Citation

Mishra R, Sharma V, Dhole S (2024) An Interesting Case of Ruptured Sinus of Valsalva of Right Coronary Sinus with a Missed Vsd and the Role of Intraoperative Tee-A Mandatory Life Saving Tool. Int J Anesthetic Anesthesiol 11:182. doi.org/10.23937/2377-4630/1410182

Case Report | OPEN ACCESS DOI: 10.23937/2377-4630/1410182

An Interesting Case of Ruptured Sinus of Valsalva of Right Coronary Sinus with a Missed Vsd and the Role of Intraoperative Tee-A Mandatory Life Saving Tool

Roly Mishra1*, Vikas Sharma, MBBS, MD, FNB2 and Sunil Dhole, MBBS, MD, PDCC3

1FIACTA Fellow, Department of Cardiac Anaesthesia, Fortis Escorts Heart Institute, Delhi, India

2Senior Consultant, Department of Cardiac Anaesthesia, Fortis Escorts Heart Institute, Delhi, India

3Director and Head of the Department of Cardiac Anaesthesia, Fortis Escorts Heart Institute, Delhi, India

Abstract

Ruptured sinus of Valsalva aneurysm (RSOV) (most commonly right sinus), a rare finding but well-recognized clinical entity. Invariably a form of left-to-right shunt due to rupture into right-sided chambers. A ruptured sinus of valsalva may lead to life threatening complications including myocardial ischemia, obstruction of right ventricle outflow tract and cardiac tamponade especially in acute rupture. Thus, it warrants urgent surgical or percutaneous repair. We present a case of CAD-TVD which was pre diagnosed with RSOV on accounts of ongoing chest discomfort and breathing difficulty on exertion with transthoracic echocardiography suggesting large left to right shunt with continuous flow murmur. An additional VSD was only diagnosed when Transesophageal echocardiography (TEE) was performed after anaesthesia induction. This missed defect can be catastrophic in post-operative period. The role of TEE cannot be undermined in diagnosis and adequate correction of these defects.

Keywords

Sinus of valsalva aneurysm, Ventricular septal defect, Transesophageal, Echocardiography, Heart failure, Pulmonary artery pressure

Introduction

Ruptured sinus of Valsalva aneurysm (RSVA) is a rare cardiac anomaly that may occur isolated or can occur with ventricular septal defect, aortic regurgitation, or bicuspid aortic valve, insidiously or acutely rupturing into cardiac chambers and causing heart failure symptoms. They are most commonly seen in the Asian population.

The first formal classification system for sinus of Valsalva aneurysm was proposed by Sakakibara and Konno [1] in 1962. Sakakibara’s classification system can only be used for those aneurysms considered congenital in origin; thus, RSVAs originating from the left coronary sinus are not represented in the system. Another rare condition, such as right coronary sinus aneurysm ruptured into the left ventricle was also not represented by the original criteria. In addition, Sakakibara’s classification presumes that noncoronary RSVAs will only penetrate into the right atrium but they can rupture into right ventricle also. Thus, the modified classification by Xin-Jin L, et al. [2] has also become popular. As per Sakakibara classification our patient was classified under lllv category (Table 1).

Table 1: Classification system for RSVA. View Table 1

Our case was extremely challenging to us anaesthesiologists as along with RSOV and an undiagnosed PM-VSD, our patient had critical TVD with previous failed stents. Further management is well discussed in the case report section.

Case Report

A 52-year-old hypertensive male presented with dyspnoea and palpitations of NYHA III since 2 weeks. He was a known case of CAD and underwent PTCA to RCA in August 2023 and PTCA to LAD in February 2024 and was on medical management for the same. He was on regular medications namely Tab. Clinidipine 10 mg OD, Tab. Prolomet-XL 50 mg BD, Tab. Valsartan 50 mg OD, Tab. Lasix 40 mg OD, Tab. Brillinta 90 mg OD (which was stopped by the patient only two days before the surgery).

