Citation

Claudio S, Chiara C, Carla G, Clara U, Marco G (2024) Second Branchial Cleft Cyst Expressing Estrogenic Receptors Arising during Pregnancy. J Otolaryngol Rhinol 10:150. doi.org/10.23937/2572-4193.1510150

Case Report | OPEN ACCESS DOI: 10.23937/2572-4193.1510150

Second Branchial Cleft Cyst Expressing Estrogenic Receptors Arising during Pregnancy

Spinelli Claudio1, Cordola Chiara, MD1*, Guglielmo Carla, MD1, Ugolini Clara2 and Ghionzoli Marco, MD, PhD1

1Division of Pediatric and Adolescent Surgery, Maternity and Child Department, University of Pisa, Pisa, Italy

2Anatomic Pathology, Department of Surgical, Medical, Molecular Pathology and Critical Area, University of Pisa, Pisa, Italy

Abstract

Branchial arch anomalies may present as cysts, fistulas, or sinuses. A few cases of branchial cyst occurring in pregnant women have been previously described, characterized by growth and regression following delivery. We report on a case of a pregnant woman for which the branchial cyst increased during gestation and regressed in the months following childbirth. In the hypothesis that hormonal changes during pregnancy constituted the stimulus for growth, we included immunohistochemistry for estrogen receptors in the resected specimen. We assume that for those branchial cleft cysts arising during pregnancy it is important to postpone surgery, proposing an adequate follow-up following delivery. Cysts as such may express estrogen receptors and might regress in the months following childbirth, avoiding unnecessary surgery.

Keywords

Second branchial cleft cyst, Estrogen receptors, Pregnancy, Surgery

Introduction

Branchial arch anomalies are a common cause of cervical mass and can present in the form of cysts, fistulas, or sinuses [1]. There are no differences in the incidence among genders and, although congenital lesions with frequent presentation in childhood are unanimously considered, they might be observed even later between the second and fourth decade, when the lesion increases in volume due to an underlying inflammatory-infectious process; seventy-five percent of branchial anomalies originate from the second branchial arch, whereas anomalies of the first, third and fourth branchial arch are less frequent; 10% of such anomalies have bilateral presentation [2]. These occur during embryogenesis, between the II and the VII week of gestation: In particular the fusion of a branchial arch with the adjacent one and the inclusion of an ectodermic fold determines the formation of a cyst, which in the case of the second branchial arch is located on the anterior border of the sternocleidomastoid muscle [3]. The cyst of the second branchial arch is usually soft in consistency, lined with non-keratinized stratified squamous epithelium and covered with normal skin; it is mobile and indolent and tending to slow growth which may undergo suppuration and fistulization [4]. Usually the cystic mass becomes visible between the second and fourth decade as it needs time to grow and accumulate secretions: The typical patient is in fact a subject between 10 and 40-years-old with a positive history of cervical swelling [5]. Interestingly enough, a few cases of branchial cyst occurring in pregnant women have been previously described, characterized by rapid growth and spontaneous regression following delivery [6-8]. This evidence prompted us to report the case of a pregnant woman for which the cyst increased considerably during gestation and regressed almost completely in the months following childbirth. Taking into consideration these aforementioned aspects, in the hypothesis that the hormonal changes occurring during pregnancy had constituted the stimulus for the growth of the lesion, we included immunohistochemistry for estrogen receptors (ER) in the excised specimen.

Case Report

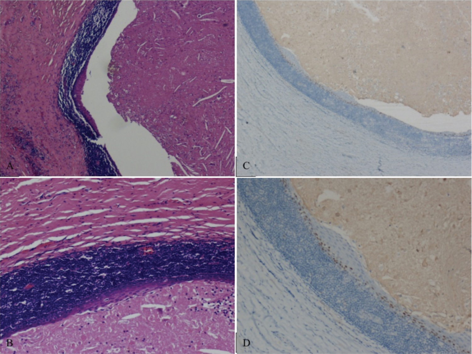
We report on a healthy 30-year-old pregnant woman who presented a right sided tense-elastic neck swelling, starting from the seventh month of pregnancy (Figure 1). The ultrasound examination demonstrated a 41 × 20 mm oval cystic formation characterized by corpuscular content, localized at right mandibular angle in a space between the submandibular and parotid gland. The formation shows no vascular enhancement at Doppler sampling, being compatible with a branchial cleft cyst arisen from the second cleft. Nearby structures were deemed normal, no lymphadenopathy was detected (Figure 2). An iterative clinical and ultrasound check demonstrated its progressive growth, reaching maximum expansion at delivery. The cyst did not cause any pain or functional impairment. MRI examination of the neck, conducted after delivery, confirmed the known cyst, 38 × 40 × 48 mm in size with an oval morphology and clear limits, without infiltrating characteristics, with a finely structured proteinaceous sedimentation, located at right lateral neck compartment, antero-medial to the sternocleidomastoid muscle. No significant loco-regional adenopathies were documented, the adipose layers were preserved, and the parotid and submandibular glands were free from focal alterations. These findings were compatible with Bailey type II second branchial cleft cysts [4,5,9,10] (Figure 3). After delivery, the cyst remained stable for about four months and then gradually shrunk within a month. Subsequently surgical excision was performed. The surgical material was sent for histological examination, which confirmed the diagnosis of second branchial cleft cyst and detected the positivity at immunohistochemistry for ER on the lining epithelium using anti-ERα (SP1) antibodies (Figure 4).

