Citation

GABRIELE G, CASCINO F, LATINI L, CARANGELO BR (2022) Meningosarcoma in The Infratemporal Fossa: An Unusual Presentation. Neurosurg Cases Rev 5:108. doi.org/10.23937/2643-4474/1710108

Case Report | OPEN ACCESS DOI: 10.23937/2643-4474/1710108

Meningosarcoma in The Infratemporal Fossa: An Unusual Presentation

Guido GABRIELE1, Flavia CASCINO1, Linda LATINI1* and Biagio Roberto CARANGELO2

1Department of Maxillo-Facial Surgery, Azienda Ospedaliera Universitaria Senese, "Santa Maria alle Scotte" Hospital, University of Siena, Siena, Italy

2Department of Neurosurgery, Azienda Ospedaliera Universitaria Senese, "Santa Maria alle Scotte" Hospital, University of Siena, Siena, Italy

Abstract

Background: Meningosarcoma represent a rare disease with an uncertain prognosis. Moreover, localization of tumours in the infratemporal fossa is rare. Lack of associated symptomatology of infratemporal fossa's lesions could result in a diagnosis and treatment delay. Also, surgical management of infratemporal fossa neoplasm remain challenging.

Case presentation: The authors present the case of a meningosarcoma extended to the infratemporal fossa, which presented in an advanced stage and required other treatment further than surgery.

Conclusion: A comprehensive histological evaluation and a multidisciplinary team help making the diagnosis and managing all eventualities. Sometimes surgery is not enough, and more therapeutic strategies are necessary.

Keywords

Meningiomas, Infratemporal fossa, Sarcoma, Handrotherapy

Introduction

Head and neck sarcomas account for 1% to 2% of all head and neck malignancies; primary intracranial sarcomas are rare [1] and the meningeal localization represents 0.1-4.3% of all cases of sarcoma.

Diagnosis is challenging both for the absence of evocative symptom, which could encourage the patient to submit deeper investigations, and for difficulty to make the right histopathological diagnosis.

Due to the malignity of the disease often, surgical treatment couldn't be resolutive and chemotherapy and radiotherapy are necessary.

A long follow up with regular instrumental investigation is required.

Case Description

A 52-year-old male presented at the Siena Maxillo-Facial Surgery Department complaining of 7 cm swelling in the right zygomatic region increased in size in the last 2 months without associated symptoms and without pain. Previously, an ultrasound study was performed and reported a swelling in the subcutaneous adipose tissue.

Neurological and ophthalmologist examination was negative, no previous medical history was reported.

The patient underwent various instrumental investigations.

