Citation

Ormachea K, Cranston A, George B, Bisono JQ, Khadilkar A (2025) Acute Heart Failure and Mitral Stenosis in a Patient with Spindle Cell Sarcoma of the Mitral Valve. Int J Clin Cardiol 12:296. doi.org/10.23937/2378-2951/1410296

`
Case Report | OPEN ACCESS DOI: 10.23937/2378-2951/1410296

Acute Heart Failure and Mitral Stenosis in a Patient with Spindle Cell Sarcoma of the Mitral Valve

Kori Ormachea, MD1*, Ariana Cranston, BS2, Bistees George, MD1, Janina Quintero Bisono, MD1 and Arjun Khadilkar, MD3

1Department of Medicine, IU School of Medicine, Indianapolis, IN, USA

2Lincoln Memorial University-Debusk College of Osteopathic Medicine, Harrogate, TN, USA

3Division of Cardiovascular Medicine, IU School of Medicine, Indianapolis, IN, USA

Abstract

Background: Primary Cardiac tumors can be benign or malignant. Malignant tumors represent 25% of primary tumors. Presentation can vary depending on the location of the tumor. The rarest cardiac sarcoma is spindle cell sarcoma.

Case overview: A 27-year-old male presented with dyspnea, orthopnea, and lower extremity edema. He underwent an echocardiogram that was significant for a large left atrial mass. He underwent resection of his left atrial mass with mitral valve repair. The tissue biopsy was significant for a high-grade spindle cell sarcoma. He was started on adjuvant chemotherapy. A follow-up transesophageal echocardiogram six months later noted a new left atrial mass that was found to be a recurrence of his sarcoma.

Discussion: This case demonstrates a rare primary cardiac tumor, spindle cell sarcoma, which are generally aggressive. The clinical symptoms are more related to location of the sarcoma than the histopathology. Initial evaluation of primary cardiac sarcomas should include echocardiography. The primary treatment is surgical resection of the mass with adjuvant chemotherapy, however there is a high rate of recurrence and metastatic spread.

Conclusion: Suspicion of a malignant primary tumor should prompt evaluation with echocardiography to guide treatment given the poor prognosis associated with cardiac spindle cell sarcomas.

Keywords

Cardio-oncology, Spindle cell sarcoma, Left atrial mass, Mitral stenosis

Learning Objective

Cardiac Spindle Cell Sarcomas, which is a rare and malignant primary cardiac tumor can have a variety of presentations and despite current treatment guidelines, the prognosis is poor.

Introduction

Cardiac tumors and masses are broadly divided into primary tumors that arise within the heart, secondary tumors that are a result of metastatic spread, or masses that resemble cardiac tumors such as a thrombus or vegetation. Secondary tumors generally originate from lung, breast, renal carcinomas, melanomas, or lymphomas [1]. They are more often diagnosed and are 20- to 40-fold more common than primary tumors [1]. Primary tumors can be further classified into benign or malignant. Malignant tumors represent 25% of primary tumors, with the most common being sarcomas followed by lymphomas and mesotheliomas [2]. Presentation can vary depending on the location of the tumor, but symptoms can vary from dyspnea, heart failure, conduction abnormalities, atrial obstruction, or pericardial effusion [3]. The rarest cardiac sarcoma with very few cases reported in the literature is spindle cell sarcoma [4].

Case Report

A 27-year-old male with no past medical history presented to an urgent care with a productive cough, intermittent hemoptysis, dyspnea, orthopnea, and lower extremity edema. Pertinent findings included bilateral lower extremity pitting edema and a B-type natriuretic peptide (BNP) of 758. Chest X-ray (CXR) at the time noted a right basilar airspace posteriorly consistent with pneumonia. He was started on Lasix 20 mg daily along with empirically treated with Augmentin, Azithromycin, and a Prednisone taper. He underwent a transthoracic echocardiogram (TTE) a week later as an outpatient that was significant for a large 6.2 cm × 3.5 cm left atrial mass moving into the left ventricle across the mitral valve concerning for a myxoma. Other pertinent findings were an ejection fraction of 50-55%, severe mitral stenosis with a mean mitral valve gradient of 23, severely reduced right heart function, severe tricuspid regurgitation, and a patent foremen ovale (PFO). He was referred to Cardiology and Cardiovascular surgery for evaluation of his left atrial mass. Given the progressive dyspnea, orthopnea, and lower extremity edema, it was recommended he be admitted to the hospital from clinic.

