Citation

Loveland JD, Wodajo B, Zanella JM (2025) A Prospective Study Evaluating Improved Quality of Life and Physical Function in Patients That Underwent Reconstructive Surgery for Charcot Neuroarthropathy Deformities. Int J Foot Ankle 09:091. doi.org/10.23937/2643-3885/1710091

Original Article | OPEN ACCESS DOI: 10.23937/2643-3885/1710091

A Prospective Study Evaluating Improved Quality of Life and Physical Function in Patients That Underwent Reconstructive Surgery for Charcot Neuroarthropathy Deformities

Jeffrey D Loveland, DPM, FACFAS1*, Bezawit Wodajo2 and John M Zanella, MS3

1Central Tennessee Foot and Ankle Center, Sparta, TN, USA

2Stryker Trauma and Extremities, Franklin, TN, USA

3Stryker Trauma and Extremities, Memphis, TN, USA

Abstract

Introduction: Charcot neuroarthropathy can lead to severe deformity of the foot and ankle, which can adversely impact affected individuals. Surgical reconstruction may preserve the foot and ankle along with improved function, but it is uncertain if surgical success translates to patient perception of improved health-related quality of life. Patient-reported outcome measures are tools that collect information directly reported by patients regarding their perceptions of health, quality of life, or functional status, which may identify the outcomes patients associate with a successful surgery.

Methods: A consecutive series of patients undergoing Charcot reconstructive surgery using internal and/or external fixation techniques were recruited to participate. The Foot and Ankle Ability Measure and the EuroQol five dimensions questionnaires were administered pre-operatively, at time of final follow-up (~6 months) and at 1-year. Forty patients were enrolled.

Results: At 1-year, 36 (90%) of the patients were successful in having the deformity corrected and walking independently on infection-free, ulcer-free feet without the need for mobility aids; there were 2 withdrawals from the study following revisional surgery, 1 amputation, and 1 death. The surgical success outcomes were matched by the patients' assessment of improvement in quality of life with 1-year patient-reported outcome data reporting a statistically improved EuroQol five dimensions Index, quality of life visual analog scale, and Foot and Ankle Ability Measure activities of daily living subscale scores at 1-year post-operatively. All questionnaire scores were improved compared to the previous time point (p < 0.0001).

Conclusion: The 1-year patient-reported outcome results indicate that successful surgical reconstruction of a Charcot neuropathic deformity positively changed the patients' quality of life.

Keywords

Activities of daily living, Charcot Neuroarthropathy, EQ-5D, Foot and Ankle Ability Measure, patient outcomes

Abbreviations

ADL: Activities of Daily Living; CN: Charcot Neuroarthropathy; CROW: Charcot Restraint Orthotic Walker; CT: Computed Tomography; EQ-5D: EuroQol Five Dimensions, Five Level; EQ-VAS: EuroQol-Visual Analog Scale; FAAM: Foot and Ankle Ability Measure; QoL: Quality of Life; PRO: Patient-Reported Outcome; PROM: Patient-Reported Outcome Measure

Introduction

Charcot neuroarthropathy (CN) is a complicated condition involving the interaction of several component factors that results in an acute localized inflammatory condition that may lead to bone destruction, subluxation, dislocation, and deformity [1]. Predominantly experienced in the foot and ankle, [2] CN secondary to diabetes mellitus is the most common etiology; however, leprosy, alcoholism, syringomyelia, rheumatoid arthritis, multiple sclerosis, and traumatic injury may also facilitate the development of CN [2]. The development of CN deformities in the foot and ankle predisposes the patient to increased morbidity, decreases patient-reported quality of life (QoL), and increases the risk of ulceration and the potential for amputation [3,4].

Traditional nonoperative offloading devices, such as total contact casting, Charcot restraint orthotic walker (CROW) devices, and bracing [4,5], fail to address the patient’s functional goals or perception of outcome [6]. Several studies have demonstrated that cumbersome bracing had patient-reported outcome (PRO) scores similar to patients who underwent lower extremity amputation [3,7,8]. Recognizing that traditional treatments negatively impact health-related QoL has refined the treatment goals for CN foot disorders to the resolution of infection and the correction of the deformity so the patient can wear commercially available therapeutic footwear [9].

The surgical correction of CN deformities is currently advised for the nonplantigrade foot that bears weight through tissue not designed to accept the loads associated with weight bearing [10-13]; thus, surgical reconstruction may be undertaken with the aim of reducing the risk of ulceration by creating a stable plantigrade foot allowing the patient to bear weight and mobilize, thereby decreasing morbidity and the risk of amputation [14]. A variety of techniques have been described to achieve these surgical outcomes [15,16]; however, the implied rationale for subjecting this highly comorbid patient population to the risks associated with surgery suggests that success will allow the patient to ambulate in the community without the need for cumbersome footwear, decrease pain, and reverse perceived impairment [1,10,17-20]. The goal of this prospective cohort sub-study was to determine whether successful CN deformity correction is associated with an improvement in PROs. We hypothesized that patients would report improved PROs post-operatively compared to their pre-operative state and the results would be maintained for at least 1-year. Our primary aim was to assess patient physical function and QoL before and following CN deformity correction.

