Citation

Kaur M (2025) When Stones Speak: E. coli Sepsis Leading to the Diagnosis of Hyperparathyroidism. Clin Med Rev Case Rep 12:472. doi.org/10.23937/2378-3656/1410472

Clinical Case | OPEN ACCESS DOI: 10.23937/2378-3656/1410472

When Stones Speak: E. Coli Sepsis Leading to the Diagnosis of Hyperparathyroidism

Mandeep Kaur*

Hospitalist, HCA Capital Regional Medical Center, Tallahassee, Florida, USA

Abstract

We describe a 64-year-old woman with hypertension and gastroesophageal reflux disease who presented with fever, chills, and abdominal discomfort. Evaluation revealed an obstructive right-sided ureteral stone with sepsis due to Escherichia coli bacteremia. Urological intervention with cystoscopy and ureteral stent placement was performed. The case was further complicated by hypercalcemia secondary to primary hyperparathyroidism, likely contributing to recurrent nephrolithiasis, and sepsis-associated thrombocytopenia. A nuclear medicine parathyroid scan demonstrated a right-lobe-adjacent mass consistent with adenoma. This case highlights the intersection of obstructive uropathy, infection, and metabolic abnormalities, underscoring the importance of comprehensive diagnostic evaluation and multidisciplinary management in patients presenting with complicated urinary tract infections.

Introduction

Complicated urinary tract infections (UTIs) with bacteremia carry high morbidity, particularly in the setting of obstructive uropathy. Delay in recognition and source control can lead to septic shock and multi-organ dysfunction. Furthermore, recurrent stone disease should prompt investigation for underlying metabolic causes. We report a patient with obstructive ureteral stone complicated by E. coli sepsis and incidentally diagnosed primary hyperparathyroidism, illustrating the convergence of infectious, urologic, and endocrine disease.

Case Presentation

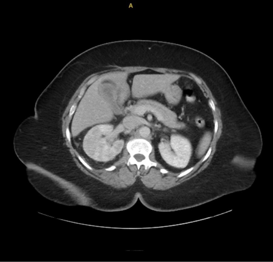
A 64-year-old woman with hypertension and gastroesophageal reflux disease presented with abdominal pain, nausea, vomiting, and fevers for 3 days. On admission, she was tachycardic (HR 110), with blood pressure 133/79 mmHg and temperature 38°C. Laboratory evaluation revealed leukocytosis (WBC 15.5 ×103/µL), lactic acidosis, and thrombocytopenia. Urinalysis was positive for infection with 20 WBC, 10-20 RBCs and Positive Leukocyte Esterase and Nitrites. CT abdomen and pelvis revealed an 8 × 4 mm proximal right ureteral stone with right-sided Uretral Stone and perinephric stranding (Figures 1 and 2).

Figure 1: CT abdomen/pelvis (axial) showing patchy right renal cortical enhancement and perinephric edema consistent with obstructive pyelonephritis. View Figure 1

Figure 2: CT abdomen/pelvis (coronal) demonstrating an 8 × 4 mm right proximal ureteral stone with right-sided hydroureter and perinephric stranding. View Figure 2

Hospital course

The patient was started on IV ceftriaxone and fluids. Urology was consulted, Infectious Disease and Nephrology were consulted. Blood cultures grew E. coli (2/2 bottles). Urology performed cystoscopy with ureteral stent placement, confirmed fluoroscopically (Figure 3). Infectious Disease recommended ceftriaxone 2 g IV daily.

Figure 3: Intraoperative fluoroscopy image confirming placement of a right ureteral stent (arrowhead). View Figure 3

Complications and workup

Hypercalcemia

Labs revealed Serum calcium 11.0 mg/dL with elevated parathyroid hormone (179 pg/mL) and low 25-hydroxy vitamin D. Patient was treated with IV Hydration and Zoledronic Acid. Nuclear medicine parathyroid scintigraphy demonstrated persistent uptake adjacent to the right thyroid lobe, consistent with adenoma (Figure 4). General surgery was consulted for possible parathyroidectomy.

Figure 4: Nuclear medicine Tc-99m sestamibi parathyroid scan (early and delayed anterior/oblique views) demonstrating persistent uptake adjacent to the right thyroid lobe, suggestive of parathyroid adenoma View Figure 4

Thrombocytopenia

Transient decrease in platelets, consistent with sepsis-associated thrombocytopenia, without bleeding.

AKI

Mildly elevated creatinine, consistent with obstructive uropathy, which normalized after stent placement.

The patient improved with antibiotics, stent decompression, and supportive management, and was discharged with outpatient follow-up for endocrine surgery (Table 1).

Table 1: Timeline of events. Date (2025): Event Aug 22: Presentation with fever, tachycardia, abdominal pain. CT: 8×4 mm right ureteral stone. Blood cultures grew E. coli. Urology placed stent. Started IV ceftriaxone. Aug 23-24: Stabilization of sepsis; thrombocytopenia noted. Persistent hypercalcemia identified. Aug 26: Nuclear medicine sestamibi scan: Right-lobe–adjacent persistent uptake (adenoma suspected). Surgery consulted. Aug 27: Renal function normalized, lactic acidosis resolved. Continued IV ceftriaxone. Sept 9 (planned): Completion of IV ceftriaxone. Endocrine surgery follow-up arranged.View Table 1

Discussion

This case demonstrates the intersection of obstructive uropathy, infection, and endocrine disease. Obstructing stones complicated by infection represent a medical emergency, with mortality up to 20-40% without timely decompression [1]. AUA guidelines recommend immediate source control with ureteral stent or percutaneous nephrostomy plus antibiotics [2]. Our patient underwent urgent stent placement with clinical improvement.

