Citation

Lesha E, Miller LE, Orr T, Muhlbauer MS, Pandey M, et al. (2024) Spinal Atypical Teratoid/ Rhabdoid Tumor in an Adult: Case Report and Comprehensive Review of the Literature. Neurosurg Cases Rev 7:158. doi.org/10.23937/2643-4474/1710158

Case Report | OPEN ACCESS DOI: 10.23937/2643-4474/1710158

Spinal Atypical Teratoid/Rhabdoid Tumor in an Adult: Case Report and Comprehensive Review of the Literature

Emal Lesha, MD1,2*, L Erin Miller, BA3, Taylor Orr, MS3, Michael S Muhlbauer, MD1,2, Manjari Pandey, MD4, Brent A Orr, MD, PhD5, Andrew B Boucher, MD1,2 and Sarada Wellikoff, MD1,6

1Department of Neurosurgery, University of Tennessee Health Science Center, Memphis, TN, USA

2Semmes Murphey Clinic, Memphis, TN, USA

3College of Medicine, University of Tennessee Health Science Center, Memphis, TN, USA

4Department of Medical Oncology, Geisinger Medical Center, Danville, PA, USA

5Department of Pathology, St. Jude Children’s Research Hospital, Memphis, TN, USA

6West Cancer Clinic, Memphis, TN, USA

Abstract

Atypical teratoid/rhabdoid tumor (AT/RT) is a Grade 4 embryonal tumor, rare and aggressive, most often presenting in children 0-5 years of age. In the adult population, AT/RTs are exceedingly rare, and usually located intracranially in the supratentorial compartment. AT/RTs of the spine are even more uncommon. Here, we detail the case of a young adult with AT/RT of the lumbar spine who underwent surgical resection of the lesion followed by radiation and chemotherapy. We also provide a comprehensive review of reported cases of adult spinal AT/RT to date, and review the current literature on clinical management of adult AT/RT.

Keywords

Atypical teratoid/Rhabdoid tumor, Spinal oncology, Clinical pathology

Introduction

Atypical teratoid/rhabdoid tumor (AT/RT) is a rare and aggressive neoplasm of the central nervous system (CNS), categorized as a Grade 4 embryonal tumor by the World Health Organization [1,2]. Most often presenting in children between 0 and 5 years of age, AT/RT represents 1.6% of all pediatric CNS tumors, with the majority occurring in the posterior fossa at the cerebellopontine angle [3,4]. AT/RT are exceedingly less common in the adult population (≥ 18 years of age), with a recent study identifying 96 cases of adult ATRT reported in the literature [5-7]. The most common location of AT/RT in adults is found intracranially in the supratentorial compartment, with few reports of spinal AT/RT. Here, we describe a rare adult case of spinal AT/RT from our institution. Additionally we summarize the reported cases of adult spinal AT/RT to date (Table 1 [8-16]), and review the current literature on their management.

Table 1: Literature review of reported adult spinal AT/RT cases. View Table 1

Clinical Summary

A 26-year-old male with no significant past medical history presented with lower back pain, progressive lower extremity weakness with paresthesias and difficulty voiding over a period of several months. Magnetic resonance imaging (MRI) of the lumbar spine revealed an intradural extramedullary mass at the L4 level. Subsequent imaging of the neural axis revealed extensive abnormal surface enhancement of lower thoracic cord, a small linear focus along posterior margin of the cord at C3-4 disc space, and a foci of enhancement within the posterior fossa (Figure 1). These findings were concerning for leptomeningeal metastatic disease. The patient underwent surgical intervention with L4 laminectomy and L3 partial laminectomy for open biopsy and resection of the lumbar spine lesion, with resection of a 2 × 5 cm cauda equina mass. Intraoperatively, the cauda equina roots were notably expansile and matted together due to tumor infiltration. There was additional metastasis noted throughout the lumbar spine within the subarachnoid space as well as nerve roots. Final pathology described an INI-1 deficient malignant neoplasm with an immunophenotype suggestive of AT/RT.

