Citation

Udayangani HMIM, Upulitha GGH, Uthayakumar V, Premathilaka LKN, Herath EMUCK, (2024) Radiographic Evaluation of Developmental Dental Anomalies in Children Attending Dental Hospital Peradeniya-Sri Lanka. Int J Oral Dent Health 10:167. doi.org/10.23937/2469-5734/1510167

Research Article | OPEN ACCESS DOI: 10.23937/2469-5734/1510167

Radiographic Evaluation of Developmental Dental Anomalies in Children Attending Dental Hospital Peradeniya-Sri Lanka

Herath Mudiyanselage Imali Maheshika Udayangani, BDS1, Ginigal Godage Harindu Upulitha, BDS1, Virajini Uthayakumar, BDS1, Lokuappu Kuttige Nadeesha Premathilaka, BDS, MD2* and Ekanayake Mudiyanselage Udagedara Chandra Kumari Herath, BDS, MD, FDSRCS3

1Intern House Officer, Ministry of Health, Sri Lanka

2Lecturer, Division of Paediatric Dentistry, Faculty of Dental Sciences, University of Peradeniya, Sri Lanka

3Professor in Paediatric Dentistry, Division of Paediatric Dentistry, Faculty of Dental Sciences, University of Peradeniya, Sri Lanka

Abstract

Introduction: Developmental dental anomalies are changes in the dental structure. These anomalies include the changes in shape, size, number, tissue structure, and position of teeth. Dental panoramic radiograph remains the gold standard for the early detection of such anomalies.

Aim: The aim of this study was to assess developmental dental anomalies on dental panoramic radiographs of patients aged 6-18 years attending the Dental Hospital Peradeniya, Sri Lanka.

Methods: All the dental panoramic radiographs of children aged 6 to 18 years, taken by the Department of Radiology, Dental Hospital Peradeniya, from August 2019 to December 2021 were considered for the study.

Results: A total of 924 dental panoramic radiographs were included in this study. Of them, 447 (48.4%) showed developmental dental anomalies. 32.1% had only one dental anomaly, while 16.3% had two or more than two. A higher incidence of dental anomalies was observed among males (55.5%). The most common type of anomaly was morphological (40.5%), followed by numerical (17.6%), positional (9.8%), and structural anomalies (0.6%).

Conclusion: Most of the developmental dental anomalies are asymptomatic and incidental clinical or radiographic findings. Early detection of them through radiographs is essential for timely intervention.

Keywords

Dental anomalies, Developmental, Radiographic evaluation

Introduction

Developmental dental anomalies (DDA) are changes in the dental structure, that result from disturbances to the tooth development at the morphodifferentiation or histodifferentiation stages due to genetic or environmental factors [1,2].

These anomalies may affect the shape, size, number, tooth structure, and position of teeth in the jaws [2-5]. More than one anomaly can often be observed in the same individual. A considerable reciprocal association was found between different types of dental anomalies, suggesting a common genetic origin [5,6]. DDA may present as an isolated defect or as a part of a syndrome [2].

The prevalence of DDA has been studied in different communities and ethnic groups. However, variations in ethnic groups, sampling methods, and different diagnostic criteria have led to inconsistent results as 18.17% in Southeast Iran and 39.2% in Turkey [5,7-9].

In most cases, DDA are asymptomatic and incidental clinical or radiographic findings [5]. However, these may bring about malocclusions, poor aesthetics, tooth sensitivity and may complicate certain treatment procedures such as root canal therapy or tooth extraction [2,7]. Therefore, early diagnosis of such conditions permits optimal patient management while alleviating the complications and the complexity of the planned treatment.

As no information is available regarding the radiographic prevalence of developmental dental anomalies in Sri Lanka, the aim of this study was to assess the DDA on dental panoramic radiographs of patients aged 6-18 years attending the Dental Hospital Peradeniya, Sri Lanka. A range of anomalies were studied and categorized according to tooth shape, size, number, position, and tooth structure.