E. coli is the leading cause of complicated UTIs, responsible for 70-80% of cases [3]. Bacteremic UTIs carry higher morbidity [4], and empiric therapy with broad-spectrum parenteral agents followed by de-escalation is recommended [5]. IDSA guidelines support ceftriaxone in stable bacteremic patients [6], as was used here.

The incidental diagnosis of primary hyperparathyroidism (PHPT) was clinically significant. PHPT is the most common cause of outpatient hypercalcemia [7] and predisposes to nephrolithiasis in 15-20% of patients [8]. Conversely, up to 5% of stone formers have undiagnosed PHPT [9]. Excess PTH increases bone resorption and renal calcium reabsorption, producing hypercalciuria and stone risk [10]. Tc-99m sestamibi scintigraphy, while nonspecific, localizes adenomas with ~80-90% sensitivity [11]. Surgery is indicated in symptomatic PHPT, particularly with nephrolithiasis, as it reduces recurrence and prevents CKD [12].

Thrombocytopenia, seen here, complicates up to 45% of sepsis cases [13] and reflects consumption and immune-mediated destruction. It is both a marker of severity and an independent predictor of mortality [14].

In summary, this case highlights the importance of prompt decompression in obstructive urosepsis, recognition of systemic contributors to stone disease, and multidisciplinary management. Identifying PHPT in a septic stone patient not only explained her predisposition but also allowed preventive surgical planning.

Learning points / clinical pearls

• Obstructive urolithiasis with sepsis is a urologic emergency requiring immediate source control.

• E. coli bacteremia is the predominant cause of complicated UTIs.

• Primary hyperparathyroidism is an underrecognized cause of recurrent nephrolithiasis.

• Nuclear medicine parathyroid imaging supports localization but must be interpreted with biochemical data.

• Sepsis-associated thrombocytopenia is common and prognostically significant.

• Multidisciplinary collaboration ensures both acute management and long-term prevention.

References

  1. Wagenlehner FME, Johansen TEB, Cai T, Koves B, Kranz J, et al. (2020) Epidemiology, definition and treatment of complicated urinary tract infections. Nat Rev Urol 17: 586-600.
  2. Assimos D, Krambeck A, Miller NL, Monga M, Murad MH, et al. (2016) Surgical management of stones: American urological association/endourological society guideline, part 1. J Urol 196: 1153-1160.
  3. Flores-Mireles AL, Walker JN, Caparon M, Hultgren SJ (2015) Urinary tract infections: Epidemiology, mechanisms, and treatment options. Nat Rev Microbiol 13: 269-284.
  4. Foxman B (2003) Epidemiology of urinary tract infections: Incidence, morbidity, and economic costs. Disease-a-Month 49: 53-70.
  5. Tamma PD (2021) Antibiotic stewardship for gram-negative bacteremia. JAMA.
  6. Gupta K, Hooton TM, Naber KG, Wullt B, Colgan R, et al. (2011) International clinical practice guidelines for the treatment of acute uncomplicated cystitis and pyelonephritis in women: A 2010 update by the infectious diseases society of America and the European society for microbiology and infectious diseases. Clinical Infectious Diseases 52: e103-e120.
  7. Fraser WD (2009) Hyperparathyroidism. Lancet 374: 145-158.
  8. Silverberg SJ, Shane E, Jacobs TP, Siris ES, Gartenberg F, et al. (1990) Nephrolithiasis and bone involvement in primary hyperparathyroidism. Am J Med 89: 327-334.
  9. Yeh MW (2018) The diagnosis and management of primary hyperparathyroidism. J Clin Endocrinol Metab.
  10. Khan SR, Pearle MS, Robertson WG, Gambaro G, Canales BK, et al. (2016) Kidney stones. Nat Rev Dis Primers 25.
  11. Johnson NA (2011) Accuracy of sestamibi scanning for parathyroid adenoma localization. Head Neck.
  12. Wilhelm SM, Wang TS, Ruan DT, Lee JA, Asa SL, et al. (2016) The American association of endocrine surgeons guidelines for primary hyperparathyroidism. JAMA Surg 151: 959-968.
  13. Venkata C, Kashyap R, Farmer JC, Afessa B, et al. (2013) Thrombocytopenia in adult patients with sepsis. Incidence, risk factors, and its association with clinical outcome. J Intensive Care Med 1: 9.
  14. Levi M (2018) Coagulopathy in sepsis: Pathogenesis and clinical implications. Crit Care Med.

Citation

Kaur M (2025) When Stones Speak: E. coli Sepsis Leading to the Diagnosis of Hyperparathyroidism. Clin Med Rev Case Rep 12:472. doi.org/10.23937/2378-3656/1410472