Figure 1: Sagittal (A) and axial (B) T2, sagittal (C) and axial (D) T1 post-contrast MRI sequences demonstrating an intradural and extramedullary lesion centered at the L4 level of the lumbar spine (red arrows). View Figure 1

Within the first month postoperatively, the patient developed positional headaches and vision changes, especially in the left eye. Evaluation per neuro-ophthalmology identified papilledema, retinal hemorrhage, and worsening left eye exotropia. Repeat imaging revealed marked progression of thoracic and lumbar disease with no change in cervical or medullary foci (Figure 2). Spinal enhancement filled the dural space, obscuring the nerve roots and the tip of conus medullaris. Additionally, an intrathecal arachnoid cyst was noted to compress the spinal cord from T4 to T8, resulting in edema from T8-T11.

Figure 2: Sagittal T2 (top row) and T1 post-contrast (bottom row) MRI sequences demonstrating lesion progression at 1 month (A,D), 4 months (B,E) and 6 months (C,F) post-operatively. View Figure 2

In accordance with the medulloblastoma treatment protocol, the patient underwent craniospinal irradiation followed by multi-agent chemotherapy (cyclophosphamide/vincristine/cisplatin). His treatment course was complicated by neutropenic fever, saddle pulmonary embolism requiring IVC filter placement, acute kidney injury, uremic encephalopathy necessitating hemodialysis, recurrent upper gastrointestinal bleeding and cardiac arrest. He received only C1 of chemotherapy, with treatment being discontinued due to significant complications from the treatment.

Less than one year post-resection, after completing radiation and partial chemotherapy, MRI brain and spine were stable through serial checks. However, the patient continued to endorse left-sided headache with worsening exotropia, accompanied by urinary incontinence and dramatic weight loss. He was found to have acute metabolic encephalopathy and communicating hydrocephalus, requiring palliative left ventriculoperitoneal shunt placement. Despite aggressive measures, he continued to decline and passed away approximately twelve months after diagnosis.

Pathological Findings

Microscopic appearance

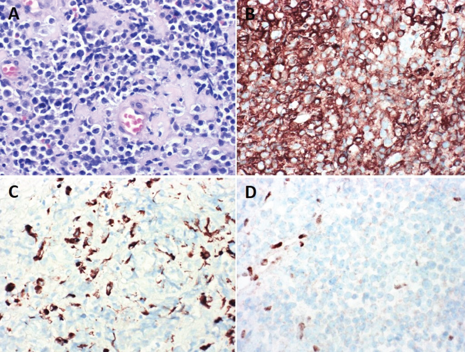
Histologic examination revealed hypercellular embryonal neoplasm composed of small cells with intermittent nucleoli and high mitotic activity on a somewhat hyalinized background matrix (Figure 3A).

Figure 3: A) Microscopic and immunohistocytochemistry pathology analysis of the tumor sample (40x magnification) - H&E; B) Smooth muscle actin; C) Cytokeratin CAM5.2; D) INI1. View Figure 3

Immunohistocytochemistry

Tumor cells demonstrated immunopositivity for smooth muscle actin (SMA) (Figure 3B), cytokeratin CAM 5.2 (Figure 3C), and epithelial membrane antigen (EMA). WT-1 immunoreactivity was present in tumor nuclei. Tumor cells were immunonegative for glial (Olig-2, GFAP), neuronal (synaptophysin, S-100), and muscle (myogenin, myoD1, desmin) markers. Immunohistochemical staining demonstrated loss of INI-1 in tumor cells with retained expression in stromal elements (Figure 3D). Subsequent fluorescence in situ hybridization (FISH) testing demonstrated 22q/INI1 deletion. Other INI-1 losing tumors were considered including myoepithelial carcinoma and epithelioid sarcoma. However, given the unique immunophenotype along with the intradural tumor location, the best classification was felt to be that of AT/RT.

