Citation

Bah F, Dozolme PMA, Diallo MS, Nyandwi R, Daffé ML, et al. (2022) In vitro and in vivo Evaluation of the Toxicity Roots of Leptadeniahastata (PER) Decne. Cytotoxicity on Caco2 and HepG2 Cells, Acute and Subacute Toxicity on Wistar Rats. J Toxicol Risk Assess 8:045. doi.org/10.23937/2572-4061.1510045

Research Article | OPEN ACCESS DOI: 10.23937/2572-4061.1510045

In vitro and in vivo Evaluation of the Toxicity Roots of Leptadeniahastata (PER) Decne. Cytotoxicity on Caco2 and HepG2 Cells, Acute and Subacute Toxicity on Wistar Rats

Fatoumata Bah1*, Pascale Marie Aimée Dozolme2, Mama Sy Diallo3, Ramadhan Nyandwi4, Mohamadou Lamine Daffé1, Aminata Touré1, Absa Lam1, Mathilde Cabral1, MatarSeck5, Serge Maria Moukha2, and Mamadou Fall1

1Laboratoire de Toxicologie et Hydrologie, Faculte de Medecine, de Pharmacie et Odontologie, Universite Cheikh Anta Diop de Dakar, Senegal

2Laboratoire de Toxicologie-INRA, UFR des Sciences Pharmaceutiques-Universite de Bordeaux - INRA 146, rue Leo Saignat - case 8833076 Bordeaux Cedex, Senegal

3Laboratory of Histology, Embryology and Cytogenetics, Faculty of Medicine, Pharmacy and Odonto-Stomatology, University Cheikh Anta Diop, Dakar, Senegal

4Doctoral School of the University of Burundi/Faculty of Medicine, Department of Laboratory, University of Burundi; Bujumbura, Burundi, Senegal

5Laboratoire de Chimie Organique, Faculte de Medecine, de Pharmacie et Odontologie, Universite Cheikh Anta Diop de Dakar, Senegal

Abstract

Background : Nowadays, the use of medicinal plants, for treatment of several pathologies, continues to gain grounds throughout the world. Leptadeniahastata, like other medicinal plants, isused as therapeutic agent for several pathological conditions including diabetes mellitus, diarrhoea, and prostatitis, among other, however, limited data on its toxicity are available.

This study aims to evaluate the safety of the L. hastata root extract by in vitro and in vivo tests.

Methods: Cytotoxicity and possible apoptosis on Caco2 and HepG2 cells were assessed by MTT, Neutral Red, LDH activity and DNA fragmentation assays. The in vivo study was carried out in albino Wistar rats by administering the methanolic extract of L. hastata by gavages, followed by determination of the Lethal Dose 50 (LD50), and the No Observable Adverse Effect Level (NOAEL) to get an idea of its acute and subacutetoxicity.

Results: The current study showed a low cytotoxicity effect with an IC50 greater than 200 μg/mL regardless of cell type and without apoptosis. The acute toxicity of L.hastata's roots is practically low since the LD50 is greater than 2000 mg/kg. However, the results showed a sub-acute toxicity that manifested itself in deaths and disorders of the digestive system, particularly of the stomach. Although mortality of animals were recorded from the first week as well as inflammation and mutilation of the limbs. Biological and histological changes in the liver and kidneys were also observed. The histological changes detected in the liver were mainly necrotic areas, but also hepatic degeneration, microangiopathy lesions and neutrophil infiltrate. In the kidney, minimal tubular vacuolation and glomerular retraction were observed. The stomach showed only epithelial scaling. The NOAEL was estimated to be 100 mg/kg for our study.

Conclusion: Even though medicinal plants are generally considered to be safe; however, mispractice in its use could be harmful to health; as effects observed could be attributed to the action of L. hastata roots' extracts.

Keywords

Leptadenia Hastata, Roots, Cytotoxicity, Apoptosis, Acute and subacutetoxicity

Abbreviations

ALT: Alanine Aminotransferase; AST: Aspartate Aminotransferase; ATCC: American Type Culture Collection ; DMEM : Dulbecco's Modified Eagle's Medium ; DMSO: Dimethyl Sulfoxide; EDTA: Ethylene Diamine Tetra Acétique; GHS: General Harmonised System; IC: Inhibitory Concentration; IP: Intra Peritoneal; LD: Lethal Dose; LDH: Lactate Dehydrogenase; MEM: Minimum Essential Medium; MTT: 3-(4, 5-dimethylthiazol-2-yl)-2, 5-diphenyl tetrazolium bromide; NR : Neutral Red; NEAA: Non-Essential Amino Acid; NOAEL: No Observable Adverse Effect Level; OD: Optical Density; OECD: Economic Co-operation and Development; WHO : World Health Organization

