Review Article | OPEN ACCESS DOI: 10.23937/2572-3235.1510128

Uncommon Neoplasms in a Common Location: Primary Hepatic Neoplasms - A Pictorial Review

Jayaranjeetham Jayabalan1, Madhan Ramachandran1*, Sunitha Vellathussery Chakkalakkoombil2 and Revathy Ganapathy1

1Senior Resident, Department of Radiodiagnosis, JIPMER, Puducherry, India

2Head of the Department, Additional Professor, Department of Radiodiagnosis, JIPMER, Puducherry, India

Abstract

Common hepatic lesions are easy to diagnose and various imaging methods are available for those lesions. Uncommon hepatic lesions pose a diagnostic challenge to the radiologist. In our study we have described the common imaging (Contrast enhanced Computed Tomography-CECT and Magnetic Resonance Imaging-MRI) appearances of the uncommon hepatic lesions which are proven with histopathology. We described about few of the uncommon hepatic lesions like Hepatic lymphoma, Liver neuroendocrine tumor (NET), Intraductal papillary Mucinous Neoplasm (IPMN), inflammatory pseudo-tumor, Hemangioendothelioma, Neurofibromatosis, and Focal Nodular Hyperplasia (FNH).

Keywords

Hepatic lymphoma, Neuroendocrine tumor, IPMN, Inflammatory pseudo-tumor, Hemangioendothelioma, Neurofibromatosis

Introduction

Primary hepatic tumors can originate from various cells like hepatocytes, bile ducts epithelia, neuroendocrine cells and mesenchymal cells [1].

Metastasis is the most common malignant neoplasm. Hepatocellular carcinoma is the most common primary malignant epithelial neoplasm in liver. Cholangiocarcinoma is the second most common primary malignant lesion [2].

Case Review and Discussion

Case 1: Primary hepatic lymphoma

Immunosuppressed patients when they present with either solid or multifocal lesions which insinuate around the hepatic ducts and vessels, showing intense diffusion restriction and target enhancement in post-contrast sequences, possibility of primary hepatic lymphoma must be considered [3]. Hepatic lymphoma is mostly secondary in which Non-Hodgkin lymphoma (NHL) is common subtype than Hodgkin Lymphoma (HL). Primary hepatic lymphoma is very rare (< 1%) [3].

Primary hepatic lymphoma present as solitary lesion compared with secondary lymphoma. Primary hepatic lymphoma appears heterogenous while secondary lymphoma appears homogenous. Also primary hepatic lymphoma not always associated with lymphadenopathy [4].

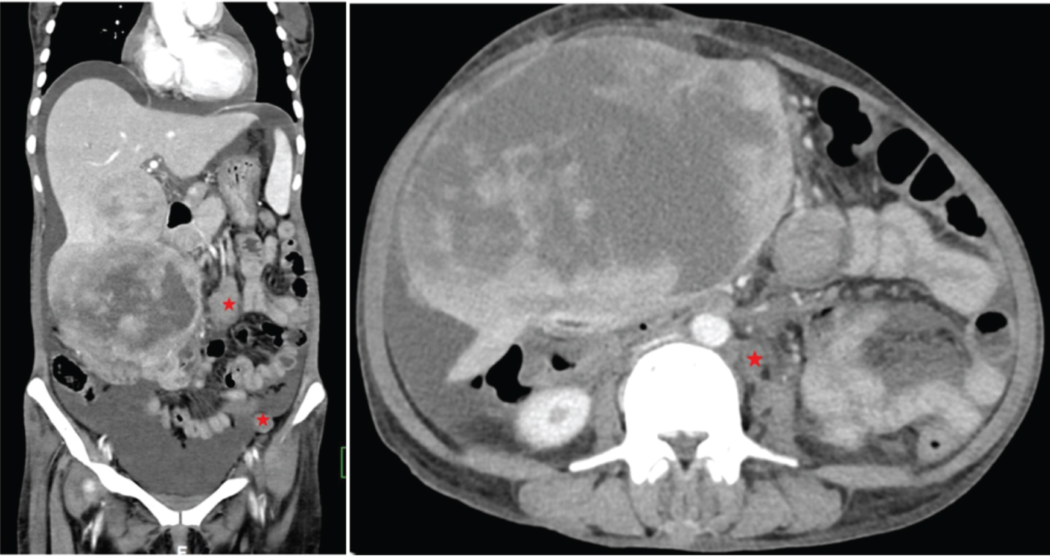
Our patient is a middle aged female who is a known retro positive case and not taking medications for past one year, now presented with abdominal pain, significant weight loss and upper abdominal swelling for 3 months. CECT shows an irregular heterogeneously enhancing exophytic mass lesion arising from right lobe of liver with central necrosis and abdominal lymphadenopathy (Figure 1).

