Citation

Abu-Zaid A, Al-Mudhwahi N, Al-Fakih W, Al-Fakih H, Al-Tanobi AA (2024) Closure of (PDA) Patent Ductus Arteriosus by Pericardial Patch through Pulmonary Artery Incision, Heart Beating with Stand-By Cannulated Heart: A Case Report. Int Arch Cardiovasc Dis 8:066. doi.org/10.23937/2643-3966/1710066

Case Report | OPEN ACCESS DOI: 10.23937/2643-3966/1710066

Closure of (PDA) Patent Ductus Arteriosus by Pericardial Patch through Pulmonary Artery Incision, Heart Beating with Stand-By Cannulated Heart: A Case Report

Abu-Zaid Alkanedi1, Nabeel Al-Mudhwahi2, Wadhah Al-Fakih3*, Hisham Al-Fakih4 and Abdull-Albasat Al-Tanobi5

1Senior Consultant Cardiovascular Surgeon, Head of Cardiovascular Surgery Department in Al-Thawra Modern General Hospital, Sana'a, Yemen

2Senior Consultant Cardiovascular Surgeon, Head of Vascular Surgery Department in Al-Thawra Modern General Hospital, Sana'a, Yemen; Associate Professor, Sana'a University, Yemen

3Resident in Cardiovascular Surgery Department in Al-Thawra Modern General Hospital, Sana'a, Yemen; MD Candidate, Sana'a University, Yemen

4Consultant Cardiologist, Cardiology Department Al-Thawra Modern General Hospital, Sana'a, Yemen; MSC, MD Sana'a University, Yemen

5Specialist General Surgery Arab Board, Cardiovascular Surgery Department Al-Thawra Modern General Hospital, Sana'a, Yemen

Abstract

Background: 13-years-old female patient with congenital heart disease in form of large PDA with shortness of breath, atypical chest pain, fatigability, and no cyanosis. There was no change of school performance. Amal underwent PDA closure through pulmonary artery incision following median sternotomy, heart beating.

Case presentation: Echocardiography revealed significant large patent ductus arteriosus 10 mm in diameter with bidirectional shunt due to high pulmonary pressure. The left ventricle within normal size with good contractility. The pulmonary artery is dilated with secondary pulmonary regurgitation, right ventricle is dilated, and right ventricle pressure is elevated with flattening of the interventricular septum and secondary tricuspid regurgitation. Due to the age of patients and large size of PDA, the best approach was sternotomy not left thoracotomy. After exploring the real site and size of PDA, which was deep and short neck, we decided the best approach was through pulmonary incision and closed by pericardial patch with intentionally leaving shunt.

Discussion: In this study we emphasis on the importance of PDA diagnosis and closure, in young patients through pericardial patch, by transpulmonary artery approach. To prevent complications of PDA if untreated.

Conclusion: This case demonstrates the ability to do Trans pulmonary PDA closure by pericardial patch after sternotomy.

Keywords

Congenital heart disease, PDA, Trans-pulmonary incision, Pericardial patch, Beating heart

Introduction

The arterial duct is a vital fetal vascular structure that connects the main pulmonary artery in the immediate vicinity of the origin of the left pulmonary artery with the descending aorta. It is a vessel with variable length and width that has the role of conducting blood from the pulmonary circulation into the aorta in the fetal circulation [1].

Following birth, the lumen is progressively obliterated due to increased oxygen tension and reduced prostaglandin levels and gradually transforms into an arterial ligament within the first year of life. However, in a percentage of newborns, the arterial ductus remains patent, leading to a congenital condition known as patent ductus arteriosus (PDA). Of the total number of congenital heart malformations registered in newborns, PDA represents a percentage of about 6-11% [2].

The timely closure of PDA prevents the development of complications such as heart failure, infectious endocarditis, and arrhythmia. Due to the development of interventional cardiology, percutaneous treatment is of choice in PDA, owing to the low rate of complications, immediate recovery, and favorable postprocedural outcome. Surgical closure is rarely recommended and is opted for when subjects require cardiac surgery for concomitant pathology or are not suitable for the interventional procedure [2].

Data is scarce regarding the incidence of PDA in the adult population, considering these patients are mostly asymptomatic and clinical examination rarely gives the diagnosis of PDA. The condition is diagnosed in most cases incidentally during an echocardiographic examination performed for other clinical cardiac suspicions [3].

