Citation

Ferreira DM, Silva JA, Gonçalves VDRR, Schumann TF, Moreira LS (2024) Recurrent Post-Traumatic Carotid-Cavernous Fistula after Endovascular Treatment. Neurosurg Cases Rev 7:154. doi.org/10.23937/2643-4474/1710154

Case Report | OPEN ACCESS DOI: 10.23937/2643-4474/1710154

Recurrent Post-Traumatic Carotid-Cavernous Fistula after Endovascular Treatment

Dantas Mageste Ferreira, MD, MSc1*, Jéssica Aguilar da Silva2, Vitor de Deus da Rocha Ribeiro Gonçalves, MD1, Taianne Fiore Schumann, MD1 and Lano Sousa Moreira, MD1

1Neurosurgery and Neurology Department, Santa Casa de Belo Horizonte, Belo Horizonte, Brazil

2Medical Intern, Pontifical Catholic University of Minas Gerais, Betim Campus, Brazil

Abstract

The High-Flow Type A Carotid-Cavernous Fistula (CCF) is the direct communication between the cavernous segment of the internal carotid artery (ICA) and the cavernous sinus. Its most frequent etiology is trauma, more commonly occurring in males. Clinically, it is characterized by the Dandy triad of hyperemia, exophthalmos, and ocular bruit. The described case involves a male patient who presented with a classic high-flow CCF, underwent coil embolization, showed a satisfactory response in the first three months of follow-up, and subsequently experienced symptom recurrence, indicating a case of recurrent CCF due to spiral coil displacement within the cavernous sinus.

Keywords

Carotid-cavernous fistula, Trauma, Endovascular embolization

Introduction

The High-Flow Carotid-Cavernous Fistula (CCF) is a direct shunt from the cavernous segment of the carotid artery to the cavernous sinus. Its most frequent etiology is trauma, more commonly occurring in young male patients. Most often, it presents with hyperemia, exophthalmos, and ocular bruit [1]. The patient in this case presented with the Dandy triad three days after trauma, and during the diagnostic workup, a left-sided CCF was evidenced and treated with coil embolization. The treatment was performed satisfactorily, leading to symptom improvement. However, after three months, there was a recurrence, manifested again by proptosis. Cerebral angiography revealed fistula recanalization.

Case Description

J.D.M, male, 33-years-old, was referred to Santa Casa Hospital in Belo Horizonte - MG with a history of a car accident three days ago. He presented with conjunctival hyperemia, proptosis, ocular bruit, ophthalmoplegia, and reduced visual acuity on the left (Figure 1). In the neurological examination, he scored Glasgow 15, had left anisocoria, altered ocular motility with involvement of cranial nerves III, IV, and VI on the left, palpable thrill, and ocular bruit on auscultation. He underwent computed tomography (CT) and computed tomography angiography (CTA) of the skull, revealing enlargement of the left cavernous sinus, with apparent contiguity to the C5 segment of the ipsilateral internal carotid artery, as well as dilation of ophthalmic veins and angular vein, along with proptosis and ipsilateral orbital congestion (Figure 2). The patient was referred to interventional neuroradiology, where diagnostic and therapeutic angiography with embolization was performed, as described below.

Figure 1: Proptosis and chemosis in the left eye. View Figure 1

Figure 2: CTA of the skull with contrast, axial view: Distended left cavernous sinus (circled in blue), accompanied by an enlarged left superior ophthalmic vein (green curved arrow) and left angular vein (red curved arrow), indicative of left carotid-cavernous fistula. View Figure 2

Positioned the 6F introducer sheath in the right femoral artery using the technique described by Seldinger; systemic heparinization performed with 5,000 IU of venous heparin. Positioned the 6F guide catheter in the left carotid artery with the aid of a hydrophilic guide wire of 0.035-150 cm; in angiography series, a large partially thrombosed aneurysm in the left internal carotid artery in the cavernous segment with a fistulous component was documented (Figure 3), along with dilation of the ophthalmic veins. Microcatheterization of the C5 segment of the ICA was performed assisted by a 0.14 micro-guide wire, reaching the superior ophthalmic vein through the cavernous sinus (Figure 4). Ten coils were then placed, with a satisfactory angiographic result (Figure 5). At the time of hospital discharge, clinical improvement was already reported, and at the 30-day follow-up appointment, the patient was asymptomatic. In the third month, during the outpatient follow-up, symptom recurrence was observed, and on the control angiography, fistula recurrence with coil migration within the cavernous sinus was evident (Figure 6). This case report was documented with the patient's signature on the informed consent form.