Methods

Following Institutional Review Board approval (WCG IRB # 1300984), consecutive subjects seeking surgical treatment for CN deformity correction were recruited to participate in the Lower Extremity Fixation in Neuropathic Patients Study (ClinicalTrials.gov ID: NCT04607044). Patients had to be male or non-pregnant female, age ≥ 18 years at the time of surgery; willing and able to give written informed consent and comply with the requirements of the study protocol; and treated or intended to be treated with one or a combination of specific internal and external fixation devices used for CN deformity correction in accordance with the instructions for use. Patients were excluded if they were unable to complete the requested follow-up visits. Patient enrollment started in February 2021 and the last patient completed the 1-year follow-up visit in January 2023.

Patients who participated in the study presented with unstable foot and/or ankle deformities developed from CN. After standard foot and ankle radiographs were obtained along with advanced imaging studies (Magnetic Resonance imaging and/or Computed Tomography (CT) scans), if needed, along with a clinical evaluation, patients discussed their treatment options before electing to undergo a surgical reconstruction to realign and stabilize the deformity. The standard surgical procedure had the patient placed in a supine position on the operating table under general or spinal anesthesia along with the use of a thigh tourniquet. Patients had standard joint prep at the affected joints with curettage, rotatory burring along osteotomies as needed to realign the deformity. Patients who had tarsometatarsal and navicular-cuneiform joint deformities with no ankle instability or severe equinus deformity underwent a midfoot reconstruction that included midfoot osteotomy with realignment, medial and lateral column fusion, and subtalar joint fusion with the use of either beams, bolts, and/or a midfoot nail device with the use of bone grafting substitute to help promote healing at the fusion sites (Figure 1). Ankle reconstruction was indicated for patients with 1) a plantarflexed talus along with disassociation of the talus and the calcaneus with the calcaneus posteriorly disassociation of the subtalar joint, 2) the destruction of the navicular and/or dislocation of the midtarsal joints on top of the navicular, or 3) if there was gross instability of the ankle and/or subtalar joint or destruction of the bone within the ankle joint. Ankle reconstruction was performed when destruction of the talus bone or a varus/valgus deformity of the ankle joint upon stance was seen in the imaging. Ankle reconstruction was fixated with a hindfoot fusion nail and bone grafting material to promote fusion at the site (Figure 2). An external fixator was used in most patients (n = 26) to help maintain the correction and provide stability when healing. Patients without external fixation were placed in a below the knee cast. All patients stayed overnight in the hospital following surgery. Patients were seen in the office every 2 weeks for follow up, and radiographs were obtained to assess healing and patient compliance to remain non-weightbearing on the affected limb. CT scans were obtained 12-16 weeks post-operatively to assess healing at the fusion sites [21]; external fixation, if used, was removed at this time. All patients went into a CROW boot until the 1-year follow-up date.

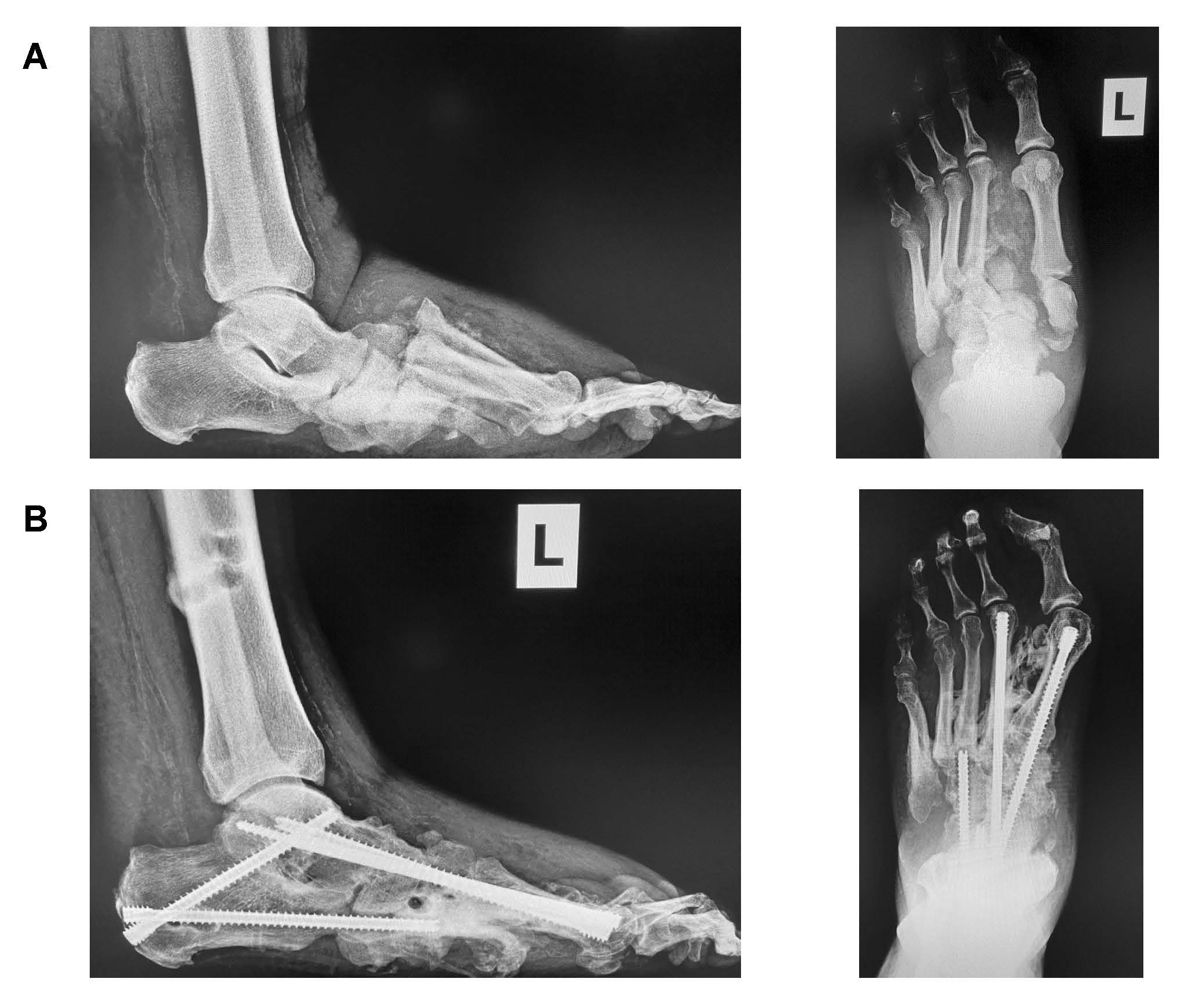
Figure 1: A) Pre-operative vs. B) 1-year post-operative radiographs demonstrating a midfoot Charcot reconstruction with medial and lateral column fusion and sub talar joint fusion with use of beams and bolts. View Figure 1

