Citation

Ávila-Fernández KF, Álvarez-Cisneros T, Ruelas-Villavicencio AL (2023) Bullous Pemphigoid in Older Adults Treated with DPP4i: A Case Series. J Geriatr Med Gerontol 9:142. doi.org/10.23937/2469-5858/1510142

Case Series | OPEN ACCESS DOI: 10.23937/2469-5858/1510142

Bullous Pemphigoid in Older Adults Treated with DPP4i: A Case Series

Ávila-Fernández Katia Fabiola1, Álvarez-Cisneros Teresa1,2 and Ruelas-Villavicencio Ana Lilia1,3*

1Internal Medicine Department, Hospital Médica Sur, Mexico City, Mexico

2Research Department, Instituto Nacional de Geriatría, Mexico City, Mexico

3Dermatology Department, Instituto Nacional de Ciencias Médicas y Nutrición Salvador Zubirán, Mexico City, Mexico

Abstract

Bullous pemphigoid (BP) is a rare autoimmune subepithelial blistering disease affecting mostly older adults [1]. Studies have calculated an annual incidence ranging from 2.4% to 21.7% per million population. While triggers are found in less than 15% of cases [2,3], drugs are well-known trigger factors. Recently, dipeptidyl peptidase-4 inhibitors (DPP4i) have been associated to this condition [4]. Our study presents four cases of older adults with BP associated to the use of DPP4i. The relevance of this study is to emphasize the association between these drugs and BP in older adults where polypharmacy is frequent.

Keywords

Geriatric dermatology, Polypharmacy, Diabetes, Autoimmune

Abbreviations

BP: Bullous Pemphigoid; DPP4i: Dipeptidyl peptidase-4 inhibitors; Di-BP: Drug-Induced Bullous Pemphigoid; CDC: Centers for Disease Control and Prevention; ADA: American Diabetes Association; FDA: Food and Drug Administration; EASD: European Association for the Study of Diabetes; F: Female; M: Male; T2DM: Type 2 Diabetes Mellitus; CKD: Chronic Kidney Disease; SAH: Systemic Arterial Hypertension; HF: Heart Failure; COPD: Chronic Obstructive Pulmonary Disease; HCV: Hepatitis C Virus Infection; Mg: Milligrams

Introduction

Bullous pemphigoid (BP) is an autoimmune subepithelial blistering disease [1] with an estimated annual incidence of PA between 2.4 to 21.7 per million people [3]. During the last decade, there has been an increase in its incidence [5-7]. In Mexico, a retrospective study reported an incidence of 15 cases per 100,000 people between 2006-2011 [1]. Although the pathogenesis of BP is still not completely understood, there is strong evidence of autoantibodies against the hemidesmosomal anchoring proteins BP180 and BP180, as well as an imbalance between regulatory T cells and autoreactive helper T cells [8]. Risk factors include advanced age, neurological diseases (eg, dementia, Parkinson's disease, or psychiatric disorders), malignancies, and medications [9].

Drug-induced bullous pemphigoid (Di-BP) is a variant of BP secondary to the topical or oral use of some drugs [10]. The clinical picture is similar to classic BP, starting with a nonbullous phase consisting of urticarial-like wheals along with scaly patches, followed by a bullous phase characterized by tense, pruritic blisters on normal skin or with an erythematous and edematous base primarily on the skin, axillary folds, lower abdomen, groin areas, and inner thighs [11,12]. The mucosa may be involved in 10% to 25% of cases, and healing with post inflammatory hyperpigmentation may occur with the risk of scarring. Milia is seen at sites of previous blisters or erosions [11-13].

Di-BP is diagnosed in less than 15% of patients [2] as it is difficult to differentiate it from classic BP. The most suggestive risk factor being polypharmacy, recent use of any new medication, presentation at early ages, significant mucosal condition, and histopathology with marked eosinophilic infiltrate and necrotic keratinocytes or intradermal vesicles [2]. There are multiple drugs reported as triggers of Di-BP; however, the level of evidence is variable (Table 1). Dipeptidyl peptidase-4 (DPP4i) inhibitors are among the drugs with the highest association level with BP [14,15].