Figure 1: Hepatic lymphoma. (a,b) Contrast enhanced CT coronal and axial sections shows an irregular heterogeneously enhancing exophytic mass lesion arising from right lobe of liver with central non-enhancing hypodense areas (necrosis). Multiple heterogeneously enhancing mesenteric, para aortic and left external iliac lymph nodes seen (⋆ red star). Moderate ascites present. View Figure 1

Case 2: Primary neuroendocrine tumor

Metastatic NET is more common than primary NET [3]. It is hypothesized that this tumor originates from the heterotopic pancreatic or adrenal tissue or from intestinal metaplasia of biliary tract [5]. Limited literature is available regarding the imaging findings. Hepatic neuroendocrine tumors have various radiological imaging findings and can be challenging [6]. Other than imaging findings, biochemical markers like 5-hydroxyindoleacetic acid test and chromogranin A may help in diagnosis of neuroendocrine tumor [7]. In MRI, the lesion appears as T2 hyperintense and shows diffusion restriction on DWI images [8]. In CT, lesion shows arterial hyperenhancement [9].

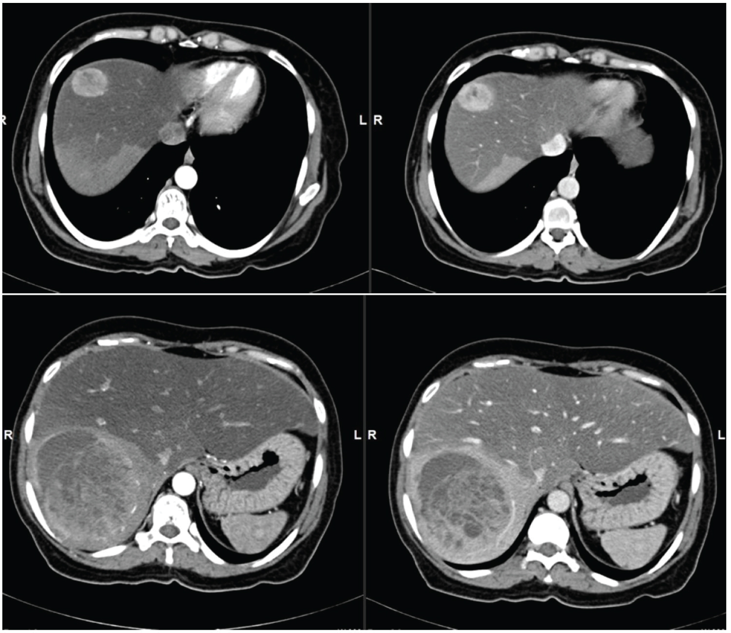
Our patient is a middle aged female who presented with vague abdominal pain and chronic diarrhoea. CECT shows two well defined lesions in segment VII/VIII and VI with intense marginal nodular enhancement in arterial phase and no washout in portal phase (Figure 2).

Figure 2: Primary NET. (a,b) Contrast enhanced CT axial sections shows a well-defined small round lesion in segment VII/VIII with intense marginal nodular enhancement in arterial phase (a) and no washout in portal phase (b) in the background of fatty liver and areas of fat sparing; (c,d) Contrast enhanced CT axial sections shows a well defined large lesion in segment VI with intense marginal nodular enhancement in arterial phase (a) and no washout in portal phase (b) in the background of fatty liver and areas of fat sparing. View Figure 2

No evidence of any focal lesion in the entire gastrointestinal tract and tracheobronchial tree.