Discussion

AT/RT is an exceedingly rare and aggressive malignant neoplasm, presenting both a diagnostic and therapeutic challenge for clinicians [2]. While in the pediatric population AT/RTs account for 4.4% of CNS tumors in ages 0-5 years, in adults the diagnosis of AT/RT is uncommon [17]. A recent study by Broggi, et al. identified 96 reported cases of adult AT/RT in the literature [7]. The majority of patients were female (72.9%) and had tumors located supratentorially in 81.3% of cases [7]. Only 7.3% were found to involve the spinal cord. To our knowledge, we present the ninth case ever reported of spinal AT/RT in adult patients. Histologically, AT/RT often present sheets of rhabdoid cells may be predominant, but may in other instances exhibit primitive neuroectoderm-like phenotype, which may be difficult to differentiate from other embryonal tumors such as medulloblastoma [3,18,19]. Radiographically, spinal AT/RT is generally heterogenous and often mistaken for more common tumors of the spine such as nerve sheath tumors or chordomas [20,21]. Furthermore, tumors extending through neural foramina may mimic schwannoma, malignant peripheral nerve sheath tumors, or even neurofibromatosis [20-22].

Given that AT/RT may be ambiguous on imaging or histology alone, tumor markers and immunohistochemical analysis play an essential role. AT/RT were first recognized by their polyimmunophenotype, specifically expression of both mesenchymal markers such as smooth muscle actin and epithelial markers such as cytokeratin or epithelial membrane antigen. More definitive diagnosis is possible now using immunostaining for INI-1, as loss of INI-1 nuclear staining indicates biallelic inactivation of SMARCB1 on chromosome 22 [19,23]. Although rarely AT/RT may have biallelic inactivation of the alternative SWI/SNF complex genes such as SMARCA4/BRG1, inactivation of SMARCB1/INI1 remains the most consistent and definitive diagnostic tool available [24-26]. While the exact role of INI-1 in AT/RT pathogenesis is unknown, its inactivation likely alters cell cycle activity to promote tumorigenesis [26]. Additionally, recent studies have identified genetic variations via whole exome sequencing that offer insight into the specific manner in which SMARCB1 is inactivated and the possibility of definitive diagnosis [5,27,28]. Among the cases of adult spinal AT/RT reported (Table 1), those that performed immunostaining for INI-1 observed negative reactivity. Additionally, two of the cases identified 22q deletions via FISH.

The diagnostic challenge, high incidence of local recurrence, and propensity for leptomeningeal dissemination collectively contribute to a poor prognosis of AT/RT [29]. Without an identified biological prognostic factor to explain long-term survival in AT/RT, recent studies have aimed to seek explanation elsewhere [30]. Adults appear to have a better prognosis than pediatric patients. This is likely due to tumor location, which is often supratentorial in adults. Also, adult patients can tolerate more aggressive treatment, such as craniospinal radiation, which is effective for AT/RT, but often cannot be tolerated by pediatric patients [31]. Prompt resection followed by focal radiotherapy and multi-agent chemotherapy has been found to prolong survival in pediatric AT/RT [32]. Similarly, in the largest single center series of pediatric primary spinal AT/RT, patients with progression-free survival > 1 year all received multimodal therapy with or without intrathecal chemotherapy, focal radiation, or myeloablative chemotherapy [33]. Robust data for adult-onset AT/RT is lacking due to the rarity of the condition on this patient population. In the most recent systematic review of adult AT/RTs, the mean survival after treatment was 15 months [7]. Combined treatment with surgical resection, chemotherapy and radiation showed a significantly higher survival benefit than combined chemotherapy and radiation without surgery, and especially than simply chemotherapy or radiotherapy alone [7]. Additionally, in adult AT/RT cases with survival > 3 years, tumor location was found to be predominantly hemispheric [34].

Among the ten cases of adult spinal AT/RT described, including the present case, the mean age at diagnosis was 33.9 years, ranging from 19 to 65 years of age, as shown in Table 1. The ratio of female to male was 1:1. 67% of patients presented with lesions in the lower thoracolumbar spine, while 33% of patients had lesions in the cervical spine. Leptomeningeal spread was present in 80% of cases where presence or absence of leptomeningeal disease was noted. The most common therapy included surgical resection followed by radiation (50%), followed by surgical resection with combined chemotherapy and radiation (38%) [11,13]. One patient was treated with combined chemotherapy and radiation without surgical resection. There were no patients treated with surgery, chemotherapy or radiotherapy alone. Of those patients who underwent surgery, gross total resection was achieved in only 43% of patients. The average survival was 17 months, ranging between 6 months up to 3 years at last follow up. Additionally, the majority of cases reported ≥ 1 relapse despite treatment.