Surgical closure of untreated patent ductus arteriosus (PDA) carries a higher risk in adults than in children. The development of endocarditis, congestive heart failure, pulmonary hypertension with pulmonary vascular disease, aneurysm formation, and calcification may all complicate PDA in adults. Patent ductus arteriosus is a relatively common congenital heart disorder. Because they are generally found in children, such defects are rarely seen in adults. A PDA in an adult usually causes dyspnea and palpitations and places the patient at risk for endarteritis and pulmonary hypertension, with ensuing heart failure and death [4].

Case Presentation

A 13-year-old female patient, Amal Dahan, presented to the outpatient clinic of Al-Thawra Modern General Hospital (AMGH) with shortness of breath for 6 months. The dyspnea was exertional and had become more pronouncing in the last 2 months. Associated with easy fatigability, atypical chest pain, and recurrent episodes of chest infection resolved with a short course of apocopate antibiotic, they denied the cyanosis. The patient's past history indicates that she knows about some sort of congenital heart disease diagnosed during preschool age, but she does not remember anything about her condition. The patient's relatives neglect her situation. Patients are literate with good school performance. Negative family history of congenital heart disease and negative history of any habits such as smoking, chewing Kat, or using shamah.

Physical Examination

On physical examination, her vital signs were within normal limits; she appeared conscious and oriented, with no pallor, cyanosis, jaundice, or clubbing. Cardiovascular examination revealed a continuous murmur all over her chest, more pronounced on the left side. A chest examination revealed mild crepitation and soft abdominal pain with audible bowel sounds; she had no lower limb edema.

Investigation

Laboratory findings for the patient revealed a hemoglobin level of 16.2 g/dl, a white blood cell level of 6.5 g/dl, and a platelet level of 256 g/dl. Her estimated sedimentation rate was 8 seconds, C-reactive protein was negative and other laboratory parameters, including liver and kidney function tests, thyroid function tests, viral markers, and random blood sugar, were within normal limits.

Imaging

Echocardiography demonstrated concordant AV and VA connections and normal drain of the systemic and pulmonary veins. Large patent ductus arteriosus, 10 mm in diameter, with bidirectional shunt due to high pulmonary pressure. The left ventricle is within normal size with good contractility. The pulmonary artery is dilated with secondary pulmonary regurgitation, the right ventricle is dilated, and the right ventricle pressure is elevated with flattening of the interventricular septum and secondary tricuspid regurgitation. Associated with signs of severe pulmonary hypertension. The electrocardiogram (ECG) showed a normal sinus rhythm with a regular pattern.

Management

Regarding the length and size of the patent ductus arteriosus, the patient was in need of surgical intervention. Depending on the age of the patient and the size of the PDA, a median sternotomy was performed. After opening the chest wall, the heart contractility was good, with a normal average size. Searching for PDA took about 30 minutes; it was deep, short, and large (12-14 mm). Then we measured the direct pressure from the aorta and pulmonary artery, which revealed the similarity of pressure and indicated the possibility of irreversibility. More than 30 minutes were given to discussion with the pediatric cardiologist for the best next step and with the patient's family. Eventually, direct closure through the pulmonary artery by using a pericardial patch was the final decision to make for this young girl. The heart was connected to the cardiopulmonary machine, but without using cardioplegia (off-pump), an incision was made through the pulmonary artery, and we started to implant the patch after identifying the site of the PDA. By using Proline 5-0, we stitch the pericardial patch to the PDA opening using the matrix method to give a chance for future residual shunting formation. Decannulation was done smoothly, with good local homeostasis and closure of the chest (Figure 1).

Figure 1: Intra-operative photo demonstrate the closed PDA and pericardial patch (the arrows). View Figure 1

