Table of Contents

Citation

Firdous S, Anjaneyulu, Fonseca D, Murthy S, Challa S, et al. (2018) The Study of Ductal Carcinoma In Situ (DCIS) with Microinvasion Using Myoepithelial Markers. Int J Pathol Clin Res 4:074. doi.org/10.23937/2469-5807/1510074

RESEARCH ARTICLE | OPEN ACCESS DOI: 10.23937/2469-5807/1510074

The Study of Ductal Carcinoma In Situ (DCIS) with Microinvasion Using Myoepithelial Markers

Sana Firdous1*, Anjaneyulu2, Daphne Fonseca2, Sudha Murthy3, Sundaram Challa4 and CK Naidu5

1Resident, Basavatarakam Indo American and Cancer Institute, India

2Consultant Pathologist, Basavatarakam Indo American and Cancer Institute, India

3Head, Department of Pathology, Basavatarakam Indo American and Cancer Institute, India

4Professor and DNB Coordinator, Basavatarakam Indo American and Cancer Hospital, India

5Consultant Surgical Oncologist, Basavatarakam Indo American and Cancer Hospital, India

Abstract

Background

DCIS is a premalignant condition characterized by proliferation of neoplastic cells within the ducts with intact myoepithelial cell layer and when there is a breach in myoepithelial cell layer it indicates invasion and in both these condition treatment protocols and prognosis is different. Myoepithelial markers can be used to identify breach and hence invasion.

Aim

To identify DCIS with microinvasion using SMA, calpopin and p63 by IHC.

Methods

This is a retro-prospective observational study with study population of 100 conducted in the department of pathology, Basavatarakam Indo-American cancer hospital and research institute over a period of one year from January 2015 to December 2016 as per inclusion criteria. Suspected cases of DCIS with microinvasion and focal invasion on H&E sections by morphological features is identified. Panel of IHC markers with SMA, calponin and p63 on the suspected cases is performed and efficiency of IHC markers with H&E in detecting microinvasive and focal invasive component is compared. The sensitivity and specificity of IHC markers studied.

Results

The three groups i.e. DCIS, DCIS with microinvasion and DCIS with invasion constitutes 22%, 7% and 71% respectively.

Comparative retrospective analysis of the three groups revealed no difference in age, site whereas mammographically BIRADS IVA is more commonly seen in DCIS group constituting 63.6% cases and BIRADS IVC is seen most commonly in DCIS with microinvasion and DCIS with invasion group each constituting 57.1% and 57.7% respectively.

The most common type of DCIS in pure DCIS group is non comedo necrosis type constituting 59% cases and intermediate nuclear grade constituting 54.5% cases, whereas DCIS with microinvasion and DCIS with invasion group has comedo necrosis type as the most common DCIS each constituting 71.4% and 83% cases and high nuclear grade constituting 71.4% and 84.5% respectively.

The statistical analysis of immunohistochemical markers is done by ROC curve analysis which show that area under the curve for SMA, p63 and calponin are 0.634, 0.596, 0.688 respectively. This indicates that diagnostic accuracy is more for calponin than SMA and p63.

Sensitivity of SMA, calponin and p63 are 91.30%, 90.90%, 68.18% respectively whereas specificity are 23.7%, 87.17%, 98.7% respectively.

Conclusion

DCIS with microinvasion is a very rare entity and in the present study constituting 7% of total cases of DCIS with suspicious foci of invasion which is comparable to the literature.

Morphology alone could not distinguish DCIS with microinvasion from DCIS with focal invasion. This was resolved by IHC for myoepithelial markers. This highlights the role of IHC with myoepithelial markers for detecting micro or focal invasion from pure, albeit extensive DCIS and these observations have direct impact on therapeutic decisions. Out of all markers used in present study i.e. SMA, calponin and p63, calponin has the highest sensitivity and p63 has the highest specificity. Hence this panel of IHC markers can be used to identify microinvasion/ focal invasion in morphologically suspicious biopsies.

Keywords


DCIS, Microinvasion, Immunohistochemistry, SMA, Calponin, p63

List of Abbreviations


DCIS: Ductal Carcinoma In Situ; H&E: Hematoxylin and Eosin; CK: Cytokeratin; CD: Cluster Domain; SMA: Smooth Muscle Actin; SMMHC: Smooth Muscle Myosin Heavy Chain; TDLU: Terminal Ductal Lobular Unit; BIRADS: Breast Imaging Reporting and Data System; MI: Micro Invasion; IDC: Invasive Ductal Carcinoma; KD: Kilo Dalton; IHC: Immunohistochemistry; NBF: Neutral Buffered Formalin; HRP: Histidine Rich Protein; EDTA: Ethylene Diamine Tetra Acetic Acid; TBS: Tris Buffered Saline; DAB: Diamino Benzidine; DPX: Dibutyl Phthalate Xylene

Introduction


Ductal carcinoma in-situ (DCIS) is the most common noninvasive malignancy of the breast. It is defined as proliferation of malignant cells in ductal epithelium confined to basement membrane, not invading the breast parenchyma [1-5].

Incidence of DCIS

It accounts for 20-25% of breast cancer [3,4,6,7]. There has been a rising trend of DCIS due to utilization of breast cancer screening mammography which can be detected as microcalcification without a palpable lump [8]. Incidence in India is 1.1% of breast lesions [9].

