Citation

Nilius M, Lauer G, Schulz MC (2019) Dental Rehabilitation in Class III Anomaly with Oligodontia after Palatal Distraction and Osteotomy under Cone-Beam CT Assistance. Res Rep Oral Maxillofac Surg 3:027. doi.org/10.23937/2643-3907/1710027

ORIGINAL ARTICLE | OPEN ACCESS DOI: 10.23937/2643-3907/1710027

Dental Rehabilitation in Class III Anomaly with Oligodontia after Palatal Distraction and Osteotomy under Cone-Beam CT Assistance

Manfred Nilius, MD, DDS, MSc1*, Günter Lauer, MD, DMD, PhD2 and Matthias C Schulz, DMD, PhD2

1Niliusklinik Dortmund, Londoner Bogen, Dortmund, Germany

2Department of Oral and Maxillofacial Surgery, University Hospital Carl Gustav Carus, Technische Universität Dresden, Fetscherstr. 74, Dresden D-01307, Germany

Abstract

Rehabilitation of angle class III deformity concomitant with oligodontia with great functional, esthetic and social impairment for the patient needs a combined orthodontic-surgical treatment. To achieve secure, quick and stable dental and facial rehabilitation, backward planning with cone-beam CT navigation best supports the multidisciplinary approach. Here we show longtime stability of more than 5 years after thoroughly planning, bimaxillary osteotomy with an implant guided transpalatal distractor (Surgi-Tec All-in-One), conceptional extractions and alveolar augmentation in a male patient with ICD10 (K00.0; K07.1). The diagnosis included craniomandibular malfunction, dysgnathia class III, maxillary retrognathia with horizontal and transverse narrowing of the maxilla, mandibular prognathia with lingual tipping of the mandibular front teeth, multiple missing of permanent teeth and hypodontia of deciduous teeth with cones and platelet deficiency and thrombocytopenia.

The treatment included orthodontics with multi-brackets in the mandible, maxillofacial surgery with Le-Fort-Osteotomy and reconstruction and augmentation of the maxilla with a bone graft of the iliac crest with vertical subtotal separation, Obwegeser/Dal Pont-osteotomy, modified according to Hunsuck-Epker in the mandible, implantation and prosthetics.

The result was good osseointegration > 80 on the Ostell ISQ-scale and the successful healing of the augmentation even for the enossal implants. Facial proportions and the profile expression showed harmonized. The dental situation was satisfying in function as well as in the esthetic aspect. At the follow-up dates after 6, 12, 18, 24, 36 and 60 months the results remained stable. The patient was highly satisfied. Discussion of methods is performed additionally.

Introduction

Angle class III deformity concomitant with oligodontia means great functional, esthetic and social impairment for the patient. Not only chewing but the complete facial expression and speech can be involved, with a big negative impact on the patient's quality of life [1-33]. For this, especially in severe cases of concomitant class III malocclusion and oligodontia a combined orthodontic-surgical treatment is indicated and has shown best success in a lot of cases [4-8]. The facts of missing teeth, insufficient stability and atrophy of the alveolar bone and the aim to harmonize the facial structures with esthetic reconstruction, need comprehensive thorough planning. Interdisciplinary cooperation between orthodontics, oral and maxillofacial surgery and prosthetics have been proved to lead not only to best but also to time saving success [9-11].

For corrections of transverse maxillary deficiencies, the transpalatal distraction is used successfully for years. The nowadays common technique of palatal widening with a final space between the central incisors was first described by Derichsweilerin the year 1954 [12]. During the following 30 years a lot of experiments with different and modified devices have been published for example by Steinhäuser [13] and Glassmann, et al. [14] so far using a dental fixation only. However, in adult patients, palatal distraction of the maxilla needs fixation in the palate and not only along the teeth to avoid cortical decay and root resorptions because of teeth movements. The first bone-borne device with a titanium implant in the palatal bone developed by Surgi-Tec was published by Mommarts [15] and since then has been proved well [16-18].

A combination of bimaxillary osteotomie with palatal distraction, necessary extractions and alveolar augmentation can be the best procedure, as was shown formerly and also in the presented case [19-21]. Therefore, the implant guided transpalatal distractor (IGPD) is an improved instrument for jaw stabilization and transversal elongation in adult patients with severe class III malocclusions [20-23]. The gentle distraction usually in combination with a Le Fort-osteotomy leads to supporting osteogenesis and therefore longtime stability of the additional procedures like implant insertion [17,19,24-27].

To achieve secure, quick and stable dental and facial rehabilitation in such complicated anatomic situations, backward planning with 3D navigation best supports the multidisciplinary approach. Cone-beam CT (CBCT) with flat-panel detectors and devices for dose reduction has been proved first in oncology and angiography, but nowadays is used widely in maxillofacial practice [28]. Additional planning software like NobelGuide® (Sweden) with Procera [29-33] or SIMPLANT® (module craniofacial, Materialize, Belgium) [27,34,35] facilitate planning and lead to precise positioning of the implants especially in the esthetic zone in implant supported reconstruction [27,32,36-40].