Case 3: Plexiform neurofibroma of liver

Plexiform neurofibromatosis is rare in abdomen, Intrahepatic and pancreatic involvement is very rare [10].

Reported cross-sectional images on NF, On MRI, tumors are predominantly T1-hypointense, T2-heterogeneously hyperintense with target sign (central T2 low signal intensity and peripheral surrounding T2 hyperintensity) [11]. CECT shows non-enhancing multi-lobulated low attenuated lesion noted. On delayed phase, the homogenous low attenuation was maintained throughout the tumor [12]. It has a periportal sheath like distribution, along the intrahepatic nerve fibers around ducts and vessels [12].

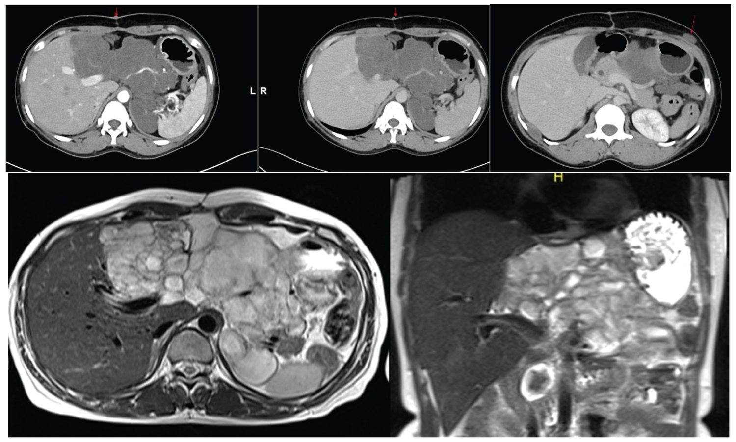
Our patient is a middle aged female who is a known case of Neurofibromatosis type 1 and undergone MRI spine to look for nerve sheath tumours. Liver lesion was incidentally found out during imaging. CECT shows a large, irregular lobulated soft tissue dense lesion in perivascular distribution with preservation of the vessels showing no significant enhancement in the epigastric region involving the left lobe of liver. MRI shows heterogeneous predominantly T2 hyperintense macro nodular lesion involving the left lobe of liver (Figure 3).

Figure 3: Plexiform NF of liver. (a,b) Contrast enhanced CT axial sections shows a large, irregular lobulated soft tissue dense lesion in perivascular distribution with preservation of the vessels showing no significant enhancement in epigastric region involving the left lobe of liver. Left branch of portal vein not separately made out, possibly thrombosed. Left branch of hepatic artery seen coursing through the lesion. Lesion abuts the lesser curvature of stomach, pancreas and spleen with no obvious infiltration. (c) Small soft tissue dense nodular lesion seen in the subcutaneous plane of anterior abdominal wall ( ↧ ); (d,e) MRI-T2 axial (a) and T2 HASTE (b) coronal sections shows heterogeneous predominantly T2 hyperintense macro nodular lesion involving the left lobe of liver. Flow voids of left branch of portal vein not seen, suggestive of thrombosis. View Figure 3

Case 4: Inflammatory pseudo-tumor

It is a rare benign tumor that most of the time mimics malignancy [13]. The etiology of the inflammatory pseudotumor is unknown [14]. It is associated with infection and inflammatory conditions [14-16].

Inflammatory pseudotumor on imaging appears as well circumscribed or poorly marginated heterogenous appearing lesions on CT with central hypoenhancement and shows peripheral arterial hyperenhancement, portal and venous phase show persistent low attenuation of the cystic portion [17]. The lesions appear T1 hypointense on MRI, T2-hyperintense with variable enhancement [18].