Figure 3: Angiography of the left internal carotid artery (LICA) arterial phase in profile (PE) - thrombosed aneurysm (red circle) with fistulous component. View Figure 3

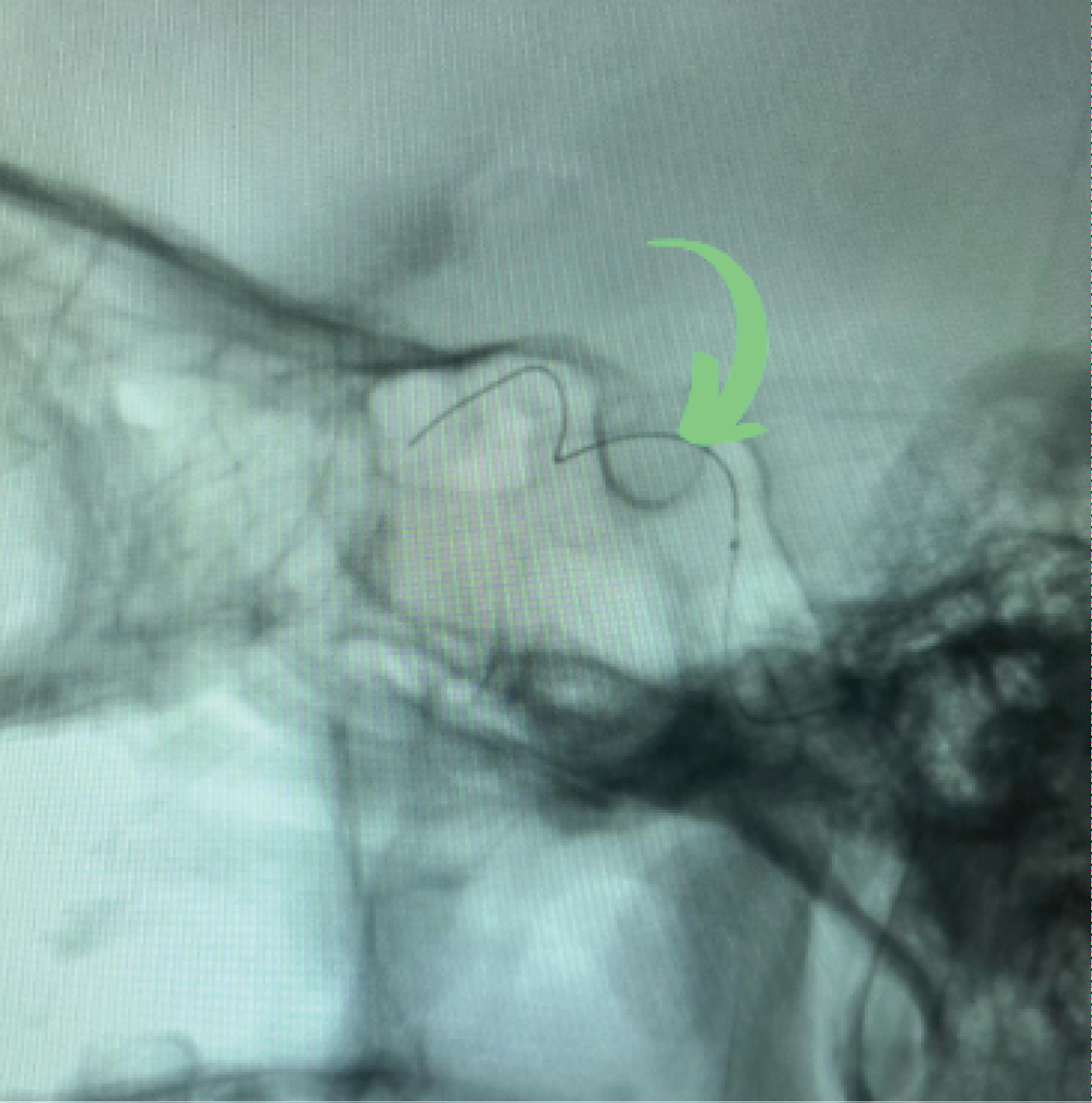
Figure 4: Angiography of the left internal carotid artery (LICA) arterial phase in profile (PE) demonstrating microcatheter in the superior ophthalmic vein (green arrow). View Figure 4