2D Transthoracic Echocardiography revealed an LVEF of 45% with normal LV dimensions, akinetic basal IVS, basal mid inferior and posterior wall, mild to moderate mitral regurgitation (MR),trace tricuspid regurgitation (TR), LA dilated (5.5 cms), RSOV of Right Coronary Cusp opening into right ventricle with peak PG-87 mmHg. Normal RV functions with TAPSE 19 mm and PASP 41 mmHg.

With an ACS episode in August 2024, CAG was done which reported LM normal status, LAD (OP) mild disease, ISR (Mid), (D)-90%, Diagonal (OP) 80%, LCX mid plaque, OM (P) 80%, RCA (P) 50% (M) stent patent, PDA diffuse disease, Blood investigations were as follows (Table 2).

Table 2: Blood investigations. View Table 2

Chest X-ray revealed increased bronchovascular markings with cardiomegaly, ECG showed sinus tachycardia. On examination, he was found to have continuous murmur in the left third intercostal space. Normal airway examination was noted.

After interdisciplinary discussion with cardiology, anaesthesia and CTVs team, an elective CABG along with RSOV patch repair was planned. After detailed counselling well-informed high risk consent was taken from the patient and relatives with adequate blood and blood products reservation was also confirmed.

On the day of surgery after confirming the fasting status the patient was wheeled inside the operation theatre. Pre anaesthesia induction we took 14 g peripheral line (Right forearm), 20 g right radial arterial line and neck lines in Right internal jugular vein (8.5# Sheath with PA catheter and 7# triple lumen catheter). Pulmonary artery pressure was 42/19/32 mmHg with systemic pressure of 105/48/66 mmHg. Anaesthesia induction was started after preoxygenation with I. Midazolam 2 mg, I. Fentanyl 150 mcg, I. Etomdiate 16 mg, I. Vecuronium 8 mg. Airway was secured with 8.5 no ET tube (Position confirmed on auscultation and ETCo 2 graph). Right Femoral arterial line was inserted post induction. Temperature probe was also attached. Cardiac output monitoring set (by thermodilution method) was also prepared.

TEE probe was inserted with utmost precaution.

Other than the TTE findings an additional Perimembranous VSD was documented on TEE examination which was not reported in TTE.

Our surgical plan was revised to perform CABG (off pump) as long as the patient tolerates since RSOV and additional VSD could increase PAP and worsen existing hemodynamic even more during heart handling for OM grafting.

LIMA to LAD, RSVG to DIAGONAL and RADIAL ARTERY to OM- these grafts were done off pump with Infusion Norepinephrine and Infusion Nitroglycerin support. Since PDA was badly diseased it was decided to go on cardiopulmonary bypass first. Aortic and bicaval cannulations were performed and cardiopulmonary bypass was initiated after adequate heparinisation (ACT-792 seconds).RSVG to PDA grafting was done. After the aorta was clamped, Ostial cardioplegia and cardioplegia through the PDA graft was given. RSOV repair was done with dacron patch and VSD closure was also performed by Right atrium approach. RVOT muscle resection was done after confirming extra muscle bundle in TEE examination as it can cause RVOT obstruction in future. Aorta was closed and proximal grafting was done. Right atrium was closed after that.

Under TEE guidance aorta was unclamped after no air bubbles in chambers, transient ventricular pacing was needed @90/mt, s ventilation began and with inotropic support-Infusion Epinephrine 0.1 mcg/kg/minute, Infusion Norepinephrine 0.1 mcg/kg/minute, and Infusion Milirinone 0.5 mcg/kg/minute.

On TEE evaluation adequate RSOV repair and no residual VSD shunt was confirmed. Patient came off cardiopulmonary bypass uneventfully. Patient’s self-heart rhythm was restored, hence pacing was switched off.

Hemostasis was achieved after blood and blood products transfusion. Patient’ was on long acting blood thinners and with long pump time multiple transfusions were given to gain adequate hemostasis.

Arterial blood gas analysis post-surgical closure.