Several chemotherapeutic regimens have been described for the treatment of AT/RT, including the modified Intergroup Rhabdomyosarcoma III protocol, St. Jude medulloblastoma protocol, malignant rhabdoid tumor protocol and more [11,13,35-38]. The majority of chemotherapy agents in these protocols include vincristine, cyclophosphamide, cisplatin, and etoposide. In the past several years, with the surge in molecular profiling and targeted therapies, multiple agents have emerged with multiple clinical trials in progress. Some of these agents target chromatin remodeling and histone modifications, especially histone deacetylase inhibitors such as panobinostat and EZH2 inhibitor tazemetostat [11]. Alisertib, an aurora A kinase inhibitor involved in cell cycle regulation is being tested in a phase II trial for recurrent of progressive AT/RT [32]. While there exist no guidelines for optimal management of adults with AT/RT, emerging treatment avenues in the pediatric population are important and could potentially be translated to adults. For instance, Rao, et al. used a modified ACOG ACNS 0332 regimen to treat an adult patient diagnosed with sellar AT/RT, which demonstrated decrease in tumor size in follow up imaging [39]. A similar strategy was used with the patient treated at our institution. In regards to spinal AT/RTs, resection is possible as the lesion appears to be intradural and extramedullary. The feasibility of maximal resection, however, will depend on an individual basis. Nevertheless, proper recognition of spinal AT/RT in adults is important to give appropriate prognostic information and to initiate aggressive treatments. As such, optimization of treatment regimen merits continued investigation.

In conclusion, spinal AT/RT in adults comprises a unique subset of tumor with minimal data guiding diagnosis and treatment. We describe a case of an adult patient presenting with cauda equina syndrome and neurogenic bladder secondary to spinal AT/RT with leptomeningeal spread. As the tenth case ever reported, this study aims to add to the paucity of literature on adult spinal AT/RT and expand the differential of rare spinal tumors in adults.

Acknowledgments

None.

Conflict of Interest

None.

