Citation

Dewi PR, Niryana IW, Golden N, Gotra IM, Widyadharma IPE (2023) An Unusual Case of Atypical Meningioma Mimicking as High-Grade Astrocytoma: A Case Report. Clin Med Rev Case Rep 10:429. doi.org/10.23937/2378-3656/1410429

Case Report | OPEN ACCESS DOI: 10.23937/2378-3656/1410429

An Unusual Case of Atypical Meningioma Mimicking as High-Grade Astrocytoma: A Case Report

Putri Rossyana Dewi1, I Wayan Niryana2, Nyoman Golden2, I Made Gotra3 and I Putu Eka Widyadharma1*

1Department of Neurology, Sanglah General Hospital and Udayana University, Bali, Indonesia

2Department of Neurosurgery, Faculty of Medicine, Udayana University/Sanglah General Hospital, Bali, Indonesia

3Department of Pathology Anatomic, Faculty of Medicine Udayana University/Sanglah General Hospital, Bali, Indonesia

Abstract

Background: Meningiomas are the most common non-glial primary tumors of the central nervous system and extra-axial neoplasms. The annual incidence of meningioma is around 1,28 and 7,8 of 100.000 based on the worldwide data registries. Meningiomas vary based on the clinical findings, imaging, and histopathology from benign to malignant types.

Case presentation: A 63-year-old female presented with progressive headache and visual disturbances in the last two months before admission. She also complained of a limp on the left side in the previous two weeks. General physical examination revealed bilateral visual acuity 1/300, cranial nerve deficits, motor deficits shown as left flaccid hemiparesis, and positive Babinski reflex on the left foot. CT Scan was done suggesting primary brain tumor suspect high-grade astrocytoma while the histopathological study showed atypical meningioma (WHO grade II).

Discussion: The most frequent clinical findings in grade II and III meningiomas, respectively, are motor deficit, cranial nerve deficits, seizures, protrusion of the skull, intracranial hypertension, superior cortical function deficits, headache, and incidental. The imaging of meningiomas WHO grade II and WHO grade III is extra-axial mass with irregular demarcation, intratumorally necrotic areas, extensive brain edema, and changes of the bone.

Conclusions: The imaging of atypical meningiomas WHO grade II and anaplastic meningiomas WHO grade III are various. Histopathology analysis is the gold standard to define it.

Keywords

Atypical meningioma, Case report, High-grade astrocytoma, Meningioma

Abbreviations

CBTRUS: Central Brain Tumor Registry of the United States; WHO: World Health Organization; CT: Computed Tomography; MRI: Magnetic Resonance Imaging; PET: Positron-Emission Tomography

Background

Meningiomas are the most common non-glial primary tumors of the central nervous system and extra-axial neoplasms [1]. The prevalence of meningiomas is 53 of 100.000 people worldwide, and 35.5% is found in Asian and African people [2,3]. The annual incidence of meningioma is around 1,28 and 7,8 of 100.000 based on the worldwide data registries [4]. Some studies found that meningioma incidence often occurs in females instead of males in middle age [1,4]. Data from the Central Brain Tumor Registry of the United States (CBTRUS) showed incidence among females is twofold higher in females, with the female and male ratio approximately 2:1 [5].

Meningiomas vary based on the clinical findings, imaging, and histopathology from benign to malignant types. Meningiomas are classified into three types based on their histopathology characteristics and recurrence regarding World Health Organization (WHO) [3]. The types of meningiomas are benign meningioma (WHO grade I), atypical meningioma (WHO grade II), and anaplastic or malignant meningioma (WHO grade III) [6]. The recurrence rate of meningioma WHO grade I, WHO grade II, and WHO grade III are 7-25%, 29-52%, and 50-94% consecutively [2].