Materials and Methods

This retrospective, quantitative study was conducted at the Dental Hospital Peradeniya, Sri Lanka, a tertiary care centre which receives patients from different geographical areas of the country.

All the Dental Panoramic Tomographs (DPT) of children aged 6 to 18 years, taken by the radiology department of dental hospital Peradeniya, from August 2019 to December 2021 were considered for the study. Ethical clearance was obtained from the Ethics Review Committee of the Faculty of Dental Sciences, University of Peradeniya (Research project no. ERC/FDS/UOP/UGR/2021/15).

Radiographs with incomplete patient details or poor quality were excluded from the study. Further, DPTs of patients with fixed orthodontic appliances, multiple teeth extractions, bone pathologies, traumatic injuries, jaw fractures which affect the natural eruption of teeth, and cleft palate were excluded from this study as teeth identification was difficult. In addition to those, crown restorations, caries or root canal treatment that interfere with the identification of dental anomalies were excluded. The third molar was not considered here. Accordingly, 924 DPTs were included in the present study.

All the radiographs were taken by the same device (VILLA ROTOGRAPH EVO D, Italy) using the standardized method (< 12 yrs, 68 kV, 8 mA, 13.40 s and & > 12 yrs, 74 kV, 8 mA, 14.40 s) and processed by one digitizer. Good quality images were selected according to the European Guidelines on Radiation Protection in Dental Radiology 2004 [10]. The first 50 radiographs, which were excluded from the study, were reassessed by the supervisor to confirm the accuracy of exclusion.

The selected radiographs were reviewed for,

• morphological anomalies such as fusion, gemination, dens invaginatus, dilacerations, taurodontism, peg lateral;

• anomalies in tooth number including both hypodontia and hyperdontia;

• structural anomalies such as amelogenesis imperfecta and dentinogenesis imperfecta;

• anomalies in tooth position such as transposition and tooth impaction.

At most, 30 images were observed consecutively to minimize the errors due to raters’ fatigue. The research supervisor re-evaluated the images after a week interval. Age, gender and DPT findings of the selected individuals were entered into a Microsoft Excel sheet and analyzed using SPSS software version 21. Descriptive data were reported as frequencies. Chi-squared test and analysis of variance were performed. The value of significance was obtained using the Chi-squared test. A p-value of < 0.05 was considered statistically significant.

Results

A total of 924 Dental Panoramic radiographs (DPT) were considered for this study. Out of them, 513 (55.5%) were males and 411 (44.5%) were females. The mean age of the sample was 12.05 years, with a range of 6-18 years.

Of the 924 DPTs, 447 (48.4%) showed DDA. Out of them, 296 (32%) had only one DDA, while 151 (16.4%) had two or more than two DDA (Table 1). A higher incidence of dental anomalies was observed among males (n = 231).

Table 1: Distributions of the developmental dental anomalies by gender. View Table 1

As shown in the Table 2, 40.5% of the sample had morphological anomalies, 17.6% showed numerical anomalies, 9.8% positional anomalies, and only 0.6% had structural anomalies.

Table 2: Incidence of different types of developmental dental anomalies by gender. View Table 2

According to the study, the most prevalent morphological anomaly was taurodontism (17.7%) followed by peg laterals (9.9%), dilacerations (7.1%), claw-shaped teeth (4.3%), and dens in dentate (0.9%). Both gemination and fusion showed a prevalence of 0.3% for each (Table 2).

Congenitally missing teeth (hypodontia) were evident in 119 (12.8%) study participants, excluding third molar agenesis. Of them, incidence of hypodontia (< 6 teeth are missing) was 88.23% and oligodontia (6 ≤ teeth are missing) was 11.76% (Figure 1). Anodontia (complete absence of teeth) was not observed in these study participants. Missing teeth were more common in the maxilla (52.9%) than in the mandible (47.0%) and more on the left side (51.7%) versus the right side (48.2%). Maxillary lateral incisor was the mostly missing tooth (23.6%) followed by mandibular central incisor (17.5%), mandibular second premolar (11.6%) and maxillary canine (10.2%) (Table 3, Figure 2a and Figure 2b).