Introduction

Adoption of the Declaration of Alma-Ata at the World Health Organisation (WHO) International Conference on Primary Health Care in September 1978 [1] gave special meaning to traditional medicine. In order to achieve the goal of “health for all” by the year 2000, the use of medicinal plants was considered important in the health care of the population. L.hastata is a plant species used in traditional medicine as a remedy for the treatment of diabetes mellitus, diarrhoea, prostatitis, rheumatism, ophthalmia and painful haemorrhoids in many parts of Africa, particularly in Senegal [2,3]. It is also used as a remedy for sexual impotence and sexually transmitted diseases such as syphilis [2]. It is an herbaceous plant, belonging to the family Apocynaceae, which grows wild mainly in tropical and subtropical areas [4,5]. L. hastata has important therapeutic properties such as antibacterial, antifungal and anti-inflammatory activities, but also nutritional values [6-8]. To this day, its leaves, young plants and flowers are consumed as a cooked vegetable or in soup. It is reported in Senegal, [9] that L. hastata is the fourth most consumed plant species after Hibiscus sabdariffa, Moringa oleifera and Senna obtusifolia respectively. In traditional medicine, the leaves are used as a poultice to treat abscesses [7]. The extract of the boiled leaves is regularly consumed against digestive issue and haemorrhoids. Therapeutically, L. hastata is widely used alone or in combination with other medicinal plants. It is associated with Solarium incanum and Abutilon pannosum for green diarrhoea in infants, with Cochlospermum tinctorium for the internal treatment of all passive venous congestions, varicose veins, bleeding and painful haemorrhoids, with Securidaca longepedunculata, Acacia albida, Terminalia avicennioides, Maytenus senegalensis and others for the treatment of syphilis [2]. The leaves alone, and the roots, are used for their antispasmodic, anti-inflammatory, antihistaminic, antibacterial, diuretic, expectorant properties but also as a remedy for gout and rheumatism [3]. Furthermore, it has been reported that the methanolic crude extract of L. hastata's roots had an anti-sickle cell effect invitro [10]. However, beyond the huge therapeutic use of L. hastata; little information on its toxicityis available. Some evident studies conducted, focused on L. hastata's leaves by considering the different uses of this part of the plant as food, in the traditional remedy for humans and animals [11]. Concerning the roots which are subjected in our study, we did not find any toxicity study reported in the literature. Thus, in the present study, we set out to provide data on the toxicity of L. hastata's roots by evaluating its acute and sub acute toxicity in Wistar rats and then its cytotoxicity and apoptotic activities of crude methanolic extract on Caco2 and HepG2 cells by MTT and Neutral red tests, LDH activity and DNA-fragmentation.

Materials and Methods

Chemicals and reagents

Methanol, MTT reagent (3-(4, 5-dimethylthiazol-2-yl)-2, 5-diphenyl tetrazolium bromide); Neutral Red (NR), sterile cell culture media: Dulbecco's Modified Eagle's Medium (DMEM) and Minimum Essential Medium (MEM); Dimethyl sulfoxid (DMSO), Fetal Bovine Serum (FBS) andothers chemicals used in this study were of analytical grade and were purchased from Sigma Chemical Co. Ltd (USA).

Test kits: Blood glucose, aspartate aminotransferase (AST), alanine aminotransferase (ALT), and creatinine were purchased from Biosystem S.A (Spain).The Lactate dehydrogenase (LDH) Cytotoxicity Assay Kit was obtained from Promega (USA).

Ketamin 10% and Xylazin 2% fromAlfasanlaboratory (Holand).

Cells lines and culture conditions

Cells were obtained from the American Type Culture Collection (ATCC). Caco2 was cultured in DMEM and HepG2 in MEM. Culture media were supplemented of 10% fetal bovine serum (Sigma, France), 2% L-glutamine (8 mM) (Sigma, France), 1% penicillin streptomycin stock solution (10,000 units of penicillin and 10mg of streptomycin in 0.9% NaCl) (Sigma, France) and 1% Neomycin (250 μg/ml) (Sigma, France), 1% Non-Essential Amino Acid (NEAA) for MEM. All cell lines were cultured at 37 °C in a humidified incubator with 5% CO2 atmosphere. The experiments were carried out during the exponential phase of cell growth.

Animals

Adult Wistar rats of both sexes (male and female) aged from 8 to 12 weeks were used. The animals are reared at the pet store of the Toxicology laboratory of the Faculty of Medicine and Pharmacy, University Cheikh Anta Diop, Dakar, Sénégal. For the acute toxicity study, 6 adult rats were used. For the sub acute test, thirty (30) males and females rats were randomly assigned to 10groups (5 groups/males and 5 groups/females) of 3rats/sex/group and kept in plastics cages with wood shavings as bedding, fed with normal commercial pellet diet, given clean water adlibitum and maintained under laboratory conditions.

Preparation of extract plant

Roots of L. hastata were washed and shade-dried for five (5) days and powdered using a plant grinder. Double extraction by maceration technique was used. For the currently study, 200g of the grindered root power was dissolved in 1.5 liters of methanol in a 3 liters stoppered container, for a period of 72 hours with gentle agitation at room temperature. The resulting mixtures were filtered using cotton wool then grade I Whatmann filter paper. The extraction and filtration procedure were repeated further in 750 ml of methanol. The methanol filtrate was concentrated to dryness in-vacuo using an evaporator (LB-RE2000-3000 Rotary Evaporator) and the resulting powder was kept in an air-tight container and refrigerated before any further test.

Toxicity study

In-vitro assays procedure

The cytotoxicity was determined by measurement of cell viability employing an MTT, NR assay and LDH activity determination. Apoptotic activity was evaluated by the DNA-fragmentation study on agarose gel.

Preparation of extract stock solution

Stock solution of 1 mg/ mL was prepared by dissolving extract in 5% of methanol in free medium which served as the vehicle. From this stock solution, series of dilutions, ranged from 25 to 1000 μg/mL, were prepared in free media for the different tests.

Evaluation of cell viability

MTT assay: MTT test was performed using MTT assay as described previously by Mosmann [12]; about 1.106.mL-1 cells (Caco2 and HepG2) in their exponential growth phase were seeded in a flat-bottomed 96-well plate at a concentration of 2-3.104 cells/well in 100 μL culture medium and were incubated for 24 h at 37 °C in 5% CO2 humidified incubator. After incubation, the medium was replaced by extract at desired concentrations for 48h. The supernatant was removed, the cells were washed once using PBS, and a MTT solution of 100 μL at a final concentration1mg/mL was added to each well. The plates were incubated for 45 min in order to form for mazan crystals which are then re-dissolved in 200 μL of DMSO. After 5-10 min of incubation at 37 °C, cell viability was detected by measuring the Optical Density (OD) at the absorbance of 545 nm using LT-4000 Labtech Microplate Reader.

Neutral red assay: Neutral Red test was performed using assay as described previously by Borenfreund and Puerner [13]. Caco2 and HepG2 cells were seeded in a 96 well plate, at a rate of 1.5-2.104 cells per well. The cells were then incubated for 24 hours at 37 °C in 5% CO2 humidified incubator. The exhausted media was removed and cells were washed with PBS then exposed at different concentrations of extract. The plates were then incubated for 48 h at 37 °C in a humidified incubator with a 5% CO2. After the incubation process, the supernatant was removed, the cells were washed with PBS then 100 μL of 1% neutral red at 3.3 g/Lin free medium were added to each well and the plates were further incubated for 4 hours. Liquid solution was removed from the wells by flipping the plates, and 150 μL of elution medium (EtOH 50% diluted in water/Ac-COOH; 99/1) into each well followed by gentle shaking for 10 min to obtain complete dissolution. Absorbance was read at 545 nm using a LT-4000 Labtech Microplate reader.