The procedure is minimal invasive with the possibility to insert dental and facial implants in one time. More than this, for the patient, the CT-guided planning and surgery means reduction of time of surgery as well as reduction of trauma and postoperative complications, which was confirmed by several studies, especially the randomized studies of [41-46].

The aim of our all-in-one concept was to reduce the necessary orthodontic as well as the surgical efforts but always on the background of the best possible dental and prosthetic rehabilitation. With the presented case, we show longtime stability of more than 5 years after thoroughly planning, bimaxillary osteotomy with an implant guided transpalatal distractor (Surgi-Tec All-in-One), conceptional extractions and alveolar augmentation in a patient with class III malocclusion and oligodontia.

Material and Methods

Anamnesis

In November 2007, a male patient with ICD10 (K00.0; K07.1) asked for treatment. The diagnosis included craniomandibular malfunction, dysgnathia class III, maxillary retrognathia with horizontal and transverse narrowing of the maxilla, mandibular prognathia with lingual tipping of the mandibular front teeth (Figure 1). Additionally, we diagnosed multiple missing of permanent teeth and hypodontia of deciduous teeth with cones (Figure 2, Figure 3 and Figure 4). Systemically, the patient suffered from platelet deficiency and thrombocytopenia.

Figure 1: Extraoral view of a 23-old-male patient with oligodontia and class III anomaly before treatment. View Figure 1

Figure 2: Intraoral view pf the patient: Maxillary retrognathia, multiple missing teeth and hypodontia of deciduous teeth before treatment. View Figure 2

Figure 3: Orthopantomography before treatment. View Figure 3

Figure 4: Cephalometric X-ray (lateral view) with facial analysis before treatment. View Figure 4

Treatment plan

We chose a combined treatment consisting of orthodontics with multi-brackets in the mandible, maxillofacial surgery with Le-Fort-Osteotomy and interpositioning of a bone graft of the iliac crest in the maxilla, and at last Obwegeser/Dal Pont-osteotomy, modified according to Hunsuck-Epker in the mandible. Implants and prosthetics should be performed afterwards.

The whole procedure included Le-Fort I-Osteotomy, reconstruction and augmentation of the maxilla as interpositioning with vertical subtotal separation, osteotomy to shift the lower facial part with separation in the ascending part and in the horizontal mandible part, and finally a secondary palatal bony transplant of the iliac crest.

Maxillofacial surgery

After CBCT analysis of the dental and skeletal anomalies and analysis of lateral cephalograms concerning skeletal and soft tissue profile, the patient got presurgical orthodontic treatment. Because of the low dento-alveolar stability, the first surgical intervention concerned the transpalatal distraction. Surgery took place in our clinic for esthetic dental medicine and facial surgery, Dortmund, Germany. After removal of a 1 cm × 0.3 mm piece of gingival transpalatal distraction device was inserted on implants regio palatal 12, 22, 16, 26 (Figure 5 (IGPD)). We used Surgi-Tec TPD All-in-One 2.5 mm, which has been proved to fit well for transverse palatal distraction. Anesthesia was done by Ultracain DS forte. The distractor was fixed with osteosynthesis screws. First activation was performed for 2 mm, second one for 1 mm and the third one for 10 mm. An iliac cortico-spongy chip was prepared and inserted in the palate extension.

Figure 5: Custom made implant guided palatal distractor before activation. View Figure 5

After 6 months of consolidation and ossification, the second surgical intervention was planned and performed as corrective osteotomy, beginning with the mandible. In course of the osteotomy according to Obwegeser/Dal Pont,the mandible was set back to the maxilla by splint for 8 mm, and fixed with one plate with cortical screws. After this, the maxilla was set forward by Le-Fort-I-Osteotomy for 12 mm and fixed, too. The first palatal widening 6 months ago turned out to be insufficient, so we decided to split the maxilla again along the sutura palatina mediana with activation for 8 mm. A second bone graft from the iliac crest was now used for alveolar augmentation in region 13-21 for a discontinuous palatal widening (Figure 6).

Figure 6: Maxillary osteotomy (LeFort I) and discontinuous palatal distraction; sagittal interpositioning of iliac crest graft. View Figure 6

Dento-alveolar intervention

In preparation for the planned implantations, gaps were needed in the maxilla as well as in the mandible. For this, we lateralized, medialized and distalized the corresponding teeth, so called orthodontic volume optimizing [47], (Figure 7a and Figure 7b). In the meantime, the cones of teeth 31/41 and 11/21 could be extracted during the time of 12 months. The plates for osteosynthesis could be removed and the alveolar ridge of maxilla and mandible was augmented with the iliac bone graft in regio 11-13, 23/24, 31/41, and 35 (Figure 8 and Figure 9). After that, we inserted implants in the maxilla in regio 16, 14, 12, 22, 11, 21, 24, and 26 and in the mandible in regio 36, 34, 31/41, 44, 46 (SI Cace, SIConepiece for teeth 14 + 34). Concerning the teeth 31/41, a bone split was set (Figure 10). The other teeth were pre-grinded as preparation for the later prosthetics of crowns and bridges. A model was prepared in the laboratory.

