Citation

Sujith KS (2024) Angiographically Detected Longitudinal Stent Deformation with Cobalt Chromium Stent: A Case Report. Int J Clin Cardiol 11:293. doi.org/10.23937/2378-2951/1410293

Case Report | OPEN ACCESS DOI: 10.23937/2378-2951/1410293

Angiographically Detected Longitudinal Stent Deformation with Cobalt Chromium Stent: A Case Report

Sujith Kumar S, MD, DM, FACC*

Consultant Interventional Cardiologist, Lourdes Hospital, India

Introduction

Longitudinal stent deformation (LSD) is a rare complication of angioplasty and stenting reported in about 1-1.5% of angioplasties [1-3]. The use of more and more complex devices and post-dilatation to ensure proper stent apposition leads to the increasing number of devices to track in and out of the deployed stent. This can lead to deformations of the deployed stent [1-3]. Longitudinal stent deformation is recognized as shortening of the stent with crowding of the struts of the stent on fluoroscopy or intravascular imaging. Most of the early studies have implicated Promus element stent as the stent platform associated with longitudinal stent deformation [1,4]. But others did not find any such association with the stent type and longitudinal stent deformation. Rhee, et al. did not find any relation between the types of stents they studied and the incidence of longitudinal stent deformation [2]. Recognition of the stent deformation is important as it can lead to stent thrombosis or restenosis [5,6]. We report a case of longitudinal stent deformation after implanting a Biomime sirolimus eluting stent. This is the first reported case of longitudinal stent deformation associated with Biomime stent.

Case Description

A 60-year-old gentleman was referred to our care with a diagnosis of Inferior Wall Myocardial Infarction, after receiving thrombolytic therapy at a local hospital. ECG, at admission, showed good ST resolution. He was taken up for elective coronary angiogram and revascularization. Coronary angiogram revealed a critical stenosis of dominant Left Circumflex artery (LCX) at Obtuse Marginal artery (OM2) (medina 1,0,1) with TIMI II flow distally (Figure 1 and Video 1). He underwent angioplasty and stenting with a single stent strategy. The LCX was predilated and was stented with a 3 × 24 mm Biomime stent at 14 atmospheres (Figure 2, Figure 3, Figure 4, Video 2 and Video 3). The OM2 was rewired and a dilatation of the ostial lesion of OM2 and kissing balloon inflation was done with excellent result. It was decided to do proximal optimization (POT) to the proximal stent with a 3.25 × 8 mm non-compliant (NC) balloon. But there was difficulty in tracking the balloon down into the stent and fluoroscopy showed a deformation of the proximal edge of the stent which was confirmed by the Stent Viz technology (Figure 5, Figure 6, Figure 7, Video 2 and Video 3). The same NC balloon was then used to post-dilate the stent and the proximal part of the stent was covered with another 3.5 × 13 mm biomime stent with excellent result (Figure 8). After 4 months follow up, the patient is asymptomatic and on dual antiplatelets.

Figure 1: Coronary angiogram in RAO Caudal projection showing critical stenosis of Left circumflex coronary artery and Obtuse marginal branch (medina 1,0,1). View Figure 1

Figure 2: Coronary angiogram in LAO caudal projection showing positioning of the stent in LCX after predilatation (note position of stent in proximal LCX just after the tiny OM vessel). View Figure 2

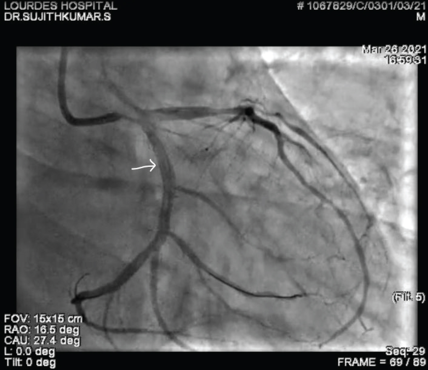
Figure 3: Coronary angiogram in PA caudal projection showing the initial deployed stent position (note position of stent in proximal LCX just after the tiny OM vessel shown by the white arrow). View Figure 3