LDH activity assay: LDH activity assay was performed following the manufacturer (PROMEGA- kit) specified method. Released LDH in culture supernatants is measured with a 30-min coupled enzymatic assay, which results in conversion of a tetrazolium salt into a red for mazan product. The amount of colored product formed is proportional to the number of lysed cells in culture supernatants. This assay measures the activity released by cytoplasmic LDH from damaged cells. The cells were prepared, as described by the manufacturer, and then incubated in various concentrations of extract for 48 hours. After time of exposure, the plates were centrifuged for 5 min at room temperature using a Thermo Scientific Sorvall ST-16R centrifuge. The supernatant was collected then incubated with reaction mixture to measure the released LDH. Test was performed according to the recommendations of the manufacturer and quantification was performed using a LT-4000 Labtech Microplate reader at 450 nm.

Assessment of DNA damage (DNA fragmentation) in agarosegel: 3-5x105 cells per well were incubated in 6 flat-well plates. After 24 hours of incubation, the culture medium was removed from each well and plant extracts at concentrations of 100; 500; and 1000 μg/mL were added in duplicated wells. Control has been carried out with culture medium containing 5% methanol. After 24h of incubation, the liquid was removed, and cells were washed with 5 mL PBS. After addition of3 mL SDS lysis buffer (in 100 mM Tris-HCl pH 8.0; 50 mM EDTA; 1% SDS) (plate placed on ice), 3 μl RNase (> 6 μg/mL final concentration) was added and mixed by pipetting up and down. This was incubated for 10 min at room temperature, then 30 μL of proteinase K (10 mg/ml) was added and the supernatant was collected in a 1.5 mL Eppendorf tube, incubated for 1 h at 37 °C, and carefully shaken every 10 min. After centrifugation at 3000 rpm at 20 °C, the DNA was extracted with phenol/chloroform/isoamyl alcohol (25/24/1). DNA was then centrifuged at 6000 rpm at 20 °C, before being precipitated in two equivalent volumes of isopropyl alcohol. After 1h at -20 °C, DNA was pelleted (> 6000 g, 45 minutes, 4 °C), then washed with ethanol 70 °C dried and resuspended in 50-200 μL of deionized water depending on DNA concentration. Purity of DNA was measured by absorbance reader at 260 nm and 280 nm (1U of OD260 = 50 μg/mL of double-stranded DNA). DNA fragments were electrophoretically separated on a 2% (w/v) agarose gel containing 1μg/mL ethidium bromide and visualize by ultraviolet transillumination.

Statistical analysis

All experiments were performed in triplicate (except as mentioned in the text specifically) and data was statistically analyzed using Graph Pad prism 6 software. The Mean Standard Errors (SEM) and Standard Deviation (SD) of the samples were calculated. Analysis of Variance (one-way ANOVA) followed by multiple comparison assays (two-sided Dunnett test) was performed to determine significant differences between exposed or non-exposed cells (using a p ≤ 0.05). The inhibitory concentration in 50% of animals (IC50) values were then calculated for each experiment. Each result represents the mean viability ± Standard Deviation (SD). Cell viability was calculated as a percentage of the untreated viable cells.

In vivo assays procedure

Preparation of extract stock solution

A stock solution of 100 mg/mL was prepared by dissolving the methanolic dry extract in 10% methanol distilled water. Distilled water with 10% methanol was used as the vehicle. From this stock solution; different doses of 5000 and 2000 mg/kg were prepared, respectively, for the first and second phase of the acute toxicity study. For the sub-acute toxicity study, the doses were 50, 100, 500 and 1000 mg/mL.

Acute oral toxicity study

The acute toxicity study was conducted in accordance with the Organisation for Economic Co-operation and Development (OECD) Test Guideline No. 423 for chemicals testing [14]. The extract was administered by gavage after a 12-hour fast. In the first phase, three female rats received 5000 mg/kg of L.hastata's extract. These rats were monitored at least twice a day, at the beginning and end of each day for 14 days to detect possible deaths and signs of toxicity. In the second phase, three additional female rats were used and each rat received an extract dose of 2000 mg/kg. These rats were also monitored, as previously, for 14 days.

Sub acute oral toxicity study

Experimental Design

Thirty (30) adults' male and female Wistar rats were randomly divided into ten (10) lots in 5 groups with one lot of males and females in each group. Each batch consisted of 3 rats of the same sex. The distribution was performed as follows:

Group 1 (G1): Administration of 4ml/kg/day of 10 % methanol-distilled water.

Group 2 (G2): Administration of L. hastata's dose of 50 mg/kg/day of 10% methanol-distilled water.

Group 3 (G3): Administration of L. hastata's dose of 100 mg/kg/day of 10% methanol-distilled water.

Group 4 (G4): Administration of L. hastata's dose of 500 mg/kg/day in 10% methanol-distilled water.

Group 5 (G5): Administration of L. hastata's dose of 1000 mg/kg/day in 10% methanol-distilled water.

The treatment was carried out for 28 days. All rats in the control group (G1) and rats tested with the L. hastata's extract (G2, G3, G4 and G5), received their corresponding oral dose every day between 8:30 and 9:30 am. They were then monitored throughout the administration period to closely observe signs of toxicity and mortality. Prior the first administration, they were fasted the day before. On the first day of the experiment, all animals were weighed and then weighed weekly with a 24-hour urine collection. On the evening of the last day of treatment, all rats were fasted overnight. The next day, they were anaesthetized with a mixture of 10% ketamine and 2% xylazine, blood samples were collected by cardiac puncture in three different tubes, two with anticoagulant (EDTA and sodium fluoride) for hematological analysis and blood glucose determination and one without anticoagulant for the other biochemical tests. The animals were then euthanized and organs such as liver, kidney and stomach were removed, weighed and fixed in 10% buffered formalin for histopathological examination. The same procedure was performed on rats that died during the experiment. Hematological, cell blood count (CBC), and biochemical tests were performed by the Sysmex XS-500i Coulter and Biosystem BTS-350. Aspartate aminotransferase (AST) and alanine aminotransferase (ALT) activities were determined according to the method description by the manufacturer of the Biosystem kits as well as creatinine and blood glucose levels.

