Citation

Ozgiray E, Akbulut BB, Boluk MS, et al. (2024) An Unusual Complication, Rupture of the Intraoperative Ultrasound Probe Sheath: A Case Report. Neurosurg Cases Rev 7:157. doi.org/10.23937/2643-4474/1710157

Case Report | OPEN ACCESS DOI: 10.23937/2643-4474/1710157

An Unusual Complication, Rupture of the Intraoperative Ultrasound Probe Sheath: A Case Report

Erkin Ozgiray, Bilal Bahadır Akbulut* and Mustafa Serdar Boluk

Department of Neurosurgery, Faculty of Medicine, Ege University, Turkey

Abstract

Background: Intraoperative ultrasound (USG) imaging is employed by many neurosurgical institutes for localizing lesions with better accuracy in real-time. It’s often used with sterilized probes or purpose-built sterile sheaths. It has also been reported to be used with a sterile latex glove filled with USG gel. We report a case of ruptured intraoperative USG sheath which was made out of a sterile latex glove causing contamination of the surgical field.

We present a case in which we had a rupture of the aforementioned ultrasound cover, which has never been described in the literature.

Case presentation: A 60-year-old female was taken to the operating room for resection of a left parietal metastatic tumor located posterior to the motor cortex. After the craniotomy, an ultrasound probe covered in a sterile latex glove containing non-sterile gel was introduced to the surgical field to confirm the exact localization of the lesion. Following the durotomy, the probe was retrieved again, but the attending surgeon noticed that the sterile latex glove covering the USG probe had a tear and the non-sterile gel had poured out just before applying it on the cerebral cortex. Even though there wasn’t any obvious contamination, the surgical field was copiously irrigated. The patient was urgently consulted with the Department of Infectious Diseases intraoperatively and a course of wide-spectrum antibiotics was initiated. The patient was discharged on the fourth day of the surgery without any findings of infection.

Conclusions: USG is a reliable technique for real-time assessment of brain structures. Sterile USG probes, sterile sheaths, and improvised sheaths made from sterile gloves may be utilized for this purpose. The rupture of the makeshift sheath and the contamination of the surgical field is an uncommon but predictable complication. The surgeon must be vigilant for such failures and must take immediate steps whenever they occur.

Keywords

Complication, Ultrasound probe sheath, Intraoperative, Case report

Abbreviations

USG: Ultrasonography

Introduction

Many neurosurgical institutes commonly employ intraoperative ultrasound imaging (USG) for localizing lesions with better accuracy in real-time. The USG probe is often used with sterilized probes or non-sterile probes covered in purpose-built sterile sheaths. However, due to a lack of supplies, USG probes have been reported to be used after being covered by a sterile latex glove filled with non-sterile USG gel as well.

We present a case in which we had a rupture of the aforementioned ultrasound cover, which has never been described in the literature.

This article was previously presented as a meeting abstract at the EANS Virtual Congress 2021 on October 4, 2021.

Case Presentation

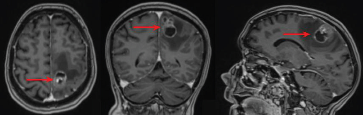
A 60-year-old female presented with a history of endometrial carcinoma and right-sided weakness of the arm and the leg. MRI scan revealed a left parietal lesion that had contrast enhancement and marked edema (Figure 1). The radiological diagnosis was metastasis. Due to the proximity to the motor cortex, an intraoperative imaging method was necessary for preserving motor function.

Figure 1: Preoperative MRI, T1 gadolinium-enhanced sequence. The tumor is marked with the red arrows. View Figure 1

The patient was placed on a three-pin Mayfield head holder, a coronal linear incision was made and after the craniotomy, an USG probe wrapped in a sterile latex glove was applied to the dura to visualize the tumor. After the localization of the tumor was confirmed, the dura was incised in a stellate fashion to expose the tumor. Following the durotomy, the probe was retrieved again, but the attending surgeon noticed that the sterile latex glove covering the USG probe had a tear and the non-sterile gel had poured out just before applying it on the cerebral cortex (Figure 2). While no obvious contamination of the surgical field was visible, it was copiously irrigated. The team scrubbed again, and a new surgical table was prepared.

Figure 2: Image of the ruptured ultrasound probe sheath. View Figure 2

The patient was intraoperatively consulted with the infectious diseases department, and the antibiotic treatment of Meropenem 1 gr TID and Linezolid 600 mg BID was initiated immediately. No other intraoperative complications occurred and the surgery was concluded. The patient had no new neurological deficit postoperatively.