Figure 7: a,b) "Orthodontic volume optimizing" by lateralization, medialization and distalization of corresponding teeth. View Figure 7

Figure 8: Secondary alveolar ridge augmentation with onlay-grafts from iliac crest. View Figure 8

Figure 9: Cephalometric X-ray (lateral view) after bimaxillary osteotomy and bone augmentation. View Figure 9

Figure 10: Bone split region 31, 41 and dental implantation 31, 41. View Figure 10

After 6 months of healing, the implants could be revealed and individual gingiva formers were incorporated to shape the soft tissue (Figure 11).After additional three months, the final prosthetic device of high esthetic standard could be incorporated: Circonia for the maxilla and SiO2 ceramics for the mandible (Figure 12, Figure 13, Figure 14 and Figure 15).

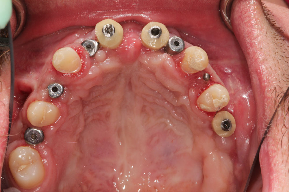
Figure 11: Clinical situation after selected tooth extraction and implantation in region 16, 14, 12, 22, 11, 21, 24, 26. View Figure 11

Figure 12: Extraoral smile/view with long-term provisional bridges for vertical bite stabilization. View Figure 12

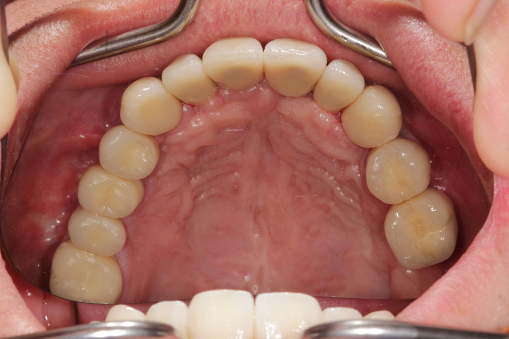
Figure 13: Intraoral maxillary situation after cemented single crown restorations on natural teeth and implants. View Figure 13

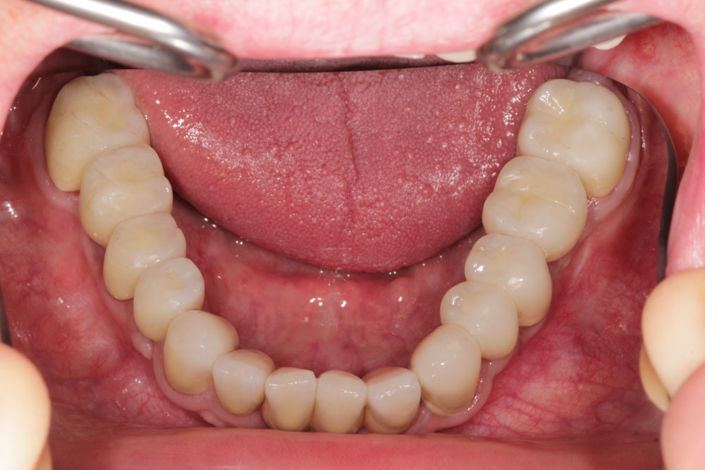
Figure 14: Intraoral mandibular dental restoration with single crowns on natural teeth and implants. View Figure 14

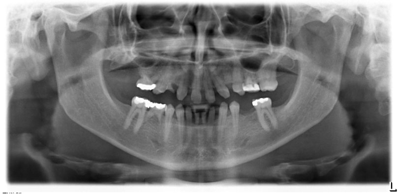
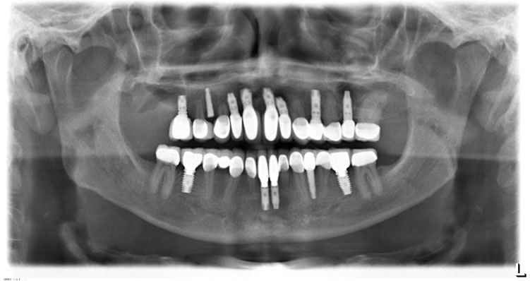
Figure 15: Orthopantomography at the end of treatment. Implant 14 not charged. View Figure 15

Follow up evaluation

Osseointegration was measured by OstellISQ, which determines the vibration frequency of the implant by Resonance Frequency Analysis (RFA) and a stability scale. The stability quotient scale counts between 1 and 100, with ISQ 1 corresponding approximately to 1,000 Hz and ISQ 100 corresponding approximately to 10,000 Hz in a close to linear way. By comparison analyses of resonance frequency changes, the implant stability can be determined. The software enables to set correlations between bone-to-implant contact (BIC) and implant stability [48,49]. Additionally, we evaluated the maxillofacial proportions and the dental function and finally patient's satisfaction after 6, 12 18, 24, 36 and 60 months.

