Citation

See XY, Yu-Cheng C, Kuan-Yu C (2023) Mycobacterium abscessus Lung Infection Mimicking Lady Windermere Syndrome. Clin Med Img Lib 9:227. doi.org/10.23937/2474-3682/1510227

Clinical Image | OPEN ACCESS DOI: 10.23937/2474-3682/1510227

Mycobacterium abscessus Lung Infection Mimicking Lady Windermere Syndrome

Xin Ya See, MD1*, Yu-Cheng Chang, MD2 and Kuan-Yu Chi, MD3

1Department of Medicine, Unity Hospital/Rochester Regional Health, Rochester, NY, USA

2Department of Medicine, Danbury Hospital, Danbury, CT, USA

3Department of Medicine, Jacobi Medical Center/Albert Einstein College of Medicine, Bronx, NY, USA

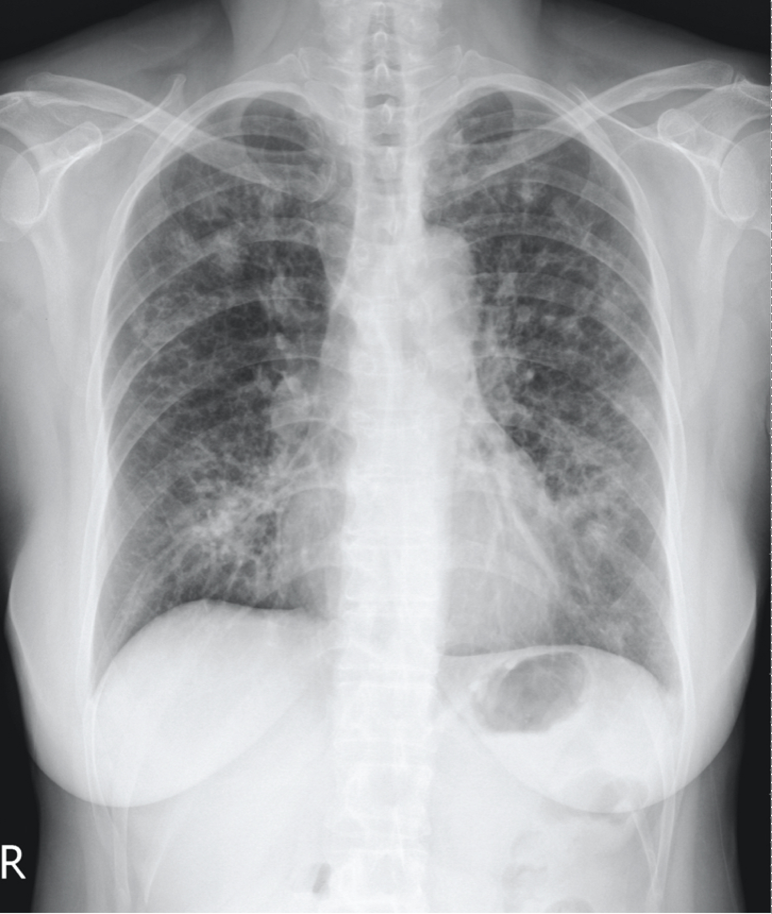
A 60-year-old non-smoking, slender woman without significant medial history presented with a 6-month history of intermittent low-grade fever, dyspnea, and productive cough with greenish sputum. Physical examination revealed crackles in both lung fields. Laboratory tests showed a white cell count of 21,700/μL (reference range 3,200 to 9,200). Chest radiography revealed multiple linear, nodular opacities, and infiltrates inboth lung fields (Figure 1). Computed tomography illustrated nodular bronchiectasis in the right middle lobe (RML) and the left lingua (Figure 2).

Acid-fast bacilli were identified in three expectorated sputum specimens, initially raising suspicion of Lady Windermere syndrome caused by Mycobacterium avium complex (MAC), given patient's clinical and imaging features. However, Mycobacterium abscessus, a rapidly growing nontuberculous mycobacteria (NTM) species, was subsequently identified in sputum cultures after one week.

Treatment involved an eight-week course of amikacin, imipenem, clarithromycin, and clofazimine based on drugs susceptibility testing, followed by maintenance therapy with oral linezolid, clarithromycin, and clofazimine. Subsequent monthly sputum cultures remained positive, despite significant symptom improvement. Unfortunately, she was lost to follow-up after 6 months.

Mycobacterium abscessus infection may exhibit similarities to Lady Windermere syndrome (LWS), as both conditions may appear in nonsmoking, slender, postmenopausal women without preexisting lung disease, exhibiting imaging features of bronchiectasis or opacities in the RML or lingula [1]. However, Mycobacterium abscessus, being a rapidly growing NTM species, differs from LWS, which is caused by MAC, a slow-growing NTM species. Both species are typically contracted through environmental exposure rather than person-to-person transmission [2]. While Mycobacterium abscessus infection frequently causes pulmonary infections and can affect various body parts, LWS specifically manifests as pulmonary infections. Antibiotic susceptibility testing is important for guiding the selection of appropriate antibiotics for both Mycobacterium abscessus and MAC pulmonary infections, given the intrinsic antibiotic resistance of the bacteria [3].

Source of Support/Conflict of Interest

All authors have no source of support or conflict of interest to declare.

Figures


Figure 1: Chest radiography revealed multiple linear, nodular opacities, and infiltrates in both lung fields.


Figure 2: Computed tomography illustrated nodular bronchiectasis in the right middle lobe (RML) and the left lingua.

References

  1. Nazarenko N, Borkowski P, Berges MM, Varrias D (2023) Lady Windermere syndrome with haemoptysis: Suspected pulmonary aspergilloma and MAC pulmonary disease. BMJ Case Reports 16: e256349.
  2. Griffith DE, Aksamit T, Brown-Elliott BA, Catanzaro A, Daley C, et al. (2007) An official ATS/IDSA statement: Diagnosis, treatment, and prevention of nontuberculous mycobacterial diseases. Am J Respir Crit Care Med 175: 367-416.
  3. Kurz SG, Zha BS, Herman DD, Holt MR, Daley CL, et al. (2020) Summary for Clinicians: 2020 Clinical Practice Guideline Summary for the Treatment of Nontuberculous Mycobacterial Pulmonary Disease. Ann Am Thorac Soc 17: 1033-1039.

Citation

See XY, Yu-Cheng C, Kuan-Yu C (2023) Mycobacterium abscessus Lung Infection Mimicking Lady Windermere Syndrome. Clin Med Img Lib 9:227. doi.org/10.23937/2474-3682/1510227