Our patient is an elderly female who presented with features of obstructive jaundice and upper abdominal pain for one month. Lab parameters were suggestive of obstructive pattern of jaundice and CECT is taken to rule out malignancy. CECT shows ill-defined heterogeneously hypo-enhancing lesion seen involving the medial aspects of segments 2/3 with upstream biliary radicle dilatation in the segments 2 & 3. In MRI, lesion appears T2 hyperintense, T1 hypointense with no diffusion restriction (Figure 4). Since the imaging findings were not very typical of cholangiocarcinoma, other possibilities were considered and screened for serum IG G4 levels which came out to be in high range. Then then patient was started on steroids and patient improved clinically with resolution of jaundice.

Figure 4: Inflammatory pseudotumor. (a,b) CECT axial sections show an ill-defined heterogeneously hypo-enhancing lesion seen involving the medial aspects of segments 2/3 with upstream biliary radicle dilatation in the segments 2 & 3. Geographic fat attenuating area involving caudate lobe and segment 4 of liver; (c,d) MRI T2 FS (a) and T1 out of phase (b) axial sections shows ill defined T2 FS hyperintense and T1 hypointense lesion in the medial aspects of segments 2/3 of liver; (e,f) MRI DWI (e) and ADC (f) axial sections shows ill-defined lesion that appears hyperintense and isointense in the diffusion weighted and ADC images respectively, suggestive diffusion shine through. View Figure 4

Case 5: IPMN of biliary tree

It is characterized by intraluminal papillary masses that cause upstream dilatation of the biliary tree and increased mucin secretion [19]. IPMN-B has increased chance of malignant transformation to cholangiocarcinoma. Imaging feature is Intraductal masses with aneurysmal or cystic dilatation of the biliary tree upstream and downstream to the tumor [19]. The Japan-Korea pathological classification of IPMN-B is into type-1 - low and high grade dysplasia with regular architecture, type-2 - high grade dysplasia with irregular architecture [20]. WHO described preinvasive biliary lesions as biliary intraepithelial neoplasia, IPMN-B and Mucinous cystic neoplasm. With extensive mucin production and minimal papillary proliferation, IPMN-B causes diffuse dilatation of the bile ducts without any detectable mass at imaging. Biliary dilatation may be tubular, fusiform, or cystic in nature [21]. In MRI, T1 Fat suppressed post-contrast images - enhancing mass lesion, Diffusion weighted images show diffusion restriction within the mass [21].