DCIS with microinvasion or microinvasive DCIS

Micro invasive breast cancer is defined as invasion of tumor cells singly or in clusters into stroma and invasive focus measuring not more than 1 mm in its greatest dimension [1,3-5,10]. It accounts for 13.5% of DCIS cases [11] and less than 1% of breast cancer cases [1,11]. The defining feature can be either of the following:

1. One or two foci of invasion but less than 1 mm.

2. Single focus less than 2 mm.

3. Up to 3 foci but none more than 1 mm [11].

DCIS can occur alone, or with microinvasion, or with invasive carcinoma. It is important to differentiate these three entities as treatment protocols and prognosis amongst these three is different [3,8]. DCIS with invasive carcinoma usually poses no problem in diagnosis. However, the differentiation of DCIS alone from DCIS with microinvasion is difficult but important to identify because treatment protocols are different. Moreover, hormone receptor positivity is evaluated in the invasive component only. When there is extensive DCIS, it is difficult to identify invasion and also to measure the size of the focus.

On hematoxylin and eosin (H&E) stained sections, a number of morphological features are described to identify invasion [12]. The most important feature is breach in the myoepithelial layer. As DCIS is malignant proliferation of neoplastic cells within ducts, they have intact myoepithelial cell layer whereas there is breach in myoepithelial layer in DCIS with microinvasion. Therefore, markers that identify myoepithelial cells can be used to differentiate these conditions. In extensive DCIS, myoepithelial markers can be used to identify the invasive foci (loss of expression around it) and to measure the invasive foci.

Various myoepithelial markers which can be used are CK 5/6, CD10, S100, smooth muscle specific proteins like smooth muscle actin, heavy caldesmon, smooth muscle myosin heavy chain, calponin and nuclear protein p63 each with variable sensitivity and specificity [5,13,14]. Cytokeratin's and S-100 have low specificity, whereas calponin, smooth muscle actin (SMA) and smooth muscle myosin heavy chain (SMMHC) are specific for myoepithelial cells [9]. Myoepithelial cells also express the nuclear protein p63 which is neither expressed by luminal mammary epithelium nor in smooth muscle cells and is highly specific and sensitive [10].

This study aims to utilize three myoepithelial markers, SMA, calponin and p63 in differentiating extensive DCIS and DCIS with microinvasion and focal invasion.

Aim and Objectives


Aim

To identify DCIS with microinvasion using SMA, calponin and p63 by IHC.

Objectives

Primary objectives

1. Identify the suspected cases of DCIS with microinvasion and focal invasion on H&E sections by morphological features.

2. Perform a panel of IHC markers with SMA, calponin and p63 on the suspected cases.

3. Compare the efficiency of IHC markers with H&E in detecting microinvasive and focal invasive component.

Secondary objective

Compare the sensitivity and specificity of IHC markers studied.

Methods

Study site

Basavatarakam Indo American Cancer Hospital and Research Institute.

Study population

Patients registered at Basavatarakam Indo American cancer Hospital and research Institute as per inclusion and exclusion criteria.

Study design

Both prospective and retrospective, observational study.

Sample size

100 cases as per inclusion criteria.

Justification of sample size

n = N/1+Ne2. Where n = sample size for study. N, size of population in a duration of one year = 100. e = Standard error (0.05). n = 100/1 + 100 × 0.052 = 80.

Study period

January 2015 to December 2016.

Retrospective: January 2015 to November 2015.

Prospective: December 2015 to December 2016.

Inclusion criteria

All cases of DCIS with suspected invasive component on H&E stained sections according to the following characteristics, during the study period were included.

• High grade DCIS or comedo type commonly (other type of DCIS can also show).

• Periductal lymphoid infiltrates.

• Mucocele like lesion.

• Irregularity of contour of nest or glands of tumor.

• Retraction around nest.

• Chronic inflammation.

• Reactive stroma.

• Increased stromal cellularity.

• Blurred edges of ductal wall.

• No basement membrane i.e. tumor cells directly in stroma.

• Tumor nest/gland without a lobulocentric organization.

The retrospective cases were retrieved from the database of Department of Pathology and Laboratory Medicine, diagnosed as DCIS with suspicion of invasion.

Exclusion criteria

Patients who underwent previous therapy at the site of biopsy or excision.

Study design

Both prospective and retrospective, observational study.

Sample size

100 cases.

Study period

January 2015 to December 2016.

Surgically resected specimens of mastectomy and lumpectomy, received in the department during the study period, fulfilling the inclusion criteria, were fixed in 10% neutral buffered formalin (NBF) after inking the posterior surface of the specimen and cutting it at an interval of 1 cm, as depicted in Figure 1 and Figure 2. Specimen was kept in the container having 10 times 10% neutral buffered formalin to that of the specimen. After fixation of the specimen for 24 hours, the specimen was grossed using standard protocol. Adequate sampling of tumor was done 1 section for each cm size of the tumor. When tiny multiple foci of necrosis were seen grossly, DCIS was suspected as seen in Figure 1 and more number of grey white areas were sampled to rule out invasion. The sections in the cassette were labeled for each slice of the specimen from medial to lateral [15], so that any slice section showing suspicious foci of micro or focal invasion could be re sampled accordingly. The sections were paraffin embedded and stained with Hematoxylin and Eosin (H and E).