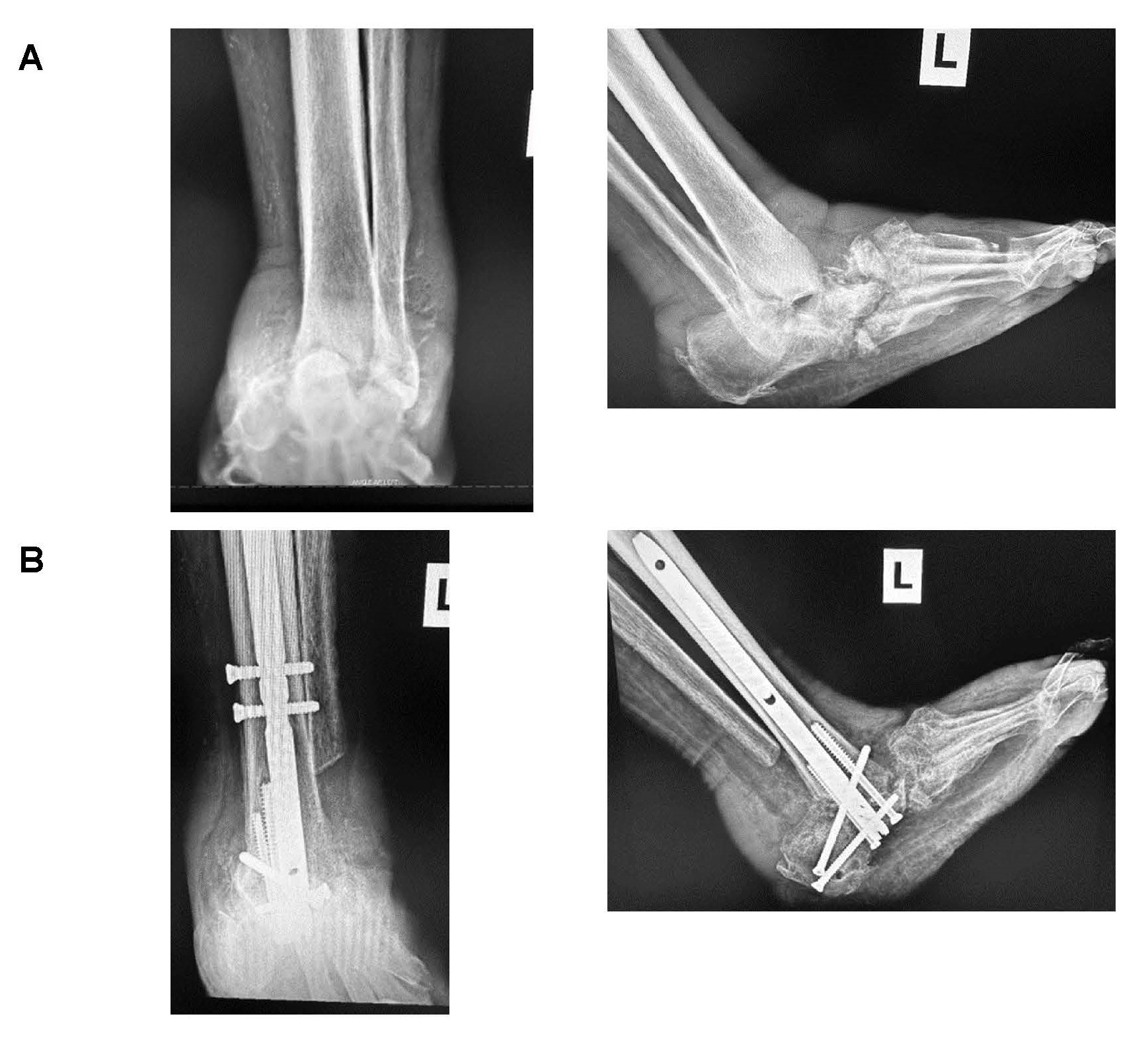
Figure 2: A) Pre-operative vs. B) 1-year post-operative radiographs showing an ankle Charcot reconstruction with ankle fusion using a hindfoot fusion nail. View Figure 2