Figure 1: Panoramic radiograph with oligodontia. View Figure 1

Figure 2: a) Distribution of missing teeth in the maxilla; b) Distribution of missing teeth in the mandible. View Figure 2

Table 3: Distribution of missing teeth in the maxilla and mandible. View Table 3

Hyperdontia was observed in 45 (4.8%) patients. Out of them, 36 (60%) patients had one supernumerary tooth, 07 (15.6%) patients had two, 01 (2.2%) had three teeth and another one (2.2%) had more than three (Figure 3). They were observed unilaterally in 37 (82.2%) patients and bilaterally in 08 (17.8%) patients. Moreover, supernumerary teeth were more common among 14-18 years aged subjects (n = 29, 48.3%).

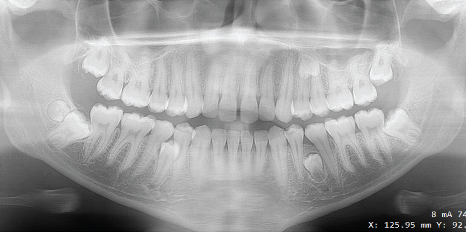
Figure 3: Panoramic radiograph with multiple supernumerary teeth. View Figure 3

In those 45 patients, 60 supernumerary teeth were found. Of those 60 teeth, 38 were found in the upper arch and the rest was in the lower arch. The most common shape was conical (40%), followed by supplementary (33.3%), tuberculate (13.3%), distomolar (10%) and odontomes (3.3%).

Tooth impaction was observed in 76 (8.2%) patients excluding third molars. Of them, the majority (69.7%) had one impacted tooth, 22.4% had two, 3.9% had three and 3.9% had more than three impacted teeth. Impactions were more frequent in the maxilla (71.3%) than in the mandible (28.7%) and on the left side (59.9%) compared to the right side (40.1%). The most impacted tooth was maxillary canine (58.3%) followed by mandibular canine (16.3%), maxillary central incisor (8.7%), mandibular central incisor (3.5%) and mandibular molars (3.4%) (Table 4).

Table 4: Distribution of impacted teeth in the maxilla and mandible. View Table 4

Furthermore, transposition of teeth was observed in 15 (1.6%) subjects. It was more in the maxillary arch (66.7%) than the mandibular arch (33.3%). Maxillary canine and first premolar transposition was the most common (46.6%) followed by the mandibular canine and incisor transposition (33.2%).

As structural anomalies, amelogenesis imperfecta and dentinogenesis imperfecta were identified. Prevalence of amelogenesis imperfecta was 0.5%. Whereas that of the dentinogenesis imperfecta was 0.1% in this study.

Discussion

Early diagnosis of developmental dental anomalies (DDA) is imperative as they are often associated with malocclusions, poor aesthetics, dental caries, poor oral hygiene and cystic lesions [11].

Radiographic imaging provides significant information about dental anomalies. The panoramic radiograph remains the gold standard for the early detection and diagnosis of DDA. Low-dose radiation, more details, low cost, and extent of the reviews of the jaws and teeth made DPT, the radiograph of choice in most dental procedures [2]. Nevertheless, some conditions such as supernumerary teeth may not be well depicted in DPTs owing to the narrow focal in the anterior maxillary region. In such situations, cone beam computed tomography (CBCT) provides more precise information.

In this study, panoramic radiographs were used to identify the prevalence of DDA among 6 to 18-years-old children attending Dental Teaching Hospital Peradeniya, Sri Lanka. The prevalence of DDA in this study was 48.4%, with a higher incidence in males (25%) than females (23.4%). However, the difference was not significant (P value > 0.05). A study done in Saudi Arabia, has reported a prevalence of 45.1% [12]. The reported prevalence of Southeast Iran was 18.17%, with a higher incidence in females (9.90%) than males (8.28%) [2]. In Rome, the reported prevalence was 20.9% [13]. This inconsistency in the prevalence might be due to the variations in the sample selection, genetic and racial factors and the diagnostic criteria used.