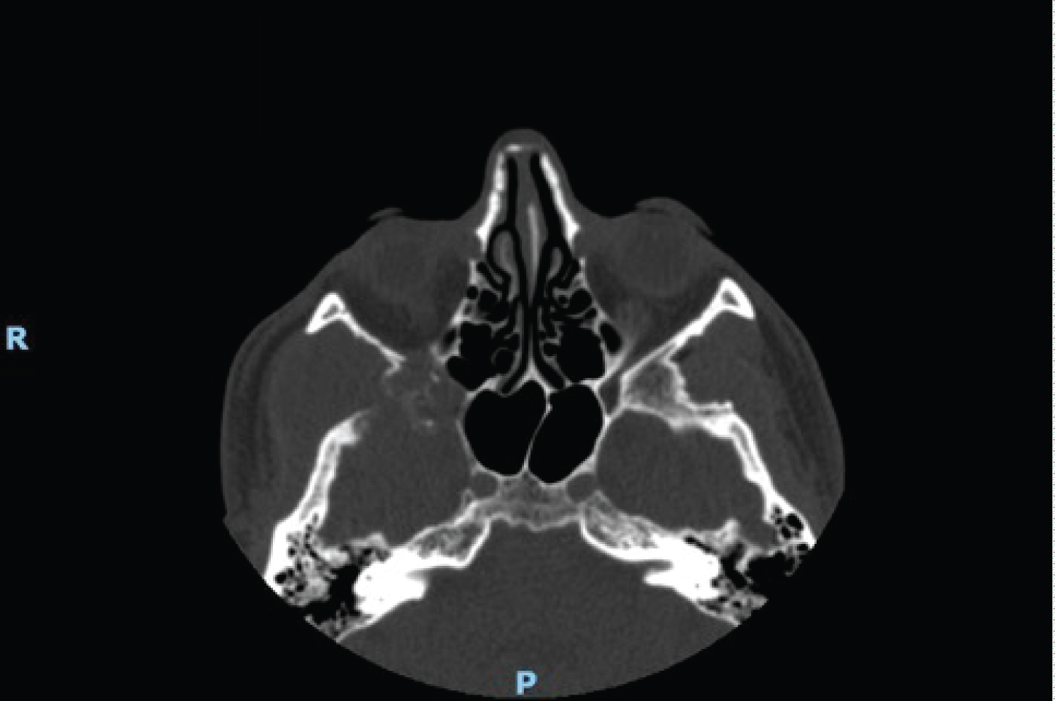
A contrast computer tomography (CT) and a Magnetic resonance imaging (MRI) were performed and revealed a 70 × 28 mm extra-axial neoplasm in the right temporal fossa up to the inferior orbital fissure. This mass came in touch with the extrinsic eye muscles causing perilesional oedema. The right temporal lobe, the right masseter and the right temporal muscle were compressed by the lesion, while the right temporal bone was eroded (Figure 1, Figure 2, Figure 3 and Figure 4).

Figure 1: MRI pre-operative coronal T2 image. View Figure 1

Figure 2: MRI pre-operative axial T1 image. View Figure 2

Figure 3: MRI pre-operative axial T1 image. View Figure 3

Figure 4: CT scan, pre-operative axial image. View Figure 4

Therefore, according to radiological findings, a Fine Needle Aspiration Biopsy was scheduled.

Histological result revealed mesenchymal features with a high/medium cell density, infiltrating the stroma and the muscle. Tumour cells were spindles with a fibroblastic/myofibroblastic feature with an ill-defined cytoplasm, weakly eosinophilic, some of them were assembled in bundles. Nuclear inclusions were found and there were no necrosis area, tumour cells was characterized by an elevated proliferation index.

Anaplastic meningioma grade III with fibrosarcomatous appearance was diagnosticate, also considering they are the most common extra-axial intracranial tumour and they usually grow asymptomatic like the present case [2-4].

Eventually, during the preoperative assessment, differential diagnosis must be done with other lesions which gave encumbrance of the infratemporal fossa such as intracranial schwannomas or lipoma [5-8].

Also radiological features seemed compatible with a meningioma.

In consideration of the location and the extension, an incisional biopsy was executed to confirm the diagnosis, but estabilish an histological diagnosis was difficult for the rarity of this histological type.

Finally, in accordance with the mesenchymal malignant features, the presence of necrosis area, the mitotic index amounting to 50/10 high power fields (HPF) and to the immunophenotypic features (MDM2+, cytokeratin AE1/AE3-, EMA-, desmin-, straight muscle actin-, myogenin-, caldesmon-, S100-, CD34-, STAT6-) undifferentiated meningosarcoma with pleomorphic and spindle cell was diagnosticate.

A multidisciplinary treatment of intra and extracranial approach was scheduled.

Access to the infratemporal fossa by a trans-zygomatic approach was gained.

The exophytic neoformation was removed and a homolateral temporal muscle flap was set up to fill the gap.

A craniotomy and an excision of the lesion from the dura and the skull base was performed by the neurosurgeon. The lesion was macroscopically removed.

Histological examination confirmed the diagnosis of G3 spindle and pleomorphic cell meningosarcoma in contrast with the first diagnosis.