Statistical analysis:

All statistical analyzes were performed by GraphPad Prism software 6.00 (Software Inc., USA). The results were expressed as mean ± standard error of mean (n = 3). Analysis of variance (one-way ANOVA) followed multiple comparison tests (two-sided Dunnett test) was performed to determine significant difference between the means and the P ≤ 0.05 versus the respective control was applied to establish the significant difference. The values were considered to be significantly different with P < 0.05.

Results

Cytotoxicity

Cell viability

The results of cell viability (48h) are shown in Figure 1a and Figure 1b, Figure 2a and Figure 2b and Figure 3a and Figure 3b respectively. In these figures; MTT assay, Neutral Red assay, and LDH activity, results are shown on Caco2 (a) and HepG2 (b) cell lines. These results show IC50 in the range of 225 to 655 μg/mL. HepG2 cells appeared to be more sensitive than Caco2 and the LDH assay gave the lowest IC50 with HepG2 cells. This suggests that the extract would result in a moderate to small decrease in cell viability and that the LDH assay appears to be more sensitive.

Figure 1: Effect of methanolic extract of L.Hastata's roots on viability of Caco2 (a) and HepG-2 (b) cells using MTT assay. Data are mean ± SEM of three values. **** p < 0.001; *** p < 0.001; ** p < 0.01; * p < 0.05; versus controls. View Figure 1

Figure 2: Effect of methanolic extract of L.Hastata's roots on viability of Caco-2 (a) and HepG2 (b) cells using Neutral Red assay. Data are mean ± SEM of three values. **** p < 0.001; *** p < 0.001; ** p < 0.01; * p < 0.05; versus controls. View Figure 2

Figure 3: Effect of methanolic extract of L. Hastata's roots on cell death of Caco-2 (a) and HepG2 (b) cells using LDH assay. Data are mean ± SEM of three values. **** p < 0.001; *** p < 0.001; ** p < 0.01; * p < 0.05; versus controls. View Figure 3

DNA damage

DNA fragmentation by agarose gel electrophoresis after DNA extraction, performed on Caco2 and HepG2 cells is shown, respectively, in picture (a) and (b) of Figure 4. Exposure of the cells to the methanolic extract of L.hastata's roots for 24 h did not reveal any DNA fragments in the cells up to the concentration of 1000 μg/mL like the control cells that were not in contact with the product. These results did not show any DNA damage in cells exposed to the extract; therefore, apoptosis would not be involved in the cytotoxicity induced by the extract.

Figure 4: Effect of methanolic extract of L. Hastata's roots on DNA fragmentation in Caco-2 cells (a) and HepG2 cells (b); from lane left to right, 200 bp DNA ladder, control, extract concentration: 100 μg.mL-1, 500 μg.mL-1, 1000 μg.mL-1. View Figure 4

In vivo assessment

Acute oral toxicity

Acute toxicity assessment by determination of the oral LD50 in female Wistar rats was carried out at 5000 and 2000 mg/kg, and the results show that up to 2000 mg/kg there was no mortality, and no apparent signs of toxicity apart from a non-significant decrease in body weight. At 5000 mg/kg there was one death in all three rats, the result was identical after repeating the test at the same dose. A loss of mobility of the lower limbs of the dead rat was observed as well as a loss of body weight in all rats. The rat faces were also black. The autopsy of the deceased rat showed an enlarged stomach, more or less dilated, with the presence of food indicating poor digestion. According to the OECD [14], the oral LD50 of methanolic extract of L. hastata's roots in Wistar rats is greater than 2000 mg/kg. In the General harmonized system (GHS), the product is considered to have low toxicity.

Sub acute oral toxicity

General behavior and mortality

In rats fed with methanolic roots extract for 4 weeks, decreased body weight were reported in both males and females rats tested with doses equal or greaterthan500 mg/kg body weight daily. Deaths were recorded in the first week for dose of 1000 mg/kg and second week for 500mg/kg. Signs of toxicity in rats were identified related to the increase in dosage levels. Some rats also showed inflammation and mutilation in limbs at 1000 mg/kg. Before the end of the test, rats given dosages of 1000 mg/kg/day, were all deads. Table 1, Table 2 and Figure 5 illustrate these results.

Figure 5: Photograph (a,b and c) of rats with mutilations and inflammation of the limbs. View Figure 5

Table 1: Outcome of mortality in subacute oral toxicity test. View Table 1

Table 2: Clinicals signs in subacute oral toxicity test. View Table 2

Body weight

Figure 6 and figure 7 show the effect of the administration of methanol roots extract of L. hastate on the body weight of Wistar rats males and females, respectely. A significant difference (p < 0.05) was observed at the final body weights of rats treated with extract compared to control group. There was a significant decrease in the final body weight of rats administered 500 and 1000 mg/kg.

Figure 6: Effect of methanol roots extract of L. Hastata on body weight ofmales'rats. (Values are presented as means ± standard deviation of mean (n = 3)). View Figure 6

Figure 7: Effect of methanol roots extract of L. Hastata on body weight on females rats. (Values are presented as means ± standard deviation of mean (n = 3). View Figure 7

Biochemical analysis

Table 3 shows the results of biochemical parameters at the end of treatment periods. Compared to the control group, the levels of all parameters studied, significantly increased in the treatment groups at dose of 500 mg/kg in female and male rats, except blood sugarwich decreased.

