Citation

Mulkalwar A, Jaju S, Deolekar S (2021) A Large Papillary Carcinoma of Thyroid Gland. Int Arch Endocrinol Clin Res 7:027. doi.org/10.23937/2572-407X.1510027

Clinical Image | OPEN ACCESS DOI: 10.23937/2572-407X.1510027

A Large Papillary Carcinoma of Thyroid Gland

Alhad Mulkalwar*, Sujay Jaju and Samir Deolekar

Department of General Surgery, Seth Gordhandas Sunderdas Medical College, King Edward Memorial Hospital, India

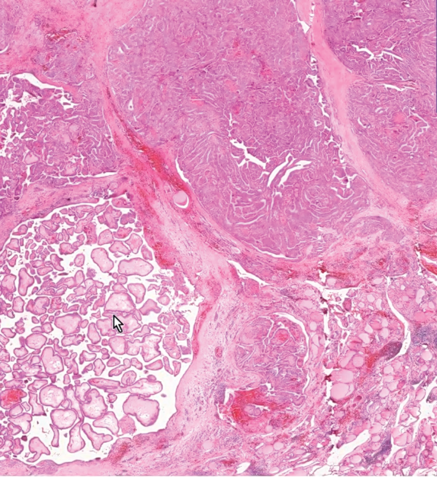
A 55-year-old female patient presented with a swelling in the front and sides of the neck (Figure 1) for last 1 year which was initially increasing slowly in size but for the last 5 months, the patient noticed that the swelling was rapidly increasing in size. She was complaining of dull aching pain over the swelling for last 3 months. She also complained of slight hoarseness of voice for last 2 months. She had slight difficulty in swallowing and breathing. There were no symptoms suggestive of hypothyroidism or hyperthyroidism. On examination, general survey was essentially normal. On local examination of the thyroid region, there was non-uniform diffuse enlargement of the thyroid gland; right lobe being more enlarged than the left lobe. The surface was nodular, hard in consistency, moving up and down with deglutition, mobile and not fixed to the skin and underlying structures. There were no signs of toxicity. Multiple lymph nodes were palpable in the right deep cervical group at levels II and III. The lymph nodes were firm in consistency and mobile. Systemic examination was normal. Investigations suggested a diagnosis of papillary carcinoma of thyroid and a surgical excision was performed. Histopathology confirmed the diagnosis of papillary carcinoma of thyroid (Figure 2).

Figure 1: A large irregular swelling in the front (A) and sides (B) of the neck. View Figure 1

Figure 2: Histopathological examination of the excised specimen showing multiple papillae (white arrow) along with fibrous tissue separating bands of the tumour. View Figure 2

Citation

Mulkalwar A, Jaju S, Deolekar S (2021) A Large Papillary Carcinoma of Thyroid Gland. Int Arch Endocrinol Clin Res 7:027. doi.org/10.23937/2572-407X.1510027