Results

We measured good osseointegration > 80 on the Ostell ISQ-scale after this comprehensive corrective osteotomy and the successful healing of the augmentation even for the enossal implants. Facial proportions and the profile expression showed harmonized. The dental situation was satisfying in function as well as in the esthetic aspect (Figures 3). The dentolabial analysis showed good visibility of the teeth in neutral position with cutting edges of 2 mm. Interinzisal lines and middle facial lines assorted well, occlusion and commissure line corresponded. The mandibular-maxillary relation was fixed as central occlusion with maximum intercuspidation Figure 3.

At the follow-up dates after 6, 12, 18, 24, 36 and 60 months the results remained stable. The patient was highly satisfied.

Discussion

Maxillary retrognathia with horizontal and transverse narrowing of the maxilla, is one of the indications for distraction osteogenesis, besides other types of hypoplasia. Distraction by a transversal palatal device with the aim of osteogenesis in the new formed alveolar gap offers a wide range of movements and in general good post-operative stability. Though it is common among maxillofacial surgeons, methods vary.

Alveolar distraction osteogenesis not only can correct maxillofacial deficiencies but also creates stability for later dental implantation [50,51]. Mandibular osteotomy according to Obwegeser/Dal Pont lately has been proved to be safe and reliable in a study of [52] Al-Nawas, et al. with 400 patients. Corrective osteotomy for long is common in orthopedic surgery but rarely has been published for correction of severe maxillofacial deficiencies. Corrective maxillofacial osteotomy notably after alveolar distraction osteogenesis demands thorough planning and exact application because of risks of complications that each step of surgery includes [53] Ettl, et al. Moran, et al. [54]. However, the good esthetic and functional results including implant stability of our presented case therefore show that this comprehensive procedure can lead to satisfying results as well in functioning as in the esthetic aspect.

In the past 10 years, the bone-borne distractor has been established in clinical practice. Though the tooth-borne device is still used, in comparison studies results achieved with a bone-borne distractor compared to a tooth-borne devices how a tendency towards greater space gain, lesser complications with especially fewer root resorptions, and easier handling by the patient [55-60]. Our longtime results with the bone-borne Surgi-Tec All-in-One device confirm the expert knowledge especially in highly complicated cases of maxillofacial deficiencies.

In most cases of usage of a palatal distractor, patients suffer from cleft lip and palate. Other indications are obstructive sleep apnoea or Crouzon syndrome. The majority of publications report treatment of children and adolescents, most of them using an external rigid distractor. There are few cases published concerning multiple maxillofacial deficiencies in adults indicating transpalatal distraction, corrective osteotomy of maxilla and mandible and dental implantation. And among those, there are rare cases using an internal distractor and gathering follow-up data over several years [20,61-65] found higher stability after distraction osteogenesis than after conventional orthognatic surgery. Jakobsone, et al. [65] reported about good stability three years post bimaxillary surgery of class III patients with a slight tendency of mandibular relapse. The results of the study of Hirjak, et al. [66] with 15 adult class III - patients are in line with our results: After 60 months the authors confirmed good stability and satisfaction after distraction osteogenesis.

The measurement of the implant stability quotient (ISQ) in our presented case led to good results of osseointegration even in the augmented areas. The technique of resonance frequency analysis (RFA) with use of the ISQ has been approved. Some studies found significant correlations between bone volume and ISQ, so that this method seems to be suitable for osseointegration evaluation [66-70]. It is a minimal invasive device with rapid delivery of results and especially suitable for patients with multiple maxillofacial problems and procedures.

Usually, cone-beam CT (CBCT) is used for follow-up evaluation and yields exact results especially in sophisticated procedures like corrective osteotomy [57,58,71-74]. But moreover, CBCT offers the maxillofacial surgeon a wider range of facilitations and prediction of the best possible results, with the final benefit of higher patient satisfaction and stability of results.

CT data give real geometric transformations showing exact information about bone quality and structure. The impression of bone architecture and height of the alveolar ridge, vascularization, real bone volume and jaw geometries, is of exceptional use for the maxillofacial surgeon and facilitates planning especially of sophisticated restauration and rehabilitation. The three dimensional information assure to set even temporary implants for example for the IGPD exactly and to use just the given volume space. By this means an immediate prosthetic loading is possible, which provides a time saving procedure and for the patient therefore leads to reduction of pain and complications [32,33,75,76].

An important approach is the use of CBCT for operation planning and for navigation before implantation with help of a drilling template. The tool SimplantPro (Materialise) enables to send the data to the main computer or to work with the CBCT-data in the laboratory. Last but not least, cone-beam CT offers to simulate each step of the planned procedure. That comprises implant length and diameter, number of dental implants, type of facial implants, augmentation and method. The simulation before real surgery takes off patient's fears and ensures the surgeon to choose the best fitting method and device. Especially for profile optimizing surgery planning with good prediction can be done.