Figure 1: Gross photograph showing mastectomy specimen with grey brown lesion with foci of necrosis. View Figure 1

Figure 2: Gross photograph of mastectomy specimen showing grey white lesion. View Figure 2

Microscopy

Sections showing extensive DCIS with suspicious foci of focal or microinvasion were identified according to the inclusion criteria by irregularities of contours of nest, retraction around nest, desmoplasia of stroma around the focus, high grade DCIS, periductal lymphoid infiltrate, mucocele like lesion.

For all the retrospective cases, clinical and histopathological data were retrieved from laboratory information and 4 micrometer thick sections were obtained from paraffin blocks and studied. Thereafter samples showing extensive DCIS with suspected foci of focal or microinvasion on H&E were identified.

Appropriate sections were prepared on Poly-L-Lysine coated slides for IHC using selective antibodies that included SMA, calponin and p63 using standard protocol.

Immunohistochemical staining

It was done by manual method.

• IHC was done by poly HRP technique.

• To fix, sections were kept at 60 ℃ for 30 minutes.

• De waxing was done in 3 changes of xylene followed by hydration in graded alcohol and water.

• Antigen retrieval was done in pressure cooker in TRIS EDTA at pH 9.0.

• After cooling at room temperature, sections were washed with three changes of distilled water to replace TRIS EDTA gradually.

• Then slides were rinsed in TBS buffer saline thrice for 5 minutes each followed by immersion in 3% methanol H2O2 for 10 minutes to block endogenous peroxidase activity and treated with power block for 10 minutes to inhibit binding to non-specific sites.

• Sections were incubated with primary antibody i.e. either SMA, calponin or p63 for 60 minutes, then secondary antibody (probe) for 15 minutes and HRP- polymer for 30 minutes.

• In between each of these above steps two rinses of TBS for 5 minutes each were applied.

• Antigen antibody complex was visualized by using DAB (diaminobenzidine) as chromogen for 5 minutes.

• Sections were counterstained with Harris hematoxylin for 1 minute.

• Then they were dehydrated through alcohol, cleared in xylene and mounted in DPX.

Interpretation of IHC

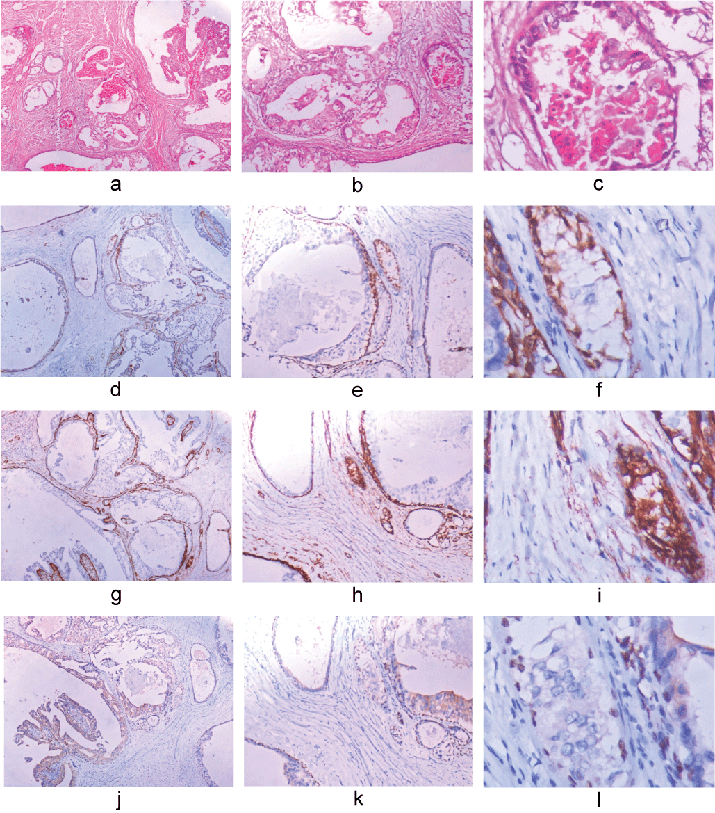
The staining results were assessed by two pathologists. Each IHC marker was interpreted as either present in suspicious foci (presence of myoepithelial cells), or absent in the suspicious foci (loss of myoepithelial cells), with H&E as gold standard. The reactivity of each antibody SMA, calponin and p63 in myoepithelial cells was scored as positive or negative by using positive control of normal breast tissue. The positive and negative staining were interpreted as depicted in Figure 3, Figure 4 and Figure 5.

Figure 3: Case of DCIS with microinvasion on staining with p63.
a: Photomicrograph showing duct with Comedonecrosis, high grade of DCIS with suspicious foci of invasion (H&E 4x).
b: Photomicrograph showing duct with suspicious foci of invasion and surrounding desmoplastic stroma and lymphocytic infiltrate (H&E 10x).
c: Photomicrograph showing breach in myoepithelial layer with microinvasion into the surrounding desmoplastic stroma (H&E 40x).
d: Photomicrograph showing calponin staining the myoepithelial cells with focal loss (4x).
e: Photomicrograph showing cytoplasmic staining of calponin of myoepithelial cells with focal loss in suspicious foci.
f: Photomicrograph showing cytoplasmic staining of myoepithelial cells by calponin with focal loss in suspicious area with two cells out of the duct through breach in myoepithelial cell layer.
g: Photomicrograph showing SMA staining the myoepithelial cells and surrounding stromal fibroblast (4x).
h: Photomicrograph showing cytoplasmic staining of SMA of myoepithelial cells and surrounding stromal cells (10x).
i: Photomicrograph showing cytoplasmic staining of myoepithelial cells and surrounding stomal cells and suspicious foci is interpreted falsely as DCIS (40x).
j: Photomicrograph showing p63 staining the myoepithelial cells with focal loss (4x).
k: Photomicrograph showing nuclear staining of p63 of myoepithelial cells with focal loss in suspicious foci (10x).
l: Photomicrograph showing nuclear staining of myoepithelial cells by p63 with focal loss in suspicious area with two cells out of the duct through breach in myoepithelial cell layer. View Figure 3

