal surgery. Eur J Radiol 70: 7-9.
  7. Konya D, Ozgen S, Pamir MN (2006) Cerebellar hemorrhage after spinal surgery: Case report and review of the literature. Eur Spine J 15: 95-99.
  8. Kaloostian PE, Kim JE, Bydon A, Sciubba DM, Wolinsky JP, et al. (2013) Intracranial hemorrhage after spine surgery. J Neurosurg Spine 19: 370-380.
  9. Chadduck WM (1981) Cerebellar hemorrhage complicating cervical laminectomy. Neurosurgery 9: 185-189.
  10. Farag E, Abdou A, Riad I, Borsellino SR, Schubert A (2005) Cerebellar hemorrhage caused by cerebrospinal fluid leak after spine surgery. Anesth Analg 100: 545-546.
  11. Numaguchi D, Wada K, Yui M, Tamaki R, Okazaki K (2019) Incidence of remote cerebellar hemorrhage in patients with a dural tear during spinal surgery: A retrospective observational analysis. Spine Surg Relat Res 3: 141-145.
  12. Sturiale CL, Rossetto M, Ermani M, Volpin F, Baro V, et al. (2016) Remote cerebellar hemorrhage after supratentorial procedures (part 1): A systematic review. Neurosurg Rev 39: 565-573.
  13. Al-Saadi T, Al-Kindi Y, Allawati M, Al-Saadi H (2022) Intracranial Hemorrhage following Spinal Surgery: A Systematic Review of a Rare Complication. Surg J (N Y) 8: e98-e107.
  14. Mikawa Y, Watanabe R, Hino Y, Ishii R, Hirano K (1994) Cerebellar hemorrhage complicating cervical durotomy and revision C1-C2 fusion. Spine (Phila Pa 1976) 19: 1169-1171.
  15. Takahashi Y, Nishida K, Ogawa K, Yasuhara T, Kumamoto S, et al. (2012) Multiple intracranial hemorrhages after cervical spinal surgery. Neurol Med Chir (Tokyo) 52: 643-645.
  16. Huang PH, Wu JC, Cheng H, Shih YH, Huang WC (2013) Remote cerebellar hemorrhage after cervical spinal surgery. J Chin Med Assoc 76: 593-598.
  17. Nakazawa K, Yamamoto M, Murai K, Ishikawa S, Uchida T, et al. (2005) Delayed emergence from anesthesia resulting from cerebellar hemorrhage during cervical spine surgery. Anesth Analg 100: 1470-1471.
  18. Morandi X, Riffaud L, Carsin-Nicol B, Guegan Y (2001) Intracerebral hemorrhage complicating cervical "hourglass" schwannoma removal. Case report. J Neurosurg 94: 150-153.
  19. Morimoto T, Shiraki M, Otani K, Sonohata M, Mawatari M (2014) Supratentorial subdural hemorrhage of a previous head injury and cerebellar hemorrhage after cervical spinal surgery: A case report and review of the literature. Spine (Phila Pa 1976) 39: E743-E747.
  20. Hughes SA, Ozgur BM, German M, Taylor WR (2006) Prolonged Jackson-Pratt drainage in the management of lumbar cerebrospinal fluid leaks. Surg Neurol 65: 410-414.
  21. Fang Z, Jia YT, Tian R, Liu Y (2016) Subfascial drainage for management of cerebrospinal fluid leakage after posterior spine surgeryd---A prospective study based on Poiseuille's law. Chin J Traumatol 19: 35-38.
  22. Albayar A, Spadola M, Blue R, Saylany A, Dagli MM, et al. (2024) Incidental Durotomy Repair in Lumbar Spine Surgery: Institutional Experience and Review of Literature. Global Spine J 14: 1316-1327.
  23. Wilson C, McVeigh L, Williams A, Acchiardo J, Bradbury J (2022) Efficacy and safety of subfascial epidural drainage protocol after intraoperative durotomy in posterior thoracic and lumbar spine surgery: Reoperation prevention and outcomes among drained and undrained cohorts. Oper Neurosurg (Hagerstown) 23: 200-205.
  24. Heit JJ, Iv M, Wintermark M (2017) Imaging of intracranial hemorrhage. J Stroke 19: 11-27.

Citation

Obeng-Gyasi B, Love ES, Swar-Eldahab M, Blackwell M, Mao G (2024) Hidden Hazard of Remote Cerebellar Hemorrhage after Cervical Spine Surgery. Neurosurg Cases Rev 7:164. doi.org/10.23937/2643-4474/1710164