Table 1: Medications implicated in drug-associated bullous pemphigoid. View Table 1

Case Description

We describe four cases of DPP4i-induced BP in patients older than 70 years with a history of polypharmacy to emphasize the challenge during evaluation in these patients and the importance of diagnostic suspicion.

Clinical and histological medical reports of patients presenting with BP related to the use of DPP4i in two hospitals from Mexico between July 2018 and May 2022 were reviewed.

Results show data from two men (50%) and two women (50%) aged 70 to 87-years-old with a mean age of 80 years. Table 2 describes the clinical characteristics of the four patients. Three of the patients presented non-bullous and bullous phases, however, one presented just in the bullous phase. In three cases the use of linagliptin was documented, while the use of sitagliptin was documented in only one case. The latency between the use of DPP4i and the appearance of the lesions varied from one week to one year, with a mean of 17 weeks. All patients presented with a disseminated condition. Figure 1 describes the manifestation of some patients. Three patients underwent a biopsy and have histopathological confirmation; however, clinical diagnosis only was done in one patient. Figure 2 describes the biopsy of one patient. The DPP4i was withdrawn from all patients and treatment with prednisone 15 mg to 20 mg/day was started. Two patients also received antibiotic treatment initially (one patient doxycycline and the other lymecycline). One patient also received topical clobetasolas an adjuvant. Partial response to treatment was seen in three patients and one showed a complete response. Response time varied from one week to five months. Three patients presented a chronic evolution and one patient is still in follow-up. Only one patient did not require maintenance therapy as a complete response was seen after stopping the DPP4i. One patient presented milia during the resolution phase. One patient had to be hospitalized for a BP complication. All patients were taking more than one drug at diagnosis.

Figure 1: Clinical manifestations of iDPP-4-induced bullous pemphigoid. A and B) Tense blisters and multiple exulcerations, atrophic-looking scars and residual spots on the lower pelvic limbs and arms. B) In addition, multiple traces of scratching and xerosis are observed on the arms; C) Erosions and blood crusts in the posterior thorax; D) Atrophic scars and milia cysts in the anterior chest. View Figure 1

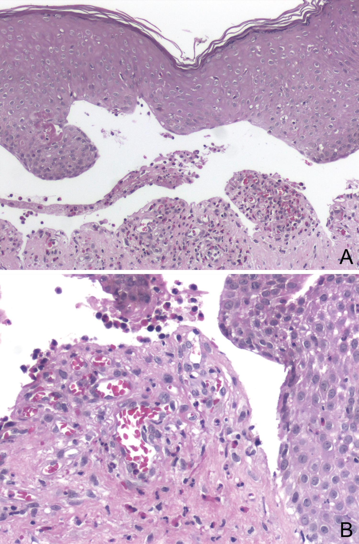
Figure 2: H&E stain of a biopsy of the skin edge of an established blister. A and B) Subepidermal blister with an edematous papillary dermis; B) Inflammatory infiltrate rich in eosinophils and fibrin. View Figure 2

Table 2: Characteristics of four patients with Bullous Pemphigoid induced by DPP4i. View Table 2

DPP4is (alogliptin, anagliptin, linagliptin, sitagliptin, vildagliptin, and teneligliptin) are drugs used for the treatment of type 2 diabetes mellitus. They were Approved by the Food and Drug Administration (FDA) in 2006 and were added to the guidelines of the American Diabetes Association (ADA) and the European Association for the Study of Diabetes (EASD) in 2018 [16]. These drugs work by increasing the levels of incretin hormones, glucagon-like peptide-1, and glucose-dependent insulinotropic peptide resulting in improved b-cell responsiveness to glucose concentrations and suppression of glucagon secretion [17]. The minimal risk of hypoglycaemia, their cardio protective and nephroprotective effect, as well as the lack of weight gain are reasons for considering them a treatment of choice in older adults [18,19].