Figure 4: Case of DCIS with invasion on H&E.
a: Photomicrograph showing duct with Comedonecrosis, high grade of DCIS with suspicious foci of invasion with surrounding desmoplastic stroma and lymphocytic infiltrate (H&E 4x).
b: Photomicrograph showing suspicious foci of invasion and surrounding desmoplastic stroma and lymphocytic infiltrate (H&E 10x).
c: Photomicrograph showing small nest of cell with surrounding desmoplastic stroma and lymphocytic infiltrate (H&E 40x).
d: Photomicrograph showing calponin staining ducts and adjacent suspicious foci of invasion (4x).
e: Photomicrograph showing cytoplasmic staining of calponin in adjacent DCIS and loss of staining in adjacent foci (10x).
f: Photomicrograph showing loss of staining in the suspicious foci present in the reactive stroma (40x).
g: Photomicrograph showing SMA staining the suspicious foci of invasion (4x).
h: Photomicrograph showing SMA staining the cells surrounding suspicious foci of invasion (10x).
i: Photomicrograph showing SMA staining cytoplasm of the cells of reactive stroma surrounding invasive foci (40x).
j: Photomicrograph showing p63 staining of cells of adjacent DCIS (4x).
k: Photomicrograph of p63 showing no staining of cells in the suspicious foci present in the reactive stroma (10x).
l: Photomicrograph of p63 showing no staining of cells in suspicious foci present in the reactive stroma indicating invasion. View Figure 4

Figure 5: Case of DCIS on staining with calponin.
a: Photomicrograph showing duct with papillary and Comedonecrosis, high grade of DCIS with adjacent suspicious foci of invasion present in desmoplastic stroma (H&E 4x).
b: Photomicrograph showing duct with suspicious foci of invasion and surrounding desmoplastic stroma (H&E 10x).
c: Photomicrograph showing duct with comedonecrosis present in desmoplastic stroma (H&E 40x).
d: Photomicrograph showing calponin staining outer layer of ducts (4x).
e: Photomicrograph showing calponin staining the cytoplasm of outer myoepithelial layer duct with suspicion of invasion present in reactive stroma (10x).
f: Photomicrograph showing calponin staining the intact outer layer of myoepithelial cell layer of suspicious duct present in the reactive stroma (40x).
g: Photomicrograph showing SMA staining outer layer of the duct (4x).
h: Photomicrograph showing SMA staining cytoplasm of the cells of outer intact myoepithelial cell layer of suspicious duct and few stromal cells (10x).
i: Photomicrograph showing SMA staining the cytoplasm of the cells of outer intact myoepithelial layer of suspicious duct and few stromal cells (40x).
j: Photomicrograph showing p63 staining the duct outer layer of ducts with (4x).
k: Photomicrograph showing p63 staining the nuclei of the intact outer myoepthelial cell layer of suspicious duct (10x).
l: Photomicrograph showing p63 staining the nuclei of outer myoepithelial cells of suspicious duct indicating DCIS (40x). View Figure 5

True positive: present in the noninvasive foci i.e. DCIS correctly identified as DCIS.

False positive: Absent in noninvasive foci i.e. DCIS incorrectly identified as invasion.

True negative: Absent in the invasive foci i.e. invasion correctly identified as invasion.

False negative: Present in the invasive foci i.e. invasion incorrectly identified as DCIS.

All the DCIS cases were re categorized into one of the three categories depending on the presence or absence and measurement of invasive foci as follows:

• DCIS (absence of invasive foci).

• DCIS with microinvasion (presence of < 0.1 cm of invasive focus).

• DCIS with Invasive ductal carcinoma (presence of > 0.1 cm of invasive foci).

The staining pattern of three categories is depicted in Figure 3, Figure 4 and Figure 5.

The sensitivity and specificity of each marker in making the diagnosis was calculated (Table 1).

Table 1: List of different IHC markers used in the study. View Table 1

Results

The number of patients included in the study was 100.

Age distribution

The age of the patients ranged from 30-77 years with median age of 49 years. Majority (31) of patients were in the 40-49 years of age group (Figure 6).

Figure 6: Age distribution. View Figure 6

Presenting complaint

All the patients presented with breast lump.

Mammography findings

Maximum number (48) of patients included in the study showed BIRADS score of IVc, followed by BIRADS IVA (27), BIRADS IV B (14), BIRADS V (7) and BIRADS III (4) (Figure 7).

Figure 7: BIRADS score. View Figure 7

Type of specimen

The type of specimens received included 79 mastectomy and 21 lumpectomy (Figure 8).