On admission, symptoms were unchanged. He was afebrile, tachycardic in the 120’s, and on 2 liters of oxygen nasal cannula satting 97%. Pertinent labs on admission were a white blood cell count of 16, platelet count at 65, Sodium 130, normal serum Creatinine, Aspartate Aminotransferase 66, Alanine Transaminase 172, total bilirubin 1.9, High Sensitivity Troponin 91, BNP 890, and Lactate 1.9. A CXR on admission noted mildly increased right basilar airspace opacity. An EKG was completed that was significant for sinus tachycardia, incomplete right bundle branch block, and no ischemic changes. He was given 40 mg of IV Lasix in the ED then started on a Lasix drip at 10 milligrams/hour with improvement of his edema and lactate overnight. He was also started on Vancomycin and Zosyn for pneumonia. Cardiovascular surgery was consulted, and he underwent a left atrial mass resection and PFO closure. The left atrial mass was attached to the mitral valve, so the mitral valve was repaired with an Onyx mechanical valve. Intraoperative fluids include 1.3 liters of Cell Saver, 1.7 liters of 0.9% sodium chloride, 4 units of fresh frozen plasma, and 2 units of platelets.

After the surgery, he was transferred to the Cardiovascular Critical Care Unit. There were three mediastinal drains connected to a single atrium on arrival. He remained intubated on 100% of fraction of inspired oxygen and 10 liters of positive end-expiratory pressure. He was started on Norepinephrine at 7 micrograms/kilograms/minute, vasopressin at 0.05 units/minute, epinephrine at 0.1 milligrams/milliliter, and milrinone at 0.375 micrograms/kilogram/minute. A repeat TTE noted an ejection fraction of 49%, significant improvement in right heart function, and the mitral valve gradient and velocities were now within expected range. He remained remotely on pressor support, but he was successfully weaned from the pressors and extubated. He was started on a heparin drip until he was able to be transitioned to Warfarin when his international normalized ratio (INR) became therapeutic. Despite the improvement in his right heart hemodynamics, he remained hypervolemic, so his Lasix drip was increased to 20 milligrams/hour before transitioned to oral Torsemide 40 mg daily. He was set up with heart failure clinic follow-up and goal-direct medical therapy was initiated (Figure 1 and Figure 2).

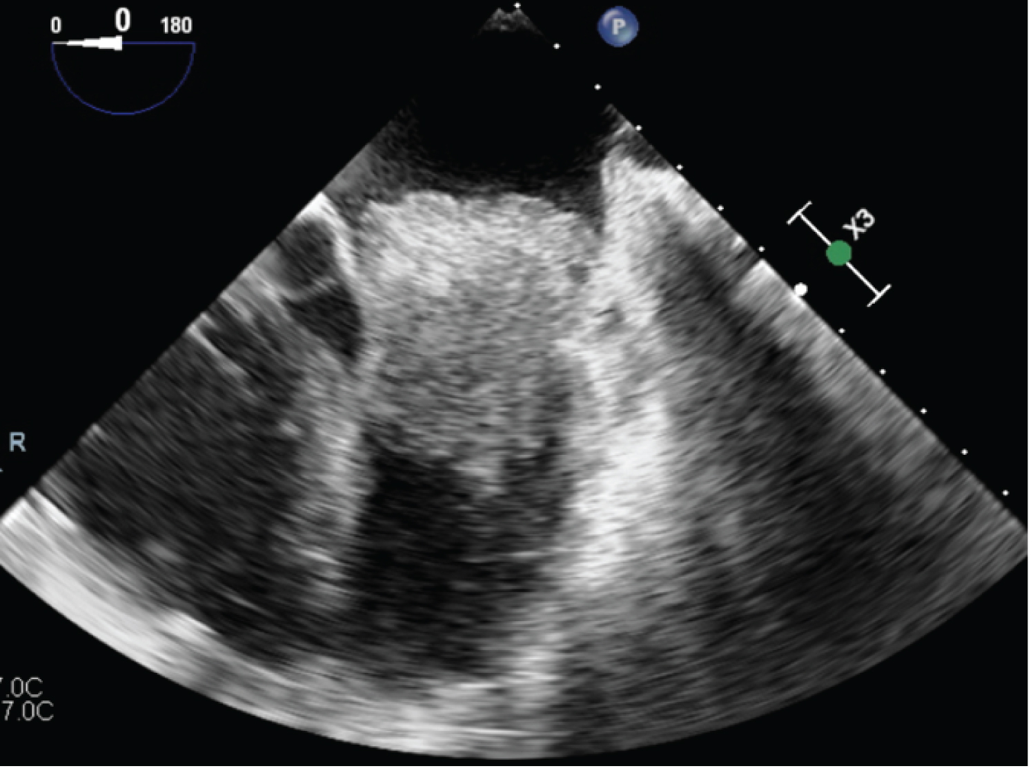
Figure 1: Large 6.2 cm × 3.5 cm left atrial mass noted on echocardiography on 11/5/22. View Figure 1