Conclusion

Comprehensive surgical procedures to change facial structures in line with numerous prosthetic rehabilitations, demand a close multidisciplinary cooperation to achieve the desired functional and esthetic improvements. More than this, exact and detailed planning of each necessary step is essential, especially in cases of changes of the facial structures. CBCT planning and navigation software facilitate and shorten the procedures with the final benefit for the patient of lower fear and pain and less complications. With the option to plan and to simulate all surgical and implantological steps, even complicated anatomic preconditions can be integrated and managed.

At the end, exact planning and visualization shorten time of surgery and complete therapy and is necessary in complex dental and facial cases. Here we could show that bimaxillary osteotomy together with palatal distraction in an all-in-one concept on the background of CBCT planning and navigation lead to good longtime results.

References

  1. Bernabé E, Sheiham A, de Oliveira CM (2008) Condition-specific impacts on quality of life attributed to malocclusion by adolescents with normal occlusion and Class I, II and III malocclusion. Angle Orthod 78: 977-982.
  2. Rusanen J, Lahti S, Tolvanen M, Pirttiniemi P (2010) Quality of life in patients with severe malocclusion before treatment. Eur J Orthod 32: 43-48.
  3. Gallerano G, Ruoppolo G, Silvestri A (2012) Myofunctional and speech rehabilitation after orthodontic-surgical treatment of dento-maxillofacial dysgnathia. Prog Orthod 13: 57-68.
  4. Hugo B, Becker S, Witt E (1996) Assessment of the combined orthodontic-surgical treatment from the patients' point of view. A longitudinal study. J Orofac Orthop 57: 88-101.
  5. Choi WS, Lee S, McGrath C, Samman N (2010) Change in quality of life after combined orthodontic-surgical treatment of dentofacial deformities. Oral Surg Oral Med Oral Pathol Oral Radiol Endod 109: 46-51.
  6. Nout E, Koudstaal MJ, Wolvius EB, Van der Wal KG (2011) Additional orthognathic surgery following Le Fort III and monobloc advancement. Int J Oral Maxillofac Surg 40: 679-684.
  7. Blockhaus M, Kochel J, Hartmann J, Stellzig-Eisenhauer A, Meyer-Marcotty P (2014) Three-dimensional investigation of facial surface asymmetries in skeletal malocclusion patients before and after orthodontic treatment combined with orthognathic surgery. J Orofac Orthop 75: 85-95.
  8. Cartwright G, Wright NS, Vasuvadev J, Akram S, Huppa C, et al. (2016) Outcome of combined orthodontic-surgical treatment in a United Kingdom university dental institute. J Orthod 43: 94-101.
  9. Nilius M, Nilius M, Goeken O, Amirfallah R, Zahn N (2008) Ceramic Implants in the Edentulous - Maxilla-An Alternative for Patients with Multiple Incompatibilities? Clinical report with review of the literature. Implantology.
  10. Parrello D, Bolamperti L, Caprioglio A (2011) Interdisciplinary treatment of Class III malocclusion: A case report. ProgOrthod 12: 169-179.
  11. Oz AA, Ozer M, Eroglu L, Ozdemir OS (2013) The correction of maxillary deficiency with internal distraction devices: A multidisciplinary approach. J Contemp Dent Pract 14: 957-962.
  12. Derichsweiler H (1954) Wichtige technische Einzelheiten bei der Herstellung der Gaumennaht-Erweiterungsplatte. DtschzahnärztlZschr H7.
  13. Steinhauser EB (1972) Midline splitting of the maxilla for correction of malocclusion. J Oral Surg 30: 413.
  14. Glassman AS, Nahigian SJ, Medway JM, Aronowitz HL (1984) Conservative surgical orthodontic adult rapid palatal expansion: Sixteen cases. Am J Orthod Dentofacial Orthop 86: 207-213.
  15. Mommarts MY (1999) Transpalatal distraction as a method of maxillary expansion. Br J Oral Maxillofac Surg 268-272.
  16. Ponikelsky I, Balon-Perin A, Deroux E, Vervaet C, Glineur R (2006) Maxillary transversal expansion obtained by transpalatal distractor and Le Fort I osteotomy with posterior impaction of the maxilla, in one stage. Rev Stomatol Chir Maxillofac 107: 98-102.
  17. Adolphs N, Ernst N, Menneking H, Hoffmeister B (2014) Transpalatal distraction--state of the art for the individual management of transverse maxillary deficiency--a review of 50 consecutive cases. J Craniomaxillofac Surg. 42: 1669-1674.
  18. Baunach GLV (2015) Dentale Auswirkungen bei der chirurgisch unterstützten Gaumennahterweiterung durch skelettal verankerte Apparaturen im Vergleich zur Anwendung dental verankerter Apparaturen. Dissertation Würzburg.