Post-Surgical Period

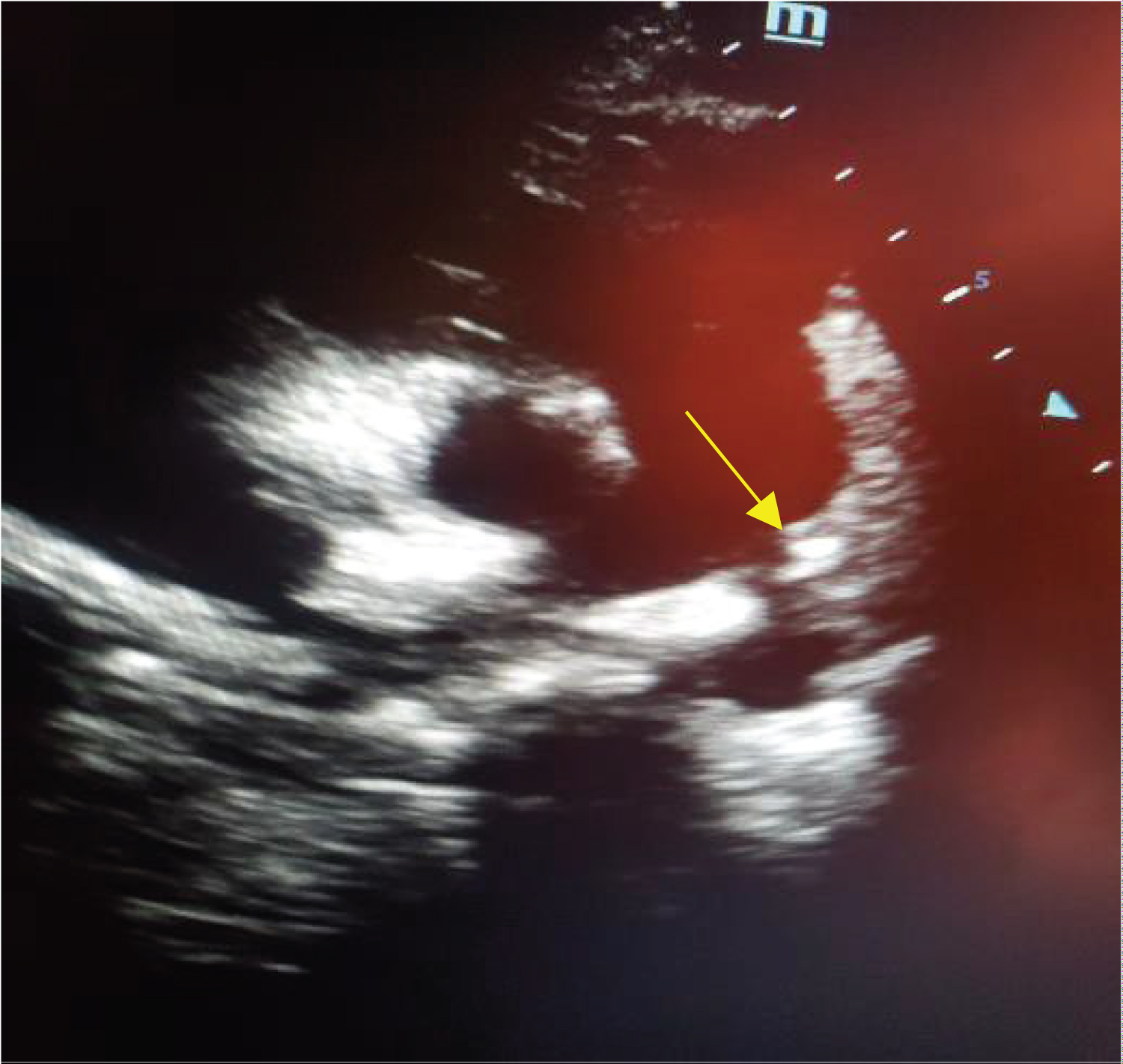
The patient remained in the intensive care unit (ICU) post-surgery for 4 days, which passed smoothly except for two attacks of staring for a few seconds which diagnosed later by EEG, abnormal epileptic attacks. Post-operative echocardiography showed a mild residual shunt through the closed PDA, a residual mild regurgitation, and a mild aortic regurgitation. Right ventricular pressure elevated with flattening of IVS (D-sign + VE) signs of severe pulmonary hypertension. No pericardial effusion (Figure 2).

Figure 2: Echocardiography post-operative demonstrate the closed PDA and pericardial patch with residual shunt (the arrow), Dr. H. Al-Fakih, Cardiologist MD. View Figure 2

Discussion

In May 2000, a 47-year-old woman who had insulin-dependent diabetes mellitus was admitted with shortness of breath and a history of frequent upper-respiratory-tract infections. On auscultation, a continuous murmur was audible at the left upper border of the sternum. Transthoracic echocardiography revealed a PDA. Cardiac catheterization showed substantial blood flow into the pulmonary artery from the aorta. The ratio of pulmonary blood flow-to-systemic flow (Qp/Qs) was 1.8. The systolic pulmonary artery pressure was 50 mmHg. The results of a coronary angiogram were normal. The patient was first seen in the cardiology department and was referred to us for surgical closure of the PDA.