Figure 8: Type of specimen. View Figure 8

Laterality

The tumor was located in left breast in 56 cases and in the right breast in 44 (Figure 9).

Figure 9: Laterality of the lesion. View Figure 9

Site of the tumor

Maximum (44) number of patients had tumor in the central quadrant of breast, followed by 33 in the upper outer quadrant, 12 in the upper inner quadrant, 9 in the lower outer quadrant and 4 in the lower inner quadrant (Figure 10).

Figure 10: Site of lesion. View Figure 10

Size of the tumor

Size of the tumor ranged from 1-13 cm with median size of 3.5 cm. Majority (31) of patients had tumor size ranging from 2.1-3.0 cm (Figure 11).

Figure 11: Size of the lesion. View Figure 11

Gross findings

Tiny foci of necrosis were seen grossly in 51specimens, grey white areas in 42 and tiny cystic areas in 7 (Figure 12).

Figure 12: Gross findings of lesion. View Figure 12

Margins of tumor

Ill-defined margins were seen in 91 cases and well circumscribed margins in 9 (Figure 13).

Figure 13: Margins of tumor. View Figure 13

Changes in adjacent breast

The changes in the adjacent breast parenchyma included fibrofatty areas in 87, epithelial hyperplasia in 6, adenosis in 4 and fibrocystic change in 3 (Figure 14).

Figure 14: Adjacent breast findings. View Figure 14

Type of DCIS

Most common type of DCIS seen was solid in 73, cribriform in 55, papillary in 19 and micropapillary in 2. Comedo type necrosis was seen in 73 cases and non comedo type necrosis in 27 (Table 2 and Table 3).

Table 2: Patterns of DCIS. View Table 2

Table 3: Types of DCIS seen. View Table 3

Grade of DCIS

Majority (75) were high grade DCIS followed by intermediate grade in 23 and low in 2 (Table 4 and Figure 15).

Figure 15: Grades of DCIS. View Figure 15

Table 4: Grades of DCIS. View Table 4

Morphological features suggesting microinvasion

Majority (78) of cases show features of periductal stromal retraction, followed by, nest of cells in 65 cases, lymphocytic infiltration in 56 cases and mucocele in 20 cases (Table 5).

Table 5: Morphological features seen. View Table 5

Results of immunohistochemistry

All the cases included in the study were given a diagnosis of DCIS with suspicious foci of invasion on H& E sections. The morphologic features on H&E were summarized in Table 5. These cases were subjected to IHC with SMA, Calponin and p63.

Results of IHC

SMA was true positive in 21, false positive in 59, true negative in 18 and false negative in 2.

Calponin was true positive in 20, false positive in 10, true negative in 68 and false negative in 2.

p63 was true positive in 15, false positive in 1, true negative in 77 and false negative in 7 (Table 6).

Table 6: Immunohistochemistry results. View Table 6

Diagnosis after review

The results of IHC were reviewed by two pathologists and were reported as DCIS in 22, DCIS with microinvasion (DCIS with MI) in 7 and DCIS with focal invasive ductal carcinoma in 71 (Table 7 and Figure 16).

Figure 16: Diagnosis after review. View Figure 16

Table 7: Diagnosis after review. View Table 7

Comparative Analysis of DCIS, DCIS with Micro Invasion and DCIS with Focal Invasion

Age distribution

Median age in DCIS is 48 years, in DCIS with MI is 40 years, in DCIS with focal invasion is 49 years (Table 8).

Table 8: Age distribution in DCIS versus DCIS with MI and DCIS with focal invasion. View Table 8

BIRADS score

Majority (14) of DCIS cases have BIRADS score of IVA, DCIS with MI (4) have BIRAD score IVC and DCIS with focal invasion (41) also BIRADS score IVC (Table 9).

Table 9: BIRADS score in DCIS versus DCIS with microinvasion and DCIS with focal invasion. View Table 9

Majority of DCIS, DCIS with MI, DCIS with focal invasion have tumor located in central quadrant i.e. 10, 5, 29 cases respectively.

Majority of DCIS (16) cases have tumor in left breast, DCIS with MI is seen in right breast in majority (4) of cases, DCIS with focal invasion is seen in left breast in majority (37) of the cases.

Median size of tumor in DCIS, DCIS with MI, DCIS with focal invasion are 2.5, 1.5, 3 cm respectively (Table 10).

Table 10: Laterality, location and size of the tumor in DCIS versus DCIS with microinvasion and DCIS with focal invasion. View Table 10

Majority of DCIS cases have non-comedo necrosis (13) and intermediate grade DCIS (12), DCIS with MI and DCIS with focal have comedo necrosis in 5, 59 cases respectively and high-grade DCIS in 5, 60 cases respectively (Table 11).

Table 11: Type of DCIS seen in pure DCIS versus DCIS with microinvasion and DCIS with focal invasion. View Table 11

Role of IHC in Differentiation of DCIS With or Without Invasion

In the present study, with morphological features alone in the detection of invasion, there was suspicious of invasion in 22% of cases where the final diagnosis was DCIS alone. Morphology alone could not distinguish DCIS with microinvasion from DCIS with focal invasion. This was resolved by IHC for myoepithelial markers and only 7 cases had microinvasion in contrast to 71 cases who had focal invasion. This highlights the role of IHC with myoepithelial markers for detecting micro or focal invasion from pure, albeit extensive DCIS and these observations have direct impact on therapeutic decisions.