The Foot and Ankle Ability Measure (FAAM) and the EuroQol five dimensions, 5-Level (EQ-5D) questionnaires were administered to all enrolled patients pre-operatively, at the time of the final follow-up for the surgery (~6 months) and at 1-year. The FAAM is a self-reported measure that was developed to be a comprehensive assessment of physical performance amongst individuals with a range of leg, foot and ankle disorders. Unlike many PRO measures (PROMs), the FAAM is not a disease-specific measure but is region-specific [22]. The FAAM has been shown to be valid and responsive in assessing diabetic foot disease [8,23,24]. This instrument includes 2 subscales: Activities of Daily Living (ADL) (21 items) and Sports (8 items). For each subscale patients are asked to answer each question with a single response that most clearly described their physical performance within the past week: no difficulty (4 points), slight difficulty (3 points), moderate difficulty (2 points), extreme difficulty (1 point), and unable to do (0 points). To calculate the score for either subscale, the total numbers of points are added (84 for the ADL subscale and 32 for the sports subscale) and converted to a percentage. A higher score reflects a higher level of physical function.

The EQ-5D is a generic health survey used to compare improvement across different interventions and measure changes in health-related QoL over time [25]. Through various comparisons and studies, the reliability of the EQ-5D score has been proven for use in determining patient health after foot and ankle procedures [26,27]. The EQ-5D index score consists of 5 questions (mobility, self-care, pain, usual activities and psychological status) with 5 possible responses (no problem, slight problems, moderate problem, severe problems and extreme problems). The patient is asked to indicate his/her health state by ticking the box next to the most appropriate statement expressing their level for that dimension. The levels for all five dimensions are combined into a 5-digit number that describes the patient’s health state [25,28]. The EQ-5D index values were calculated using the US version of the EQ-5D crosswalk value set, converting health states into a summary index where higher scores indicate better overall health. In the US, this index ranges from - 0.573 to 1, with 1 representing the best possible QoL and values below zero indicating a QoL worse than death [28].

The EuroQol-visual analogue scale (EQ-VAS) records the patient’s self-rated health on a 100mm-vertical VAS, where the endpoints are labelled ‘The best health you can imagine’ and ‘The worst health you can imagine’. The EQ-VAS can be used as a quantitative measure of health that reflects the patient’s own judgement [25].

Statistical analysis

Data analysis was performed using SAS software, version 9.4M8 (SAS Institute Inc., Cary, NC, USA). Categorical data is described in frequencies, and continuous data is presented as means with ranges. Percentages are reported where appropriate as a descriptor. The Wilcoxon signed-rank test was used to compare the pre-operative and post-operative EQ-5D index and FAAM scores. P-values ≤ 0.05 were considered statistically significant.

Results

Forty patients underwent a primary limb salvage procedure. Thirteen subjects had surgery to reconstruct the midfoot, and 27 had their ankle reconstructed. Four patients were lost to follow-up in the first 12 months post-operatively: 2 withdrew after undergoing revisional surgery due to nonunion, 1 had an amputation due to an infection, and 1 died from unrelated health complications; all had ankle reconstructions. The remaining 36 patients returned to walking (90%). The average time to bony consolidation as assessed by CT scan [21] was 118.25 ± 25.69 (range: 69 - 201) days. Patients returned to weight bearing approximately 4 weeks after confirmation of bony consolidation when their custom CROW boots were available. Other reported complications were loose external fixator (n = 2), infection (n = 1), pin site infection (n = 1), broken hardware (n = 1), and post-operative tibial fracture (n = 1); the broken hardware and tibial fracture patients remained in the study following revision.

Thirty-six patients completed the FAAM and EQ-5D questionnaires at all timepoints and were included in the analysis. Baseline characteristics of these patients are listed in Table 1. There were 15 females and 21 males. The average age at time of surgery was 56.72 ± 12.52 (range: 31 - 77) years. Mean body mass index was 36.27 ± 8.41 (range: 25.75 - 67.31) kg/m 2 , and the mean glycated hemoglobin A 1C was 7.59 ± 1.73% (range: 4.20% - 11.00%). Glycated hemoglobin A 1C levels did not appear to be a factor in the healing success of these patients.

Table 1: A table showing the baseline demographicsa (n = 36 limbs). View Table 1

The mean PROM scores are presented in Table 2. The 36 patients with 1-year PROMs data reported a pre-operative mean EQ-5D Index score of 0.12 ± 0.32 (range: -0.52 - 0.72), a 6-months score of 0.85 ± 0.13 (range: 0.60 - 1.00) and a 1-year score of 0.93 ± 0.08 (range: 0.78 - 1.00). Similar improvements were experienced by both the midfoot (0.20 ± 0.35 pre-operative, 0.95 ± 0.08 at 6-months and 0.98 ± 0.04 at 1-year) and ankle (0.08 ± 0.31 pre-operative, 0.79 ± 0.11 at 6-months and 0.90 ± 0.08 at 1-year) reconstruction groups. Figure 3 presents the patient responses for each of the EQ-5D dimensions. The mean score for each individual dimension was significantly improved (p < 0.0001) at both post-operative time points compared to the pre-operative baseline mean. There was further improvement in the Mobility (p = 0.0001), Usual Activities (p = 0.002), and Anxiety/Depression (p = 0.0117) dimensions at 1-year compared to the 6-month follow-up assessment. The Self-Care (p = 0.25) and Pain/Discomfort (p = 1.0) dimensions did not significantly change between the post-operative time points.