In the present study, the commonest type of anomaly was morphological (40.5%), followed by numerical (17.6%) and positional anomalies (9.8%). Another study also has reported morphological anomalies as the most common DDA, but with a higher prevalence (71.70%) [2]. In contrast, a Turkish study has reported positional anomalies as the most prevalent DDA, and a study done in Greece has reported it as oligodontia [5,8].

In accordance with some other studies, taurodontism was the most prevalent morphological anomaly (17.7%) in our study [2]. However, some other studies have reported a significantly higher prevalence as 48% [14]. The main cause for this variation might be the differences in the criteria used to define taurodontism and racial factors. In addition, some researchers have hypothesized that taurodontism could be the result of an ectodermal defect in oligodontia patients [2,14].

The prevalence of peg laterals in the present study was 9.9%. Nevertheless, relatively much lower values as 0.8%, 0.3% and, 0.6% have been reported in Southeast Iran, America and Sweden respectively [2,15,16].

Dilaceration is a sudden change in the axial inclination between the crown and the root of a tooth which results in a sharp bend or curve in the root. It can be diagnosed only through the radiographs, and identification of that prior to root canal treatment or extraction is essential. The prevalence of dilaceration in our study was 7.1%. In the literature, only a few have reported the prevalence of dilaceration, with frequencies ranging from 0.32% to 98% [2,17].

Dens invaginatus was identified with a prevalence of 0.9% in this study. It has reported a prevalence of 0.3% to 10% in the literature [2,18]. Frequencies may be differed according to the diagnostic criteria. Dense invaginatus type I and type II can be misdiagnosed in the analysis of DPTs. Therefore, intraoral periapical radiograph is essential for the accurate diagnosis of dens invaginatus [18].

The prevalence of fusion and gemination in this study was 0.3% without any significant difference in the gender. The reported prevalence of these anomalies varied from 0 to 0.8% and did not differ with the gender [2,8]. In our study, double teeth were most frequently observed in primary mandibular lateral incisor and canine. This is similar to the reported data in a Turkish study [19]. The occurrence of these anomalies may create aesthetic concerns, dental caries, periodontal problems and complexities in root canal therapy [8].

The prevalence of missing teeth (hypodontia) was 12.8%, which is similar to other studies [8]. In this study, the most frequently missing tooth was maxillary lateral incisor followed by the mandibular central incisor and mandibular second premolar. A study done in Iran also has reported the maxillary lateral incisor as the mostly missing tooth [20]. However, mandibular second premolar was reported as the mostly missing tooth in some studies [11,21]. The hypodontic tooth varies in different ethnic groups due to variations in the genetic and environmental factors. Among American children, the most commonly missing tooth was the mandibular second premolar; in Saudi Arabian children it was the maxillary lateral incisor; and in European children it was the maxillary second premolar [20].

Literature shows 0.2% to 3% prevalence for the supernumerary teeth [13]. However, a higher prevalence as 4.8% was observed in our study. Most probably, this could be because this study was conducted in a tertiary care centre which receives patients with more complexities. Further to that, 63% supernumerary teeth were found in the maxilla.

Early detection of impacted teeth is imperative as they would bring about many complications. In our study, the prevalence of impaction was 8.2% and maxillary canine was identified as the commonest impacted tooth (58.3%). Many other studies also have also identified maxillary canine as the most impacted tooth [2,12]. Further to that, maxillary impactions (71.4%) were much higher compared to those in the mandible (28.6%) in this study. Similarly, another study also has reported a higher incidence of impactions in the maxilla [22].

Literature showed the rarity of impacted cuspids in the mandible [12,22]. This is comparable to the present study where maxillary canine impactions were 58.3% and mandibular canine impactions were only 16.3%. Many factors would be responsible for the higher frequency of maxillary canine impactions. However, primarily this could be caused by the lack of eruption space as canines erupt much later than the adjacent teeth [22]. In this study, classification of canine displacement and ectopic eruption was not considered, as it needs both clinical and radiographic assessment.

