Citation

Iraguha D, Namukasa J, Mbabazi HL, Kiggundu B (2024) An Unusual Presentation of Acute Coronary Syndrome in a Young Adult Male with Rheumatic Heart Disease. Int Arch Cardiovasc Dis 8:065. doi.org/10.23937/2643-3966/1710065

Case Report | OPEN ACCESS DOI: 10.23937/2643-3966/1710065

An Unusual Presentation of Acute Coronary Syndrome in a Young Adult Male with Rheumatic Heart Disease

Daniel Iraguha, MBchB, MMED*, Justine Namukasa, MBchB, MMED, Happy Lilian Mbabazi, MBchB, MMED and Brian Kiggundu, MBchB, MMED

Uganda Heart Institute, Uganda

Abstract

Acute coronary syndromes though commonly seen to result from the obstructive coronary artery disease processes particularly among elderly patients with traditional risk factors, it could also present as MINOCA-myocardial Infarction in Non-obstructive coronary artery disease particular in the younger patients where a high index of suspicion is required to determine particular mechanism could have offset it given their etiological heterogenicity.

We present 30 yr adult male known to have Rheumatic heart disease who was two years post-mechanical valve replacement for both the mitral and aortic valves presenting with typical chest pain. He had been lost to follow up for 3 months and discovered to have sub-optimal INR readings. Baseline investigational assessment confirmed the ACS-STEMI with the patient benefiting from thrombus aspiration and optimization of his anticoagulation after a failed attempt at thrombolyisis.

Keywords

Acute coronary syndrome, Rheumatic heart disease, Coronary embolism, Mechanical valve

Introduction

Acute coronary syndromes related to MINOCA particularly one following a coronary embolic event may have a rare occurrence, some patients with Rheumatic Heart Disease post-prosthetic mechanical valve replacement have been manifest this picture. This differential diagnosis warrants a high index of clinical suspicion especially if they present with chest pain symptoms on a background of poor INR monitoring. Confirmation of the suspicion being done through prompt assessments of electrocardiographic capture and blood work inclusive of which are troponin and INR measurements, aimed at quick intervening for favourable outcomes.

Case Report

A 30-year-old male known to have Rheumatic heart disease for two years and post-mechanical valve replacement for severe incompetent lesions of his mitral and aortic valves that had been incidentally picked on an echocardiographic training session that offset his surgery a year after his diagnosis. Since then, he reported consistency on his medications Benzathine penicillin and Warfarin. Presenting at the Uganda Heart Institute emergency, his main complaint was typical chest pain that had developed while undertaking his usual routine exercises of skipping a rope. The chest pain lasted about 20 minutes prior to getting to the hospital. He had no traditional risk factors like hypertension, Diabetes Mellitus or high risky behavior like cigarette smoking or using other substances of abuse like cocaine. He, however, admitted to having been lost to follow up for the past 3 months with a sub-therapeutic international ratio (INR) of 1.8 on his last review for which the target INR is 2.5-3.5.

Examination: Young adult male in pain with no pallor, jaundice, oedema and afebrile. His cardiovascular assessment revealed a pulse rate of 72 beat per minute normal volume and regular with a blood pressure 108/62 mmHg, apex beat was nondisplaced with heart sounds I and II heard with no added sounds or murmurs. He had a normal respiratory examination assessment with good saturations and a clear chest. The central nervous system assessment revealed a fully conscious being with no focal neurologic deficits.

The management plan at initial contact was to run baseline assessments of blood work inclusive being a troponin, INR, an electrocardiogram (ECG) and echocardiogram (ECHO) while managing the presenting chest pain symptoms with a possible plan for coronary revascularization if this need arose.

The initial electrocardiogram a sinus bradycardia HR-50 bpm normal axis with broad based tall T waves in especially in V4 and V5 (Figure 1a). Subsequent ECG trending revealed, sinus rhythm with ST segment elevation in antero-septal territories as shown in Figure 1b.