Hb- 9.8 gm Ph- 7.36 PCO 2 - 40 PO 2 (FiO 2 -0.6)- 257.4 K + -4.09 HCO 3 - 22.4 BE (-)2.7 SaO 2 - 98.5 Lactates- 4.25 Calcium- 0.97 ACT- 143 HGT- 163 mg/dl

Cardiac output- 4.19 L/min Cardiac Index- L/min/m 2 BSA- 1.88 m 2

SVR- 954 dynes/secs/cm -5 PVR-171 dynes/secs/cm -5 SV-37 ml

Discussion

Sinus of Valsalva aneurysm (SVA) is a rare cardiac anomaly which may be congenital or acquired and is more prevalent in men and Asian population. Congenital aneurysms result from defect in the aortic media and are usually seen in patients with Marfans and Ehlers-Danlos syndrome, while acquired aneurysms may result from infections like bacterial endocarditis [3]. Other cardiac anomalies found in association with ruptured sinus of Valsalva (RSOV) include ventricular septal defects (30-60%), aortic insufficiency (20-30%), bicuspid aortic valve (10%) and coronary anomalies [1]. In our case, the patient had an associated small VSD. The congenital SVA most commonly arise from right coronary sinus (65-85%) as in our case, followed by the non-coronary sinus and left coronary sinus [4]. The right coronary sinus ruptures usually in the right ventricle resulting in left to right shunt, non-coronary sinus into the right atrium and left coronary sinuses though rare may rupture into pericardium causing tamponade and lead to serious complications [5].

Unruptured aneurysms may be asymptomatic or can cause obstruction to right ventricular outflow tract, complete heart block or myocardial ischemia while ruptured aneurysms may present acutely with dyspnea and chest pain due to severe left to right shunt or may have gradually worsening dyspnea, fatigue, chest pain and peripheral oedema over months to years due to compensatory mechanisms [6].

The shunting of blood through the aneurysm may lead to a decrease in diastolic coronary perfusion and result in ischemia [5]. Echocardiography, particularly transesophageal echocardiography (TEE) and magnetic resonance imaging (MRI) are useful for diagnosis and to rule out associated cardiac anomalies.

Although, surgical correction has been described as the treatment of choice, lately isolated RSOVs have been successfully closed percutaneously using transcatheter devices.