Commonly reported short-term side effects include upper respiratory tract infections, urinary tract infections, headaches, and gastrointestinal disturbances [20,21]. While their long-term safety has not been established, some of their serious side effects include acute pancreatitis, liver dysfunction, hypersensitivity reactions, and severe joint pain. Despite a lack of robust evidence, the occurrence of any of the above warrants an immediate withdrawal of the drug [22-24].

The first cases of BP associated with DPP4is were reported in 2011, since then evidence supporting their association has increased [3,4,14,15,25-42]. Although the pathophysiology is not fully yet understood, it is hypothesized that DPP4 is modify the immune response and/or alter the antigenic properties of the epidermal basement membrane resulting in bullous pemphigoid [43]. Currently, the incidence of DPP4i-induced BP is estimated to be 0.86/1000 patients [44].

Results from studies looking at the strength of association between DPP4i and BP differs. The systematic review and meta-analysis by Yang, et al. revealed an OR = 7.38 (CI = 7.38, 95% CI 2.00-27.2, I2 = 0, P = 0.003) [4]. It seems that the association is stronger with vildagliptin (OR = 10.7, 95% CI, 5.1-22.4) compared to linagliptin (OR = 6.7, CI, 2.2-19.7), with little or no significant association when looking at sitagliptin or saxagliptin [4,14,35,40]. Its association to alogliptin, anagliptin, and teneligliptin has been reported only in scarce cases and pharmacovigilance databases [28,31,34,43].

This case series exemplify the significant difficulty of diagnosing DPP4i-induced BP because of polypharmacy in older adults. Polypharmacy is defined as the use of multiple drugs (usually five or more) per day. Data from the CDC (Centers for Disease Control and Prevention) reveals that a third of adults between the ages of 60 and 70 have polypharmacy, increasing their risk of drug side effects [45]. Patients with polypharmacy may use several drugs associated to BP. Patients from this series used not only DPP4i but also angiotensin-converting enzyme inhibitors, proton pump inhibitors, diuretics, and other groups of drugs related to BP which could synergize the effects of the DPP4i.

A complete medical history is crucial to suspect and withdraw triggering drug(s) avoiding complications, including the use of high-dose steroids or intravenous immunoglobulin. Diagnosis is based on clinical symptoms and histological and immunopathological findings. Latency lasts an average of 7 months as reported by the FDA [28], however, it can vary from 8 days to 37 months [43]. Our cases presented a lower mean latency than what has been reported. While studies suggest a lower age mean for drug-induced BP when compared to classic BP, other studies similar to ours show that DPP4i occurs at older ages finding a relationship between the start of the DPP4i and the presentation of BP symptoms with an improvement upon withdrawal confirming the diagnosis by the criteria of the World Health Organization System-Uppsala Monitoring Center [42,46].

Typical findings of drug-induced BP that contrast with classic bP include: Intraepidermal vesicles, necrotic keratinocytes, thrombus formation, and marked eosinophilic infiltrate [10]. Anti-BP180/BP230 enzyme-linked immunosorbent assays can also differentiate DPP4i-associated BP from conventional BP [10,47]. In our setting, biopsy is not available for all because of financial and infrastructure limitations.

Patients with drug-induced BP have a good prognosis; most of our patients presented a chronic and persistent course requiring maintenance treatment, a complication that has been previously reported [10]. Remission is achieved by withdrawing triggers and topical and/or systemic steroids plus adjuvant treatment such as doxycycline, dapsone, methotrexate, azathioprine, mycophenolate mofetil, or immunoglobulin, depending on each patient [36]. Except for one patient, all patients were immediately withdrawn from DPP4i as patients who continue to take DPP-4i are reported to relapse more than those who immediately discontinued the drugs [36].

Conclusion

The increasing aging of the population has paralleled the rise in the prevalence of chronic conditions and polypharmacy. The escalated use of medications such as antidiabetic drugs including DDP4i could explain the increased incidence of BP. Physicians should be watchful when using DP4i and other BP-associated drugs in older adults in order to suspect BP early and withdraw the suspected drugs as drug-induced BP usually to withdrawal of the suspected drug with little or no recurrence [13]. Being up to date on drugs that trigger this condition is crucial to improve treatment and prognosis in this group of patients where polypharmacy is common.