Figure 3: Changes in the scoring of the five dimensions comprising the EQ-5D index Score (n = 36). Graph left axis is the total number of patients answering the question with a specific score: 1 = "I have no..."; 2 = "I have slight...", 3 = "I have moderate...", 4 = "I have severe...", and 5 = "I am unable..." or "I have extreme...". Graph right axis is the mean score at each time point. A) Mobility dimension scores; B) Self-Care dimension scores; C) Usual-Activities dimension scores; D) Pain/Discomfort dimension Scores; E) Anxiety/Depression dimension scores. +p < 0.05; *p < 0.001 vs. previous time point. View Figure 3

Table 2: A table presenting the mean EQ-5D Index, EQ-VAS and FAAM ADL subscale scoresa (n = 36). View Table 2

The mean EQ-VAS scores increased from 32.50 ± 9.97 (range: 20 - 60) pre-operatively to 77.92 ± 11.56 (range: 50 - 95) at 6-months and 87.33 ± 8.68 (range: 70 - 100) at 1-year. The midfoot reconstruction group improved from a 31.92 ± 10.90 pre-operative mean to 80.77 ± 11.51 at 6-months and 92.15 ± 6.15 at 1-year. The ankle reconstruction group improved from a 32.83 ± 9.97 pre-operative mean to 76.30 ± 11.50 at 6-months and 84.61 ± 8.82 at 1-year. The EQ-5D scores for all patients were statistically improved compared to the previous time point (p < 0.0001). The mean EQ-5D Index Score and EQ-VAS were statistically improved (p < 0.0001) at 6 months compared to baseline for the midfoot and ankle reconstruction. The mean EQ-5D Index Score and EQ-VAS were statistically improved (p < 0.05) at 1-year compared to 6-months for the ankle reconstructions. The mean EQ-VAS score was statistically improved (p < 0.05) at 1-year compared to 6-months for the midfoot reconstructions. The midfoot reconstruction mean EQ-5D Index Score improved at 1-year compared to 6-months but the improvement was not significant.

Patients reported a pre-operative mean FAAM ADL subscale score of 25.33 ± 13.99 (range: 4 - 62), a 6-months score of 81.89 ± 13.17 (range: 35 - 100) and a 1-year score of 92.01 ± 6.88 (range: 67 - 100). Both the midfoot (31.54 ± 15.84 pre-operative, 87.77 ± 8.59 at 6-months and 95.42 ± 3.53 at 1-year) and ankle (21.83 ± 11.78 pre-operative, 78.57 ± 14.28 at 6-months and 90.08 ± 7.59 at 1-year) reconstruction groups showed continued improvement over time. The mean FAAM ADL subscale scores were statistically improved at each timepoint compared to the previous time point (p < 0.0001). The mean FAAM ADL subscale scores for the ankle reconstruction group were also statistically improved at each timepoint compared to the previous time point (p < 0.0001). The midfoot reconstruction group had a statistically improved (p < 0.0001) mean FAAM ADL subscale score at 6-months compared to baseline and at 1-year compared to 6-months (p < 0.05). Figure 4 presents the mean for all patient responses to each of the FAAM ADL questions. All but four questions reported mean scores that were statistically improved at each timepoint compared to the previous time point (p < 0.05). Squatting was found to be statistically different at 6-months (p = 0.0002) and at 1-year (p < 0.0001) compared to baseline, but the difference between the two post-operative time points was not significant (p = 1.0000). Coming up on your toes was statistically different at 6-months (p = 0.0310) and at 1-year (p = 0.0002) compared to baseline but not between the two post-operative time points (p = 0.5000). The Personal Care score was statistically different at 6-months and at 1-year compared to baseline (p < 0.0001), but the difference at 1-year compared to the 6-month time point was not significant (p = 0.1250) despite all 36 patients reporting the best possible response (No Difficulty = 4) to the question. There was no difference at either post-operative time point compared to baseline for the question asking about participating in recreational activities.

Figure 4: Changes in the mean scoring of each question in the FAAM Activities of Daily Living sub score (n = 36). +p < 0.05; *p < 0.001 vs. previous time point. View Figure 4

Patients reported a pre-operative mean FAAM Sports subscale score of 2.69, but 30 recorded a score of zero. During the post-operative period (surgery to 1-year), these patients were instructed not to perform the types of activities assessed by the FAAM Sports subscale, so this section of the questionnaire was not completed post-operatively.

At the time of enrollment, 35 of the 40 subjects who enrolled in the study were walking while 5 required the use of mobility aids (wheelchair, walker or knee scooter). Of the patients who were not available at the 1-year post-operative visit, the patient who passed away was wheelchair bound, the subject who went on to amputation was walking with bracing, and the 2 patients who dropped out following revision surgery were ambulating with the use of a CROW boot. Pre-operatively, of the 36 patients who completed the PROM questionnaires at all time points, 33 were walking while 3 required mobility aids (walker). Post-operatively, 35 patients were walking. All patients were in CROW boots until the 1-year assessment to protect the deformity correction, per surgeon’s protocol. One subject requested telephone follow-up with the surgeon post-operatively; the PROM responses at 1-year post-operatively were 1.00 on the EQ-5D Index score and 100% on the FAAM ADL, which would indicate that this patient was walking in shoes.