  19. Cortese A, Savastano M, Cantone A, Claudio PP (2013) A new palatal distractor device for bodily movement of maxillary bones by rigid self-locking miniplates and screws system. J Craniofac Surg 24: 1341-1346.
  20. Hirjak D, Reyneke JP, Janec J, Beno M, Kupcova I (2016) Long-term results of maxillary distraction osteogenesis in nongrowing cleft: 5-years experience using internal device. Bratisl Lek Listy 117: 685-690.
  21. Kayalar E, Schauseil M, Kuvat SV, Emekli U, Fıratlı S (2016) Comparison of tooth-borne and hybrid devices in surgically assisted rapid maxillary expansion: A randomized clinical cone-beam computed tomography study. J Craniomaxillofac Surg 44: 285-293.
  22. Tausche E, Hansen L, Schneider M, Harzer W (2008) Bone-supported rapid maxillary expansion with an implant-borne Hyrax screw: The Dresden Distractor. Orthod Fr 79: 127-135.
  23. Charezinski M, Balon-Perin A, Deroux E, De Maertelaer V, Glineur R (2009) Transverse maxillary stability assisted by a transpalatal device: A retrospective pilot study of 9 cases. Int J Oral Maxillofac Surg 38: 937-941.
  24. Nadjmi N, Schutyser F, Van Erum R (2006) Trans-sinusal maxillary distraction for correction of midfacial hypoplasia: long-term clinical results. Int J Oral Maxillofac Surg 35: 885-896.
  25. Rachmiel A, Leiser Y (2014) The molecular and cellular events that take place during craniofacial distraction osteogenesis. Plast Reconstr Surg Glob Open 2: e98.
  26. Hara S, Mitsugi M, Kanno T, Nomachi A, Kawakami S, (2013) Endoscopically assisted intraoral modified Le Fort II type midfacial advancement using piezoelectric surgery and an intraoperative RED system. J Oral Maxillofac Surg. 71: e93-103.
  27. Kanno T, Mitsugi M, Sukegawa S, Hosoe M, Furuki Y (2008) Computer-simulated bi-directional alveolar distraction osteogenesis. Clin Oral Implants Res 19: 1211-1218.
  28. Kalender WA, Kyriakou Y (2007) Flat-detector computed tomography (FD-CT). Eur Radiol 17: 2767-2779.
  29. Johansson B, Friberg B, Nilson H (2009) Digitally planned, immediately loaded dental implants with prefabricated prostheses in the reconstruction of edentulous maxillae: A 1-year prospective, multicenter study. Clin Implant Dent Relat Res 11: 194-200.
  30. Vasak C, Watzak G, Gahleitner A, Strbac G, Schemper M, et al. (2011) Computed tomography-based evaluation of template (NobelGuideā„¢)-guided implant positions: A prospective radiological study. Clin Oral Implants Res 22: 1157-1163.
  31. Meloni SM, De Riu G, Pisano M, Tullio A (2013) Full arch restoration with computer-assisted implant surgery and immediate loading in edentulous ridges with dental fresh extraction sockets. One year results of 10 consecutively treated patients: Guided implant surgery and extraction sockets. J Maxillofac Oral Surg 12: 321-325.
  32. Benech A, Mazzanti C, Arcuri F, Giarda M, Brucoli M (2011) Simultaneous Le Fort I osteotomy and computer-guided implant placement. J Craniofac Surg 22: 1042-1046.
  33. Polizzi G, Cantoni T (2015) Five-year follow-up of immediate fixed restorations of maxillary implants inserted in both fresh extraction and healed sites using the NobelGuideā„¢ system. Clin Implant Dent Relat Res 17: 221-233.
  34. Stokbro K, Aagaard E, Torkov P, Bell RB, Thygesen T (2014) Virtual planning in orthognathic surgery. Int J Oral Maxillofac Surg 43: 957-965.
  35. Wojtowicz A, Jodko M, Perek J, Popowski W (2014) Interactive 3D imaging technologies: application in advanced methods of jaw bone reconstruction using stem cells/pre-osteoblasts in oral surgery. Wideochir Inne Tech Malo Inwazyjne 9: 441-448.
  36. Nilius M (2006) Chancen der funktionellen und ästhetischen Rehabilitation durch dentale und faziale Implantate. Implantologie Journal.
  37. Nilius M, Nilius MO (2008) Interdisziplinäre Möglichkeiten der Gesichtsharmonisierung. Implantologie 20-24.
  38. Zinser MJ, Mischkowski RA, Sailer HF, Zöller JE (2012) Computer-assisted orthognathic surgery: feasibility study using multiple CAD/CAM surgical splints. Oral Surg Oral Med Oral Pathol Oral Radiol 113: 673-687.
  39. Adolphs N, Haberl EJ, Liu W, Keeve E, Menneking H, et al. (2014) Virtual planning for craniomaxillofacial surgery--7 years of experience. J Craniomaxillofac Surg 42: e289-e295.