Figure 2: Large left atrial mass moving into the left ventricle across the mitral valve observed on a pre-op echocardiography. View Figure 2

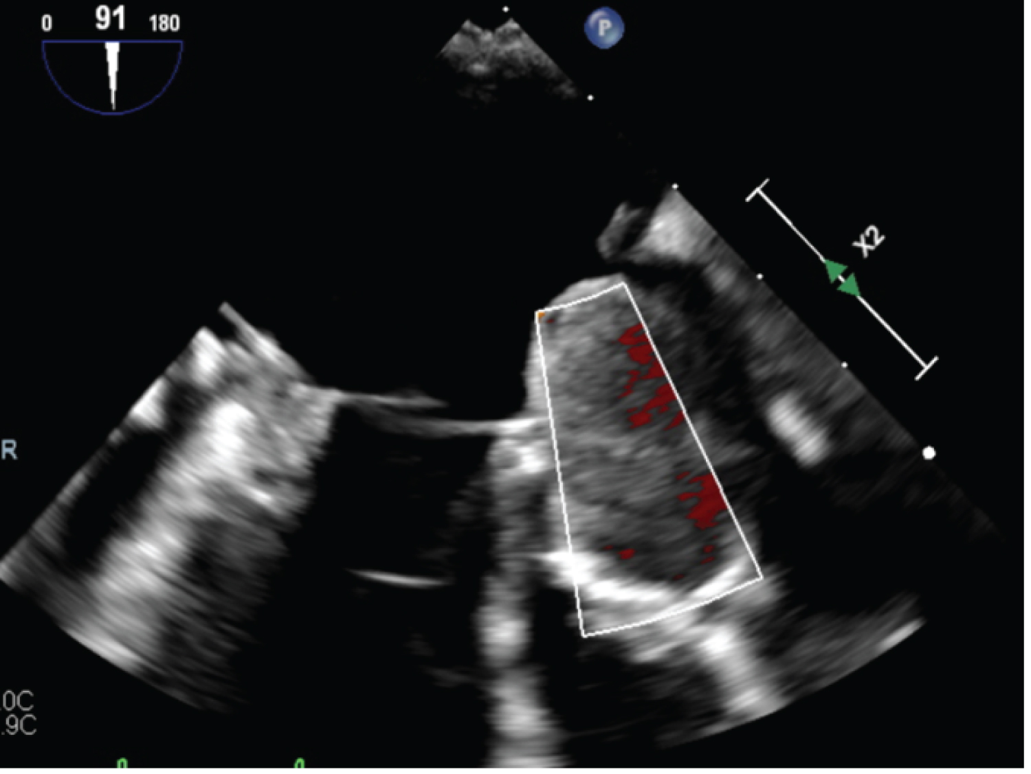
Pathology from the atrial mass resulted with a high-grade spindle cell sarcoma so Oncology was consulted. Further studies were negative for metastatic spread. He was started on adjuvant chemotherapy with doxorubicin and dexrazoxane. He completed a total of four cycles. A computed tomography (CT) of his chest was obtained after adjuvant chemotherapy that noted a new 2.9-cm hypodense mass or thrombus within the left atrium that extended into the atrial appendage. This mass was not observed on the last CT Chest obtained two months prior. This prompted an urgent transesophageal echocardiogram (TEE) that confirmed a new left atrial mass located where the left atrial appendage should be. The mass was approximately 2.5 cm × 1.5 cm, and it was concerning for recurrence of spindle cell sarcoma. He was seen in cardio-oncology clinic and his case was presented at a multidisciplinary tumor board meeting. Given that spindle cell sarcoma has a terminal prognosis without surgical intervention it was decided for him to undergo another cardiac surgery. Two weeks later he underwent a redo sternotomy with resection of the left atrial mass that was confirmed to be a recurrence of his initial tumor. He tolerated the surgery well and he was discharged with Oncology follow-up (Figure 3).

Figure 3: Left atrial mass approximately 2.5 cm × 1.5 cm located in or where left atrial appendage should be noted on TEE 5/4/23. View Figure 3

Discussion

This case demonstrates a rare primary cardiac tumor, spindle cell sarcoma, which are generally aggressive and therefore have a poor prognosis. The clinical symptoms are more related to location of the sarcoma than the histopathology [5]. Depending on location, cardiac sarcomas have a wide variety of presentations. Our patient presented with heart failure from severe mitral stenosis from the initial tumor and he was asymptomatic during the second occurrence. Primary locations of cardiac spindle cell sarcoma are the aorta, pulmonary veins, the pericardium, right atrium, and as in our patient, the left atrium [6]. It is a malignancy of the mesenchyme that originates from larger blood vessels and the heart. Initial evaluation of primary cardiac sarcomas should include echocardiography, but clinicians could consider further evaluation with cardiac CT or magnetic resonance imaging (MRI). Current investigators have added the use of contrast enhanced echocardiography to aid in differentiating vascular from avascular cardiac masses [3]. This is useful for diagnosing cardiac sarcomas since they are highly vascularized tumors. In our patient, we did not use contrast-enhanced echocardiography since the leading diagnosis at that time was a cardiac myxoma, a common benign cardiac tumor. The definitive diagnosis of spindle cell sarcoma is made via tissue biopsy, and this was confirmed through pathological examination in our patient [7].