Tooth transposition is a rare developmental anomaly where there is a positional interchange of two neighboring teeth, or the development or eruption of a tooth in a position normally occupied by a non-neighboring tooth. In the present study, the prevalence of tooth transposition was 1.6%. Similar value as 1.5% has been reported by another study too [13]. However, some other studies have reported values less than 1% [2,8,20]. Similar to our study, the most common type of transposition described in the literature involves the maxillary canine and the first premolar followed by maxillary canine and lateral incisor [22].

Enamel defects could be manifested as a deficiency in either the amount of enamel formed (hypoplasia) or the degree of calcification of the formed enamel (hypocalcification or hypo maturation) [23]. In the present study, loss of enamel substance was taken as the main radiographic feature to identify amelogenesis imperfecta (AI). The data was entirely gathered as a radiological finding despite clinical findings. Thus, there is a possibility of mild cases of AI being missed in the identifications. In the present study, AI was reported as 0.5%. The reported prevalence of AI varies widely [8,23].

Radiographic images provide significant information of patients with DDA. The dental panoramic radiograph remains the gold standard for the early detection of DDA [5]. However, superimposition of cervical vertebrae has been identified as a limitation to identify developmental anomalies in the anterior region of panoramic radiographs. Further, there are chances of being misdiagnosed, due to lack of clinical assessment. Therefore, further studies involving clinical assessment are encouraged to overcome these challenges.

Furthermore, the ideal sampling method would be random sampling. Nevertheless, based on the practicality, the data collection was done from the records of patients, who presented to the tertiary health care center. As a result, it was not a representative sample of the general population.

Conclusion

Developmental dental anomalies are not uncommon. Although their occurrence is not always symptomatic, they would result in malocclusions, poor aesthetics, tooth sensitivity and may complicate certain dental treatment procedures too. Hence, early detection of DDA is essential for clinicians to arrive at the diagnosis in early stages and optimal patient management.

Acknowledgement

We would like to extend our deep and sincere gratitude to Prof. R.D. Jayasinghe for sharing his knowledge and giving us a great guidance. We would like to mention, that we are grateful to Dr. Kosala Abeypala for sharing her knowledge with us especially regarding the ‘Impacted teeth’. We would like to express our gratitude to Dr. Chandira Gunasena for his support in data collection. We would like to make a special thanks to Prof. Primali Jayasooriya for the support given in study designing. We are extremely grateful for the Department of Radiology, Faculty of Dental Sciences, University of Peradeniya for their invaluable support. We also appreciate our colleagues and friends for their valuable comments on our work.

Authors Contribution

HMIM Udayangani, GGH Upulitha: Designing the study, collecting data, analyzing data, contribute to the manuscript writing; V Uthayakumar: Designing the study, collecting data, analyzing data; L.K.N. Premathilaka: Evaluating the research findings and manuscript writing and finalizing the article; E.M.U.C.K. Herath: Supervising the research in designing, analyzing data, and correcting the manuscript.