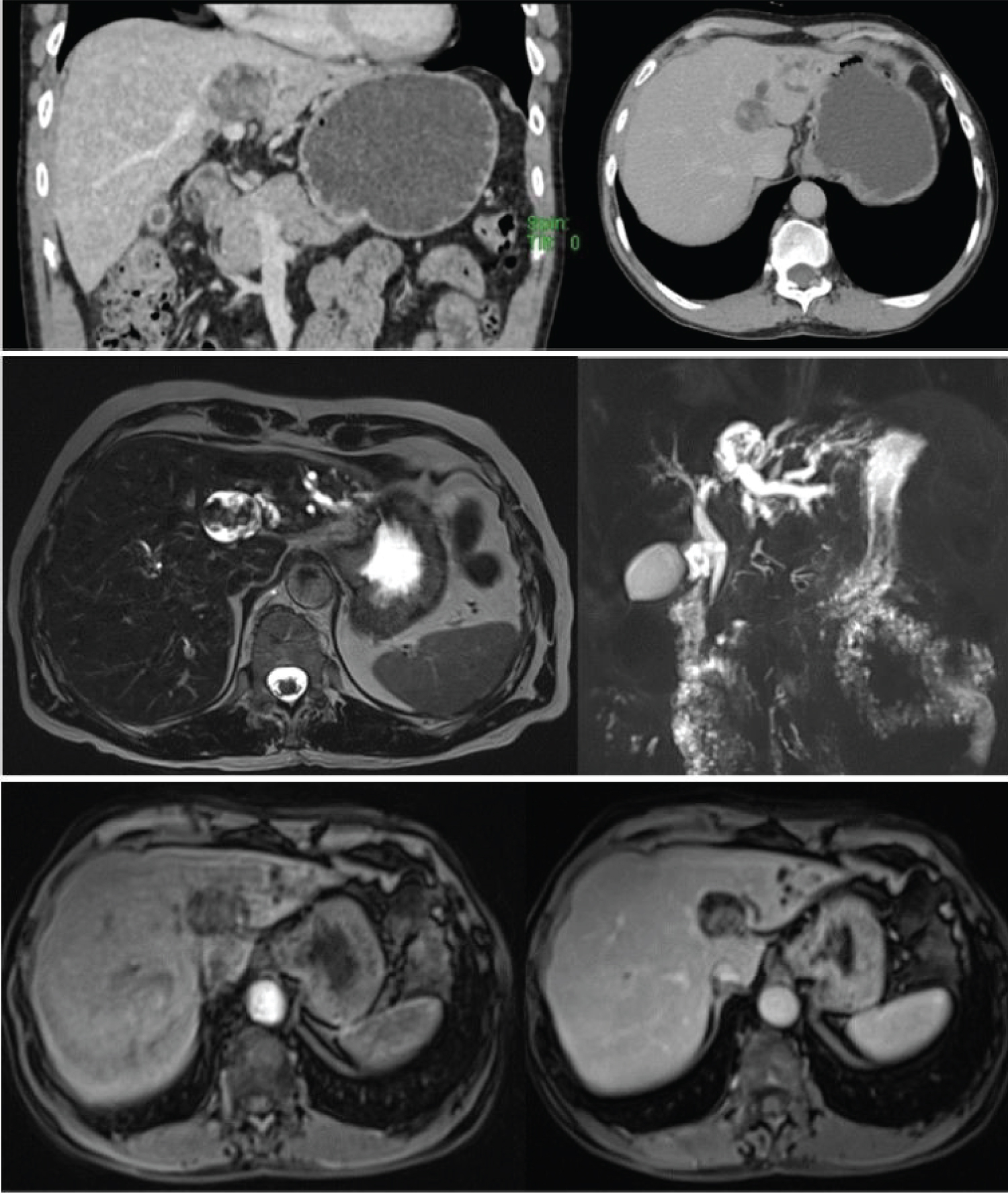
Our patient is an elderly male who presented with abdominal pain and jaundice for two months. Lab parameters were suggestive of obstructive pattern of jaundice and proceeded with cross-sectional imaging to look for the cause. CECT shows cystic lesion in the segment 4 of liver with enhancing intra-cystic solid areas and upstream biliary radicle dilatation. In MRI, lesion appears to be in contiguity with left hepatic duct and intra-cystic solid areas appear T2 hypointense and hypoenhancing (Figure 5).

Figure 5: IPMN-B. (a,b) Contrast enhanced CT coronal (a) and axial section (b) shows a cystic lesion in the segment 4 of liver with enhancing intra-cystic solid areas. Lesion appears to be in contiguous with upstream dilated biliary radicles in the segments 2 & 3 of liver; (c,d) MRI-T2 SPACE 3D axial section shows T2 hyperintense cystic lesion with hypointense solid areas within the lesion and upstream biliary radicle dilatation. (b) MRCP images shows cystic lesion in continuity with left hepatic duct causing upstream biliary radicle dilatation; (e,f) Post contrast T1 VIBE axial sections shows hypoenhancing solid areas in the arterial phase (e) which progressive increase in enhancement in the portal venous phase (f). View Figure 5

Case 6: Infantile hepatic hemangioendothelioma

Most common vascular tumor of liver in children [22].

In non-contrast CT, these masses are homogenously hypodense and show marked rim enhancement. Solitary lesion shows varied degrees of centripetal enhancement. A decrease in caliber of the aorta, distal to the origin of the hepatic artery. Hepatic and portal veins are compressed and displaced [23].