Generally, 80% of Spindle Cell Sarcomas have metastasis by diagnosis with the distant spread involving bone, peritoneum, liver, and lymph nodes [8]. The primary treatment is surgical resection of the mass with median sternotomy using cardiopulmonary bypass. Patients are then treated with adjuvant chemotherapy, however there is a high rate of recurrence even after surgical resection as demonstrated in our patient [9]. A multicenter trial within the World Sarcoma Network observed Anthracycline-based regimens demonstrated a degree of activity with some response to soft tissue sarcomas [6]. Therefore Anthracycline-based chemotherapy is a potential option and the favorable treatment regimen for cardiac sarcomas at this time, but prognosis still remains ominous [6]. The next treatment plan for our patient has yet to be determined but other treatment options beyond adjuvant chemotherapy are radiation therapy, cardiac autotransplantation, or orthotic heart transplant [3,9]. Unfortunately, the prognosis remains poor given the limited success with the treatment options available.

Conclusions

This case presents a rare primary cardiac tumor with few documented cases. It is relevant because the multiple occurrences demonstrated different presentations and importance of timely intervention. Suspicion of a malignant primary tumor should prompt evaluation with transthoracic and transesophageal echocardiography to guide treatment given the poor prognosis associated with cardiac spindle cell sarcomas.

Patient Permission/Consent Statement

Written consent was obtained from patient for publication of this case report and the images included.

Acknowledgements

This case report was presented as an abstract at the AHA Scientific Sessions 2023 Conference in Philadelphia, Pennsylvania.

Conflict of Interest

All authors have declared that no financial support was received from any organization for the submitted work. All authors have declared that they have no financial relationships at present or within the previous three years with any organizations that might have an interest in the submitted work. All authors have declared that there are no other relationships or activities that could appear to have influenced the submitted work.

Statement of Equal Author’s Contribution

All the authors listed above participated and contributed equally to this case report.

References

  1. Paraskevaidis IA, Michalakeas CA, Papadopoulos CH, Anastasiou-Nana M (2011) Cardiac tumors. ISRN Oncol 2011: 208929.
  2. Calabretta R, Hacker M (2022) A PET-derived tumor expansion pattern to differentiate between primary cardiac lymphoma from primary cardiac sarcoma. J Nucl Cardiol 29: 2878-2880.
  3. Qin J, Li R, Ma F, Li H, Fang Z, et al. (2021) Left atrial spindle cell sarcoma: A case report and literature review. Medicine (Baltimore) 100: e24044.
  4. Li Z, Hsieh T, Salehi A (2013) Recurrent cardiac intimal (spindle cell) sarcoma of the left atrium. J Cardiothorac Vasc Anesth 27: 103-107.
  5. Vander Salm TJ (2000) Unusual primary tumors of the heart. Semin Thorac Cardiovasc Surg 12: 89-100.
  6. Park JH, Choe H, Jang WI, Hur G (2012) Primary pericardial spindle cell sarcoma mimicking left main coronary artery disease. Eur J Cardiothorac Surg 41: 1179-1181.
  7. Shewale SD, Bhat P, Gupta AK, Manjunath CN (2016) Right atrial spindle cell sarcoma as a rare cause of tricuspid stenosis. BMJ Case Rep 2016: bcr2016216373.
  8. Ibrahim A, Luk A, Singhal P, Wan B, Zavodni A, et al. (2013) Primary intimal (spindle cell) sarcoma of the heart: A case report and review of the literature. Case Rep Med 2013: 461815.
  9. Muturi A, Kotecha V, Ruturi J, Muhinga M, Waweru W (2015) High-grade spindle cell sarcoma of the heart: A case report and review of literature. J Cardiothorac Surg 10: 46.

Citation

Ormachea K, Cranston A, George B, Bisono JQ, Khadilkar A (2025) Acute Heart Failure and Mitral Stenosis in a Patient with Spindle Cell Sarcoma of the Mitral Valve. Int J Clin Cardiol 12:296. doi.org/10.23937/2378-2951/1410296