Statistical Analysis

Smooth muscle actin (SMA) has sensitivity of 91.30%, specificity of 23.70%, positive predictive value of 26.25% and negative predictive value of 90%.

By using chi-square test 'p' value was 0.021 which is statistically significant in diagnosing DCIS, DCIS with microinvasion and DCIS with focal invasion.

Calponin has sensitivity of 90.90%, specificity of 87.17%, positive predictive value of 66.66% and negative predictive value of 97.14%.

By using chi-square test 'p' value was 0.001 which is statistically significant in diagnosing DCIS, DCIS with microinvasion and DCIS with focal invasion.

p63 has sensitivity of 68.18%, specificity of 98.71%, positive predictive value of 93.75% and negative predictive value of 91.66%.

By using chi-square test 'p' value was 0.1 which was not statistically significant in diagnosing DCIS, DCIS with microinvasion and DCIS with focal invasion.

On plotting ROC curve for immunohistochemical markers SMA, Calponin and p63, the area under curve for SMA was 0.634, for calponin it was 0.596 and for p63 it was 0.688. Accuracy of the test was measured by the area under the ROC curve. An area of 1 represents a perfect test (Table 12).

Table 12: Area under the curve. View Table 12

Discussion

Duct carcinoma in-situ is a premalignant condition and may be associated with foci of microinvasion or focal invasion. Certain morphologic features like irregularities of contours of nests, retraction around nests, desmoplasia of stroma around the focus, high grade DCIS, preductal lymphoid infiltrate or mucocele like lesion provide useful clues to suspect micro or focal invasion [12]. The most important feature for diagnosis of micro or focal invasion is loss of myoepithelial cells and breach in the basement membrane [14]. Though this feature may be appreciated on H&E stained sections, definitive diagnosis becomes challenging, especially in cases with extensive DCIS. However, this feature is important to establish as the treatment protocols and prognosis amongst DCIS, DCIS with microinvasion and DCIS with focal invasion differ [16]. In the present study myoepithelial markers were used to detect microinvasive and focally invasive areas in the setting of extensive DCIS.

In present study the age of the patients ranged from 30-77 years with median age of 49 years. All patients presented with lump in the breast and 97% had mammographic evidence of microcalcifications. These observations were similar to those described in earlier studies [10,11,16]. However, the frequency of microcalcifications was much higher in the present study, possibly attributed to the availability, sensitivity of the technique and sample size. In the present study, 89% of patients had BIRADS IV score, indicating suspicion of malignancy which correlated with the morphologic inclusion criteria [17].

In the present study mastectomy was the most common type of specimen constituting 79%. The chance of local recurrence was reported to be more common in lumpectomy specimen due to close margins compared to mastectomy specimen similar to Padmore, et al. study [18]. There was predominance (56%) of left sided lesions with central or retroareolar location in 44% lesions, similar to earlier studies [19]. The median size of the tumor was 3.5 cm in the present study which was comparable to other studies [10,18,20]. Multiple tiny foci of necrosis (51%) and ill-defined margins (91%) on the macroscopic examination to suspect foci of invasion is seen in the present study.

The grade of the DCIS and type of necrosis are important clues to look for foci of invasion. High grade DCIS and comedo type of necrosis were reported to be associated with invasion as seen in the present study [8,11,18]. Comedo type necrosis was seen in 73% and high-grade DCIS in 75% cases in the present study.

Immunohistochemistry

Several IHC markers were studied to reliably demonstrate foci of invasion in DCIS [14,21]. Of these, cytokeratins and S-100 were reported to have low sensitivity and specificity, whereas calponin, smooth muscle actin (SMA), smooth muscle myosin heavy chain (SMMHC) and p63 were reported to be specific for myoepithelial cells [10,13,22]. SMMHC was reported to be very specific for breast myoepithelial cells [21,23]. In the present study, SMA, calponin and p63 were used as myoepithelial markers.

In the present study sensitivity of SMA, calponin and p63 were 91.3%, 90.9% and 68.18% respectively. Hua, et al. [22] reported sensitivity of 98% and 75% for calponin and SMA respectively. Werling, et al. [13] reported a sensitivity of 100% for calponin and 90%. Riberio, et al. [10] concluded that p63 is not a sensitive marker in staining myoepithelial cells. The results in the present study were comparable to those in the earlier studies and the variations could be attributed to inclusion of different histologies and the sample size.

In the present study specificity for SMA, calponin and p63 was 26.25%, 87.17% and 98.71% respectively. The high specificity of p63 as seen in the present study was reported earlier [13,24].

The positive predictive value of SMA, calponin and p63 were 26.25%, 66.66%, and 93.75% respectively whereas the negative predictive value of SMA, calponin and p63 was 90%, 97.14%, 91.66% respectively. These results indicate that p63 is a highly specific marker to detect invasion. These observations are in agreement with other studies [13,24] (Table 13).

Table 13: Comparison of sensitivity of IHC markers with the other studies. View Table 13

Though IHC is reported to help in detecting invasion in DCIS, several problems in interpretation were reported [10,25]. Section from a small duct may simulate detached cell aggregates mimicking invasion [10]. The suspicious foci on H& E, may show continuous myoepithelial layer on further sectioning or the focus may be lost in further section. The ducts with suspicious foci need to be seen on both H&E and IHC for proper interpretation. Localization of various markers to the suspicious foci needs double immunolabelling as reported by [10].