Figure 5: Cerebral angiography of the left internal carotid artery (LICA) arterial phase in anteroposterior (AP) view after coil embolization of CCF, demonstrating a satisfactory angiographic outcome. View Figure 5

Figure 6: Angiography of the left internal carotid artery (LICA) arterial phase in anteroposterior (AP) demonstrating recurrences of the carotid-cavernous fistula (CCF) (green arrow) in Figure B. Coil migration within the cavernous sinus by comparing the red circle in Figure A with the red circle in Figure B. View Figure 6

Discussion

Carotid cavernous fistula (CCF) is defined as an abnormal flow between the carotid artery and the cavernous sinus, increasing the pressure at this venous confluence site [2]. It can be traumatic or spontaneous, high or low flow, direct or indirect. Barrow, et al. 1985 [3] divides it into four types: Type A, where there is a direct communication from the internal carotid artery to the cavernous sinus; types B, C, and D are indirect. In type B, there is communication of the meningeal branches of the internal carotid artery with the cavernous sinus; in type C, there is communication of the meningeal branches of the external carotid artery with the cavernous sinus; and in type D, the nutrition of the fistula is provided by meningeal branches from both the internal and external carotid arteries [4].

The type A fistula, the most common, represents about 75% of CCFs, with trauma being the main etiological cause in 70 to 90% of cases, among others, such as aneurysm of the cavernous segment or congenital malformation that ruptures spontaneously due to collagen-related vascular disease, for example, Ehlers-Danlos syndrome IV, and rarely, due to iatrogenic causes such as angioplasty, transsphenoidal hypophysectomy, and nasopharyngeal biopsy [5].

Physiopathologically, the defect in the ICA in the majority of direct fistulas is a single opening measuring 2-6 mm in diameter [6]. However, it can consist of more than one defect or a complete transection of the ICA, with the most common location post-traumatic in the cavernous horizontal segment. Approximately 1 to 2% of traumatic CCF cases can be bilateral [7]. Drainage to the cavernous sinus, raising the pressure in this compartment, leads to dysfunction in cranial nerves with their intracavernous course, such as the V1 and V2 branches of the trigeminal nerve, IV, III, and VI. The sixth cranial nerve is most commonly affected [8]. Flow diversion can occur to the anterior ophthalmic venous system, causing increased pressure and leading to ocular symptoms [9].

A classic clinical presentation of exophthalmos with pulsatile conjunctival hyperemia and vascular murmur is seen in the majority of patients with direct type CCF [10]. The patient in this case exhibited classic symptoms, as described earlier, starting on the third day after the trauma. This highlights the importance of considering CCF in patients with a history of trauma. On physical examination, in addition to impaired ocular motility, the patient developed reduced visual acuity, with the risk of progressing to amaurosis, emphasizing the need for early recognition of the pathology for prompt specialized intervention.

Regarding diagnostics, a thin-slice head CT should be performed in cases of trauma to assess fractures, as 7% to 17% of cases of CCF with a history of trauma may have associated cranial fractures [11]. In the described case, the head CT did not reveal any fractures. Contrastingly, the CTA showed enlargement of the left cavernous sinus, with apparent continuity with the C4 segments of the ipsilateral internal carotid artery (Figure 2). Cerebral vascular angiography is considered the gold standard for a comprehensive evaluation of CCF; in some cases, discerning the anatomy of high-flow CCF can be challenging. Thus, angiographic techniques may be useful, such as the Huber maneuver [12] and/or the Mehringer-Hieshima maneuver [13].

In regard to the treatment of direct CCF, the goal is to maintain the integrity of blood flow in the internal carotid artery by closing the fistula, with clinical indications for emergent intervention being progressive ptosis, decreased vision, bleeding (intracranial or external), and intracranial hypertension [2]. The cure rate can reach up to 80% with endovascular treatment.

The transarterial cavernous sinus embolization with coils is useful for the treatment of direct CCFs. However, in post-trauma cases, unfavorable outcomes may occur due to large defects in the wall of the ICA. Thus, the initial closure of the fistula can be achieved, but the coils may migrate within the cavernous sinus over time, leading to the recurrence of the fistula, which may explain the resurgence of symptoms in the described case. There are still other techniques, such as stent implantation associated with coils and even ipsilateral carotid occlusion to the CCF [14].

