` Right Frontotemporal Meningioma Encasing a Middle Cerebral Artery Aneurysm, A Case Report and Review of the Literature

Citation

Almufarriji R, Alobaid A (2024) Right Frontotemporal Meningioma Encasing a Middle Cerebral Artery Aneurysm, A Case Report and Review of the Literature. Neurosurg Cases Rev 7:162. doi.org/10.23937/2643-4474/1710162

Case Report | OPEN ACCESS DOI: 10.23937/2643-4474/1710162

Right Frontotemporal Meningioma Encasing a Middle Cerebral Artery Aneurysm, A Case Report and Review of the Literature

Razan Almufarriji, MD1 and Abdullah Alobaid, MD, FRCSC2,3*

1Neurosurgery Resident, Department of Neurosurgery, King Fahad Medical City, Riyadh, Saudi Arabia

2Neurosurgery Consultant, Department Neurosurgery, King Fahad Medical City, Riyadh, Saudi Arabia

3Neurosurgery Program Director KFMC, Riyadh Regional Neurosurgery Training Director, SCFHS3, Riyadh, Saudi Arabia

Abstract

Background: Meningiomas encasing an aneurysm are considered one of the rare presentations encountered in neurosurgical services. To the best of our knowledge, this is the fourth case describing a frontotemporal meningioma encasing a middle cerebral artery aneurysm. Management of such cases has many aspects to consider and scenarios to be prepared for.

Clinical presentation: Our case is a 20-year-old woman who is known to be medically free. She started to have seizure attacks. She was found to have a right frontotemporal lesion encasing an aneurysm, she underwent preoperative embolization and surgical resection.

Conclusion: Encountering such case in our institution made us appreciate the new developments in microsurgical and endovascular fields, which helped in reducing the peri- and postoperative risks of morbidity and mortality.

Keywords

Aneurysm, Angiography, Case report, Encasing, Meningioma

Abbreviations

MCA: Middle Cerebral Artery; KFMC: King Fahad Medical City; Fig: Figure; MR: Magnetic Resonance Imaging; MRS: Magnetic Resonance Spectroscopy; NCCU: Neurocritical Care Unit

Background and Importance

Meningioma associated with an aneurysm is considered one of the rare presentations encountered in neurosurgical services. Upon review of the literature regarding this kind of presentation, we found that the first case of frontotemporal meningioma incorporating a middle cerebral artery (MCA) aneurysm was described in 1986 [1]. To the best of our knowledge, the case we present is the fourth case in the literature describing frontotemporal meningioma with an intratumoral MCA aneurysm [2,3].

Clinical Presentation

Our case is a 20-year-old woman, a college student who is known to be medically free. She started to have seizure attacks two weeks prior to presentation, involving left arm jerky movements, heaviness and loss of conciseness. She was taken to a local hospital, and upon investigation and imaging, she was found to have a right frontotemporal brain lesion, and she was referred to our institution. Upon examination, she was vitally stable with an intact neurological exam.

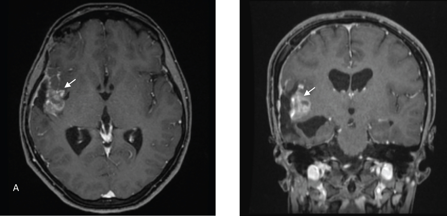
MRI of the brain (Figure 1) showed a mass measuring 5.1*5.6*5.4 cm in the anteroposterior, transverse, and craniocaudal dimensions. The mass was heterogeneous, showing moderate enhancement and a few foci of calcification and hemorrhage. The lesion was centered in the right Sylvian cistern, invading the insula and right frontal and temporal lobes. The mass abutted the dura, without a dural tail. Multiple enlarged blood vessels were seen coursing through the mass. There were large arterial feeders from the dilated right MCA and draining veins leading to a dilated right superficial middle cerebral vein. MR perfusion demonstrated markedly raised perfusion seen within the mass.

Figure 1: Axial, coronal, and sagittal views (A,B,C) of contrast-enhanced T1 MRI. Axial view (D) of a T2 MRI sequence showing a right frontotemporal tumor (Arrows) with a significant mass effect and foci of hemorrhage and calcification. View Figure 1

Before the surgical intervention, the patient underwent cerebral angiography (Figure 2). Moderate vascularity of the tumor was noticed, primarily through branches of the inferior division of the right MCA. There were multiple aneurysms within the tumor along with the inferior division of the right MCA.

