Citation

Her YF, Liang J, Caldera KE (2023) Treatment of Refractory Chronic Gluteal Pain with Ultrasound Guided Botulinum Toxin A Injection to the Obturator Internus: A Case Report. Int J Physiatry 9:029. doi.org/10.23937/2572-4215.1510029

Case Report | OPEN ACCESS DOI: 10.23937/2572-4215.1510029

Treatment of Refractory Chronic Gluteal Pain with Ultrasound Guided Botulinum Toxin A Injection to the Obturator Internus: A Case Report

Yeng F. Her1*, Jonathan Liang2 and Kristain E. Caldera2

1Department of Anesthesiology and Perioperative Medicine, Mayo Clinic Hospital, Rochester, MN 55905, USA

2Department of Orthopedia and Rehabilitation, University of Wisconsin-Madison Hospitals and Clinics, Madison, WI 53705, USA

Abstract

Chronic gluteal pain is challenging to treat due to the complex anatomy of the posterior hip and potential pain generators. This case report describes a noval approach of using ultrasound guided diagnostic injection targeting the most tender point on palpaiton in a 56-year-old female with chronic gluteal pain that was refractory to conservative therapies and interventional injections of the piriformis muscle, sciatic nerve branch, lumbar epidural, ischial tuberosity, sacroiliac joint, and right hip joint. The injected muscle was the obturator internus, which provided immediately pain relief throughout the duration of action of the local anesthetic. The pain was successfully treated with botox injection in follow-up.

Chronic gluteal pain, Obturator internus tendonitis, Chemodenervation, Botulinum toxin, Ultrasound

Introduction

Pain of the posterior hip and buttock region is a common presenting complaint. Chronic pain in this region may be debilitating, often affecting one’s capability of sitting or walking for prolonged periods of time. However, the anatomy of the posterior hip is complex and the list of potential pain generators in this region is large. Among many others, differential diagnoses may include piriformis or deep gluteal syndrome (DGS), sacroiliac syndrome, ischial syndromes, coccygeal syndromes, and hamstring tendinopathies [1]. A lack of specific physical examination or imaging findings further contributes to diagnostic and therapeutic challenges.

Conservative treatment options include rest, activity modification, oral analgesics, and rehabilitation. Interventional treatments may include corticosteroid injections to specific muscles or bursae within this region under ultrasound guidance [2]. There has also been a growing use of botulinum toxin for various musculoskeletal conditions, including chronic exertional compartment syndrome, plantar fasciopathy, and myofascial pain syndrome [3]. There have only been a few cases that report its use in the treatment of gluteal or pelvicpain [4,5]. Botulinum toxin injections may be considered if previous treatment options have been exhausted. Here we describe a case of chronic gluteal pain treated with a novel US-guided injection with BTA using a posterior approach to minimize invasiveness and maintain accuracy.

Case

A 56-year-old female presented to our clinic with chronic gluteal pain. She states she fell from a horse two years prior, resulting in right L3 and L4 transverse process fractures and soft tissue contusions that were treated non-operatively and conservatively. She continued to endorse an intermittent aching pain in the right, inferomedial gluteal region. The pain was worst when sitting in a chair, impacting her ability to drive a car. Diagnoses considered included piriformis syndrome, lumbar radiculopathy, ischial bursitis, sacroiliitis, and osteoarthritis of the hip. Previous treatments included corticosteroid injections of the right piriformis, right sciatic nerve branch, L3-L4 epidural space via an interlaminar approach, right ischial tuberosity, right sacroiliac joint, and right hip joint, as well as both aquatic and pelvic floor physiotherapy. However, all prior treatments were unsuccessful in reducing pain.

On physical examination, tenderness to palpation was noted in the muscle belly inferomedial to the right ischial tuberosity. Posture, gait, hip and spine range of motion, motor strength, and sensation to light touch were normal. Straight leg raises test was negative bilaterally. CT of the thoracolumbar spine and pelvis revealed unchanged, minimally displaced fractures of the right L3 and L4 transverse processes and mild degenerative changes in the bilateral sacroiliac and right hip joints.

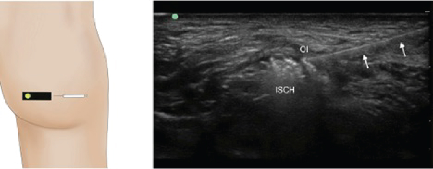
The point of maximal tenderness was palpated and then identified with ultrasound as the right OI (Figure 1). An US-guided lidocaine injection into the OI provided immediate and complete pain relief for 4 hours. As such, the right OI was then planned for BTA injection a few weeks later. Incobotulinum toxin was used at a concentration of 100 units per 1 mL in a 0.5 mL syringe. No further dilution of BTA was performed. A 27-gauge, 38 mm (1.5 inch) needle was used. US were used to identify the right OI. The needle was inserted in-plane with the US probe into the OI muscle belly in close proximity to the right ischial tuberosity. A total of 50 units were injected into one site. Over the next few days to weeks, she reported greater than 50 percent pain reduction, allowing her to sit in a chair and drive a car. Relief began to fade around 3 to 4 months with injections repeated each time with up to 95% pain relief.