Discussion

Charcot foot is a severely disabling condition that deleteriously impacts on the life and lifestyle of affected individuals. A disproportionate number of these patients have appreciable physical disability without apparent mental health dysfunction [3]. Surgical reconstruction may provide the individual with an opportunity to preserve the foot and achieve improved function [15] by resolving the infection, healing the wound, or successful correcting the deformity, metrics typically associated with surgery [6].

The present study analyzed the experience of a single surgeon using a variety of surgical techniques to correct CN deformities. The results were successful, with an overall union rate of 90% (36 of 40) at 1 year with no new infections reported and 1 subject (of 36) experienced a new ulcer (2.78%), which was successfully treated with local wound care and antibiotics. The ambulatory status for these subjects was 94.73% (36/38) with 1 amputation (2.63%) and 1 death (2.63%); 2 subjects withdrew prior to establishing ambulatory status. These results are aligned with the 86.10% bone fusion rate and the 91% return to ambulation found by Ha, et al. [15] in their systematic review of 42 studies reporting on a mixture of surgical techniques to reconstruct 1116 CN feet.

While the surgical results reported in this study met the expectations of the surgeon, the metrics typically associated with surgery do not necessarily meet patients’ expectations [6], which are the ability to walk and resume the relatively normal life that they enjoyed prior to developing limb-threatening wounds [29]. Clinicians have turned to PROs, information directly reported by patients regarding their perceptions of health, QoL, or functional status without interpretation by health care providers [7], to ascertain if the patient considered the surgery a success.

Despite the value in collecting PROs to establish the patient’s perspective of their livelihood pre- versus post-surgery, these tools are rarely used clinically. In the systematic review of CN surgical reconstruction by Ha, et al. [15], only seven of the 42 studies, representing 98 of the 1121 feet (8.7%) included in the review, reported results from PROMs, including one using the EQ-5D [14] but none referenced the FAAM.

The EQ-5D is a generic health survey used to measure changes in health-related QoL over time [25]. A limit of the EQ-5D index score is it is holistic and does not focus on a specific region of the body or disease state, but it has been used in determining patient health after foot and ankle procedures [26,27]. The EQ-5D was designed as a utility measure of health [30], and negative utility values, representing health states that the patient considers to be worse than death, are possible. The patients in this study reported a pre-operative EQ-5D Index score of 0.12 ± 0.32 with 13 reporting negative-value scores, indicating just how unhealthy this patient population considered themselves prior to surgery. The success of the surgery was reflected in the 1-year post-op mean score of 0.93 ± 0.08. The EQ-5D Index scores from this study are contrasted by the more modest changes seen by Emara, et al. [31] (0.56 ± 0.09 pre-op to 0.71 ± 0.08 1-year post-op) and Siebachmeyer, et al. [14] (0.63 pre-op to 0.67 post-op) following hindfoot fusion using a retrograde intramedullary nail to treat CN. Considering the lower pre-op score of the current study compared to the other two, a future study should evaluate the effects of surgery on unhealthy patients versus those of moderate health.

The individual EQ-5D dimensions are not validated as individual outcome measures [32], however, knowing an individual’s answers may reveal their pre-operative condition as well as surgical success. The significantly improvement (p < 0.0001) in means for each individual dimension at both post-operative time points compared to the pre-operative baseline means are indicative that the patients in this study found the surgery to be a success. (Figure 3).

While a utility measure of health such as the EQ-5D is useful in assessing a patient’s health state and functioning, a region-specific outcome measure such as the FAAM may be more appropriate and responsive when assessing the outcomes of treatment as it pertains to foot and ankle disorders [33]. A few studies have shown the FAAM to be valid and responsive for patients with diabetes and foot and/or ankle related disorders [8,23,24]. Two studies have shown the benefits of using the FAAM in evaluating the QoL in patients with diabetic CN [8,34]; however, these studies only evaluated the current QoL of the patients evaluated and excluded those patients with previous surgery of the midfoot, hindfoot, or ankle. Only Wukich and Pearson [35] used the FAAM to evaluate pre-operative versus post-operative (a minimum of 1-year) PROs following trans-tibial amputation (n = 13). These patients had a statistically significant post-operative improvement in both FAAM subscale scores.

The patients in the current study had a similar pre-operative FAAM ADL score as those in Wukich and Pearson’s [35] amputation group: 25.33 ± 13.99 vs. 29.40 ± 28.90, respectively. By 1-year post-operative, however, the mean FAAM ADL score report by the salvage surgery group (92.01 ± 6.876 vs. 62.93 ± 22.73 amputation) was nearly twice the improvement seen by the amputation group: 66.67 ± 13.52 vs. 33.53 ± 37.81, respectively. The success of the FAAM ADL subscale score is not to suggest that the patients in this study found every question to be pertinent to their life situation. The patients in this study did not find themselves squatting, coming up on their toes, performing heavy work or participating in recreational activities; activities, like those assessed by the FAAM Sports subscale, that the surgeon instructed the patients not to perform following their salvage surgery. Similar to the EQ-5D, the individual FAAM questions are not validated as individual outcome measures, but they can provide insight into the positive impact of salvage surgery (Figure 4).