Figure 1: a) Hyper acute T waves; b) Showing antero-septal STEMI. View Figure 1

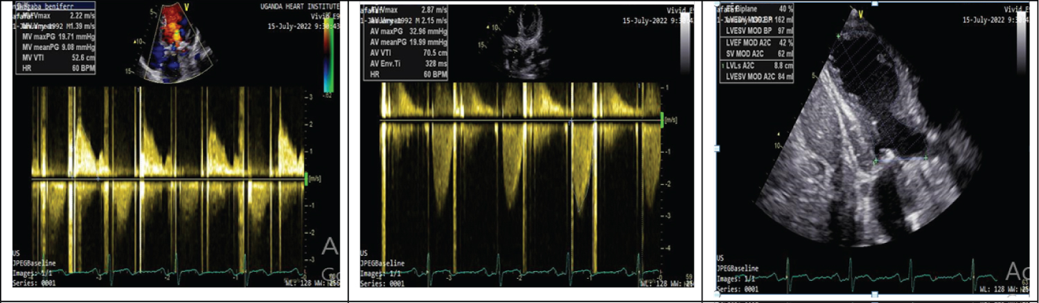
The trans-thoracic echocardiogram done prior to the coronary intervention revealed normal cardiac chambers, mild hypokinesia in the mid left ventricular antero-septal segments with mild Left ventricular systolic dysfunction. The mechanical prosthetic valves in the mitral and aortic valve positions were visualized with normal disc motion of the respective valves, with mildly elevated pressure gradients (PGs) across both valves for which mitral valve mean/max-9/19 mmHg and Aortic valve mean/max-19/32 mmHg (Figure 2).

Figure 2: a) Mitral valve PGs; b) Aortic valve PGs; c) Mod LV systolic dysfunction. View Figure 2

A decision to give thrombolytic therapy was undertaken however this turned out to be failed thrombolysis (persistent ST segment elevation and chest pain) prompting percutaneous coronary intervention for which the findings were a left dominant coronary system with a total thrombotic occlusion of the mid left anterior descending coronary artery as illustrated in Figure 3. Thrombus aspiration was performed to restore TIMI II flow with cessation of the chest pain.

Figure 3: a) Non-dominant right coronary system; b) Total thrombotic occlusion of the mid LAD. View Figure 3

He subsequently had his anti-coagulation therapy optimized with warfarin and low molecular weight heparin as well as accompanying anti-platelet of Aspirin in a bid to achieve the target INR and manage the on-going acute coronary event. The patient fared well post PCI with no more chest pain and was discharged 2 days later in a stable state with an optimized INR. He has continued to do well on subsequent outpatient reviews with an observed improvement in the cardiac function and the gradients across the mechanical valves and better time in therapeutic range.

Discussion

Acute coronary syndromes (ACS) particularly those related to Myocardial infarction in non-obstructive coronary arteries account for a prevalence of up to 15% for which the pathological mechanisms are heterogeneous with Coronary embolism (CE) being one of them as was seen for our patient [1,2]. We believe our patient suffered this type of event owing to the fact that he was a 30-year-old adult male of African descent post double mechanical valve replacement, with 3 months lost to follow-up and sub-optimal INR readings [3,4]. He did not have any known traditional risk factors like Hypertension, Diabetes mellitus, dyslipidaemia or any high-risk behavior of smoking or using substances of abuse like cocaine which are seen to occur in the obstructive coronary artery disease [2,5]. We believe the sole contributor to our patient’s presentation was the three month’s loss to follow-up period in which he was sub-optimally anti-coagulated with reference to guidelines on idea INR readings on mechanical valves [3,4]. This clinical history was particularly important in this rheumatic heart disease patient with double valve replacement of both mitral and Aortic valves for which double valve replacement markedly increases the risk of Mechanical valve thrombosis and hence the source for our coronary embolism. The mildly elevated pressure PGs across both mechanical valves could likely be related to mechanical valve thrombosis however other differentials like panus formation and vegetations may be possible but rank low for this particular patient [6].

Postmortem and angiographic studies have shown the prevalence of CE to varies between 3%-15% with the etiological factors varying depending on the studies and population [7]. Other than mechanical prosthetic valves which were the case for our patient, other factors that contribute to the occurrence of CE include: Atrial fibrillation, cardiomyopathy, valvular heart disease and septic emboli of infective endocarditis [7-9]. As literature has revealed a definitive diagnosis of CE can be a challenge and at times being missed especially in the absence of a high clinical suspicion, however with the use of national cerebral and cardiovascular criteria (NCVC) for CE a definitive diagnosis is possible [10]. In reference to the NCVC, our patient had a definitive diagnosis after checking on major criteria: Total thrombotic lesion of his mid left anterior descending artery) and two of the minor criteria: Presence of Rheumatic heart disease with prosthetic mechanical valves [10].