Conclusions

The direct CCF occurs due to an abnormal shunt between the horizontal segment of the carotid cavernous artery and the cavernous sinus, with trauma being the main cause. Therefore, in young patients after head trauma and ocular symptoms, suspicion of such pathology should always be considered. Endovascular management through coil embolization is considered an effective treatment; however, in cases of symptom recurrence, angiography should be performed, as the coils may have migrated into the cavernous sinus.

Conflicts of Interest

The authors whose names are listed immediately below certify that they have NO affiliations with or involvement in any organization or entity with any financial interest, or non-financial interest in the subject matter or materials discussed in this case report. Author names: Dantas Mageste Ferreira, Lano Sousa Moreira, Taianne Fiore Schumann, Jéssica Aguilar da Silva, Vitor de Deus da Rocha Ribeiro Gonçalves.

Authors Contribution

Dantas Mageste Ferreira provided guidance at all stages of the research. Jéssica Aguilar da Silva, Vitor de Deus da Rocha Ribeiro Gonçalves and Lano Sousa Moreira wrote the main manuscript text. Taianne Fiore Schumann made tables and prepared figures. All authors reviewed the manuscript.

References

  1. Mahmoodkhani M, Askariardehjani N (2023) Post-traumatic carotid-cavernous fistula. Heliyon 9: e14778.
  2. Buchori E, Hilman, Ardiansyah MD, Priyanto W, Yollamanda P (2023) Carotid cavernous fistula (CCF) with coil embolization in interventional radiology: A case report. Radiol Case Rep 18: 3876-3880.
  3. Barrow DL, Spector RH, Braun IF, Landman JA, Tindall SC, et al. (1985) Classification and treatment of spontaneous carotid-cavernous sinus fistulas. J Neurosurg 62: 248-256.
  4. Vilela MAP (2013) Fistula carotideo-cavernosa. Rev Bras Oftalmol 72: 70-75.
  5. Debrun GM (1995) Angiographic workup of a carotid cavernous sinus fistula (CCF) or what information does the interventionalist need for treatment? Surg Neurol 44: 75-79.
  6. Debrun G, Lacour P, Vinuela F, Fox A, Drake CG, et al. (1981) Treatment of 54 traumatic carotid-cavernous fistulas. J Neurosurg 55: 678-692.
  7. Higashida R, Halbach V, Tsai F, Norman D, Pribram H, et al. (1989) Interventional neurovascular treatment of traumatic carotid and vertebral artery lesions: Results in 234 cases. AJR Am J Roentgenol 153: 577-582.
  8. Kupersmith MJ, Berenstein A, Flamm E, Ransohoff J (1986) Neuroophthalmologic abnormalities and intravascular therapy of traumatic carotid cavernous fistulas. Ophthalmology 93: 906-912.
  9. Gemmete JJ, Ansari SA, Gandhi DM (2009) Endovascular techniques for treatment of carotid-cavernous fistula. J Neuroophthalmol 29: 62-71.
  10. Desal H, Leaute F, Auffray-Calvier E, Martin S, Guillon B, et al. (1997) Direct carotid-cavernous fistula. Clinical, radiologic and therapeutic studies. Apropos of 49 cases. J Neuroradiol 24: 141-154.
  11. Higashida RT, Hieshima GB, Halbach VV, Bentson JR, Goto K (1986) Closure of carotid cavernous sinus fistulae by external compression of the carotid artery and jugular vein. Acta Radiol Suppl 369: 580-583.
  12. Huber P (1976) A technical contribution to the exact angiographic localization of carotid cavernous fistulas. Neuroradiology 10: 239-241.
  13. Mehringer CM, Hieshima GB, Grinnell VS, Tsai F, Pribram HF (1982) Improved localization of carotid cavernous fistula during angiography. AJNR Am J Neuroradiol 3: 82-84.
  14. Van Rooij WJ, Sluzewski M, Beute GN (2006) Ruptured cavernous sinus aneurysms causing carotid cavernous fistula: Incidence, clinical presentation, treatment, and outcome. AJNR Am J Neuroradiol 27: 185-189.

Citation

Ferreira DM, Silva JA, Gonçalves VDRR, Schumann TF, Moreira LS (2024) Recurrent Post-Traumatic Carotid-Cavernous Fistula after Endovascular Treatment. Neurosurg Cases Rev 7:154. doi.org/10.23937/2643-4474/1710154