Figure 1: A linear transducer was positioned horizontally over the point of maximal tenderness at the right ischial tuberosity. On long-axis view, the OI muscle was visualized crossing the ischium over the ischial spine and identified with passive internal and external rotation of the right leg. A 27 Gauge 1.5 inch needle directed in plane laterally to medially. Fifty units of BTA were injected with good spread noted within the muscle. (OI: Obturator internus, ISCH: Ischium, arrows: Needle). View Figure 1

Discussion

Gluteal pain arising from the obturator internus (OI) is not often considered, though can be a significant contributor to pain due to its unique anatomy [6]. The OI originates from the membrane of the obturator foramen and inserts with the superior and inferior gemellus muscles onto the medial surface of the greater trochanter, forming the gemelli-OI complex [7]. By exiting posteriorly from the pelvis then laterally over the ischium, the OI can experience significant stress [6]. Additionally, thickening of the OI may lead to pudendal nerve entrapment within the pudendal canal [8]. Injections of the OI may be beneficial in the treatment of various pain syndromes, such as myofascial pain syndrome, pudendal nerve entrapment syndrome, chronic pelvic pain, and obturator tendonitis and bursitis [4,5,9-12].

Due to the OI’s relatively small size, depth, and proximity to the sciatic nerve, image-guided injection with ultrasound (US), fluoroscopy, computed tomography (CT) or magnetic resonance imaging (MRI) is recommended [13]. Results vary depending on the etiology of pain and injectate used. One patient received three days of gluteal pain relief from a CT-guided OI injection of local anesthetic and corticosteroid [Rohde]. Fluoroscopy-guided OI injections of local anesthetics and corticosteroid or botulinum toxin-A (BTA) provided up to three months of pain relief [5,9]. MRI-guided OI injections have been useful for diagnosing and treating patients with pudendal neuropathy from OI spasm [10].

Recently, US guidance has been used to identify and treat various pathologies of the obturator internus muscle. Advantages of US include reduced radiation exposure and lower cost as compared to other modalities. US is more accurate than fluoroscopy for OI injection [8]. Thus it may be the optimal approach for precise injection of OI [13]. However, few US-guided techniques for OI injections have been described. Evans, et al. described a case of chronic pelvic pain where the OI was palpated intravaginally, then identified from an anterior view with ultrasound with visualization of needle’s path and local muscle twitching to direct an injection of BTA [4]. Chen, et al. described a case of OI tendonitis where the point of maximal gluteal tenderness was correlated with ultrasonographic identification of OI. Both the OI tendon sheath and bursa were then injected with lidocaine and corticosteroid using a posterior approach [11].

In contrast to other techniques, we first performed a diagnostic trigger point injection with lidocaine from a posterior approach to identify OI as the main pain generator. This diagnostic step increased the efficacy of subsequent BTA injection of the same area. Additionally, this injection approach is less invasive in comparison to the previously described anterior approach with intravaginal palpation.BTA injections provided near resolution of symptoms with increased quality of life and functionality, especially with sitting. These injections provided 3 months of pain relief for our patient likely due to the known muscle reinnervation process that completes around 3 months following BTA injection. Interestingly the patient described a similar amount of relief with numerous repeated injections every 3 months for several years, suggesting sustained benefit. Additionally, no significant side effects were reported since initiation of treatment. Weaknesses of our case study included the inherently small sample size and lack of control sample.

Disclosure Statement

We certify that all listed authors meet the authorship criteria and participated in the concept, design, analysis, or writing of the manuscript. The authors have no disclosures, funding sources, or competing interests.

References

  1. Hu YWE, Ho GWK, Tortland PD (2021) Deep gluteal syndrome: A pain in the buttock. Curr Sports Med Rep 20: 279-285.
  2. Chang KV, Wu WT, Lew HL, Özçakar L (2018) Ultrasound imaging and guided injection for the lateral and posterior hip. Am J Phys Med Rehabil 97: 285-291.
  3. Moore C, Hulsopple C, Boyce B (2020) Utilization of botulinum toxin for musculoskeletal disorders. Curr Sports Med Rep 19: 217-222.
  4. Evans SF, Porter JM (2015) Simplified technique for injection of botulinum toxin to obturator internus muscle using ultrasound-guided nerve stimulation for persistent pelvic pain. Aust N Z J Obstet Gynaecol 55: 612-614.
  5. Gajraj NM (2005) Botulinum toxin a injection of the obturator internus muscle for chronic perineal pain. J Pain 6: 333-337.
  6. Shinohara H (1995) Gemelli and obturator internus muscles: Different heads of one muscle? Anat Rec 243: 145-150.
  7. Cox JM, Bakkum BW (2005) Possible generators of retrotrochanteric gluteal and thigh pain: The gemelli-obturator internus complex. J Manipulative Physiol Ther 28: 534-538.
  8. Finnoff JT, Hurdle MFB, Smith J (2008) Accuracy of ultrasound-guided versus fluoroscopically guided contrast-controlled piriformis injections: A cadaveric study. J Ultrasound Med 27: 1157-1163.
  9. Dalmau-Carolà J (2005) Myofascial pain syndrome affecting the piriformis and the obturator internus muscle. Pain Pract 5: 361-363.
  10. Filler AG (2009) Diagnosis and treatment of pudendal nerve entrapment syndrome subtypes: Imaging, injections, and minimal access surgery. Neurosurg Focus 26: E9.
  11. Chen B, Rispoli L, Stitik T, Leong M (2017) Successful treatment of gluteal pain from obturator internus tendinitis and bursitis with ultrasound-guided injection. Am J Phys Med Rehabil 96: e181-e184.
  12. Rohde RS, Ziran BH (2003) Obturator internus tendinitis as a source of chronic hip pain. Orthopedics 26: 425-426.
  13. Smith J, Wisniewski SJ, Wempe MK, Landry BW, Sellon JL (2012) Sonographically guided obturator internus injections: Techniques and validation. J Ultrasound Med 31: 1597-1608.

Citation

Her YF, Liang J, Caldera KE (2023) Treatment of Refractory Chronic Gluteal Pain with Ultrasound Guided Botulinum Toxin A Injection to the Obturator Internus: A Case Report. Int J Physiatry 9:029. doi.org/10.23937/2572-4215.1510029