A 7-month-old infant presented with the distended abdomen and failure to thrive noticed by the mother for two weeks. CECT shows a large lobulated mass seen arising from the left lobe of liver, which displays avid thick peripheral enhancement in arterial phase, persistent in the subsequent phases with necrotic areas. The mass lesion is supplied by the prominent left hepatic artery (Figure 6).

Figure 6: Hemangioendothelioma. Contrast enhanced CT axial sections shows a large lobulated mass seen arising from the left lobe of liver, which displays avid thick peripheral enhancement in arterial phase (a) which is persistent in the subsequent phases (b) with non-enhancing necrotic areas. The mass lesion is supplied by the prominent left hepatic artery. View Figure 6

Case 7: Primary hepatic angiosarcoma

It is a rare primary hepatic tumor, but is most common malignant mesenchymal tumor [24]. Thorotrast, Vinyl chloride, and arsenic compounds are associated with the incidence of Angiosarcoma [24].

Our patient is an elderly female patient who presented with abdominal pain, distension and jaundice for the past one month. On non-contrast CT- tumors are hypoattenuating compared to the surrounding hepatic parenchyma. On CECT, most lesions are hypoattenuating, some lesions can be hyperattenuating [25]. On T1-weighted images - hyperintense areas represent hemorrhagic areas. On T2-heterogenous intensity shows compartmentalization within the tumor. On T2 low intensity - hemosiderin, fibrous components. On T2 - high intensity - necrosis [25] (Figure 7).

Figure 7: Primary Hepatic Angiosarcoma. Plain (a) and contrast enhanced CT (b) axial sections shows heterogeneous density lesion with necrotic areas and hemorrhagic foci within seen arising from spleen. Similar appearing lesions seen involving both lobes of liver. No significant post-contrast enhancement seen within the lesion. View Figure 7

Patient developed significant hemoperitoneum in due course of hospital stay and expired.

Conclusion

In our case series, we have described the imaging appearance of the few of the uncommon liver lesions that presented to our institute. Despite their rarity, the tumors described here should be recognized and considered by radiologists, included in the differential diagnoses of liver lesions, assisting not only in the therapeutic planning and strategy, but also as a support in the definition of the anatomo-pathological diagnosis.

Competing Interests

The authors have declared that no competing interest exists.