Limitations

The analysis of the patient responses to the FAAM questions emphasizes the obvious criticism of this study being the PROMs used to evaluate the patient-perceived success of surgical reconstruction of CN deformities. Unfortunately, while several tools exist to measure PROs in patients with foot-related complications of diabetes, there is no one ideal PROM and each have limitations [33]. The overall responsiveness to the questions that make up the EQ-5D questionnaire appears to address QoL concerns that are important to this patient group and should be considered as a generic measure of QoL. The problems encountered with the FAAM, particular the questions comprising the Sports subscale, limits its value as a PROM to assess patients with CN deformities; however, most of the questions asked in the ADL subscale appeared to be important to the current life goals of this patient group. Use of the ADL subscale as a stand-alone, unvalidated PROM may be an option. Researchers considering the development of an assessment tool specific to patients suffering from CN may want to consider those questions with the highest response rate.

Other limitations to this investigation include the limited follow-up time, an evaluation of the impact of the different comorbidities was not performed, and while larger than any of the studies in the review by Ha, et al. [15], the study population is relatively small. Although adequately powered to determine statistical differences in the post-operative PROM scores compared to the pre-operative scores, this may prove to be an issue when following this highly comorbid patient group out longer-term or performing any of the stratification analyses needed to address the other limitations.

Conclusions

The intent of the study was to determine whether successful CN deformity correction is associated with an improvement in PROs. At 1-year, 90% of the patients had the deformity successfully corrected and walking independently without the need for mobility aids. The surgical success outcomes were matched by the patients’ assessment of improvement in QoL with 1-year PROs data reporting statistically improved EQ-5D Index, EQ-VAS and FAAM ADL scores at 1-year post-operatively (p < 0.0001). Our results suggest that the surgical reconstruction of a CN deformity can provide a clinically meaningful improvement in a patient’s QoL and independence.

Source of Support

The Lower Extremity Fixation in Neuropathic Patients Study was funded by Stryker Trauma and Extremities (Mahwah, NJ, USA).

Human Subjects

Consent was obtained by all participants in this study.

Conflicts of Interest

JDL is a paid consultant for Stryker Corporation and Vilex, LLC. BW and JMZ are paid employees of Stryker Corporation.

While Stryker does have a commercial interest in the internal and external fixation implants that could be used for the surgical correction of Charcot neuroarthropathy deformities, the focus of the study is unrelated to Stryker’s interests and no specific product is mentioned. The tools discussed in this manuscript are available either free of cost (FAAM questionnaire) or from an unrelated organization, EuroQol Research Foundation.

Statement of Equal Authors' Contribution

JDL obtained informed patient consent, collected study data, and read all imaging to assess bony consolidation. BW and JMZ carried out data analyses. JMZ wrote the first draft of the manuscript. All authors reviewed and edited the manuscript and approved the final version of the manuscript.