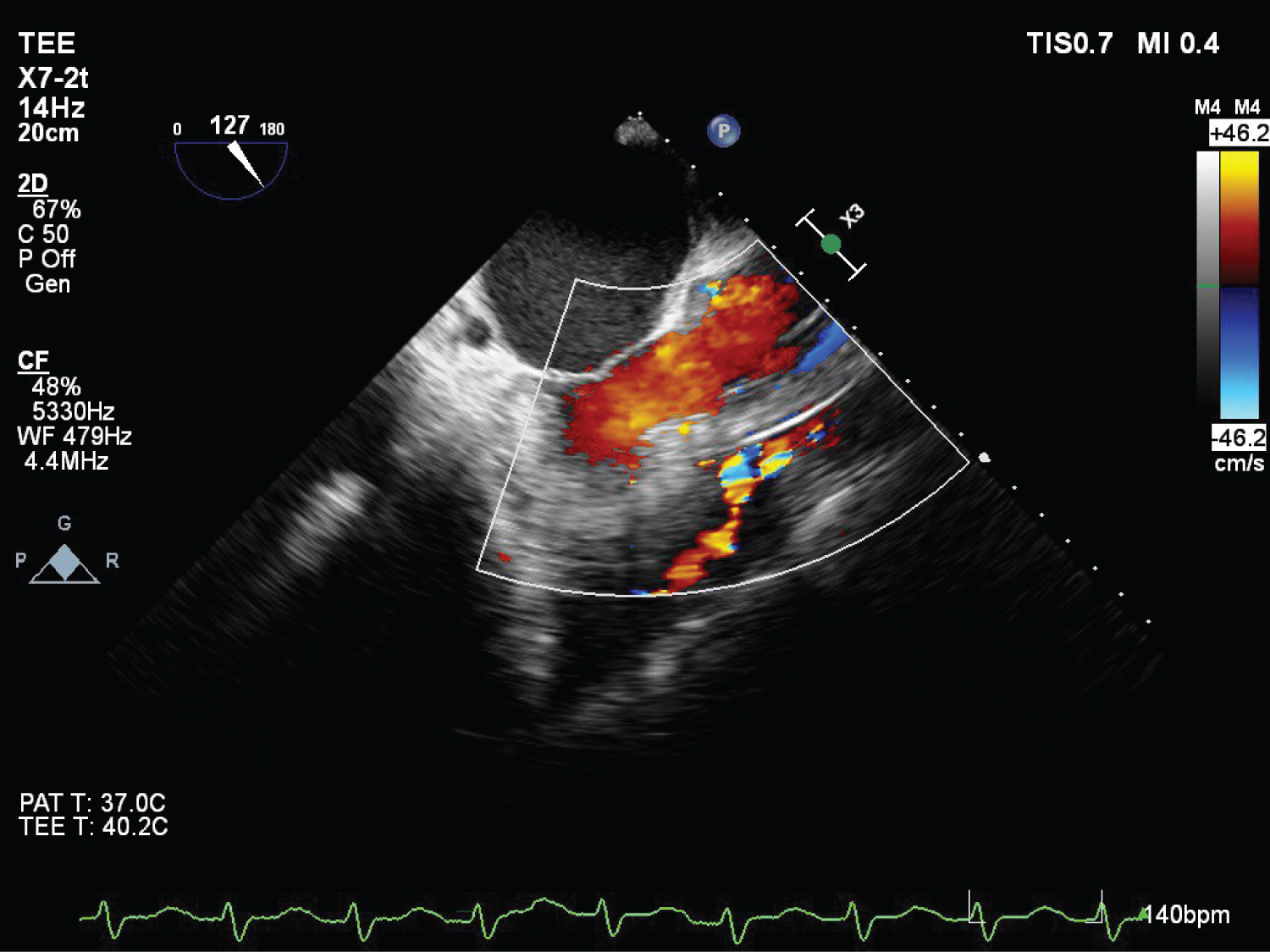
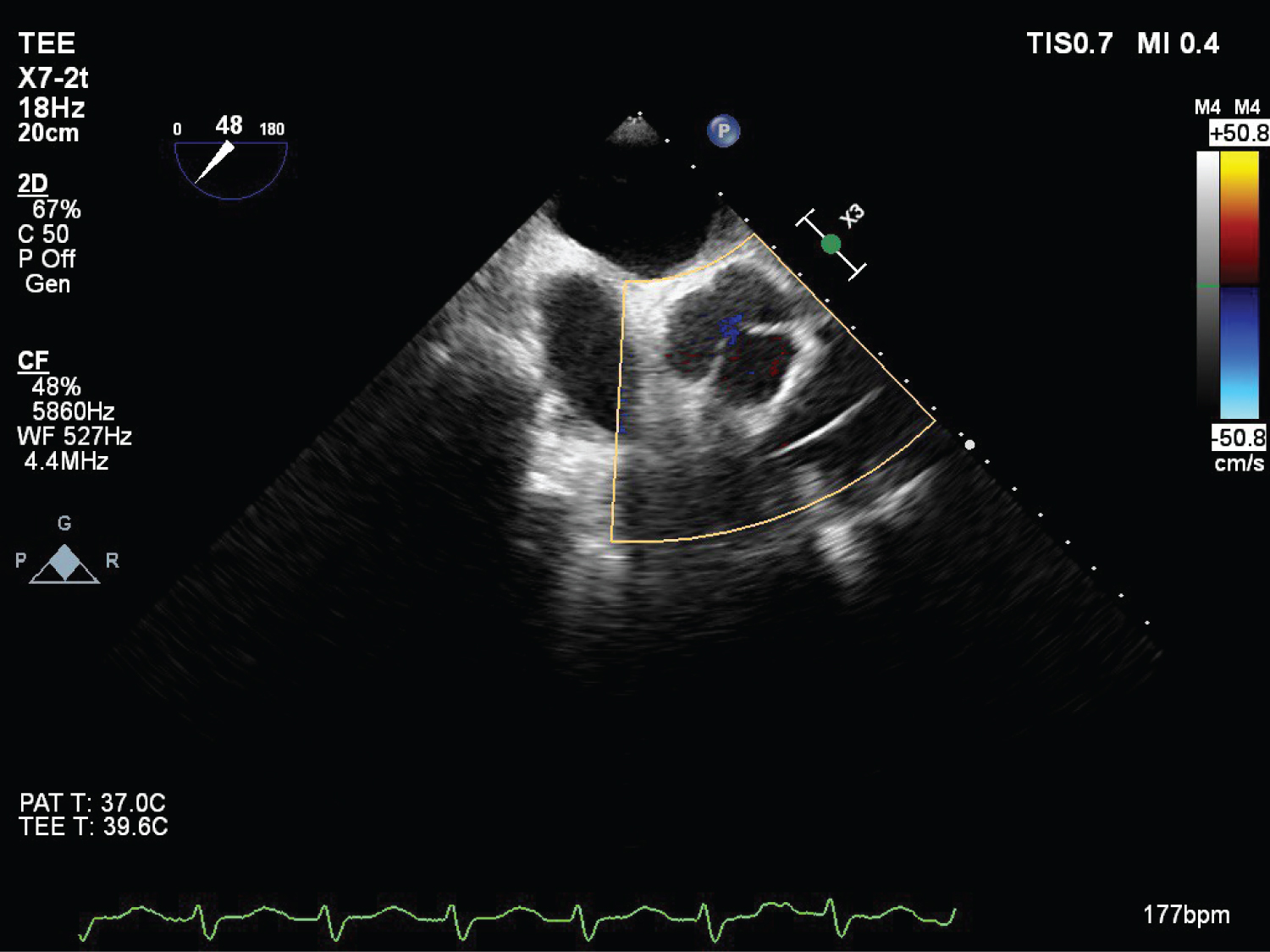
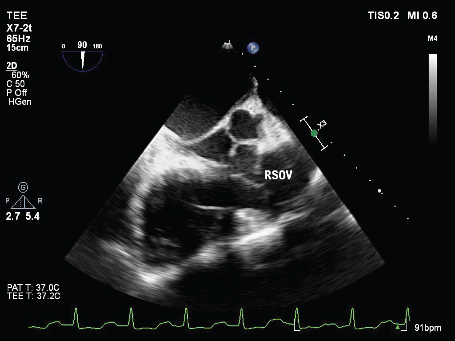
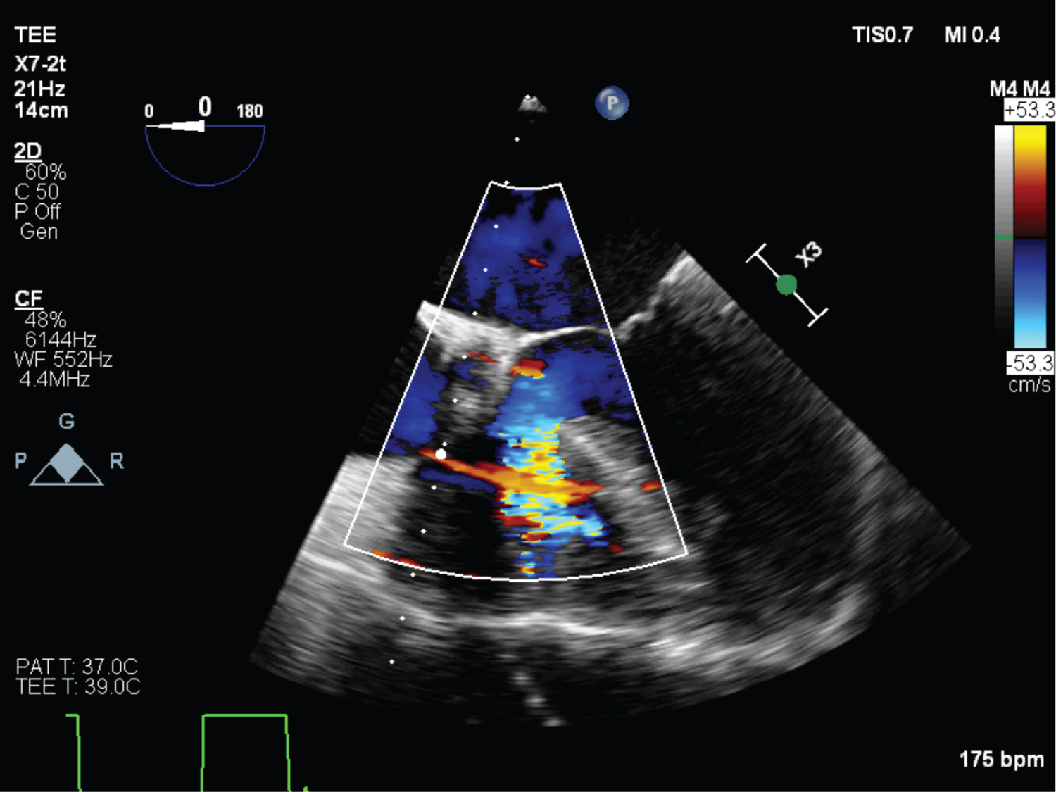
On echocardiography, aneurysmal appearance of the involved sinus and the presence of a “windsock,” protruding into the receiving chamber are characteristic of RSOV [7] (Figure 1, Figure 2, Figure 3, Figure 4 and Figure 5) ( Video 1 and Video 2 ).