Figure 4: Stent viz picture showing the stent after initial deployment - note the uniform spacing of the stent strut rings and normal shape of the stent. Note also the wire bias at the proximal edge of the stent. View Figure 4

Figure 5: Coronary angiogram in RAO Caudal projection showing the displaced position of the initial stent after rewiring and dilatation of OM and subsequent passage of balloon catheter for POT (white arrow denotes the new proximal end of the stent away from the small OM vessel). View Figure 5

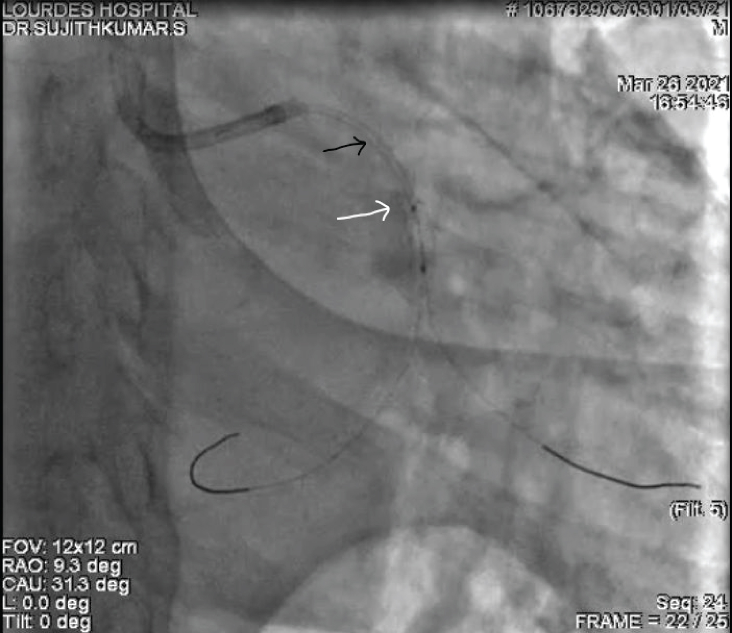
Figure 6: Coronary angiogram in RAO Caudal projection after the rewiring of OM and the passage of post dilatation balloon into the stent (the black arrow denotes the initial position of the stent and the white arrow shows the deformed and displaced proximal end of stent). View Figure 6

Figure 7: Stent viz picture showing the stent after the passage of the post dilatation balloon catheter - note the crowding of the proximal stent struts and deformed proximal end of the stent. View Figure 7

Figure 8: Final coronary angiogram in RAO caudal projection after the deployment of the second stent proximally. View Figure 8

Video 1: Coronary angiogram in LAO caudal view showing stenosis of left circumflex coronary artery and the stent position before deploying.

Video 2: Coronary angiogram in RAO caudal view showing the deformed proximal stent after passing the non compliant balloon in the stent.

Video 3: Coronary angiogram in RAO caudal view showing the final angiogram after deploying the second stent.

This is the first case of reported longitudinal stent deformation, available in literature, with Biomime stent. The possible cause for LSD was the passage of the secondary device (Non compliant balloon) to the distal vessel for post-dilatation. The following reasons facilitated the stent deformation in this case.

1. The Biomime stent platform has ultra thin strut thickness of only 65 µm and made of cobalt-chromium. The stent design is such that the proximal and distal cells of the stent have closed cells. Still the thin strut size and cobalt chromium platform can allow stent deformation to occur.

2. Because of the angulation of the origin of LCX from the left main, there was always a wire bias causing the non-compliant balloon to hit the proximal stent edge while it was attempted to track the balloon, (Figure 4) (Clearly visible in the Stent Viz pictures) causing the longitudinal deformation of the stent.

3. The proximal size of the LCX was around 3.5 mm. Hence the deployed stent would have not been fully opposed to the vessel wall and hence the floating proximal stent edge would have facilitated the stent deformation on passing the non compliant balloon.