Meningiomas are often present as solitary extra-axial intracranial tumors. The location of meningiomas is mostly 50% along the skull base, 40% along the calvaria convexity, 10% along the parasagittal region, and minor cases are multiple lesions. Diagnosis of meningioma is established based on clinical, imaging findings including computed tomography (CT) scan, magnetic resonance imaging (MRI), positron emission tomography (PET), as well as histopathologic characteristics. The histopathologic sample is obtained by invasive procedure during biopsy or resection so that imaging becomes a non-invasive way to diagnose meningiomas. Around 72-85% of typical meningiomas are found on head CT scan presenting as circumscribed lobular mass with broad-based dural attachment. On CT scan, non-contrast was found homogenous and hyperdense extra-axial groups while contrast administration showed homogenous enhancement. Calvaria bone changes are also found on CT scans, including hyperostosis or osteolysis, with the prevalence of hyperostosis between 25-49% of all meningiomas characterized by thickening of the bones [4,7]. The atypical of meningioma will be discussed in this case report.

Case Presentation

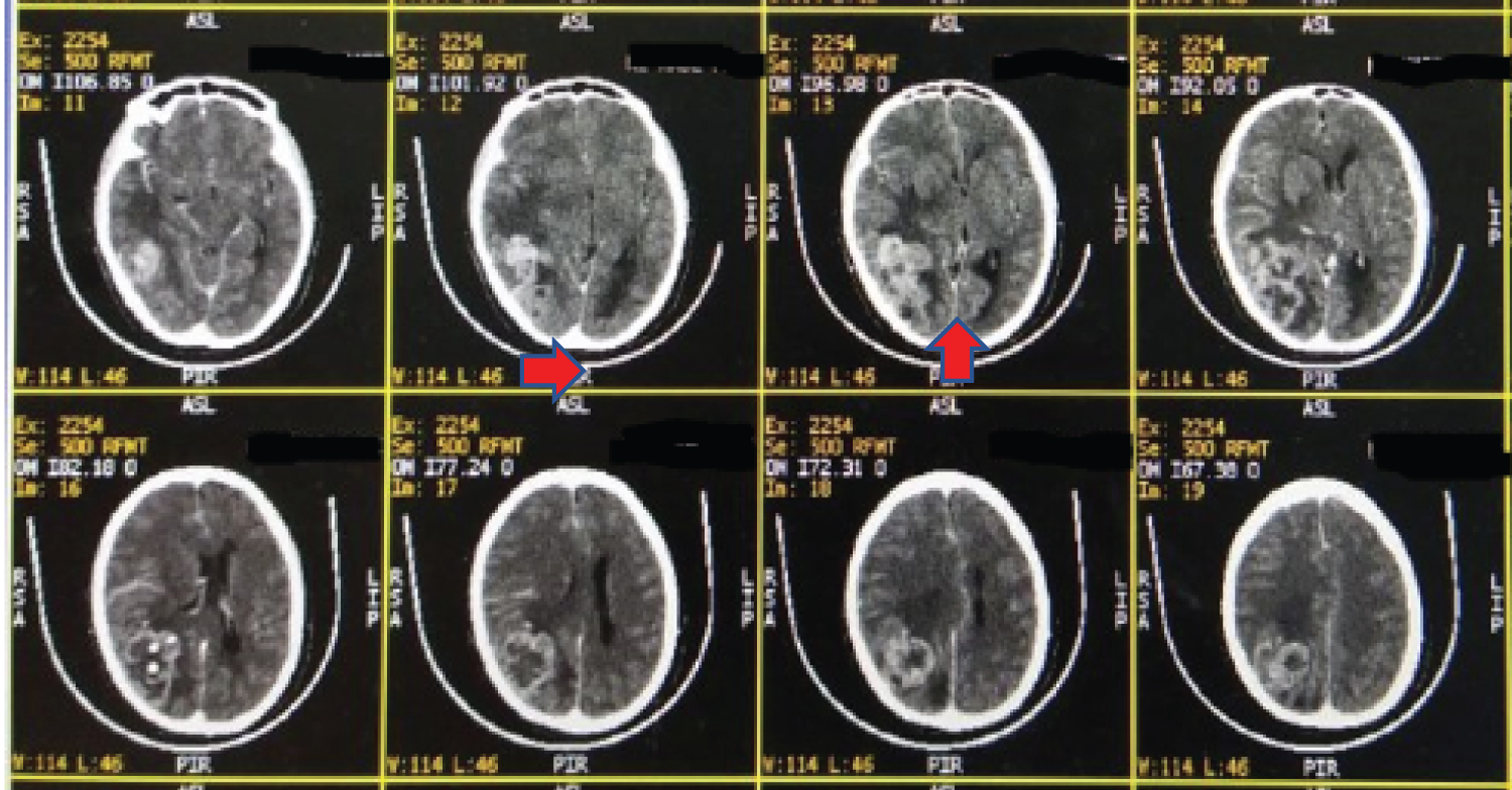
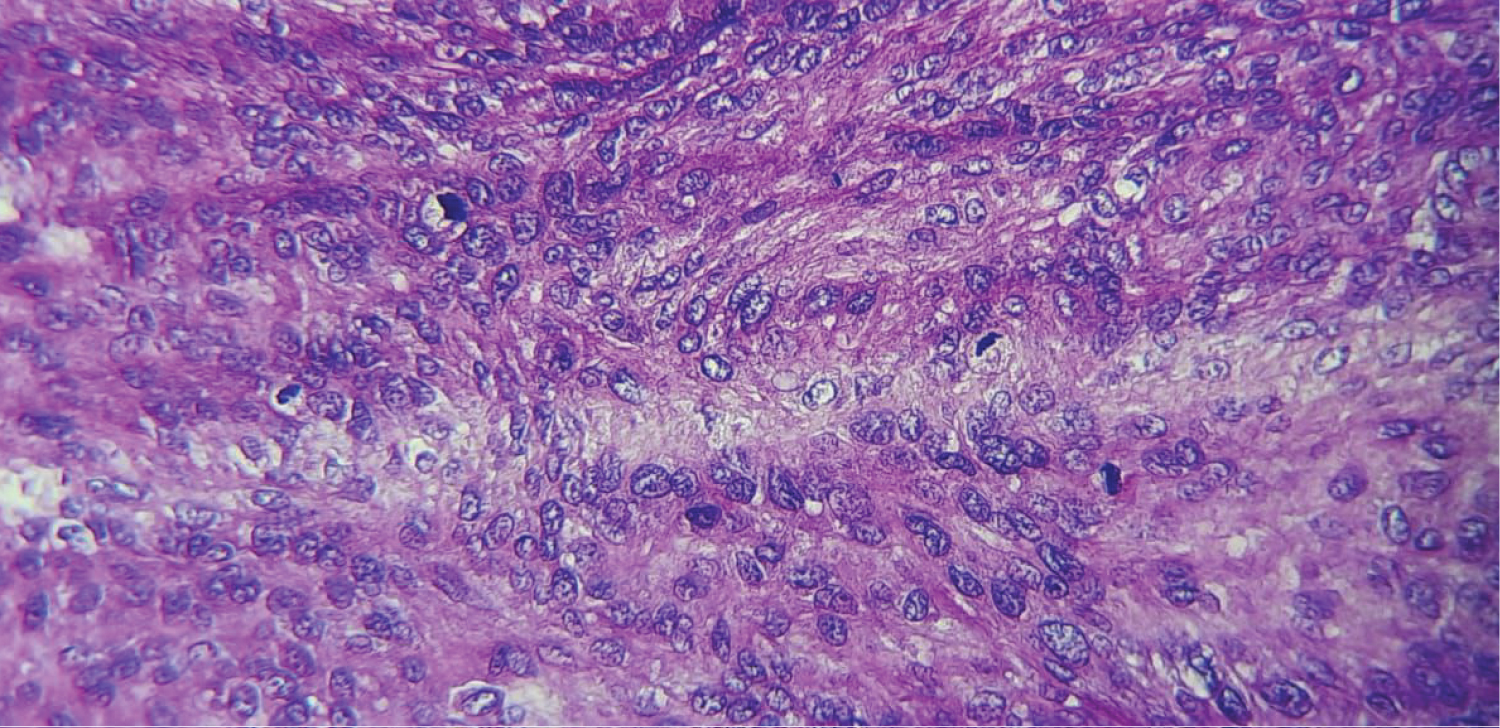
A 63-year-old female presented with progressive headache and visual disturbances in the last two months before admission. She also complained of a limp on the left side in the previous two weeks and was progressive until she couldn't lift her extremities. Vomit is also presented at the time she was admitted to the hospital. General physical examination revealed bilateral visual acuity 1/300, cranial nerve deficits, motor deficits shown as left flaccid hemiparesis, and positive Babinski reflex on the left foot. CT scan with the