Figure 1: Neck image of a 30-year-old pregnant woman presenting with right sided neck swelling, starting from the seventh month of gestation, compatible with a second branchial cleft cyst. View Figure 1

Figure 2: Transverse section of a second branchial cleft cyst ultrasound scan showing an anechoic content with a few hyperechoic spots and no vascular enhancement. View Figure 2

Figure 3: MRI images of the neck confirmed the cyst (white arrow), 38 × 40 × 48 mm in size with a rounded neat shape, with no infiltration, located at right lateral neck compartment, antero-medial to the sternocleidomastoid muscle as shown in (A) Coronal view and (B) Sagittal view. View Figure 3

Figure 4: (A,B) Branchial cyst lined by keratinized stratified squamous epithelium with no evidence of adnexal structures (Magnifications A 4X, B 10X), H&E; C,D) Focal based expression of anti-Estrogen Receptors antibody (CONFIRM ER (SP1) Rabbit Monoclonal Primary Antibody) (Magnifications C 4X, D 10X), immunohistochemistry. View Figure 4

Discussion

Estrogen receptors are physiologically distributed in multiple tissues: ERα receptors prevail in the hypothalamus, pituitary, thyroid, mammary gland, liver, bone and uterus, cervix, vagina; ERβ receptors are less expressed, but predominate in the ovary, lung, prostate and skin [11-13]. ERα and ERβ often have antagonistic action and are the first to support the proliferative drive: by binding to the AP-1 promoter site in fact, ERα activates transcription while ERβ generates an inhibition signal. In addition, the estrogen receptor can also be activated independently of the ligand through the binding of growth factors or other intracellular signal molecules, which determine the phosphorylation of a serine residue of the receptor protein [14].

Estrogens are therefore involved in the growth and physiological differentiation of normal tissues and both benign and malignant lesions: In bone tissue they are essential for regulating mineral density. ERα and ERβ are expressed in osteoblasts, osteocytes and osteoclasts, the first to a greater extent in cortical bone, the latter mainly in trabecular bone; studies conducted on knock-out mice for one or the other receptor suggest that the signal through ERα increases the bone response to mechanical stress, inducing an increase in the number of osteoblasts [15]. In about two thirds of breast cancers, luminal type, estradiol (E2) binds the alpha estrogen receptor, stimulating cell proliferation and causing the accumulation of mutations starting from replicative errors: Over time the cells accumulate sufficient mutations to become neoplastic clones. The metabolites of estrogens also seem to be involved in breast carcinogenesis, to the extent that they cause genotoxic damage and probably modulate the activity of stem cells [16]. In healthy prostate tissue, ERα (expressed in the basal layer of the epithelium and in the stroma) promotes cell proliferation and survival, while its presence in neoplastic cells stimulates the development and progression of carcinoma [17]; High levels of ERα mRNA and protein were also observed in hormone-refractory and advanced-stage tumors with bone and lymph node metastases [15].

During pregnancy, the levels of estrogen and progesterone increase rapidly as beta-hCG stably stimulates ovarian production by the corpus luteum; starting from the second trimester the placenta itself produces large quantities. Estriol (E3) is the main estrogen secreted by the placenta, characteristic of pregnancy: Its concentration increases progressively, peaking four weeks prior to birth together with Estrone (E1) and estradiol (E2). After birth, estrogen returns to pre-pregnancy levels within a few days. Considering laboratory data, the estrogenic spread, occurred during pregnancy, may have triggered in our patient the development of an ER lesion such as the branchial cyst [18].

To date there are two reports favoring an abrupt growth of branchial cleft cysts in a pregnant woman, hypothesizing the hormonal role in the cyst changes over time. A first case of a 27-year-old pregnant woman affected by a second branchial cleft cyst emerged after the delivery and totally regressed spontaneously after 9 months from the initial presentation [7]. A second report of a twenty-nine-year-old female, who developed the cyst during the third trimester and underwent to surgery after pregnancy [8]. For both cases immunohistochemistry (IHC) analysis was not performed.

However, a case series including 16 patients with branchial cleft cyst (9 males and 7 females, with 3 of them being pregnant), demonstrated weakly expression of ERα in specimens derived from two of three pregnant women (the third sample could not be examined due to severe inflammation) [6]. Authors claimed that estrogens constitute a trophic stimulus to the lining epithelium of the cyst and IHC analysis revealed the presence of focal ERα expression in the nuclei of a part of the cells and furthermore these epithelial cells showed a proliferation index (Ki-67/Mib1) between 21% and 30%, whereas it ranged between 3% and 9% in the other 13 patients [6].