The cytoplasmic markers like SMA and calponin may pose problems in interpretation due to smudgy staining. Double immunolabelling was not done in the present study. Lack of representative foci on IHC was seen in the present study which was resolved by repeat IHC on representative section.

In the present study DCIS constituted 22%, DCIS with microinvasion 7% and DCIS with invasion constituted 71% of the total 100 cases of DCIS with suspicious foci of invasion on H&E. DCIS with microinvasion was reported to be a very rare lesion of breast accounting for 13.5% cases of DCIS and less than 1% breast cancer cases [1,10,11]. Our results are in agreement with these reported studies where DCIS with microinvasion constituted only 7% of DCIS with or without invasion (Table 14).

Table 14: Age distribution in years in DCIS versus DCIS with MI and DCIS with invasion. View Table 14

The median age in the present study in DCIS, DCIS with microinvasion and DCIS with invasion was 48, 40 and 49 years respectively and this observation was in agreement with other studies [18,19].

Eberl, et al. [17] reported that the BIRADS score increases as the chances of malignancy increase [17]. On mammography, 63.6% patients were in BIRADS IV A, whereas 57.1% of patients with DCIS with microinvasion and 57.7% of patients with DCIS with invasion were in BIRADS IV C in the present study.

In the present study majority of patients in all the three groups had central location of tumor, which is in agreement with other studies [19]. However, the size of the tumor was larger in invasive when compared to DCIS or DCIS with microinvasion in the present study, as observed earlier [20] (Table 15).

Table 15: Types and grades of DCIS in Pure DCIS versus DCIS with microinvasion and DCIS with invasion. View Table 15

In the present study, the predominant type of necrosis was non comedo necrosis seen in 59% of DCIS, whereas it was comedo necrosis in DCIS with microinvasion (71.4%) and DCIS with invasion (83%). This was comparable to earlier studies [11,16].

Grade of DCIS

In the present study DCIS showed predominant intermediate grade constituting 54.5%, whereas DCIS with microinvasion and DCIS with invasion showed predominant high-grade constituting 71.4% and 84.5% respectively. This is comparable to the study by Mascarel, et al. [16] in which DCIS was associated with low grade and DCIS with microinvasion was associated with high grade. In the present study the most common morphological criteria for suspecting invasion seen is periductal stromal retraction seen in 78% cases followed by nest of cells which is comparable to [10] study in which desmoplastic stroma is seen in 55% cases.

In the present study, with morphological features alone in the detection of invasion, there was suspicion of invasion in 22% of cases where the final diagnosis was DCIS alone. Morphology alone could not distinguish DCIS with microinvasion from DCIS with focal invasion. This was resolved by IHC for myoepithelial markers and only 7 cases had microinvasion in contrast to 71 cases who had focal invasion. This highlights the role of IHC with myoepithelial markers for detecting micro or focal invasion from pure, albeit extensive DCIS and these observations have direct impact on therapeutic decisions. Out of all markers used in present study i.e. SMA, calponin and p63, calponin has the highest sensitivity and p63 has the highest specificity. Hence this panel of IHC markers can be used to identify microinvasion/focal invasion in morphologically suspicious biopsies. These observations are in agreement with earlier studies.

Acknowledgement

• My deepest gratitude and Special thanks to the great teacher, great person my teacher Dr. Sundaram for her help, patience and guidance.

• Thanks to Dr. Anjaneyulu, Dr. Daphne Fonseca for her guidance and support without whom this thesis would have not been materialized.

• It is with intense gratitude and heartfelt appreciation I would like to thank the Head of the department Dr. Sudha Murthy, whose generous support and persistent help facilitated me to accomplish the work.

• Thank you doesn't seem sufficient but it is said with appreciation and respect to, Dr. Suseela, Dr. Faiq Ahmed, Dr. Ravindranath Tagore, Dr. Manasi Mundada, Dr. Daphne Fonseca, Dr. Rachna Khera, Dr. Sandhya and Dr. CK Naidu for a constant source of motivation.

• Special thanks to Dr. Lavanya for her timely support and help.

• I am highly indebted to my seniors Dr. Hari Preetha, Dr. Pankaj, Dr. Siddharth, Dr. Barasha, Dr. Sahithi and Dr. Nidhi for their encouraging support and guidance.

• I gratefully acknowledge the friendly and fun filled cooperative atmosphere provided at work by my colleagues Dr. Sruthi mala, Dr. Gowri, Dr. Archana, Dr. Charitha, Dr. Meena and Dr. Tejo mayi, Dr. Manoghna and Dr. Sai kiran.

• Most of the results in this thesis would not have been obtained without a close collaboration and technical expertise of lab technicians Ravinder, Srinivas, Ajitha, Manoj Kumar, Vijaya, Ramu, Madhuri, Naveen. I thank each and every individual in the department.

• The utmost respect goes to my patients without whom this work would never have been reached.

• Last but not the least special thanks and heartfelt appreciation to my husband, mother in law, father in law, my brothers and sister and especially my mother Shahina Parveen for their continuous support, patience and encouragement during this period without whom this work would not be possible.