References

  1. Kleihues P, Louis DN, Scheithauer BW, Rorke LB, Reifenberger G, et al. (2002) The WHO classification of tumors of the nervous system. J Neuropathol Exp Neurol 61: 215-225.
  2. Oka H, Scheithauer B (1999) Clinicopathological characteristics of atypical teratoid/rhabdoid tumor. Neurol Med Chir Tokyo 39: 510-518.
  3. Biegel J (2006) Molecular genetics of atypical teratoid/rhabdoid tumor. Neurosurg Focus 20: E11.
  4. Ostrom QT, Chen Y, M de Blank P, Ondracek A, Fara P, et al. (2014) The descriptive epidemiology of atypical teratoid/rhabdoid tumors in the United States, 2001-2010. Neuro-Oncol 16: 1392-1399.
  5. Wu WW, Bi WL, Kang YJ, Ramkissoon SH, Prasad S, et al. (2016) Adult ATYPICAL Teratoid/Rhabdoid tumors. World Neurosurg 85: 197-204.
  6. Biegel J, Kalpana G, Knudsen E, Packer RJ, Roberts CWM, et al. (2002) The role of INI1 and the SWI/SNF complex in the development of rhabdoid tumors: Meeting summary from the workshop on childhood atypical teratoid/rhabdoid tumors. Cancer Res 62: 323-328.
  7. Broggi G, Gianno F, Shemy DT, Massimino M, Milanaccio C, et al. (2022) Atypical teratoid/rhabdoid tumor in adults: A systematic review of the literature with meta-analysis and additional reports of 4 cases. J Neurooncol 157: 1-14.
  8. Bruch LA, Hill DA, Cai DX, Levy BK, Dehner LP, et al. (2001) A role for fluorescence in situ hybridization detection of chromosome 22q dosage in distinguishing atypical teratoid/rhabdoid tumors from medulloblastoma/central primitive neuroectodermal tumors. Hum Pathol 32: 156-162.
  9. Zarovnaya EL, Pallatroni HF, Hug EB, Ball P, Cromwell LD, et al. (2007) Atypical teratoid/rhabdoid tumor of the spine in an adult: Case report and review of the literature. J Neurooncol 84: 49-55.
  10. Kanoto M, Toyoguchi Y, Hosoya T, Kuchiki M, Sugai Y (2015) Radiological image features of the atypical teratoid/rhabdoid tumor in adults: A systematic review. Clin Neuroradiol 25: 55-60.
  11. Gotti G, Biassoni V, Schiavello E, Spreafico F, Antonelli M, et al. (2015) A case of relapsing spinal atypical teratoid/rhabdoid tumor (AT/RT) responding to vinorelbine, cyclophosphamide, and celecoxib. Childs Nerv Syst 31: 1621-1623.
  12. Sinha P, Ahmad M, Varghese A, Parekh T, Ismail A, et al. (2015) Atypical teratoid rhabdoid tumour of the spine: Report of a case and literature review. Eur Spine J 24: S472-S484.
  13. Li L, Patel M, Nguyen H, Doan N, Sharma A, et al. (2016) Primary atypical teratoid/rhabdoid tumor of the spine in an adult patient. Surg Neurol Int 7: 27.
  14. McGinity M, Siddiqui H, Singh G, Tio F, Shakir A (2017) Primary atypical teratoid rhabdoid tumor in the adult spine. Surg Neurol Int 8: 34.
  15. Neromyliotis E, Kalyvas AV, Drosos E, Komaitis S, Bartziotas D, et al. (2019) Spinal atypical rhabdoid teratoid tumor in an adult woman: Case report and review of the literature. World Neurosurg 128: 196-199.
  16. Sant T, Ward M, Shah LM, Mahan M, Peckham ME (2023) Extrarenal malignant rhabdoid tumor infiltrating the brachial plexus and spinal canal. Neuroradiol J 36: 104-107.
  17. Rickert CH, Paulus W (2001) Epidemiology of central nervous system tumors in childhood and adolescence based on the new WHO classification. Childs Nerv Syst 17: 503-511.
  18. Koral K, Gargan L, Bowers DC, Gimi B, Timmons CF, et al. (2008) Imaging characteristics of atypical teratoid-rhabdoid tumor in children compared with medulloblastoma. AJR Am J Roentgenol 190: 809-814.
  19. Biswas A, Kashyap L, Kakkar A, Sarkar C, Julka PK (2016) Atypical teratoid/rhabdoid tumors: Challenges and search for solutions. Cancer Manag Res 8: 115-125.
  20. Athale UH, Duckworth J, Odame I, Barr R (2009) Childhood atypical teratoid rhabdoid tumor of the central nervous system: A meta-analysis of observational studies. J Pediatr Hematol Oncol 31: 651-663.