Table 3: Biochemical parameters of rats after 28 days of treatment with methanol extract of L.Hastata's roots. View Table 3

Hematological analysis

The effect of L.Hastata methanolic extract on hematological parameters for 28 days (treatment period) is shown in Table 4. Compared to the control group, HGB and HCT significantly decreased in females rats at dose of 500 mg/mL while in males rats only HCT value significantly decreased. All other measured hematological parameters were not significantly different from the control group. Decrease in these parameters suggest anemia.

Table 4: Hematological parameters of rats after 28 days of treatment with methanol roots extract of L. Hastata. View Table 4

Histology

Macroscopic examination of the liver and kidneys did not show any abnormalities to be likely associated with toxic injury. In contrast, necropsy consistently revealed an enlarged stomach filled with food in all dead rats as shown in Figure 8 and in some of the surviving high-dose rats. No other macroscopic abnormalities of other organs were observed in either the rats that died before the end of the test or in those that survived to day 28.The effects of L. Hastate methanolic extracton the histopathology of the liver and kidney tissues at the end of treatment are shown in Figure 9 and Figure 10. On histopathological examination, the following changes were observed:

Figure 8: Photograph of rats with normal stomachin control group (a) and abnormal stomach for 500 mg/kg (b), 1000 mg/kg (c). View Figure 8

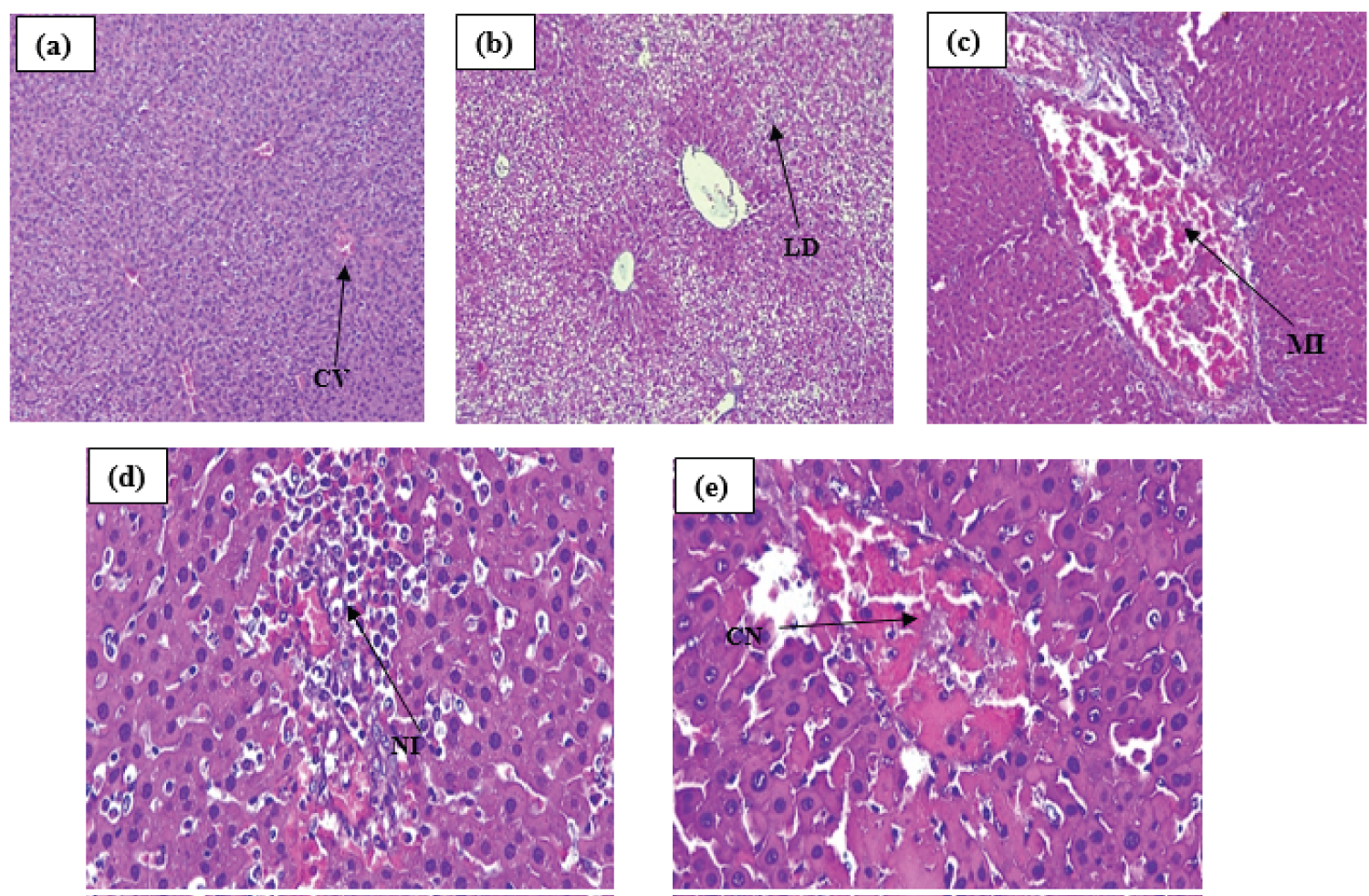
Figure 9: Micrograph of rats' liverexposed to the subacute toxicity study at 1000 mg/kg. a) Contrôle; b) Liver Degeneration (LD); c) Microangiopatic Injury (MI); d) Neutrophile infiltrate (NI); e) Centrolobular Necrosis (CN). View Figure 9

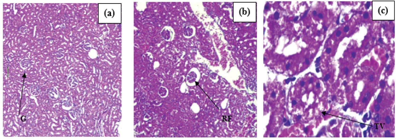
Figure 10: Micrograph of Kidney of rats exposed to the subacute toxicity study at 1000mg/kg. a) Contrôle; b) Floccolus Retraction (FR); c) Tubular Vacuolisation (TV)). View Figure 10

Stomach: only desquamation of epithelial cells was observed as histopathological changes in animals given methanolic ectract at dose of 500 and 1000 mg/kg body weight dailly.