References

  1. Lakhani SR, Ellis IO, Schnitt SJ, Tan PH, van de Vijver MJ (2012) World health organization classification of tumours of breast. (4th edn), IARCH press, Lyon, France.
  2. Kumar V, Abbas AK, Fausto N, JC Aster (2015) Robins & Cotran pathology basis of diseases. (8th edn), Saunders, Philadelphia, USA, 1044-1070.
  3. Bane A (2013) Ductal carcinoma in situ: What the pathologist needs to know and why. International Journal of Breast Cancer 2013.
  4. Agrawal SN (2017) Ductal carcinoma in situ: The challenges and approaches. Archives of International Surgery 6: 137-145.
  5. Momin YA, Kulkarni MP, Deshmukh BD, Sulhyan KR (2016) Diagnostic pitfall in a case of ductal carcinoma-in situ with microinvasion. J Cytol 33: 98-100.
  6. Rohilla M, Bal A, Singh G, Joshi K (2016) Prediction of heterogeneity in breast cancer immunophenotype at ductal carcinoma in situ stage? J Cancer Res Ther 12: 1249-1256.
  7. Aguiar FN, Mendes HN, Cirqueira CS, Bacchi CE, Carvalho MF (2013) Basal cytokeratin as a potential marker of low risk of invasion in ductal carcinoma in situ. Clinics 68.
  8. Badruddoja M (2012) Ductal carcinoma in situ of the breast: A surgical perspective. International Journal of Surgical Oncology 2012.
  9. Agarwal G, Ramakant P (2008) Breast cancer care in India: The current scenario and the challenges for the future. Breast Care 3: 21-27.
  10. Ribeiro-silva A, Zamzelli Ramalho LN, Garcia SB, Zucoloto S (2003) Is p63 reliable in detecting microinvasion in ductal carcinoma in situ of the breast? Pathol Oncol Res 9: 20-23.
  11. Silver SA, Tavassoli FA (1998) Mammary ductal carcinoma in situ with microinvasion. Cancer 82: 2382-2390.
  12. Juan Rosai (2011) Breast. Rosai and Ackerman's Surgical Pathology volume 2. (10th edn), Elsevier, 1660-1733.
  13. Werling RW, Hwang H, Yaziji H, Gown AM (2003) Immunohistochemical distinction of invasive from noninvasive breast lesions. Am J Surg Pathol 27: 82-90.
  14. Russell TD, Jindal S, Agunbiade S, Gao D, Troxell M, et al. (2015) Myoepithelial cell differentiation markers in ductal carcinoma in situ progression. Am J Pathol 185: 3076-3089.
  15. Lester SC, Bose S, Chen YY, Connolly JL, de Baca ME, et al. (2009) Protocol for the examination of specimens from patients with ductal carcinoma in situ (DCIS) of the breast protocol applies to dcis without invasive carcinoma or microinvasion.
  16. de Mascarel I, MacGrogan G, Mathoulin-Pélissier S, Soubeyran I, Picot V, et al. (2002) Breast ductal carcinoma in situ with microinvasion A definition supported by a long-term study of 1248 serially sectioned ductal carcinomas. Cancer 94: 2134-2142.
  17. Eberl MM, Fox CH, Edge SB, Carter CA, Mahoney MC (2006) BI-RADS classification for management of abnormal mammograms. J Am Board Fam Med 19: 161-164.
  18. Padmore RF, Fowble B, Hoffman J, Rosser C, Hanlon A, et al. (2000) Microinvasive breast carcinoma: Clinicopathologic analysis of a single institution experience. Cancer 88: 1403-1409.
  19. Hittmair AP, Lininger RA, Tavassoli FA (1998) Ductal carcinoma in situ (DCIS) in the male breast: A morphologic study of 84 cases of pure DCIS and 30 cases of DCIS associated with invasive carcinoma--a preliminary report. Cancer 83: 2139-2149.
  20. Wahedna Y, Evans A, Pinder S, Ellis I, Blamey R, et al. (2001) Mammographic size of ductal carcinoma in situ does not predict the presence of an invasive focus. Eur J Cancer 37: 459-462.
  21. Yaziji H, Gown AM, Sneige N (2000) Detection of stromal invasion in breast cancer: the myoepithelial markers. Adv Anat Pathol 7: 100-109.
  22. Hua X, Yu L, Huang X, Liao Z, Xian Q (2011) Expression and role of fibroblast activation protein-alpha in microinvasive breast carcinoma. Diagn Pathol 6: 111.
  23. Kalof AN, Tam D, Beatty B, Cooper K (2004) Immunostaining patterns of myoepithelial cells in breast lesions a comparison of CD10 and smooth muscle myosin heavy chain. J Clinical Pathology 57: 625-629.
  24. Reis-Filho JS, Milanezi F, Amendoeira I, Albergaria A, Schmitt FC (2003) Distribution of p63, a novel myoepithelial marker, in fine-needle aspiration biopsies of the breast. Cancer 99: 172-179.
  25. Arazi-kleinman T, Causer PA, Nofech-mozes S, Jong RA (2017) Is ductal carcinoma in situ with "possible invasion" more predictive of invasive carcinoma than pure ductal carcinoma in situ? Can Assoc Radiol J 63: 146-152.

Citation

Firdous S, Anjaneyulu, Fonseca D, Murthy S, Challa S, et al. (2018) The Study of Ductal Carcinoma In Situ (DCIS) with Microinvasion Using Myoepithelial Markers. Int J Pathol Clin Res 4:074. doi.org/10.23937/2469-5807/1510074