administration of contrast was done (Figure 1 and Figure 2) and showed a single iso-dense lobulated supratentorial intra-axial solid mass, defined by the irregular border with a distinctive central necrotic and multiple calcified components, measured +/- 5.9 × 4.6 × 4.9 cm, which after contrast administration showed enhancement ring on the right parietooccipital lobe, accompanied by vasogenic edema area, leading to narrowing of the anterior-posterior horn of the right lateral ventricle, third ventricle, and right ambient cisterna, and causing midline shift to the left of +/- 1 cm, suggesting a primary malignant brain tumor, suspected high-grade astrocytoma, calcification of the falx cerebri in the posterior aspect, hypo pneumatization accompanied by left mastoiditis, hypo-pneumatization accompanied by bilateral sphenoid sinusitis. The tumor was resected, and histopathological analysis showed tumor mass with increased cellularity consisting of the proliferation of neoplastic cells forming a diffuse pattern. These neoplastic cells with oval to spindle spherical morphology, mild-moderate pleomorphic nuclei, hyperchromatic, partially with visible nuclei. Mitotic rate showed 14 per 10 high-power fields. Nuclear holes and pseudo-inclusion are visible. The proliferation of blood vessels, tumor cells surrounding the geographic necrosis area, dilation of blood vessels, and bleeding are also visible in this tissue. In another focus, it appears that neoplastic cells are arranged in irregular fasciculus with spindle morphology, narrow eosinophilic cytoplasm, pleomorphic, irregular nuclear membrane, hyperchromatic, partly vesicular chromatin with visible sub-nuclei, and clear cytoplasm (clear cell). The morphology's conclusion follows atypical meningioma (WHO grade II) as shown in Figure 3 and Figure 4.