Figure 2: Cerebral angiography (right ICA injections) AP and lateral views (A,B) prior to the surgical intervention, showing multiple small aneurysms along the inferior divisions of the MCA (Arrows). Post-embolization cerebral angiography lateral view (C) showing a significant decrease in vascularity "tumor blush" over the lateral aspect of the tumor (Arrow head). Obliteration of the aneurysms is shown (Arrows). View Figure 2

Embolization was performed through the inferior division of the right MCA; the procedure was uneventful. After embolization, vascularity was significantly reduced along the lateral aspect of the tumor with a residual supply along the medial portion of the tumor through the en passage vessels, which were not safe to embolize (Figure 2). Immediately after embolization, the patient was transferred to the operating room, where right frontotemporal craniotomy and tumor resection were performed. Intraoperatively, there was no dural thickening or a dural tail. The tumor was fibrous in nature but not vascular. The middle cerebral artery was coursing through its deeper component, which precluded gross total resection. Weighing the risk and benefits, we elected to leave some residual tumor.

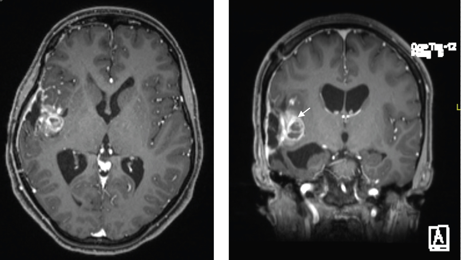
Postoperatively, the patient was kept in the neurocritical care unit (NCCU), where she was sedated and intubated as elected by the anesthesia team due to the long operating time. The next morning, she was still intubated, off sedation and maintaining a Glasgow Coma Scale of 11/15 with reactive pupils, and she could move all limbs freely. On postoperative day 2, she was shifted to the floor with a GCS of 15/15 and no motor or sensory deficits. MRI was obtained (Figure 3); there was debulking of the large lesion in the right frontotemporal area, and residual tumor tissue was seen along the margins of the cavity. There were no territorial ischemic changes. Prior to discharge, cerebral angiography was performed to evaluate the patency of the vessels and to exclude any major radiographic stenosis (Figure 4).

Figure 3: Postoperative MRI showing significant debulking of the tumor with small residual (Arrows) and expected postoperative changes. There were no territorial ischemic changes. (A) Axial view of contrast-enhanced T1WI; (B) Coronal view of contrast-enhanced T1WI. View Figure 3

Figure 4: Postop angiography; right ICA injection AP and lateral view (A,B) showed a filling delay of the insular branch medial to the tumor (Arrows) with distal filling likely from collaterals; the rest of the middle cerebral artery branches are patent, with no aneurysmal formation or vasospasm. View Figure 4

We observed the patient with close follow-up to reassure her about the pathology, as it resulted in WHO grade 1 meningioma. Her seizures were controlled on levetiracetam, and she returned to her normal daily activities. The fact that there was residual tumor tissue that needed to be followed with MRI was explained. She returned 3 and 9 months after surgery, and follow-up MRI examinations (Figure 5 and Figure 6) showed stable residual tumor tissue compared to the immediate postoperative MRI results. She remained seizure free and had no new complaints.

Figure 5: Axial and coronal views (A,B) of contrast-enhanced T1 MRI 3 months after surgery, showing stable residual tumor tissues (Arrows) and resolved postsurgical changes. View Figure 5

Figure 6: Axial and coronal views (A,B) of contrast-enhanced T1 MRI 9 months after surgery showing stable residual tumor tissue (Arrows). View Figure 6

Discussion

The reported incidence of aneurysms with brain tumors is 0.5% to 0.7% [4,5] with a female predominance [6]. In the majority of cases, the tumor location is predominantly the skull base, and aneurysms show an increased prevalence in the internal carotid artery and middle cerebral artery [4].

Studying the relationship between tumors and aneurysms has been the basis of different hypotheses and rationalizations. A review of multiple cases concluded that a higher incidence of coexistence was associated with meningiomas and pituitary adenomas [7]. In most cases, the aneurysm was ipsilateral to the tumor, which supported different hypotheses and theories encountered in the literature, whereas other studies discussed the possibility of the coexistence being only a coincidence. Coincidence theory is strongly supported if the aneurysm and tumor are in different hemispheres [6].