  40. Kuchler U, Chappuis V, Gruber R, Lang NP, Salvi GE (2015) Immediate implant placement with simultaneous guided bone regeneration in the esthetic zone: 10-year clinical and radiographic outcomes. Clin Oral Implants Res.
  41. Pozzi A, Moy PK (2014) Minimally invasive transcrestal guided sinus lift (TGSL): A clinical prospective proof-of-concept cohort study up to 52 months. Clin Implant Dent Relat Res 16: 582-593.
  42. Uribe F, Janakiraman N, Shafer D, Nanda R (2013) Three-dimensional cone-beam computed tomography-based virtual treatment planning and fabrication of a surgical splint for asymmetric patients: Surgery first approach. Am J Orthod Dentofacial Orthop 144: 748-758.
  43. Arisan V, Karabuda CZ, Ozdemir T (2010) Implant surgery using bone- and mucosa-supported stereolithographic guides in totally edentulous jaws: surgical and post-operative outcomes of computer-aided vs. standard techniques. Clin Oral Implants Res 21: 980-988.
  44. Ayoub N, Ghassemi A, Rana M, Gerressen M, Riediger D, et al. (2014) Evaluation of computer-assisted mandibular reconstruction with vascularized iliac crest bone graft compared to conventional surgery: A randomized prospective clinical trial. Trials 15: 114.
  45. Mazor Z, Segal P, Levin L (2015) Computer-guided implant placement for rehabilitation of the edentulous maxilla with two impacted canines: an approach without extraction of the impacted teeth. Int J Periodontics Restorative Dent 35: 93-97.
  46. Nickenig HJ, Wichmann M, Zöller JE, Eitner S (2014) 3-D based minimally invasive one-stage lateral sinus elevation - a prospective randomized clinical pilot study with blinded assessment of postoperative visible facial soft tissue volume changes. J Craniomaxillofac Surg 42: 890-895.
  47. Salama H, Salama M (1993) The role of orthodontic extrusive remodeling in the enhancement of soft and hard tissue profiles prior to implant placement: A systematic approach to the management of extraction site defect. Int J Perodont Restorative Dent 13: 312-333.
  48. Rodrigo D, Aracil L, Martin C, Sanz M (2010) Diagnosis of implant stability and its impact on implant survival: A prospective case series study. Clin Oral Implants Res 21: 255-261.
  49. Degidi M, Daprile G, Piattelli A (2010) Determination of primary stability: a comparison of the surgeon's perception and objective measurements. Int J Oral Maxillofac Implants 25: 558-561.
  50. Chiapasco M, Casentini P, Zaniboni M (2009) Bone augmentation procedures in implant dentistry. Int J Oral Maxillofac Implants 24: 237-259.
  51. Rachmiel A, Shilo D (2017) Applications of Distraction Osteogenesis in Oral and Maxillofacial Surgery. In: Minimally Invasive Oral and Maxillofacial Surgery, Springer, Berlin, Heidelberg, 99-108.
  52. Al-Nawas B, Kämmerer PW, Hoffmann C, Moergel M, Koch FP, et al. (2014) Influence of osteotomy procedure and surgical experience on early complications after orthognathic surgery in the mandible. Journal of Cranio-Maxillo-Facial Surgery 42: e284-e288.
  53. Ettl T, Gerlach T, Schüsselbauer T, Gosau M, Reichert TE, et al. (2010) Bone resorption and complications in alveolar distraction osteogenesis. Clinical Oral Investigations 14: 481-489.
  54. Moran I, Virdee S, Sharp I, Sulh J (2018) Postoperative Complications Following LeFort 1 Maxillary Advancement Surgery in Cleft Palate Patients: A 5-Year Retrospective Study. Cleft Palate Craniofac 55: 231-237.
  55. Landes CA, Laudemann K, Schübel F, Petruchin O, Mack M, et al. (2009) Comparison of tooth- and bone-borne devices in surgically assisted rapid maxillary expansion by three-dimensional computed tomography monitoring: transverse dental and skeletal maxillary expansion, segmental inclination, dental tipping, and vestibular bone resorption. J Craniofac Surg 20: 1132-1141.
  56. Verlinden CR, Gooris PG, Becking AG (2011) Complications in transpalatal distraction osteogenesis: a retrospective clinical study. J Oral Maxillofac Surg 69: 899-905.
  57. Nada RM, Fudalej PS, Maal TJ, Bergé SJ, Mostafa YA, et al. (2012) Three-dimensional prospective evaluation of tooth-borne and bone-borne surgically assisted rapid maxillary expansion. J Craniomaxillofac Surg 40: 757-762.
  58. Seeberger R, Abe-Nickler D, Hoffmann J, Kunzmann K, Zingler S (2015) One-stage tooth-borne distraction versus two stage bone-borne distraction in surgically assisted maxillary expansion (SARME). Oral Surg Oral Med Oral Pathol Oral Radiol 120: 693-698.
