Citation

Chondros K, Konsolakis I, Graikos K (2018) Young Woman with a Foreign Body into the Bladder. Clin Med Img Lib 4:125. doi.org/10.23937/2474-3682/1510125

IMAGE ARTICLE | OPEN ACCESS DOI: 10.23937/2474-3682/1510125

Young Woman with a Foreign Body into the Bladder

Kostas Chondros1*, Ioannis Konsolakis2 and Konstantinos Graikos1

1Department of Urology, General Hospital of Rethymnon, Rethymnon, Crete, Greece

2Department of Obstetrics & Gynecology, General Hospital of Rethymnon, Rethymnon, Crete, Greece

Introduction

Bladder's foreign bodies represent an uncommon finding in patients with lower urinary tract symptoms. In most of the cases, patients report themselves the induction of a foreign object into their bladder and it is usually related to altered sexual behavior. These foreign bodies may vary from small everyday objects to larger ones such as catheters or wires. We present a case of a young woman with a history of neurogenic bladder who accidentally misplaced a single-use catheter into her bladder during her self-intermitted catheterization procedure.

Case Description

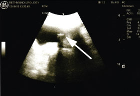
A 42-year-old woman presented to the emergency department claiming accidental foreign body insertion into her bladder. The patient had a history of self-intermittent catheterization over the past 10 years due to neurogenic bladder related to multiple sclerosis. She claimed that during her last catheterization she accidentally pushed the catheter inside her urethra because she confounded it with her vagina tampon. The ultrasound evaluation confirmed the foreign body inside her bladder (Figure 1). Eventually, the 12Fr hydrophilic single-use catheter was removed under cystoscopic direct vision, after grasping the tip and pulled out through the urethra (Figure 2).

Discussion

Foreign bodies inside the bladder are occasionally been reported in the literature [1]. Female urethral anatomy facilitates the insertion of foreign bodies because of the short length and the absence of kinking or prostate obstruction as in males [2]. Numerous foreign bodies including, pen casings, pencils, needles, erotic accessories, small objects, catheters, tampons, swabs and wires have been reported [3]. In most of the cases, the presence of a foreign body is related to masturbation or sexual fetish [4] or psychiatric situations. Iatrogenic misplacement of a part of an instrument or a catheter is also common. The diagnosis can be sometimes tricky, but usually the patients present with macroscopic hematuria, dysuria, urinary tract infection or retention [2]. Rarely, the patients report themselves the transurethral insertion of an object. The management usually includes a transurethral approach to facilitate the object extraction, although there are neglected cases with severe encrustation of the foreign body that may require open surgery [5].

In our case, the patient self-reported the accidental catheter misplacement and the object was effectively retrieved cystoscopically a few hours after the incident with no complications.

Conflict of Interest

None.

Sources of Support

None.

Figures


Figure 1: Sagittal ultrasonographic plane of the patient's bladder. The foreign body creates the characteristic acoustic shadow (white arrow).


Figure 2: The 12Fr hydrophilic single-use catheter that was used for intermittent catheterization, after retrieval under cystoscopic direct vision.

References

  1. Bansal A, Yadav P, Kumar M, Sankhwar S, Purkait B, et al. (2016) Foreign Bodies in the Urinary Bladder and Their Management: A Single-Centre Experience from North India. Int Neurourol J 20: 260-269.
  2. Van Ophoven A, de Kernion JB (2000) Clinical management of foreign bodies of the genitourinary tract. J Urol 164: 274-287.
  3. Kochakarn W, Pummanagura W (2008) Foreign bodies in the female urinary bladder: 20-year experience in Ramathibodi Hospital. Asian J Surg 31: 130-133.
  4. Moon SJ, Kim DH, Chung JH, Jo JK, Son YW, et al. (2010) Unusual foreign bodies in the urinary bladder and urethra due to autoerotism. Int Neurourol J 14: 186-189.
  5. Imai A, Suzuki Y, Hashimoto Y, Sasaki A, Saitoh H, et al. (2011) A very long foreign body in the bladder. Adv Urol 2011: 323197.

Citation

Chondros K, Konsolakis I, Graikos K (2018) Young Woman with a Foreign Body into the Bladder. Clin Med Img Lib 4:125. doi.org/10.23937/2474-3682/1510125