References

  1. Neville BW, Damm DD, Allen CM, Chi AC (2015) Oral and maxillofacial pathology. Elsevier Health Sciences.
  2. Saberi EA, Ebrahimipour S (2016) Evaluation of developmental dental anomalies in digital panoramic radiographs in Southeast Iranian Population. J Int Soc Prev Community Dent 6: 291-295.
  3. Brook AH (2009) Multilevel complex interactions between genetic, epigenetic and environmental factors in the aetiology of anomalies of dental development. Arch Oral Biol 54: S3-S17.
  4. de O Pedreira FR, de Carli ML, Pedreira Rdo PG, Ramos Pde S, Pedreira MR, et al. (2016) Association between dental anomalies and malocclusion in Brazilian orthodontic patients. J Oral Sci 58: 75-81.
  5. Pallikaraki G, Sifakakis I, Gizani S, Makou M, Mitsea A (2019) Developmental dental anomalies assessed by panoramic radiographs in a Greek orthodontic population sample. Eur Arch Paediatr Dent 21: 223-228.
  6. Baccetti T (1998) A controlled study of associated dental anomalies. Angle Orthod 68: 267-274.
  7. Shokri A, Poorolajal J, Khajeh S, Faramarzi F, Kahnamoui HM, et al. (2014) Prevalence of dental anomalies among 7- to 35-year-old people in Hamadan, Iran in 2012-2013 as observed using panoramic radiographs. Imaging Sci Dent 44: 7-13.
  8. Bilge NH, Yesiltepe S, Törenek Agirman K, Çaglayan F, Bilge OM (2018) Investigation of prevalence of dental anomalies by using digital panoramic radiographs. Folia Morphol 77: 323-328.
  9. Yamunadevi A, Selvamani M, Vinitha V, Srivandhana R, Balakrithiga M, et al. (2015) Clinical evaluation of non-syndromic dental anomalies in Dravidian population: A cluster sample analysis. J Pharm Bioallied Sci 7: S499-S503.
  10. European Commission (2004) Radiation Protection 136: European Guidelines on Radiation Protection in Dental Radiology: The Safe Use of Radiographs in Dental Practice. Office for Official Publications of the European Communities, Luxembourg.
  11. Almaz ME, Sönmez IS, Oba AA (2017) Prevalence and Distribution of Developmental Dental Anomalies in Pediatric Patients. Meandros Med Dent J 18: 130-133.
  12. Afify AR, Zawawi KH (2012) The prevalence of dental anomalies in the western region of Saudi Arabia. ISRN Dent 2012: 837270.
  13. Laganà G, Venza N, Borzabadi-Farahani A, Fabi F, Danesi C, et al. (2017) Dental anomalies: prevalence and associations between them in a large sample of non-orthodontic subjects, a cross-sectional study. BMC Oral Health 17: 62.
  14. Sarr M, Toure B, Kane AW, Fall F, Wone MM (2000) Taurodontism and the pyramidal tooth at the level of the molar. Prevalence in the Senegalese population 15 to 19 years of age. Odontostomatol Trop 23: 31-34.
  15. Clayton JM (1956) Congenital dental anomalies occurring in 3,557 children. J Dent Child 23: 206-208.
  16. Thilander B, Myrberg N (1973) The prevalence of malocclusion in Swedish schoolchildren. Eur J Oral Sci 81: 12-20.
  17. Jafarzadeh H, Abbott PV (2007) Dilaceration: Review of an endodontic challenge. J Endod 33: 1025-1030.
  18. Premathilaka LKN, Vasantha S, Herath EMUCK (2023) Comprehensive management of a child with multiple dens invaginatus. Dent Update 50: 522-525.
  19. Aydinbelge M, Sekerci AE, Caliskan S, Gumus H, Sisman1 Y, et al. (2017) Clinical and radiographic evaluation of double teeth in primary dentition and associated anomalies in the permanent successors. Niger J Clin Pract 20: 847-851.
  20. Haghanifar S, Moudi E, Abesi F, Kheirkhah F, Arbabzadegan N, et al. (2019) Radiographic evaluation of dental anomaly prevalence in a selected Iranian population. J Dent (Shiraz) 20: 90-94.
  21. Sümer AP AT, Köprülü H (2004) Dental anomalies in children: Panoramic radiographic evaluation. Ondokuz Mayis Üniv Dis Hekim Fak Derg 5: 81-84.
  22. Campoy MD, Gonzalez-allo A, Moreira J, Ustrell J, Pinho T (2013) Dental anomalies in a Portuguese population. Int Orthod 11: 210-220.
  23. Altug-Atac AT, Erdem D (2007) Prevalence and distribution of dental anomalies in orthodontic patients. Am J Orthod Dentofacial Orthop 131: 510-514.

Citation

Udayangani HMIM, Upulitha GGH, Uthayakumar V, Premathilaka LKN, Herath EMUCK, (2024) Radiographic Evaluation of Developmental Dental Anomalies in Children Attending Dental Hospital Peradeniya-Sri Lanka. Int J Oral Dent Health 10:167. doi.org/10.23937/2469-5734/1510167