Hence, to the best of our knowledge, this is the second report of histopathological positivity to estrogen receptors in branchial cleft cysts [6].

Conclusions

Although further studies are needed to confirm the hypothesis of estrogenic involvement in the development of branchial cysts in pregnant women, the observed case constitutes evidence favoring this etiopathogenetic theory. Cysts as such may express ERs and might have a peculiar evolution, considering the possibility for its shrinkage up to a complete regression in the months following childbirth, avoiding unnecessary surgery. For these reasons in branchial cleft cysts arising during pregnancy it is paramount to postpone surgery, proposing an adequate follow-up following delivery.

Authors Declaration

All authors have made a significant contribution to the findings and methods in the paper. The whole manuscript has been revised and approved by all its authors. None of the authors of the above manuscript has declared any conflict of interest.

References

  1. Spinelli C, Rossi L, Strambi S, Piscioneri J, Natale G, et al. (2016) Branchial cleft and pouch anomalies in childhood: A report of 50 surgical cases. J Endocrinol Invest 39: 529-535.
  2. Coste AH, Lofgren DH, Shermetaro C (2022) Branchial cleft cyst. In: StatPearls. Treasure Island (FL): StatPearls Publishing.
  3. Bajaj Y, Ifeacho S, Tweedie D, Jephson CG, Albert DM, et al. (2011) Branchial anomalies in children. Int J Pediatr Otorhinolaryngol 75: 1020-1023.
  4. Bailey H (1933) The clinical aspects of branchial cysts. Br J Surg 10: 173-182.
  5. Zatonski T, Inglot J, Krecicki T (2012) Branchial cleft cyst. Pol Merkur Lekarski 32: 341-344.
  6. Raguse JD, Anagnostopoulos I, Doll C, Heiland M, Jöhrens K (2017) Possible estrogen dependency in the pathogenesis of branchial cleft cysts. Biomed Res Int 2017: 1807056.
  7. Brennan PA, Critchlow A, Rehman S, Thomas D (2014) Spontaneous resolution of a branchial cleft cyst without intervention: A previously unreported outcome. Br J Oral Maxillofac Surg 52: 379-381.
  8. Tawfeeq E, AlGhanem B, AlSihan M (2021) Branchial cleft cyst in pregnancy: A case report and description of operative technique. Int J Med Rev Case Rep 5: 17-20.
  9. Kawaguchi M, Kato H, Aoki M, Kuze B, Hara A, et al. (2019) CT and MR imaging findings of infection-free and benign second branchial cleft cysts. Radiol Med 124: 199-205.
  10. Iio K, Yoshitomi A (2022) Second branchial cleft cyst. N Engl J Med 386: e67.
  11. Bagnoni G, Fidanzi C, D'Erme AM, Viacava P, Leoni M, et al. (2019) Melanoma in children, adolescents and young adults: Anatomo-clinical features and prognostic study on 426 cases. Pediatr Surg Int 35: 159-165.
  12. Spinelli C, Ghionzoli M, Oreglio C, Sanna B, De Napoli L, et al. (2022) Increased trend of thyroid cancer in childhood over the last 30 years in EU countries: A call for the pediatric surgeon. Eur J Pediatr 181: 3907-3913.
  13. Spinelli C, Sanna B, Ghionzoli M, Micelli E (2022) Therapeutic challenges in metastatic follicular thyroid cancer occurring in pregnancy: A case report. World J Obstet Gynecol 11: 33-39.
  14. Paech K, Webb P, Kuiper GG, Nilsson S, Gustafsson J, et al. (1997) Differential ligand activation of estrogen receptors ERalpha and ERbeta at AP1 sites. Science 277: 1508-1510.
  15. Khalid AB, Krum SA (2016) Estrogen receptors alpha and beta in bone. Bone 87: 130-135.
  16. Yue W, Yager JD, Wang J-P, Jupe ER, Santen RJ (2013) Estrogen receptor-dependent and independent mechanisms of breast cancer carcinogenesis. Steroids 78: 161-170.
  17. Bonkhoff H (2018) Estrogen receptor signaling in prostate cancer: Implications for carcinogenesis and tumor progression. Prostate 78: 2-10.
  18. Hamilton KJ, Hewitt SC, Arao Y, Korach KS (2017) Estrogen hormone biology. Curr Top Dev Biol 125: 109-146.

Citation

Claudio S, Chiara C, Carla G, Clara U, Marco G (2024) Second Branchial Cleft Cyst Expressing Estrogenic Receptors Arising during Pregnancy. J Otolaryngol Rhinol 10:150. doi.org/10.23937/2572-4193.1510150