Citation

Bozer A (2023) Primary Aortoesophageal Fistula: A Rare Cause of Upper Gastrointestinal Bleeding. Clin Med Img Lib 9:221. doi.org/10.23937/2474-3682/1510221

Clinical Image | OPEN ACCESS DOI: 10.23937/2474-3682/1510221

Primary Aortoesophageal Fistula: A Rare Cause of Upper Gastrointestinal Bleeding

Ahmet Bozer, MD*

Department of Radiology, Bozyaka Education and Research Hospital, Karabağlar/İzmir, Bahar, Saim Çıkrıkçı, Turkey

Introduction

Aortoesophageal fistula (AEF) is a rare but life-threatening condition characterized by a communication between the aorta and the esophagus. It is often associated with aortic aneurysm rupture and can present with gastrointestinal bleeding. Rapid diagnosis and treatment are crucial for optimal patient outcomes. Here, we present a case of AEF in a 73-year-old female patient who presented with bloody vomiting.

Observation

A 73-year-old female patient presented to the emergency department with complaints of bloody vomiting. Given the suspicion of upper gastrointestinal bleeding, an endoscopy was planned. However, the procedure had to be aborted due to ongoing active bleeding. The patient's hemoglobin and blood pressure continued to decrease, necessitating further evaluation.

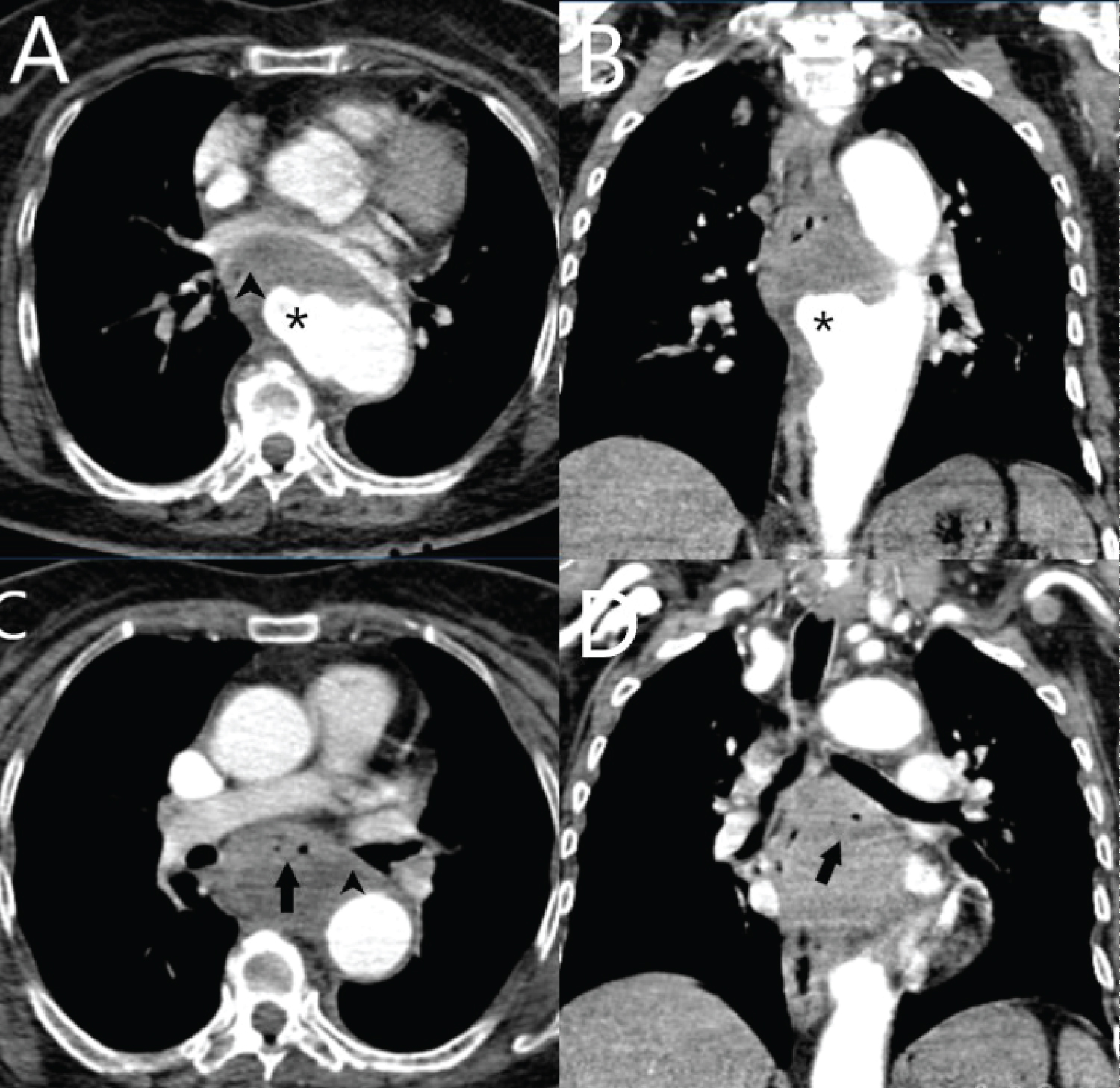
A Computed Tomography Angiography (CTA) was performed, revealing the presence of a saccular aneurysm in the thoracic aorta (Figure 1A and Figure 1B, asterisk). The observation of ectopic gas adjacent to the aneurysmatic aorta supported the diagnosis of AEF. Further more, the CTA showed evidence of aortic aneurysm rupture in to the esophagus, as well as the presence of air bubbles with in the mural thrombus (Figure 1C and Figure 1D, arrow).

Additionally, an indirect finding of AEF was noted with a disrupted aortic fat pad (Figure 1A and Figure 1C, arrowhead). Unfortunately, due to hemodynamic instability, the patient's condition deteriorated rapidly, and emergency curative surgery was planned. However, the patient passed away before the procedure could be performed.

Conclusion

This case highlights the importance of recognizing AEF as a potentialcause of gastrointestinal bleeding. Prompt diagnosis and management require a collaborative approach involving emergency department physicians, gastroenterologists, radiologists, and vascular surgeons.

Acknowledgements

None.

Funding

None.

Conflict of Interest

None.

Figures


Figure 1: The axial images of the Computed Tomography Angiography (CTA) are presented as A and C, while the coronal images are displayed as B and D.

Citation

Bozer A (2023) Primary Aortoesophageal Fistula: A Rare Cause of Upper Gastrointestinal Bleeding. Clin Med Img Lib 9:221. doi.org/10.23937/2474-3682/1510221