  59. Garreau E, Bouscaillou J, Rattier S, Ferri J, Raoul G (2016) Bone-borne distractor versus tooth-borne distractor for orthodontic distraction after surgical maxillary expansion: The patient's point of view. Int Orthod 14: 214-232.
  60. Nikolaev AV, Andreishchev AR, Kutukova SI (2017) Comparative biomechanical study of surgically assisted rapid palatal expansion with tooth-borne and bone-borne expanders. Stomatologiia (Mosk) 96: 48-55.
  61. Lee JK, Chung KR, Baek SH (2007) Treatment outcomes of orthodontic treatment, corticotomy-assisted orthodontic treatment, and anterior segmental osteotomy for bimaxillary dentoalveolar protrusion. Plastic and Reconstructive Surgery 120: 1027-1036.
  62. de Gijt JP, Gül A, Tjoa ST, Wolvius EB, van der Wal KG, et al. (2017) Follow up of surgically-assisted rapid maxillary expansion after 6.5 years: Skeletal and dental effects. Br J Oral Maxillofac Surg 55: 56-60.
  63. Chua HDP, Hägg MB, Cheung LK (2010) Cleft maxillary distraction versus orthognathic surgery-which one is more stable in 5 years?. Oral Surgery, Oral Medicine, Oral Pathology and Oral Radiology 109: 803-814.
  64. Andersen K, Svenstrup M, Pedersen TK, Küseler A, Jensen J, et al. (2015) Stability after Cleft Maxillary Distraction Osteogenesis or Conventional Orthognathic Surgery. J Oral Maxillofac Res 6: e2.
  65. Jakobsone G, Stenvik A, Sandvik L, Espeland L (2011) Three-year follow-up of bimaxillary surgery to correct skeletal Class III malocclusion: Stability and risk factors for relapse. American Journal of Orthodontics and DentofacialOrthopedics 139: 80-89.
  66. Rozé J, Babu S, Saffarzadeh A, Gayet-Delacroix M, Hoornaert A, et al. (2009) Correlating implant stability to bone structure. Clin Oral Implants Res 20: 1140-1145.
  67. Ostman PO, Hellman M, Wendelhag I, Sennerby L (2006) Resonance frequency analysis measurements of implants at placement surgery. Int J Prosthodont 19: 77-83.
  68. Makary C, Rebaudi A, Sammartino G, Naaman N (2012) Implant primary stability determined by resonance frequency analysis: correlation with insertion torque, histologic bone volume, and torsional stability at 6 weeks. Implant Dent 21: 474-480.
  69. Hsu JT, Fuh LJ, Tu MG, Li YF, Chen KT, et al. (2013) The effects of cortical bone thickness and trabecular bone strength on noninvasive measures of the implant primary stability using synthetic bone models. Clin Implant Dent Relat Res 15: 251-261.
  70. Kokovic V, Krsljak E, Andric M, Brkovic B, Milicic B, et al. (2014) Correlation of bone vascularity in the posterior mandible and subsequent implant stability: A preliminary study. Implant Dent 23: 200-205.
  71. Draenert FG, Erbe C, Zenglein V, Kämmerer PW, Wriedt S, et al. (2010) 3D analysis of condylar position after sagittal split osteotomy of the mandible in mono-and bimaxillary orthognathic surgery-a methodology study in 18 patients. Journal of Orofacial Orthopedics/Fortschritte der Kieferorthopädie 71: 421-429.
  72. Kim YI, Cho BH, Jung YH, Son WS, Park SB (2011) Cone-beam computerized tomography evaluation of condylar changes and stability following two-jaw surgery: Le Fort I osteotomy and mandibular setback surgery with rigid fixation. Oral Surgery, Oral Medicine, Oral Pathology, Oral Radiology and Endodontics 111: 681-687.
  73. Sun Y, Luebbers HT, Agbaje JO, Schepers S, Vrielinck L, et al. (2013) Accuracy of upper jaw positioning with intermediate splint fabrication after virtual planning in bimaxillary orthognathic surgery. Journal of Craniofacial Surgery 24: 1871-1876.
  74. Liebregts J, Xi T, Timmermans M, de Koning M, Bergé S, et al. (2015) Accuracy of three-dimensional soft tissue simulation in bimaxillary osteotomies. Journal of Cranio-Maxillo-Facial Surgery 43: 329-335.
  75. Balshi SF, Wolfinger GJ, Balshi TJ (2008) Guided implant placement and immediate prosthesis delivery using traditional Brånemark System abutments: a pilot study of 23 patients. Implant Dent 17: 128-135.
  76. Vieira DM, Sotto-Maior BS, Barros CA, Reis ES, Francischone CE (2013) Clinical accuracy of flapless computer-guided surgery for implant placement in edentulous arches. Int J Oral Maxillofac Implants 28: 1347-1351.

Citation

Nilius M, Lauer G, Schulz MC (2019) Dental Rehabilitation in Class III Anomaly with Oligodontia after Palatal Distraction and Osteotomy under Cone-Beam CT Assistance. Res Rep Oral Maxillofac Surg 3:027. doi.org/10.23937/2643-3907/1710027