Post-operative MRI revealed a residual portion of the tumour within the base skull, involving the sphenoid great wing, occupying the anterior pole of the middle cranial fossa and displacing the temporal convolutions above and posteriorly (Figure 5 and Figure 6).

Figure 5: MRI T1 axial image, 3 months after surgery. View Figure 5

Figure 6: MRI T1 axial image, 3 months after surgery. View Figure 6

Whereby, chemotherapy treatment was scheduled, and the patient underwent six cycles with Adriamicina 105 mg/mq and Ifosfamide 9 mg/mq.

Also radiotherapy with carbon ions with IMPT technique (intensity modulated particle therapy) was started and was administered a global dose of 76.8 Gy (RBE) (4.8 Gy(RBE)/fraction, 16 fractions, 4 fraction/week, in 28 days).

During follow-up, a good response to treatments with a reduction in size of the residual mass was highlighted.

Positron emission tomography (PET) doesn't revealed metastatic dissemination.

Follow up still going on.

Discussion

Head and neck sarcomas account for 1% to 2% of all head and neck malignancies, approximately 80% originate from soft tissues and 20% from bone [9].

Localization in the infratemporal fossa is rare.

Meningeal sarcomas are rare tumour, 0.1-4.3% of all cases of sarcomas, they affect a young demographic, and the prognosis and survival are typically poor, five-year survival varies between 44% and 80% [10].

Primary sarcomas are the most common, but they also arise secondarily from exposure to radiation, tissue abnormalities, chemotherapy, and surgical trauma.

Typically, they are asymptomatic and their finding is incidental; if symptomatic they usually present with headache, hemiparesis, or seizures [11].

They were classified as a subgroup of aggressive meningeal tumour, but nowadays they should be excluded from that group because of their distinct histopathologic and cytogenic features characterized by both solid and papillary growth patterns with cytologically atypical cells ranging from spindle to epithelioid morphology, numerous mitotic figures, and focal necrosis predominantly within the solid areas [12].

However, neither the aetiology nor the genetic pathways that lead to human meningosarcoma are clear. Some authors hypothesize that secondary sarcomatous changes in a pre-existing meningioma should be considered as a meningosarcoma variant due to the finding of meningothelial elements within certain sarcomas [3]. It seems it is the genomic instability in meningiomas that lead to a progression in meningosarcoma [13].

Treatment is based on surgery to provide decompression of critical structures and to establish a histological diagnosis, but due to the high risk of recurrences also chemotherapy with adriomicina e ifosfamide is indicated.

Radiotherapy is also indicated in sarcomas although they are not traditionally found to be radiosensitive [12].

Therefore, adjuvant therapy is recommended. The role and the prognostic impact of radiotherapy as an adjuvant to surgical resection is controversial, but lots of literature demonstrates that adjuvant radiotherapy significantly improves local control of atypical and malignant meningioma [14,15].

Handrotherapy is also an option. This type of treatment, thanks to a complex particle accelerator, which is able to decompose atoms and create beams of particles to be directed to tumour cells in order to destroy them, is a very advanced therapy for X-ray resistant or inoperable tumours. Handrotherapy is useful also for tumours close to critical organs that cannot receive extra doses of radiotherapy or difficult to reach with the surgery [16].

Conclusion

Meningosarcoma are a rare entity difficult to diagnosticate and manage especially those localize in the infratemporal fossa, a difficult approachable area.

A comprehensive histological evaluation and a reference centre relief help making the diagnosis.

Multidisciplinary team is important to manage all eventualities and to approach the intracranial lesion appropriately. Nevertheless, sometimes surgery is not enough, and more therapeutic strategies are necessary.

Adjuvant chemotherapy and handrotherapy reduce recurrencies and are complementary to surgery.

Acknowledgments

None.

Conflict of Interest

The authors have no conflicts of interest to declare. All co-authors have seen and agree with the contents of the manuscript and there is no financial interest to report. We certify that the submission is original work and is not under review at any other publication.