Figure 1: (TEE) Mid esophageal RV inflow-outflow view showing RSOV (Wind sock deformity). View Figure 1

Figure 2: (TEE) Mid esophageal RV inflow-outflow view with colour doppler showing RSOV, VSD hypertrophied RV ridge. View Figure 2

Figure 3: (TEE) Mid esophageal four chamber view with colour Doppler showing blood flow across VSD (Left to right shunt). View Figure 3

Figure 4: (TEE) Mid esophageal RV inflow outflow view post surgical correction of RSOV and VSD repair with RV ridge resection. View Figure 4

Figure 5: (TEE) Mid esophageal long axis view with colour Doppler post-surgical correction showing absence of VSD and respected RV ridge. View Figure 5

Conclusion

This case highlights the importance of intraoperative TEE and its role in diagnosing and guiding towards successful resolution of RSOV, RVOT muscle resection and a new finding of VSD which would have been otherwise missed.

Acknowledgement

N/A.

Financial Interests/Funding

None.

Conflicts of Interest

None.

References

  1. Sakakibara S, Konno S (1962) Congenital aneurysm of the sinus of valsalva anatomy and classification. Am Heart J 63: 405-424.
  2. Xin-Jin L, Xuan L, Bo P, Hong-Wei G, Wei W, et al. (2013) Modified sakakibara classification system for ruptured sinus of valsalva aneurysm. J Thorac Cardiovasc Surg 146: 874-878.
  3. Takahashi T, Koide T, Yamaguchi H, Nakamura N, Ohshima Y, et al. (1992) Ehlers-danlos syndrome with aortic regurgitation, dilation of the sinuses of valsalva, and abnormal dermal collagen fibrils. Am Heart J 123: 1709-1712.
  4. Fishbein MC, Obma R, Roberts WC (1975) Unruptured sinus of valsalva aneurysm. Am J Cardiol 35: 918-922.
  5. Sharma K, Bunage RR, Mishra R, Parekh M, Mulay A (2023) A case of perimembranous ventricular septal defect with worsening clinical condition. Is a relook at the Echocardiography warranted?? -An Interesting Case Report. J Curr Medic Resear Opini 6: 1700-1703.
  6. Bonfils-Roberts EA, DuShane JW, McGoon DC, Danielson GK (1971) Aortic sinus fistula-surgical considerations and results of operation. Ann Thorac Surg 12: 492-502.
  7. Post MC, Braam RL, Groenemeijer BE, Nicastia D, Rensing BJ, et al. (2010) Rupture of right coronary sinus valsalva aneurysm into right ventricle. Neth Heart J 18: 209-211.

Citation

Mishra R, Sharma V, Dhole S (2024) An Interesting Case of Ruptured Sinus of Valsalva of Right Coronary Sinus with a Missed Vsd and the Role of Intraoperative Tee-A Mandatory Life Saving Tool. Int J Anesthetic Anesthesiol 11:182. doi.org/10.23937/2377-4630/1410182