Liver: the livers of rats treated with methanolic extrac at high dose of 1000 mg/kg body weight daily showed signs of toxicity. Necrotic areas were observed as well as liver degeneration, microangiopathy lesions and neutrophil infiltrate.

Kidey: lesions were minimal tubular vacuolation and glomerular retraction at 1000 mg/kg.

These results were valid for both males and females.

Discussion

In vitro assessment

The determination of toxicity in vitro is of great interest, especially if it is related to the general toxicological process in vivo (exposure of the organism, cellular and molecular interactions) that is manifested in the response of the whole organism. In the present work, the in vitro study was carried out on three cell lines, the choice of which was guided by the fact that they are cells particularly used in pharmacotoxicology to evaluate the transformation of xenobiotics, as is the case with HepG2 cells, or membrane permeability in the case of Caco2. General cytotoxicity was determined using three types of tests that provide information on different mechanisms of cytotoxicity. The MTT test provides information on the cytotoxicity of agents specifically targeting mitochondria. The Neutral Red test provides information on the mechanism of lysosomal action and the LDH test provides information on the membrane integrity of cells. All these tests are automated, easy to perform and allow a concentration-response study with statistical data [15,16]. Basal relative toxicity was assessed by determining the inhibitory concentration 50 (IC50).

The IC50 values found for the methanolic extract of L. Hastata's roots are in the range between300 to 655 μg/mL with the MTT, Neutral Red and LDH assays on Caco2 and HepG2 cells. The lowest concentrations were observed with the MTT and LDH tests. The IC50 values were almost identical for both cell types. These results suggest that cytotoxicity is not dependent on cell type and that the MTT and LDH assays were more sensitive, which may provide information on the mechanism of cytotoxic action, which may be mitochondrial or membrane lysis. The IC50 values obtained are comparable to those of Umaru, et al. [17], who had studied the cytotoxicity on shrimp larvae of the extracts from the roots, trunk and leaves of the plant and found an LC50 at 952.955 μg/mL for the methanolic extract of the roots. These results suggest that the methanolic extract of L. Hastata roots would show little to no cytotoxicity based on the findings of work carried out by Mousseux [18] on shrimp larvae; it has been shown that at a concentration higher than 100 μg/mL, extracts of marine organisms were practically devoid of toxicity on Armenia salina larvae.

The mechanism of cell death by apoptosis was also evaluated. It was found that the methanolic extract of L. hastata's roots does not induce any type of DNA fragmentation; therefore, apoptosis would probably not be involved in the cell death mechanism due to the product involved in this study.

In vivo assessment

Acute toxicity

In vivo investigations, for acute toxicity we noted one death at the 5000 mg/kg dose limit, the test was repeated and gave the same result, with at autopsy, an abnormally large stomach that appeared to be dilated and filled with food, suggesting maldigestion or constipation. Evaluation at 2000 mg/kg did not result in death or major toxic signs. Based on these results, the LD50 of the methanolic extract of L. hastata's roots is estimated to be greater than 2000 mg/kg. At this dose, no outward signs of toxicity were detected and there were no deaths, although a slight and insignificant loss of body mass was noted in the first week which persisted into the second week. This LD50 value found, is considered high, indicating low toxicity of the extract according to GHS and OECD classification [19,20]. The aqueous extract of L. hastata's roots is reported to have an LD50 of 1440 mg/kg in adult albino rats according to a study by Sada, et al. [21]. Compared to the current study, this dose is low and henceimplya higher toxicity; this finding can be explained by the difference in extraction solvent. Studies concerning other parts of the plant found in the literature, mainly leaves and stems, showed similarity of results with the current study. Concerning the leaves, our results correspond to those of Maurice, et al. [22] whose study focused on the aqueous extract administered intraperitoneally (IP) to Wistar rats with an LD50 of 2320 mg/kg. Those of Tamoura, et al. [11] report an LD50 between 1000-2000 mg/kg in mice by IP of the aqueous extracts of leaves and stems of L. hastata. This result was confirmed by the study of Maina, et al. [23] on the aqueous extract of leaves by IP with an LD50 of 2160 mg/kg. On the other hand; Attah et al. [24], report an LD50 of 5000 mg/kg of the hexane extract of the leaves by oral route. In sum, roots, stem and leaves of L. Hastata seem to have low acute toxicity; however, the extent of toxicity would depend on the route of administration and the solvent used for extraction. This suggests that the toxicity of the plant would be linked to the polarity of the extraction solvent, that the metabolites involved would be water-soluble and that the aqueous extract seems to be more toxic than the methanolic extract.

Sub acute toxicity

Administration of the methanolic extract of the roots of L. hastate for the sub acute toxicity study resulted in the death of all rats in the 1000 mg/kg dose group and some of the 500 mg/kg group before the end of the test. At necropsy, the stomachs of all dead rats had an abnormal appearance. This suggests that the methanolic extract of L. hastate would have a harmful effect of a digestive nature on the rats in the short to medium term, which was confirmed by the various biological parameters evaluated and the histopathological examination that we will discuss in the following paragraphs.

Evolution of the body weight

Methanolic extract of L. hastata's roots caused a highly significant dose-dependent decrease in body weight at 500 mg/kg and beyond compared to control group. Rats given 1000 mg/kg compared to control group lost more mass than those given 500 mg/kg. This suggests that the decrease in body weight is related to the intake of the substance and this is probably due to the loss of appetite observed in the animals and the indigestion observed at necropsy. Among the secondary metabolites found in the root extract, the presence of tannins is reported to be the major components [3,25]. It has been shown, that the presence of tannins in large quantities in the feed ration would affect the digestion of monogastric animals by disruption of certain physiological and metabolic processes. These metabolites bind to the membrane proteins of enterocytes, thus reducing the absorption of many molecules such as calcium. The consequence of this malabsorption would be a lack of weight gain [26]. Thus, the observed loss of body weight would probably be caused by the presence of tannins.