At surgery, a median sternotomy was performed, and cardiopulmonary bypass (CPB) was instituted in the standard fashion by aortic and bi-caval cannulation. While the patient was being cooled, the surgeon performed fingertip occlusion of the pulmonary artery opening of the ductus via the pulmonary arteriotomy in order to prevent backflow from the aorta. When the patient's esophageal temperature was lowered to 20 °C, electrocerebral silence and total circulatory arrest were achieved. The ascending aorta was not cross- clamped. The pulmonary opening of the ductus was 5 mm in diameter and slightly calcified. Primary closure was done with two pledgeted 4-0 polypropylene mattress sutures without the need for a patch. The HTCA time was 5 minutes, and the total CPB time was 67 minutes. Intraoperative transesophageal echocardiography showed no residual shunt. The patient's postoperative course was uneventful, and she was discharged from the hospital on the 7 th postoperative day. When last seen in November 2004, 4½ years after surgery, she was symptom-free, and no residual shunt was found on echocardiography [4].

A total of five cases of surgical closure for PDA were performed in our center. Four subjects were not suitable for percutaneous closure, and one was discovered intraoperatively during surgery for another cardiac condition. In all patients, the closure of the PDA was carried out by means of a suture with reinforced patch threads in a double layer. The intervention was performed with total cardiopulmonary bypass and mild or moderate hypothermia through a transpulmonary approach. Total circulatory arrest was not required in any of the cases. The occlusive balloon technique was applied to all patients. All patients survived the intervention and did not suffer perioperative complications. Postoperative follow-up at 36 months did not show repermeabilization of the arterial duct or aneurysmal dilation of the adjacent aorta. Moreover, all patients showed postoperative improvement in the performance of the left ventricle. In adult patients with PDA and contraindications to percutaneous closure or in those who require surgical sanction for other cardiac diseases, surgical closure of the duct is safe and associated with favorable clinical evolution [2].

Direct closure was made in 5 patients and patch closure in 4 patients. Cardiopulmonary bypass and balloon occlusion were safely established. Cardioplegic arrest was not required in the two most recent patients. No operative deaths have occurred. Pulmonary arterial systolic pressure decreased to 35.3 ± 6.6 mmHg at 6 months after operation. The mean follow-up period for all patients is 55 months. To date, neither recannalization of the ductus nor pseudoaneurysm have been recognized [5].

Our case report is based on the latest guidelines related to the best choice for PDA closure for this young girl. She is 13-years-old, and preoperative echocardiography revealed a large PDA. Depending on these parameters, we decided to do a median sternotomy. Meticulously searching for a PDA was difficult; it was deep, short, and large. The direct pressure between the aorta and pulmonary artery showed the same number. Therefore, we decided to take a pericardial patch and move with a transpulmonary incision to reach PDA. The patch was suturing with the patient showed the success of this technique Placed to close the defect, intently leaving a shunt. Follow-up with the patient showed the success of this technique. The patient remained in the ICU for 4 days and 4 days in the general ward. Follow-up within the subsequent 6 months showed a normal girl.

References

  1. Schneider DJ, Moore JW (2006) Patent ductus arteriosus. Circulation 114: 1873-1882.
  2. Suciu H, Harpa MM, Moraru L, Raicea AD, Raicea VC (2022) Surgical treatment for patent ductus arteriosus in adult patients: A single center experience. Rom J Morphol Embryol 63: 633-638.
  3. Otto CM, Nishimura RA, Bonow RO, Carabello BA, Erwin JP, et al. (2021) 2020 ACC/AHA guideline for the management of patients with valvular heart disease: Executive summary: A report of the American college of cardiology/American heart association joint committee on clinical practice guidelines. Circulation 143: e35-e71.
  4. Gurcun U, Boga M, Badak MI, Ozkisacik EA, Discigil B (2005) Transpulmonary surgical closure of patent ductus arteriosus with hypothermic circulatory arrest in an adult patient. Tex Heart Inst J 32: 88-90.
  5. Toda R, Moriyama Y, Yamashita M, Iguro Y, Matsumoto H, et al. (2000) Operation for adult patent ductus arteriosus using cardiopulmonary bypass. Ann Thorac Surg 70: 1935-1937.

Citation

Abu-Zaid A, Al-Mudhwahi N, Al-Fakih W, Al-Fakih H, Al-Tanobi AA (2024) Closure of (PDA) Patent Ductus Arteriosus by Pericardial Patch through Pulmonary Artery Incision, Heart Beating with Stand-By Cannulated Heart: A Case Report. Int Arch Cardiovasc Dis 8:066. doi.org/10.23937/2643-3966/1710066