References

  1. Rogers LC, Frykberg RG, Armstrong DG, Boulton AJM, Edmonds M, et al. (2011) The Charcot foot in diabetes. Diabetes Care 34: 2123-2129.
  2. Galhoum AE, Abd-Ella MM, Zahlawy HE, Tejero S, Valderrabano V, et al. (2022) Infected unstable Charcot ankle neuroarthropathy, any hope before amputation? A prospective study. Int Orthop 46: 1481-1488.
  3. Dhawan V, Spratt KF, Pinzur MS, Baumhauer J, Rudicel S, et al. (2005) Reliability of AOFAS diabetic foot questionnaire in Charcot arthropathy: Stability, internal consistency, and measurable difference. Foot Ankle Int 26: 717-731.
  4. Wukich DK, Sung W (2008) Charcot arthropathy of the foot and ankle: Modern concepts and management review. J Diabetes Complications. 23: 409-426.
  5. Pinzur MS (2007) Current concepts review: Charcot arthropathy of the foot and ankle. Foot Ankle Int 28: 952-959.
  6. Kroin E, Chaharbakhshi EO, Schiff A, Pinzur MS (2018) Improvement in quality of life following operative correction of midtarsal Charcot foot deformity. Foot Ankle Int 39: 808-811.
  7. Pinzur MS, Evans A (2003) Health-related quality of life in patients with Charcot foot. Am J Orthop (Belle Mead NJ) 32: 492-496.
  8. Raspovic KM, Wukich DK (2014) Self-reported quality of life in patients with diabetes: A comparison of patients with and without Charcot neuroarthropathy. Foot Ankle Int 35: 195-200.
  9. Pinzur MS (2023) The modern treatment of Charcot foot arthropathy. J Am Acad Orthop Surg 31: 71-79.
  10. Pinzur MS, Schiff AP (2018) Deformity and clinical outcomes following operative correction of Charcot foot: A new classification with implications for treatment. Foot Ankle Int 39: 265-270.
  11. Harkin EA, Schneider AM, Murphy M, Schiff AP, Pinzur MS (2019) Deformity and clinical outcomes following operative correction of Charcot ankle. Foot Ankle Int 40: 145-151.
  12. Bevan WPC, Tomlinson MPW (2008) Radiographic measures as a predictor of ulcer formation in diabetic Charcot midfoot. Foot Ankle Int 29: 568-573.
  13. Pinzur M (2004) Surgical versus accommodative treatment for Charcot arthropathy of the midfoot. Foot Ankle Int 25: 545-549.
  14. Siebachmeyer M, Boddu K, Bilal A, Hester TW, Hardwick T, et al. (2015) Outcome of one-stage correction of deformities of the foot and hindfoot and fusion in Charcot neuroarthropathy using a retrograde intramedullary hindfoot arthrodesis nail. Bone Joint J 97-B: 76-82.
  15. Ha J, Hester T, Foley R, Reichert ILH, Vas PRJ, et al. (2020) Charcot foot reconstruction outcomes: A systemic review. J Clin Orthop Trauma 11: 357-368.
  16. Wukich DK, Kavarthapu V (2023) Charcot foot: Surgical management and reconstruction. In: Functional Limb Salvage. CE Attinger, JS Steinberg, Cham, 237-250.
  17. Strotman PK, Reif TJ, Pinzur MS (2016) Charcot arthropathy of the foot and anke. Foot Ankle Int 37: 1255-1263.
  18. Pinzur MS (2007) Neutral ring fixation for high-risk nonplantigrade Charcot midfoot deformity. Foot Ank Int 28: 961-966.
  19. Pinzur MS, Gil J, Belmares J (2012) Treatment of osteomyelitis in Charcot foot with single stage resection of infection, correction of deformity and maintenance with ring fixation. Foot Ankle Int 33: 1069-1074.
  20. Sammarco VJ, Sammarco GJ, Walker EW Jr, Guiao RP (2009) Midtarsal arthrodesis in the treatment of Charcot midfoot arthropathy. J Bone Joint Surg Am 91: 80-91.
  21. Loveland JD, McMillen RL, Cala MA (2020) A multicenter, retrospective, case series of patients with Charcot neuroarthropathy deformities undergoing arthrodesis utilizing recombinant human platelet-derived growth factor with beta-tricalcium phosphate. J Foot Ankle Surg 60: 74-79.
  22. Martin RL, Irrgang JJ, Burdett RG, Conti SF, van Swearingen JM (2005) Evidence of validity of the Foot and Ankle Ability Measure (FAAM). Foot Ankle Int 26: 968-983.
  23. Kivlan BR, Martin RL, Wukich DK (2011) Responsiveness of the foot and ankle ability measure (FAAM) in individuals with diabetes. Foot (Edinb) 21: 84-87.
  24. Martin RL, Hutt DM, Wukich DK (2009) Validity of the foot and ankle ability measure (FAAM) in Diabetes Mellitus. Foot Ankle Int 30: 297-302.
  25. EQ-5D-5L User Guide (2021) Basic informamation on how to use the EQ-5D-5L Instrument, version 3.0. EuroQol Research Foundation.
  26. Maher AJ, Kilmartin TE (2012) An analysis of Euroqol EQ-5D and Manchester Oxford Foot Questionnaire scores six months following podiatric surgery. J Foot Ankle Res 5: 17.
  27. Payakachat N, Ali MM, Tilford JM (2015) Can the EQ-5D detect meaningful change? A systematic review. Pharmacoeconomics 33: 1137-1154.
  28. Pickard AS, Law EH, Jiang R, Pullenayegum E, Shaw JW, et al. (2019) United States valuation of EQ-5D-5L health states using an international protocol. Value Health 22: 931-941.
  29. Silva Buzato MA, Tribulatto EC, Costa SM, Zorn WGW, van Bellen B (2002) Major amputations of the lower leg. The patients two years later. Acta Chir Belg 102: 248-252.
  30. Walters SJ, Brazier JE (2005) Comparison of the minimally important difference for two health state utility measures: EQ-5D and SF-6D. Quality Life Res 14: 1523-1532.
  31. Emara KM, Diab RA, Hemida MA (2018) Tibio-calcaneal fusion by retrograde intramedullary nailing in Charcot neuroarthropathy. Foot (Edinb) 34: 6-10.
  32. Caplan N, Robson H, Robson A, Kelly M, Wilkes G (2018) Changes in health-related quality of life (EQ-5D) dimensions associated with community-based musculoskeletal physiotherapy: A multi-centre analysis. Qual Life Res. 7: 2373-2382.
  33. Hogg FRA, Peach G, Price P, Thompson MM, Hinchliffe RJ (2012) Measures of health-related quality of life in diabetes-related foot disease: A systemic review. Diabetologia 55: 552-565.
  34. Raspovic KM, Hobizal KB, Rosario BL, Wukich DK (2015) Midfoot Charcot neuroarthropathy in patients with diabetes: The impact of foot ulceration on self-reported quality of life. Foot Ankle Spec 8: 255-259.
  35. Wukich DK, Pearson KT (2013) Self-reported outcomes of trans-tibial amputations for non-reconstructable Charcot neuroarthropathy in patients with diabetes: A preliminary report. Diabet Med 30: e87-e90.

Citation

Loveland JD, Wodajo B, Zanella JM (2025) A Prospective Study Evaluating Improved Quality of Life and Physical Function in Patients That Underwent Reconstructive Surgery for Charcot Neuroarthropathy Deformities. Int J Foot Ankle 09:091. doi.org/10.23937/2643-3885/1710091