Funding

This research received no specific grant from any funding agency in the public, commercial, or not-for-profit sectors.

Authors' Contribution

Prof. Guido Gabriele: Supervision; Dr.ssa Flavia Cascino: Conceptualization; Dr.ssa Linda Latini: Data curation, Writing- Original draft preparation; Dr. Biagio Roberto Carangelo: Methodology.

References

  1. Vrana D, Kalita O, Hrabalek L, Matzenauer M, Bartouskova M, et al. (2019) Primary intracranial sarcomas, myxoid meningeal sarcoma - a case report and literature review. Klin Onkol 32: 214-219.
  2. Rafiq MF, Khaleeq-uz-Zaman, Ibrahima M (2016) An unusual presentation of huge meningioma extruding out of skull. J Ayub Med Coll Abbottabad 28: 206-209.
  3. De Mesa RL, Sierrasesumaga L, de Cerain AL, Calasanz MJ, Patino-Garcia A (2005) Pediatric meningosarcoma: Clinical evolution and genetic instability. Pediatr Neurol 32: 352-354.
  4. Salami AA, Okunlola AI, Ajani MA, Onakpoma F (2021) WHO classification of meningiomas-A single institutional experience. Neurochirurgie 67: 119-124.
  5. Carangelo BR, Lavalle L, Gabriele G, Luglietto D (2020) Intracranial soft-tissue glomus tumor (glomangioma) in a young-woman. A case report and review of the literature. Ann Ital Chir 91.
  6. Bagaglia SA, Meduri A, Inferrera L, Gennaro P, Gabriele G, et al. (2020) Intraconal retro-orbital b-type antoni neurinoma causing vision loss. J Craniofac Surg 31: e597-e599.
  7. Aboh IV, Chisci G, Cascino F, Parigi S, Gennaro P, et al. (2014) Giant palatal schwannoma. J Craniofac Surg 25: e418-e420.
  8. Gennaro P, Nastro Siniscalchi E, Gabriele G, Cascone P (2012) Trigeminal and facial schwannoma: A case load and review of the literature. Eur Rev Med Pharmacol Sci 4: 8-12.
  9. Makary RF, Gopinath A, Markiewicz MR, Fernandes R (2017) Margin analysis: Sarcoma of the head and neck. Oral Maxillofac Surg Clin North Am 29: 355-366.
  10. Hammami B, Bouayed W, Siala W, Toumi N, Khabir A, et al. (2008) Les sarcomes de la tete et du cou [Head and neck sarcoma]. Ann Otolaryngol Chir Cervicofac 125: 294-300.
  11. Wapshott T, Schammel CMG, Schammel DP, Rezeanu L, Lynn M (2018) Primary undifferentiated sarcoma of the meninges: A case report and comprehensive review of the literature. J Clin Neurosci 54: 128-135.
  12. Cummings M, Chowdhry V, Shah H, Back J, Kennedy GA (2012) Recurrent meningeal sarcoma successfully treated with stereotactic radiosurgery. J Neurosurg Pediatr 10: 434-438.
  13. Simon M, Kokkino AJ, Warnick RE, Tew JM Jr, von Deimling A, et al. (1996) Role of genomic instability in meningioma progression. Genes Chromosomes Cancer 16: 265-269.
  14. Swingle AJ (1949) Meningosarcoma with pulmonary metastasis; report of a case. Arch Neurol Psychiatry 61: 65-72.
  15. Betz H, Prager P (1981) Spontaneous pneumatocele during radiation of a giant meningosarcoma. Neuroradiology 22: 159-161.
  16. Rossi S (2015) The national centre for oncological hadrontherapy (CNAO): Status and perspectives. Phys Med 31: 333-351.

Citation

GABRIELE G, CASCINO F, LATINI L, CARANGELO BR (2022) Meningosarcoma in The Infratemporal Fossa: An Unusual Presentation. Neurosurg Cases Rev 5:108. doi.org/10.23937/2643-4474/1710108