Functional and anatomopathological disorders: Liver, kidneys and stomach

Biochemical examinations showed liver and kidney damage at 500 mg/kg with elevated transaminase activity, decreased blood glucose, and elevated creatinine levels. For doses between 50 and 100 mg/kg, no significant difference was observed compared to the control groups. At these doses, the extract did not have any remaquable adverse effect on these organs. The functional impairment at 500 mg/kg was confirmed by the histopathological study which also showed impairment at 1000 mg/kg. At autopsy, macroscopic examination of the liver and kidneys did not show any abnormalities in texture, color or size of the organs compared to controls.

On the other hand, at the microscopic level, we observed liver degeneration in rats given 500 and 1000 mg/kg. For the 1000 mg/kg dose, in addition to the degeneration, a necrotic focus, inflammation, thrombotic micro angiopathic lesions and micro thrombus occlusion were observed. The lesions noted are dose-dependent with no damage at the 50 and 100 mg/kg doses. At the renal level, the lesions observed were a retraction of the flocculus in the glomerular chamber and a discrete vacuolization of the tubular epithelium which could be at the origin the elevation of the creatinine level. These observations have been also found previously by Diallo, et al. [26,27].

The cellular damage found at the hepatic and renal level in the sub-acute toxicity test is slight, the more or less serious lesions that would be caused by the extract only appear at a dose of 1000 mg/kg. This low toxicity of the extract at the cellular level is in line with what was found in vitro. At necropsy we also noted an abnormal appearance of the stomach which was dose-dependent compared to control groups. The rats given the 50 and 100 mg/kg had a normal stomach appearance. All rats treated with 1000 mg/kg died before the end of the test and all had enlarged stomachs with food presence inside. In animals treated with 500 mg/kg, which died before the end of the test, the same appearance was found at necropsy. In the animals that survived this dose (500 mg/kg), some had enlarged stomach which might suggest that these animals might not survive beyond 28 days of treatment. The stomachs of all these rats were full of food despite the 12-hour fasting period for those that were to be sacrificed, suggesting constipation or indigestion.

As mentioned above, tannins seem likely to be responsible for these impairments. The presence of tannins in roots of L. hastate has been reported by Sanda, et al. [3] and Sall, et al. [25] it has been proven that they could, in addition to the digestive disturbances causing constipation, have a hepatic and renal toxicity at certain doses [28,29]. It is reported that, in the digestive tract of some animals, these polyphenolic compounds could reduce the activation process of enzymes and inhibit the activity of the main enzymes, especially digestive proteases by creating complexes with the same enzymes. They can also bind to the mucoproteins of the epithelial cells that line the digestive tract, which would alter the integrity of the intestinal wall, resulting in increased gastric secretions, the onset of gastritis, a slowing of transit and constipation [30,31]. These metabolites have also been shown to have an effect on carbohydrates. They would be at the origin of the formation of cellulose-tannin or starch-tannin complexes resistant to degradation [32]. This phenomenon would probably explain the blood glucose values found. These values were very low compared to controls in both males and females.

Cell bloodcount (CBC) showed that the methanolic extract of the roots of L. hastata, would cause a microcytic anemia because a significant fall of the quantity of haemoglobin (Hb) and mean blood volume (MCV) noted in the treated rats compared to the control groups. In the previous paragraphs, we explained that the presence of a certain percentage of tannins in the diet of certain animals, particularly monogastric animals, but also ruminants, caused a problem of food digestibility [26,30,32,3]. This digestive problem would be the cause of the anemia observed in rats. The most common etiology of microcytic anemia is iron deficiency and one of the causes of iron deficiency apart from blood loss, is iron malabsorption which can be seen as a result of poor digestion [34,35]. Thus, it is very likely that this anemia is related to the malabsorption noted by the appearance of the stomach at necropsy. The methanolic extract of L. hastat's roots administered orally at doses greater than or equal to 500 mg/kg, for 28 days, would be toxic for rats with digestive damage resulting for constipation, and probably liver and kidney damage that can cause the death of the animal.

Conclusion

Medicinal plants are generally considered to be harmless. However, inappropriate use could be harmful to health. The results of this study contribute to a better understanding of the adverse effects occurring after a single or multiple exposures to L.hastata's root extract. Its acute toxicity is relatively low to nil. However, in the medium to long term, with multiple high doses, the roots' extract could probably be toxic. Were commend further investigations to find out other toxicity types and extents in case of long-term utilization with multiples explosures with L. hastate containg products.