Figure 1: CT scan without contrast showed a single iso-dense lobulated supratentorial intra-axial solid mass, defined by the irregular border with an irregular central necrotic and multiple calcified components, measured +/- 5.9 × 4.6 × 4.9 cm. View Figure 1

Figure 2: CT scan with contrast showed that enhancement ring on the right parietooccipital lobe, accompanied by vasogenic edema area causing midline shift to the left of +/- 1 cm, suggesting a primary malignant brain tumor, suspected high-grade astrocytoma. View Figure 2

Figure 3: Hematoxylin and Eosin staining (x40) showed diffuse pattern. View Figure 3

Figure 4: Hematoxylin and Eosin staining (x400) showed neoplastic cells with ovoid to spindle spherical morphology, mild-moderate pleomorphic nuclei, hyperchromatic, partially with visible nuclei. Mitotic rate showed 14/10 within field of view. View Figure 4

Discussion

The prevalence of meningiomas is estimated at 4.52 per 100,000 persons during 1998-2002 and significantly increased 8.3 per 100,000 persons during 2010-2014 [8]. Some of the studies showed meningiomas often occur in females with the female and male ratio is 2:1 in the middle-aged [1,4,5]. Based on the epidemiology study of Ardhini, et al. [9], the primary brain tumors, including meningiomas, were more common in females than males, with the percentage 61.7% and 38.3% consecutively. In this case report, the patient is 63-years-old female diagnosed with atypical meningioma (WHO grade II) based on histopathological examination, consistent with the previous studies as explained above.

The patient was described as having a progressive headache, motor deficits or hemiparesis on the left side, and decreased visual acuity in the past two months. Based on the study of Colli, et al. in Brazil [10], the most frequent clinical findings in grade II and III meningiomas, respectively, are motor deficit, cranial nerve deficits, seizures, protrusion of the skull, intracranial hypertension, superior cortical function deficits, headache, and incidental. Clinical symptoms of meningiomas vary depending on the tumor location, such as chronic progressive headaches, focal neurological deficits including visual disturbances, cranial nerve deficits, motor deficits, or seizures [10,11].