Declarations

All participants signed informed consent forms.

Data is available upon request to the corresponding author.

The authors report no conflicts of interest in this work.

This work received no funding.

Acknowledgments

Axel Daniel Velázquez Ramos and Sonia Toussaint Caire collected data.

Authors Contribution

We certify that all listed authors have substantially contributed to the development of the concept of the manuscript, in the generation of the cases presented, and/or in the writing and editing of the manuscript.

References

  1. Solís-Arias MP, Rodríguez-Gutiérrez G, Angélica Rodríguez-Carreón A, Vega-Memije E, Domínguez-Soto L (2013) Penfigoide ampolloso: Casuística de 32 años. Gac Méd Méx 149: 344-348.
  2. Verheyden MJ, Bilgic A, Murrell DF (2020) A systematic review of drug-associated bullous pemphigoid. Acta DermVenereol 100: adv00224.
  3. Liu S de, Chen WT, Chi CC (2020) Association between medication use and bullous pemphigoid: A systematic review and meta-analysis. JAMA Dermatol 156: 891-900.
  4. Yang W, Cai X, Zhang S, Han X, Ji L (2021) Dipeptidyl peptidase-4 inhibitor treatment and the risk of bullous pemphigoid and skin-related adverse events: A systematic review and meta-analysis of randomized controlled trials. Diabetes Metab Res Rev 37: e3391.
  5. Persson MSM, Harman KE, Vinogradova Y, Langan SM, Hippisley-Cox J, et al. (2020) Incidence, prevalence and mortality of bullous pemphigoid in England 1998-2017: A population-based cohort study. Br J Dermatol 184: 68-77.
  6. Forsti AK, Jokelainen J, Timonen M, Tasanen K (2014) Increasing incidence of bullous pemphigoid in Northern Finland: A retrospective database study in Oulu University Hospital. Br J Dermatol 171: 1223-1226.
  7. Kridin K, Ludwig RJ (2018) The growing incidence of bullous pemphigoid: Overview and potential explanations. Front Med 5: 220.
  8. Genovese G, Zenzo GD, Cozzani E, Berti E, Cugno M, et al. (2019) New insights into the pathogenesis of bullous pemphigoid: 2019 Update. Front Immunol 10: 1506.
  9. Bernard P, Antonicelli F (2017) Bullous pemphigoid: A review of its diagnosis, associations and treatment. Am J Clin Dermatol 18: 513-528.
  10. Stavropoulos PG, Soura E, Antoniou C (2014) Drug-induced pemphigoid: A review of the literature. J Eur Acad Dermatol Venereol 28: 1133-1140.
  11. Bağcı IS, Horváth ON, Ruzicka T, Sárdy M (2017) Bullous pemphigoid. Autoimmun Rev 16: 445-455.
  12. Pratasava V, Sahni VN, Suresh A, Huang S, Are A, et al. (2021) Bullous Pemphigoid and other pemphigoid dermatoses. Medicina (Kaunas) 57: 1061.
  13. Miyamoto D, Santi CG, Aoki V, Maruta CW (2019) Bullous pemphigoid. An Bras Dermatol 94: 133-146.
  14. Phan K, Charlton O, Smith SD (2020) Dipeptidyl peptidase-4 inhibitors and bullous pemphigoid: A systematic review and adjusted meta-analysis. Australas J Dermatol 61: e15-e21.
  15. Silverii GA, Dicembrini I, Nreu B, Montereggi C, Mannucci E, et al. (2020) Bullous pemphigoid and dipeptidyl peptidase-4 inhibitors: A meta-analysis of randomized controlled trials. Endocrine 69: 504-507.
  16. Gallwitz B (2019) Clinical use of DPP-4 inhibitors. Front Endocrinol (Lausanne) 10: 389.
  17. Vella A (2012) Mechanism of Action of DPP-4 Inhibitors--new Insights. J Clin Endocrinol Metab 97: 2626-2628.