References

  1. OMS (2007) Rapport de l’atelier interrégional de l’OMS sur l’utilisation de la médecine traditionnelle dans les soins de sante primaires, Oulan-Bantor, Mongolie, 23-26 août 2007. Genève: Organisation mondiale de la Santé.
  2. Kerharo J, Adam JG (1964a) Plantes médicinales et toxiques des Peul et des Toucouleur du Sénégal. Journal d’agriculture traditionnelle et de botanique appliquée 11: 384‑444.
  3. Sanda KA, Sandabe UK, Auwal MS, F A Sanda, A Mairiga, et al. (2013) hypoglycemic and antidiabetic profile of the aqueous root extracts of leptadeniahastatain albino rats. Pak J Biol Sci 16: 190‑194.
  4. Kerharo J, Bouquet A, Debray M (1975) Medecines et pharmacopees traditionnelles du senegal, du congo et de Madagascar. Etude Médicales, 92p.
  5. Bayala B, Halabalaki M, Ouédraogo A, Keiler Martina Annekathrin, Tamboura Hamidou Hamadou, et al. (2018) Leptadeniahastata (Decne) a promising source for natural compounds in biomedical applications. American J Drug Disc Develop 8: 1-10.
  6. Aliero AA, Wara SH (2009) Validating the medicinal potential of leptadeniahastata. Afr J Pharm Pharmacol 3: 335‑338.
  7. Abubakar S, Usman AB, Ismaila IZ, G Aruwa, SG Azizat, et al. (2014) Nutritional and pharmacological potentials of leptadenia hastata (pers.) Decne. Ethanolic leaves extract. J Food Nutrit Res 2: 51‑55.
  8. Umaru JI, Badruddin B, Assim ZB, et al. (2017) Antifungal Activity of Leptadenia hastata(Pers) Decne Leaves Extract. International Journal of Pure & Applied Bioscience 5: 14‑18.
  9. Guéye M, Diouf M (2007) Traditional leafy vegetables in senegal: diversity and medicinal uses. Afr J Tradit Complement Altern Med 4: 469‑475.
  10. Seck M, Sall C, Guéye PM, I Seck, MD Dioum, et al. (2015) Etude de l’activité antifalcémiante d’extraits de racines de Leptadeniahastata (Asclepiadacae). Int J Biol Chem Sci 9: 1375-1383.
  11. Tamboura HH, Bayala B, Lompo M, L Sawadogo, IP Guissou (2005). Ecological distribution, morphological characteristics and acute toxicity of aqueous extracts of Holarrhena floribunda (g. don) Durand &Schinz, Leptadeniahastata (pers.) decne and Cassia sieberiana(d c) used by veterinary healers in Burkina Faso. African Journal of Traditional, Complementary and Alternative Medicines 2.
  12. Mosmann T (1983) Rapid colorimetric assay for cellular growth and survival: Application to proliferation and cytotoxicity assays. J Immunol Method 65: 55-63.
  13. Borenfreund E, Puerner JA (1985) A simple quantitative procedure using monolayer cultures for cytotoxicity assays (HTD/NR-90). J Tissue Culture Method 9: 7-9.
  14. OCDE (2001) Test no. 423: Acute Oral toxicity - Acute toxic class method.
  15. Stellman JM (2000) Encyclopédie de sécurité et de santé au travail. Vol 1 Généve: International Labour Organization.
  16. Barlovatz-Meimon G, Ronot X (2014) Culture de cellules animales. Lavoisier-Tec Doc, Paris, p: 702.
  17. I Umaru, Fasihuddin A Badruddin, Z Assim, H Umaru (2018) Antibacterial and cytotoxic actions of chloroform crude extract of leptadeniahastata (Pers) decnee. Clin Med Biochem
  18. Mousseux M (1995) Test de toxicité sur larves d’Artemia salina: Entretien d’un élevage de balanes. Mémoire, Nouvelle Calédonie : Université Pacique Française, 21.
  19. OCDE (2001) Ligne directrice de l’OCDE n°420 pour les essais de produits chimiques. Toxicité aiguë Méthode de la dose prédéterminée 15.
  20. Nations Unies (2013) Système général harmonisé de classification et d’étiquetage des produits chimiques (SGH). New York et Genève: Nations Unies, 579.
  21. Sanda KA, Sandabe UK, Auwal MS, I Bulama, T M Bashir, et al. (2013) Hypoglycemic and antidiabetic profile of the aqueous root extracts of leptadeniahastatain albino rats. Pak J Biol Sci16: 190‑194.
  22. NA Maurice, A Garba, VA Maina, YS Baraya, AH Owada, et al. (2011) Acute toxicity effect of the leaf extract of leptadeniahastata (Pers) in white albino rats. Nigerian J Parasitol
  23. Maina VA, Sandabe UK, William A (2015) Phytochemical-analysis-and-acute-toxicity-of-Leptadenia-hastate-Pers-Decne-leaf-in-albino-rats.pdf. Sahel Journal of Veterinary Science 14: 43‑47.
  24. Attah MOO, Jacks TW, Garba SH, Anagor K, et al. (2019) Evaluation of acute oral toxicity induced by n-hexane extract of leptadenia hastata leaves on the histology of the pancreas and spleen in albino rats. Sumerianz J Med Healthcare 2: 80‑88.
  25. Sall C, Ndoye SF, Dioum M, Seck Insa, Gueye Rokhayasylla, et al. (2017) Phytochemical study and in vitro activity evaluation of antisickling effect of two plants using in senegalese pharmacopeia. J Chem Pharm Res 9: 51-55.
  26. Zimmer N, R Cordesse (1996) Influence des tanins sur la valeur nutritive des aliments des ruminants. INRAE Productions Animales 9: 167‑179.
  27. Diallo MS, Bah F, Dial CM, Cheikh Diop, Oumar Faye, et al. (2020) Histopathological study of the kidney after administration of methanolic extract of roots of leptadeniahastata in the albinowistar rat. Open J Pathol 10: 67‑75.
  28. Mama Sy Diallo, Oumar faye, Fatoumatah Ba, Cheikh Diop, Mamadou Fall (2020) Histopathologic study of liver tissue from wistar albinos rats treated with methanolic extract of leptadenia hastata’s roots. Am J Biomed SciRes 7: 499‑504.
  29. Sabater F (2012) Détermination d’une dose efficace et d’une dose toxique de tanins condensés dans le contrôle des strongyloses digestives chez les caprins. Doctorat d'exercice Vétérinaire, Université de Toulouse, 138.
  30. Giner-Chavez BI (1996) Condensed tannins in tropical forages. D., Cornell University, Ithaca, NY, USA.
  31. Hedqvist H (2004) Metabolism of soluble proteins by rumen microorganisms and the influence of condensed tannins on nitrogen solubility and degradation.
  32. Frutos P, Hervás G, Giráldez FJ, AR Mantecón (2004) Tannins and ruminant nutrition. Span J Agri Res 2: 191.
  33. Barry TN, McNabb WC, (1999) The implications of condensed tannins on the nutritive value of temperate forages fed to ruminants. Br J Nutr 81: 263‑272.
  34. CDU-HE (2012) Anemia. In Abreged’hepato-gastro-etrologie. (2 nd edn) Elsevier-Masson.
  35. Braunstein Evan M (2018) Anémie ferriprive - Hématologie et oncologie. Manuel MSD.

Citation

Bah F, Dozolme PMA, Diallo MS, Nyandwi R, Daffé ML, et al. (2022) In vitro and in vivo Evaluation of the Toxicity Roots of Leptadeniahastata (PER) Decne. Cytotoxicity on Caco2 and HepG2 Cells, Acute and Subacute Toxicity on Wistar Rats. J Toxicol Risk Assess 8:045. doi.org/10.23937/2572-4061.1510045