With the development of flexible and trackable stents, the stent manufacturers are competing to make the stent struts thinner and thinner and use flexible materials. But this comes at a cost and facilitates the deformation of the stent with minimal force only. This necessitates the operator to be careful in detecting the longitudinal stent deformation, as there are reports of stent thrombosis and restenosis at these sites, although the consequences of LSD are not yet fully known. Williams, et al. reported 2 cases of stent thrombosis at 2 months among the nine cases of longitudinal stent thrombosis which they had identified [7]. Rhee, et al. also described slightly higher rates of target lesion failure with longitudinal stent deformation [2]. The approaches to management of this complication include post-dilatation, with or without stenting of the proximal part of the stent.

The take home message will be to be careful when trying to pass devices or stents into a deployed stent. This is especially important when using stents with thinner struts, cobalt chromium platform stents, lesions where the post-dilatation balloon is taken in to a stent where the proximal part of stent is not fully apposed. Special attention should be taken for the wire bias when tracking devices into a stent especially in angulated segments of coronaries. Every stent deployed should be visualized with any stent visualizing method (like stent boost or stent viz or intravascular imaging) to look for the stent expansion, shortening or the stent strut crowding. As the passage of IVUS or OCT catheters can predispose to the longitudinal stent deformation and add on to the cost, hence a stent visualizing imaging may be an easier and better choice.

Conclusions

Longitudinal stent deformation is a rare complication of angioplasty with stenting which can occur with any of the stents with thinner struts, where secondary devices have to be tracked across the deployed stent. The presence of angulation, wire bias and proximal un-apposed stent will increase the likelihood of this rare complication. A stent visualizing method is necessary after any stent deployed so that LSD can be easily looked for and diagnosed, if present.

Sources of Support (if applicable)

No funding received.

Statement of Equal Authors' Contribution

Not applicable.

References

  1. Arnous S, Shakhshir N, Wiper A, Ordoubadi F, Williams P, et al. (2015) Incidence and mechanisms of longitudinal stent deformation associated with Biomatrix, Resolute, Element, and Xience Stents: Angiographic and case-by-case review of 1,800 PCIs. Catheter Cardiovasc Interv 86: 1002-1011.
  2. Rhee TM, Park KW, Lee JM, Lee MS, Jeon KH, et al. (2017) Predictors and long-term clinical outcome of longitudinal stent deformation: Insights from pooled analysis of Korean multicenter drug-eluting stent cohort. Circ Cardiovasc Interv 10: e005518.
  3. Guler A, Guler Y, Acar E, Aung SM, Efe SC, et al. (2016) Clinical, angiographic and procedural characteristics of longitudinal stent deformation. Int J Cardiovasc Imaging 32: 1163-1170.
  4. Abdel-Wahab M, Sulimov DS, Kassner G, Geist V, Toelg R, et al. (2012) Longitudinal deformation of contemporary coronary stents: An integrated analysis of clinical experience and observations from the bench. J Interv Cardiol 25: 576-585.
  5. Vijayvergiya R, Sharma P, Gupta A, Goyal P, Panda P (2016) Longitudinal stent deformation during coronary bifurcation stenting. Cardiovascular Revascularization Medicine 17: 143-145.
  6. Si D, Tong Y, Yu B, He Y, Liu G (2020) In-stent restenosis and longitudinal stent deformation: A case report. BMC Cardiovasc Disord 20: 24.
  7. Williams PD, Mamas MA, Morgan KP, El-Omar M, Clarke B, et al. (2012) Longitudinal stent deformation: A retrospective analysis of frequency and mechanisms. EuroIntervention 8: 267-274.

Citation

Sujith KS (2024) Angiographically Detected Longitudinal Stent Deformation with Cobalt Chromium Stent: A Case Report. Int J Clin Cardiol 11:293. doi.org/10.23937/2378-2951/1410293