References

  1. Kim KA, Kim KW, Park SH, Jang SJ, Park MS, et al. (2006) Unusual mesenchymal liver tumors in adults: Radiologic-pathologic correlation. AJR Am J Roentgenol 187: W481-W489.
  2. Pedrassa BC, da Rocha EL, Kierzenbaum ML, Bormann RL, Francisc VV, et al. (2014) Uncommon hepatic tumors: Iconographic essay - Part 2. Radiol Bras 47: 374-379.
  3. Razik A, Malla S, Goyal A, Gamanagatti S, Kandasamy D, et al. (2022) Unusual primary neoplasms of the adult liver: Review of imaging appearances and differential diagnosis. Curr Probl Diagn Radiol 51: 73-85.
  4. Alves AMA, Torres US, Velloni FG, Ribeiro BJ, Tiferes DA, et al. (2019) The many faces of primary and secondary hepatic lymphoma: Imaging manifestations and diagnostic approach. Radiol Bras 52: 325-330.
  5. Kellock T, Tuong B, Harris AC, Yoshida E (2014) Diagnostic imaging of primary hepatic neuroendocrine tumors: A case and discussion of the literature. Case Rep Radiol 2014: e156491.
  6. De paula Houat A, von Atzingen AC, Velloni FG, de Oliveira RAS, Dos Santos Torres U, et al. (2020) Hepatic neuroendocrine neoplasm: Imaging patterns. Radiol Bras 53: 195-200.
  7. Sippel RS, Chen H (2006) Carcinoid tumors. Surg Oncol Clin N Am 15: 463-478.
  8. Morse B, Jeong D, Thomas K, Diallo D, Strosberg JR (2017) Magnetic resonance imaging of neuroendocrine tumor hepatic metastases: Does hepatobiliary phase imaging improve lesion conspicuity and interobserver agreement of lesion measurements? Pancreas 46: 1219-1224.
  9. Sundin A (2012) Radiological and nuclear medicine imaging of gastroenteropancreatic neuroendocrine tumours. Best Pract Res Clin Gastroenterol 26: 803-818.
  10. Poon JC, Ogilvie T, Dixon E (2008) Neurofibroma of the porta hepatis. J Hepatobiliary Pancreat Surg 15: 327-329.
  11. Rha SE, Byun JY, Jung SE, Chun HJ, Lee HG, et al. (2003) Neurogenic tumors in the abdomen: Tumor types and imaging characteristics. Radiographics 23: 29-43.
  12. Malagari K, Drakopoulos S, Brountzos E, Sissopulos A, Efthimidadou A, et al. (2001) Plexiform neurofibroma of the liver: Findings on MR imaging, angiography, and CT portography. AJR Am J Roentgenol 176: 493-495.
  13. Faraj W, Ajouz H, Mukherji D, Kealy G, Shamseddine A, et al. (2011) Inflammatory pseudo-tumor of the liver: A rare pathological entity. World Journal of Surgical Oncology 9: 5.
  14. Zhang Y, Lu H, Ji H, Li Y (2015) Inflammatory pseudotumor of the liver: A case report and literature review. Intractable Rare Dis Res 4: 155-158.
  15. Bosman FT, Carneiro F, Hruban RH, Theise ND (2010) WHO classification of tumours of the digestive system. IARC Publications. (4 th edn), WHO Classification of Tumours.
  16. Calomeni GD, Ataíde EB, Machado RR, Escanhoela CAF, Costa LBE, et al. (2013) Hepatic inflammatory pseudotumor: A case series. Int J Surg Case Rep 4: 308-311.
  17. Chang SD, Scali EP, Abrahams Z, Tha S, Yoshida EM (2014) Inflammatory pseudotumor of the liver: A rare case of recurrence following surgical resection. J Radiol Case Rep 8: 23-30.
  18. Yan FH, Zhou KR, Jiang YP, Shi WB (2001) Inflammatory pseudotumor of the liver: 13 cases of MRI findings. World J Gastroenterol 7: 422-424.
  19. Ritchie DJ, Okamoto K, White SL (2019) Intraductal papillary mucinous neoplasm of the biliary tract: A precursor lesion to cholangiocarcinoma. Radiology Case Reports 14: 495-500.
  20. Nakanuma Y, Uesaka K, Kakuda Y, Sugino T, Kubota K, et al. (2020) Intraductal papillary neoplasm of bile duct: Updated clinicopathological characteristics and molecular and genetic alterations. J Clin Med 9: 3991.
  21. Chatterjee A, Vendrami CL, Nikolaidis P, Mittal PK, Bandy AJ, et al. (2019) Uncommon intraluminal tumors of the gallbladder and biliary tract: Spectrum of imaging appearances. Radiographics 39: 388-412.
  22. Kim EH, Koh KN, Park M, Kim BE, Im HJ, et al. (2011) Clinical features of infantile hepatic hemangioendothelioma. Korean J Pediatr 54: 260-266.
  23. Ng WH, Ching ASC, Chan KF, Fung WT (2003) Clinics in diagnostic imaging (89). Singapore Med J 44: 491-495.
  24. Buetow PC, Buck JL, Ros PR, Goodman ZD (1994) Malignant vascular tumors of the liver: Radiologic-pathologic correlation. Radiographics 14: 153-166.
  25. Koyama T, Fletcher JG, Johnson CD, Kuo MS, Notohara K, et al. (2002) Primary hepatic angiosarcoma: Findings at CT and MR Imaging. Radiology 222: 667-673.

Citation

Jayabalan J, Ramachandran M, Chakkalakkoombil SV, Ganapathy R (2024) Uncommon Neoplasms in a Common Location: Primary Hepatic Neoplasms - A Pictorial Review. Int J Radiol Imaging Technol 10:128. doi.org/10.23937/2572-3235.1510128