  18. Barnett AH, Huisman H, Jones R, von Eynatten M, Patel S, et al. (2013) Linagliptin for patients aged 70 years or older with type 2 diabetes inadequately controlled with common antidiabetes treatments: A randomised, double-blind, placebo-controlled trial. Lancet 382: 1413-1423.
  19. Deacon CF (2018) A review of dipeptidyl peptidase-4 inhibitors. Hot topics from randomized controlled trials. Diabetes Obes Metab 20: 34-46.
  20. Amori RE, Lau J, Pittas AG (2007) Efficacy and safety of incretin therapy in type 2 diabetes: Systematic review and meta-analysis. JAMA 298: 194-206.
  21. Aschner P, Kipnes MS, Lunceford JK, Sanchez M, Mickel C, et al. (2006) Effect of the dipeptidyl peptidase-4 inhibitor sitagliptin as monotherapy on glycemic control in patients with type 2 diabetes. Diabetes Care 29: 2632-2637.
  22. Beninger P, Murray M (2021) Review of FDA amendments act section 921 experience in posting data-mining results from the FAERS database. Clin Ther 43: 380-395.
  23. Chaicha-Brom T, Yasmeen T (2013) DPP-IV inhibitor-associated arthralgias. Endocr Pract 19: 377.
  24. Garg R, Chen W, Pendergrass M (2010) Acute pancreatitis in type 2 diabetes treated with exenatide or sitagliptin: A retrospective observational pharmacy claims analysis. Diabetes Care 33: 2349-2354.
  25. Biscari NC, Navarro GM, Imbernón-Moya A, Sayalero AC, Velázquez SM (2020) Bullous pemphigoid induced by linagliptin. Semergen 46: e26-e28.
  26. Dbouk S, Bazzi N, Saad WA, Toribio A, Habre M, et al. (2021) Atypical bullous pemphigoid after linagliptin intake. Am J Case Rep 22: e932356.
  27. Haber R, Fayad AM, Stephan F, Obeid G, Tomb R (2016) Bullous pemphigoid associated with linagliptin treatment. JAMA Dermatol 152: 224-226.
  28. Jedlowski PM, Jedlowski MF, Fazel MT (2021) DPP-4 inhibitors and increased reporting odds of bullous pemphigoid: A pharmacovigilance study of the FDA adverse event reporting system (FAERS) from 2006 to 2020. Am J Clin Dermatol 22: 891-900.
  29. Jha A, Misra A, Gupta R, Ghosh A, Tyagi K, et al. (2020) Dipeptidyl peptidase 4 inhibitors linked bullous pemphigoid in patients with type 2 diabetes mellitus: A series of 13 cases. Diabetes Metab Syndr 14: 213-216.
  30. Magdaleno-Tapial J, Valenzuela-Oñate C, Esteban Hurtado A, Ortiz-Salvador JM, Subiabre-Ferrer D, et al. (2019) Association between bullous pemphigoid and dipeptidyl peptidase 4 inhibitors: A retrospective cohort study. Actas Dermosifiliogr 111: 249-253.
  31. Molina-Guarneros JA, Sainz-Gil M, Sanz-Fadrique R, García P, Rodríguez-Jiménez P, et al. (2020) Bullous pemphigoid associated with the use of dipeptidil peptidase-4 inhibitors: Analysis from studies based on pharmacovigilance databases. Int J Clin Pharm 42: 713-720.
  32. Nishie W (2019) Dipeptidyl peptidase IV inhibitor-associated bullous pemphigoid: A recently recognized autoimmune blistering disease with unique clinical, immunological and genetic characteristics. Immunol Med 42: 22-28.
  33. Pasmatzi E, Monastirli A, Habeos J, Georgiou S, Tsambaos D (2011) Dipeptidyl peptidase-4 inhibitors cause bullous pemphigoid in diabetic patients: Report of two cases. Diabetes Care 34: e133.