In the follow-up, CRP rose as high as 38.08 mg/L, and the leukocytes as 14.49 10^3/µL on the second postoperative day, then was reduced on the follow-up. The patient had no fever. The patient was safely discharged on day 4. A postoperative MRI scan revealed the total excision of the tumor.

In her 2-week follow-up, the patient had no new neurological deficit, with minor improvement in her arm strength. Had no fever and the blood work showed no signs of infection. She had suffered no complications with her wound healing. Pathology confirmed our preliminary diagnosis of endometrial metastasis.

Discussion

Intraoperative USG is an effective technique employed by many neurosurgeons for accurate and real-time visualization of pathological and normal structures of the brain. It also has the advantage of being affordable compared to other techniques, and as such, may be used in low-income countries [1]. Risks and pitfalls of the technique must be recognized and dealt with accordingly.

USG guidance is used for many interventional techniques, the most notable being the insertion of central venous catheters. Some authors suggest that USG-guided placement of catheters increases the risk of catheter-related infections [2]. There is also evidence of contamination of the probes despite the appropriate use of sheaths for end cavitary probes [3,4].

We have only been able to find one other paper describing the use of an improvised sterile glove sheath for the intraoperative USG [5]. Authors have applied this method to 350 patients and only experienced infection in 2 patients. While they do not describe their method in detail, the probe is put in a sterile glove filled with USG gel.

In our department, we put the USG probe in an endoscope sheath, providing a sterile environment for the cables, then place the probe itself in a latex glove filled with USG gel, and then wrap the adhesive band of the endoscope sheath around the glove. It may be possible that in the preparation phase, the glove is stretched too thin, reducing its durability, and is cut by the sharp edges of the craniotomy. This may be alleviated by planning craniotomy accordingly.

In the event of a tear, there is also the risk of infection due to the colonization of USG gel with drug-resistant strains of bacteria [6]. This may be prevented by using single-use sterile containers for USG coupling.

Conclusion

In summary, USG is a reliable and affordable technique for the real-time assessment of brain structures. Sterile USG probes, sterile sheaths, and improvised sheaths made from sterile gloves may be utilized for this purpose. The rupture of the makeshift sheath and the contamination of the surgical field is an uncommon but predictable complication. The surgeon must be vigilant for such failures and must take immediate steps whenever they occur.

Acknowledgements

Competing interests

The authors have no personal, financial, or institutional interest in any of the drugs, materials, or devices described in this article.

Funding

None.

Authors' contributions

BBA performed the surgery for the case, analyzed the data, and wrote the manuscript; MSB assisted with the case and was responsible for the patient’s postoperative care as well as for the final revision of the manuscript; EO was the consultant surgeon for the case, drafted the manuscript, and gave revisions to the manuscript.

g

References

  1. Kaale AJ, Rutabasibwa N, Mchome LL, Lillehei KO, Honce JM, et al. (2020) The use of intraoperative neurosurgical ultrasound for surgical navigation in low- and middle-income countries: The initial experience in Tanzania. J Neurosurg 28: 1-8.
  2. Buetti N, Mimoz O, Mermel L, Ruckly S, Mongardon N, et al. (2020) Ultrasound guidance and risk for central venous catheter-related infections in the ICU. A post hoc analysis of individual data of three multi-centric randomized trials. Clin Infect Dis 73: e1054-e1061.
  3. Miyague AH, Mauad FM, de Paula Martins W, Benedetti ACG, de Melo Tavares Ferreira AEG, et al. (2015) Ultrasound scan as a potential source of nosocomial and crossinfection: A literature review. Radiol Bras 48: 319-323.
  4. Leroy S (2013) Infectious risk of endovaginal and transrectal ultrasonography: Systematic review and meta-analysis. J Hosp Infect 83: 99-106.
  5. Elmesallamy WAA (2019) Demonstrative study of brain anatomical landmarks by intraoperative ultrasound imaging. Egypt J Neurosurg 34: 30.
  6. Gaillot O, Maruejouls C, Abachin E, Lecuru F, Arlet G, et al. (1998) Nosocomial outbreak of Klebsiella pneumoniae producing SHV-5 extended-spectrum beta-lactamase, originating from a contaminated ultrasonography coupling gel. J Clin Microbiol 36: 1357-1360.

Citation

Ozgiray E, Akbulut BB, Boluk MS, et al. (2024) An Unusual Complication, Rupture of the Intraoperative Ultrasound Probe Sheath: A Case Report. Neurosurg Cases Rev 7:157. doi.org/10.23937/2643-4474/1710157