This case showed the CT scan was a single iso-dense lobulated supratentorial intra-axial solid mass, defined by the irregular border with a distinctive central necrotic and multiple calcified components, which on contrast showed enhancement ring contrast, on the right parietooccipital lobe, accompanied by vasogenic edema area, suggesting a primary malignant brain tumor, suspected high-grade astrocytoma. Meningiomas are extra-axial lesions in which CT scan showed intralesional calcification and bony changes. The location of cancer can be seen along the convexity, also generally present as a solitary lesion [7,8]. Imaging atypical meningiomas WHO grade II or meningiomas WHO grade III have a wide range; hence, it is tough to differentiate them solely based on clinical and imaging like the case above. Based on the literature, the imaging of meningiomas WHO grade II and WHO grade III is extra-axial mass with irregular demarcation, intratumorally necrotic areas, extensive brain edema, and changes of the bone. Histopathology analysis is the gold standard to differentiate them well [4,7].

The histology patterns of meningiomas can be seen mimicking another soft tissue tumor; therefore, numerous variants of meningiomas from each WHO grading. Atypical meningiomas WHO grade II showed mitotic rate 4-19 per 10 high-power fields or brain invasion or three or five of these criteria: spontaneous or geographic necrosis, pattern less sheet-like growth, prominent nucleoli, high cellularity, small cells with n:c ratio [8]. The estimated recurrence rate of atypical meningiomas is about 40% at five years after totally resected related with higher mitotic activity compared to benign meningiomas [6].

Conclusion

Meningiomas are extra-axial lesions with numerous variants based on the grading system from WHO. Diagnosis of suspected meningiomas is established by clinical findings, imaging, and histopathological analysis. The imaging of atypical meningiomas WHO grade II and anaplastic meningiomas WHO grade III are various. Histopathology analysis is the gold standard to define it.

Conflict of Interest

None.

Acknowledgement

None.

References

  1. Gangadhar K, Santhosh D, Fatterpekar GM (2013) Imaging features of intracranial meningiomas with histopathological correlation: A relook into old disease. NJR 3: 14-32.
  2. Lyndon D, Lansley JA, Evanson J, Khrisnan AS (2019) Dural masses: Meningiomas and their mimics. Insight into Imaging 10: 11.
  3. Zeng Z, Zhang T, Zhou Y, Chen X (2016) Atypical growth pattern of an intraparenchymal meningioma. Case Rep Radiol 2016: 7985402.
  4. Krishnan V, Mittal MK, Sinha M, Thukral BB (2019) Imaging spectrum of meningiomas: A review of uncommon imaging appearances and their histopathological and prognostic significance. Pol J Radiol 84: e630-e653.
  5. Wiemels J, Wrensch M, Claus EB (2010) Epidemiology and etiology of meningioma. J Neurooncol 99: 307-314.
  6. Riemenschneider MJ, Perry A, Reifenberger G (2006) Histological classification and molecular genetics of meningiomas. Lancet Neurol 5: 1045-1054.
  7. Huang RY, Bi WL, Griffith B, Kaufmann TJ, la Fougere C, et al. (2019) Imaging and diagnostic advances for intracranial meningiomas. Neuro Oncol 21: 44-61.
  8. Buerki RA, Horbinski CM, Kruser T, Horowitz PM, James CD, et al. (2018) An overview of meningiomas. Future Oncol 14: 2161-2177.
  9. Ardhini R, Tugasworo D (2019) Epidemiology of primary brain tumors in dr. Kariadi Hospital Semarang in 2015-2018. E3S Web of Conferences 125: 1-8.
  10. Colli BO, Junior CGC, Junior JAA, Junior VMC, Neder L (2015) Atypical and anaplastic meningiomas in a public hospital in Sao Paulo State, Brazil. Arq Neuropsiquiatr 73: 770-778.
  11. Damayanti Y, Rahmawati D (2020) Expression of progesterone receptors in meningioma patients: Serial case. GSC Biological and Pharmaceutical Sciences 13: 146-151.

Citation

Dewi PR, Niryana IW, Golden N, Gotra IM, Widyadharma IPE (2023) An Unusual Case of Atypical Meningioma Mimicking as High-Grade Astrocytoma: A Case Report. Clin Med Rev Case Rep 10:429. doi.org/10.23937/2378-3656/1410429