Fischer, et al. [4] studied 95 cases (11 of their own) and concluded that the definite causes of aneurysm and meningioma are unknown, although specific genetic defects, trauma and radiotherapy appeared responsible in some cases [4,8]. A hormonal influence has been discussed in several reports that linked growth hormone and estrogen with the development of meningiomas and aneurysms [6]. One hypothesis proposed by Pia, et al. [9] is that regional hemodynamic changes due to the presence of a tumor are the reason for developing an intracranial aneurysm [4]. This was suggested by a case describing the disappearance of an anterior ethmoidal artery aneurysm after the resection of a coexisting olfactory groove meningioma [10]. While many hypotheses explain the mechanism of cooccurrence of meningiomas and aneurysms, we should consider that the aggressive local effect of a tumor on the local vascular integrity could participate in the development of aneurysms with subsequent bleeding from a rupture [11]. Inflammatory states and meningioma adhesions play similar destructive roles [12].

Treatment options include microsurgery and endovascular approaches, depending on the location of the aneurysm (ipsilateral or contralateral hemisphere, intratumoral or distal), and the management approaches differ. Most studies agree on the rationale of treating symptomatic lesions when a tumor and aneurysm coexist. However, in regard to intratumoral aneurysms, they must be secured prior to tumor resection, either preoperatively by embolization or intraoperatively by clipping or vessel sacrifice. Distal aneurysms are treated as per the guidelines of unruptured aneurysms [4,7,13].

Conclusion

Meningiomas with intratumoral aneurysmal formation are rare, and meningiomas encasing an MCA aneurysm are even rarer. We report what seems to be the fourth case in the literature [2]. After encountering this case in our institution, we came to appreciate the new developments in microsurgical and endovascular fields, which helped in reducing the peri- and postoperative risks of morbidity and mortality, especially in a critical anatomical location. Thorough study of meningiomas and associated aneurysms is suggested to provide optimum clinical outcomes.

Consent

The patient’s guardian has consented to the submission of the case report to the journal.

Conflict of Interest

None.

Disclosure of Funding

None.

References

  1. Kandel E, Ludkovskaya I, Dobjansky N (1986) Aneurysm inside meningioma. Case report. Acta Neurochir 81: 72-76.
  2. von Spreckelsen N, Liebig T, Goldbrunner R, Krischek B (2017) Aneurysms encased in meningiomas: A case report and review of the literature. J Neurol Surg A Cent Eur Neurosurg 78: 99-102.
  3. Tancioni F, Egitto MG, Tartara F (1998) Aneurysm occurring within a meningioma: Case report. Br J Neurosurg 12: 588-591.
  4. Fischer BR, Palkovic S, Holling M, Niederstadt T, Jeibmann A, et al. (2009) Coexistence of cerebral aneurysm and meningioma--pure accident? Clin Neurol Neurosurg 111: 647-654.
  5. Pant B, Arita K, Kurisu K, Tominaga A, Eguchi K, et al. (1997) Incidence of intracranial aneurysm associated with pituitary adenoma. Neurosurg Rev 20: 13-17.
  6. Takai K, Nishihara T, Nemoto S, Ueki K, Miyauchi H, et al. (2001) Multilocular cystic lesion associated with a giant aneurysm. J Neurosurg 95: 1081.
  7. Takeda N, Nishihara M, Yamanishi S, Kidoguchi K, Hashimoto K (2017) Strategy for patients with co-existence of meningioma and intracerebral aneurysm, especially unruptured aneurysm (-seven cases and review of the literature-). J Clin Neurosci 45: 236-242.
  8. Nahed BV, Bydon M, Ozturk AK, Bilguvar K, Bayrakli F, et al. (2007) Genetics of intracranial aneurysms. Neurosurgery 60: 213-226.
  9. Pia HW, Obrador S, Martin JG (1972) Association of brain tumours and arterial intracranial aneurysms. Acta Neurochir 27: 189-204.
  10. Tachikawa T, Adachi J, Nishikawa R, Matsutani M (2002) An anterior ethmoidal artery aneurysm associated with an olfactory groove meningioma. J Neurosurg 97: 1479.
  11. Andrews BT, Raffel C, Rosegay H (1985) Subarachnoid hemorrhage from a peripheral intracranial aneurysm associated with malignant glioma: Report of a case. Neurosurgery 17: 645-649.
  12. Alnaami I, Ho P, Lu JQ, Wheatley B (2013) Case report: Meningioma with intra-tumoural haemorrhage secondary to ruptured distal anterior cerebral artery aneurysm. Open Neuroimaging J 7: 32-34.
  13. De Bonis C, Gazzeri R, Gorgoglione L, d’Angelo VA (2019) Aneurysm inside meningioma: An unusual association. Br J Neurosurg 37: 1-2.

Citation

Almufarriji R, Alobaid A (2024) Right Frontotemporal Meningioma Encasing a Middle Cerebral Artery Aneurysm, A Case Report and Review of the Literature. Neurosurg Cases Rev 7:162. doi.org/10.23937/2643-4474/1710162