The treatment options for an ACS in the setting of CE can include either medical or invasive therapies depending on the nature of presentation of the patient. Fairly stable patients may suffice to receive the former which entails the use of analgesics, antiplatelet and thrombolytic therapies while the latter strategy which involves procedures like thrombus aspiration and angioplasty may apply more to the unstable patients [9,11]. Our patient though ended up in the catheterization for a thrombus aspiration, he was initially received medical care in form of analgesic and anti-thrombolytic agents as described in his presentation owing to the fact that the initial assessments on ECG and troponin assessments weren’t striking with a tall, tented T wave in V5 & V6 and negative troponin. However, the subsequent trending of assessments revealed a ST segment elevation and positive troponin results that prompted the use of a thrombolytic agent (Tenecteplase) as arranging a Cath-team in the shortest time possible wasn’t feasible at the time, which unfortunately was unsuccessful necessitating a percutaneous coronary intervention in form of thrombus aspiration. Following this our team then optimized his anti-anticoagulant therapy by adding low molecular weight heparin to the warfarin and Aspirin he had been on for the remaining few days he was in the hospital. The presenting symptoms of chest pain all subsided, and he was counseled again to have consistent follow-up to ensure adequate time in the therapeutic range. The subsequent echo that followed while in the medical OPD revealed a slight improvement in cardiac function congruent with a maintained ability to carry on with his physical activity.

Conclusion

Acute coronary syndromes of the MINOCA entity particularly those of CE should not be overlooked in rheumatic heart disease patients post-mechanical valve replacement more so that most are negative for the traditional cardiovascular risk factors for these syndromes.

Acknowledgement

I would like to acknowledge our patient for accepting to have his case written up as well as all the medical personnel that played a role in ensuring that he had a successful outcome during his hospital stay.

Conflict of Interest

Authors declare no conflict of interest.

Source of Financial Support

Nil.

Statement of Author Contribution

Daniel Iraguha wrote the manuscript, Daniel Iraguha, Justine Namukasa, Happy Lilian Mbabazi conducted patient interview, all authors contributed to interpretation of the case, and all authors reviewed the final manuscript.

References

  1. Choo EH, Chang K, Lee KY, Lee D, Kim JG, et al. (2019) Prognosis and predictors of mortality in patients suffering myocardial infarction with non-obstructive coronary arteries. J Am Heart Assoc 8: e011990.
  2. Yildiz M, Ashokprabhu N, Shewale A, Pico M, Henry TD, et al. (2022) Myocardial infarction with non-obstructive coronary arteries (MINOCA). Front Cardiovasc Med 9: 1032436.
  3. Kaneko T, Aranki SF (2013) Anticoagulation for prosthetic valves. Thrombosis 2013: 346752.
  4. Carabello BA, Chatterjee FK, Lytle BW (2008) 2008 focused update incorporated into the ACC/AHA 2006 guidelines for the management of patients with valvular heart disease. JACC 52: e1-e142.
  5. Ko DT, Wijeysundera HC, Udell JA, Vaccarino V, Austin PC, et al. (2014) Traditional cardiovascular risk factors and the presence of obstructive coronary artery disease in men and women. Can J Cardiol 30: 820-826.
  6. Lim WY, Lloyd G, Bhattacharyya S (2017) Mechanical and surgical bioprosthetic valve thrombosis. Heart 103: 1934-1941.
  7. Popovic B, Agrinier N, Bouchahda N, Pinelli S, Maigrat CH, et al. (2018) Coronary embolism among ST-segment-elevation myocardial infarction patients: Mechanisms and management. Circ Cardiovasc Interv 11: e005587.
  8. Crump R, Shandling AH, Van Natta B, Ellestad M (2000) Prevalence of patent foramen ovale in patients with acute myocardial infarction and angiographically normal coronary arteries. Am J Cardiol 85: 1368-1370.
  9. Lacey MJ, Raza S, Rehman H, Puri R, Bhatt DL, et al. (2020) Coronary embolism: A systematic review. Cardiovasc Revasc Med 21: 367-374.
  10. Daoud H, Abugroun A, Erramilli S, Kumar S (2019) Acute coronary syndrome (ACS) due to coronary artery embolism in a patient with atrial fibrillation. Case Rep Cardiol 2019: 9347198.
  11. Ortega-Paz L, Galli M, Capodanno D, Brugaletta S, Angiolillo DJ (2022) The role of antiplatelet therapy in patients with MINOCA. Front Cardiovasc Med 8: 821297.

Citation

Iraguha D, Namukasa J, Mbabazi HL, Kiggundu B (2024) An Unusual Presentation of Acute Coronary Syndrome in a Young Adult Male with Rheumatic Heart Disease. Int Arch Cardiovasc Dis 8:065. doi.org/10.23937/2643-3966/1710065