  21. Buccoliero AM, Caporalini C, Scagnet M, Baroni G, Moscardi S, et al. (2019) A diagnostic pitfall: Atypical teratoid rhabdoid tumor versus dedifferentiated/poorly differentiated chordoma: Analysis of a mono-institutional series. Appl Immunohistochem Mol Morphol AIMM 27: 147-154.
  22. Hong S, Ogiwara H (2018) Dumbbell-shaped atypical teratoid rhabdoid tumor in the cervical spine mimicking schwannoma. Childs Nerv Syst 34: 27-28.
  23. Eaton KW, Tooke LS, Wainwright LM, Judkins AR, Biegel JA (2011) Spectrum of SMARCB1/INI1 mutations in familial and sporadic rhabdoid tumors. Pediatr Blood Cancer 56: 7-15.
  24. Raisanen J, Biegel JA, Hatanpaa KJ, Judkins A, White CL, et al. (2005) Chromosome 22q deletions in atypical teratoid/rhabdoid tumors in adults. Brain Pathol 15: 23-28.
  25. Makuria AT, Rushing EJ, McGrail KM, Hartmann DP, Azumi N, et al. (2008) Atypical teratoid rhabdoid tumor (AT/RT) in adults: Review of four cases. J Neurooncol 88: 321-330.
  26. Medjkane S, Novikov E, Versteege I, Delattre O (2004) The tumor suppressor hSNF5/INI1 modulates cell growth and actin cytoskeleton organization. Cancer Res 64: 3406-3413.
  27. Danussi C, Akavia UD, Niola F, Jovic A, Lasorella A, et al. (2013) RHPN2 drives mesenchymal transformation in malignant glioma by triggering RhoA activation. Cancer Res 73: 5140-5150.
  28. England B, Huang T, Karsy M (2013) Current understanding of the role and targeting of tumor suppressor p53 in glioblastoma multiforme. Tumour Biol 34: 2063-2074.
  29. Buscariollo DL, Park HS, Roberts KB, Yu JB (2012) Survival outcomes in atypical teratoid rhabdoid tumor for patients undergoing radiotherapy in a Surveillance, Epidemiology, and End Results analysis. Cancer 118: 4212-4219.
  30. Sredni ST, Huang CC, Pundy T, Patel K, Halpern AL, et al. (2014) A gene signature for a long-term survivor of an atypical teratoid/rhabdoid tumor. Cancer Genet 207: 420-424.
  31. Shonka (2011) Atypical teratoid/rhabdoid tumors in adults: A case report and treatment-focused review. J Clin Med Res 3: 85-92.
  32. Chi SN, Zimmerman MA, Yao X, Cohen KJ, Burger P, et al. (2009) Intensive multimodality treatment for children with newly diagnosed CNS atypical teratoid rhabdoid tumor. J Clin Oncol 27: 385-389.
  33. Li D, Heiferman DM, Syed HR, Gustavo Santos JG, Bowman RM, et al. (2019) Pediatric primary spinal atypical teratoid rhabdoid tumor: A case series and review of the literature. J Neurosurg Pediatr 24: 267-283.
  34. Moujahed R, Ghedira K, Zehani A, Charfi S, Nagi S (2020) Brain atypical teratoid rhabdoid tumor in an adult with long-term survival: Case report and review of literature. J Cancer Res Ther 16: S243-S245.
  35. Chen YW, Wong TT, Ho DMT, Huang PI, Chang KP, et al. (2006) Impact of radiotherapy for pediatric CNS atypical teratoid/rhabdoid tumor (single institute experience). Int J Radiat Oncol 64: 1038-1043.
  36. Zhang C, Li H (2022) Molecular targeted therapies for pediatric atypical teratoid/rhabdoid tumors. Pediatr Investig 6: 111-122.
  37. Geyer JR, Sposto R, Jennings M, Boyett JM (2005) Multiagent chemotherapy and deferred radiotherapy in infants with malignant brain tumors: A report from the Children’s Cancer Group. J Clin Oncol Off J Am Soc Clin Oncol 23: 7621-7631.
  38. Upadhyaya S, Campagne O, Billups CA, Orr BA, Onar-Thomas AO, et al. (2023) Phase II study of alisertib as a single agent for treating recurrent or progressive atypical teratoid/rhabdoid tumor. Neuro Oncol 25: 386-397.
  39. Rao R, Koehler A, Rothman Y, Turner B, Denlinger J, et al. (2022) Pearls & Oy-sters: Pivoting treatment regimens of pediatric atypical teratoid rhabdoid tumors to optimize care in adult ATRT: A case report. Neurology 98: 726-730.

Citation

Lesha E, Miller LE, Orr T, Muhlbauer MS, Pandey M, et al. (2024) Spinal Atypical Teratoid/ Rhabdoid Tumor in an Adult: Case Report and Comprehensive Review of the Literature. Neurosurg Cases Rev 7:158. doi.org/10.23937/2643-4474/1710158