  34. Reolid A, Muñoz-Aceituno E, Rodríguez-Jiménez P, González-Rojano E, Llamas-Velasco M, et al. (2020) Bullous pemphigoid associated with dipeptidyl peptidase-4 inhibitors. A case series and analysis of cases reported in the Spanish pharmacovigilance database. Int J Dermatol 59: 197-206.
  35. Suezawa M, Dainichi T, Kaku Y, Izumi M, Kataoka K, et al. (2021) Dipeptidyl peptidase 4 inhibitor-associated mucous membrane pemphigoid. J Dermatol 48: 1584-1587.
  36. Sun L, Wang C, Wu C, Zhou Y, Wang C (2022) Analysis of the clinical characteristics of dipeptidyl peptidase-4 inhibitor-induced bullous pemphigoid. Ann Pharmacother 56: 205-212.
  37. Tanaka H, Ishii T (2019) Analysis of patients with drug-induced pemphigoid using the Japanese adverse drug event report database. J Dermatol 46: 240-244.
  38. García-Gil MF, LezcanoBiosca V, García García M, Monte Serrano J, Aldea Manrique B (2021) Bullous pemphigoid and dipeptidyl peptidase-4 inhibitors: The importance of the pharmacotherapeutic history. Postgrad Med J 97: 51-52.
  39. Arnáiz EG, Nieva CO, Cobo DA, Ramos AM, Pomar MDB (2020) A clinical case of bullous pemphigoid induced by vildagliptin. Endocrinol Diabetes Nutr (Engl Ed) 67: 613-614.
  40. Kridin K, Bergman R (2018) Association of bullous pemphigoid with dipeptidyl-peptidase 4 inhibitors in patients with diabetes: Estimating the risk of the new agents and characterizing the patients. JAMA Dermatol 154: 1152-1158.
  41. Takama H, Yoshida M, Izumi K, Yanagishista T, Muto J, et al. (2018) Dipeptidyl peptidase-4 inhibitor-associated bullous pemphigoid: Recurrence with epitope spreading. Acta Derm Venereol 98: 983-984.
  42. Yoshiji S, Murakami T, Harashima SI, Ko R, Kashima R, et al. (2018) Bullous pemphigoid associated with dipeptidyl peptidase-4 inhibitors: A report of five cases. J Diabetes Investig 9: 445-447.
  43. Béné J, Moulis G, Bennani I, Auffret M, Coupe P, et al. (2016) Bullous pemphigoid and dipeptidyl peptidase IV inhibitors: A case-noncase study in the French Pharmacovigilance Database. Br J Dermatol 175: 296-301.
  44. Kawaguchi Y, Shimauchi R, Nishibori N, Kawashima K, Oshitani S, et al. (2019) Dipeptidyl peptidase-4 inhibitors-associated bullous pemphigoid: A retrospective study of 168 pemphigoid and 9,304 diabetes mellitus patients. J Diabetes Investig 10: 392-398.
  45. Fick DM, Semla TP, Steinman M, Beizer J, Brandt N, et al. (2019) American geriatrics society 2019 updated AGS beers criteria® for potentially inappropriate medication use in older adults. J Am Geriatr Soc 67: 674-694.
  46. Mouton JP, Mehta U, Rossiter DP, Maartens G, Cohen K (2017) Interrater agreement of two adverse drug reaction causality assessment methods: A randomised comparison of the Liverpool Adverse Drug Reaction Causality Assessment Tool and the World Health Organization-Uppsala Monitoring Centre system. PLoS One 12: e0172830.
  47. Izumi K, Nishie W, Mai Y, Wada M, Natsuga K, et al. (2016) Autoantibody profile differentiates between inflammatory and noninflammatory bullous pemphigoid. J Invest Dermatol 136: 2201-2210.

Citation

Ávila-Fernández KF, Álvarez-Cisneros T, Ruelas-Villavicencio AL (2023) Bullous Pemphigoid in Older Adults Treated with DPP4i: A Case Series. J Geriatr Med Gerontol 9:142. doi.org/10.23937/2469-5858/1510142