Table of Contents

Citation

Fernandes CJCS, Shiang C (2018) An Unusual Cause of Lung Micro-Nodules: Pulmonary Ossification. Clin Med Img Lib 4:117. doi.org/10.23937/2474-3682/1510117

IMAGE ARTICLE | OPEN ACCESS DOI: 10.23937/2474-3682/1510117

An Unusual Cause of Lung Micro-Nodules: Pulmonary Ossification

Caio Julio Cesar dos Santos Fernandes* and Christina Shiang

Pulmonary Department, Cancer Institute, University of Sao Paulo Medical School, Sao Paulo, Brazil

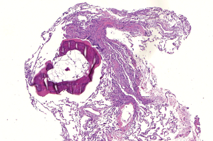
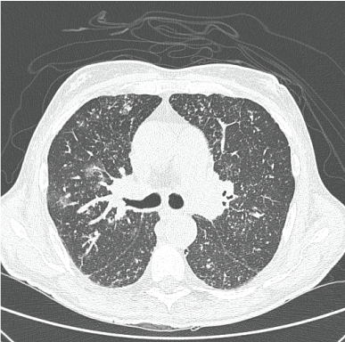
An 81-years-old patient presented himself with dyspnea on exercise and dry cough, for 3 months. He was being treated to Waldenström's Macroglobulinemia in the prior 6 months and had non-requiring dialysis chronic renal failure as a consequence of the disease. High-resolution CT scan showed pulmonary micro-nodules with some predominance in the bronchial-vascular axis (Figure 1). Due to the findings in the CT scan and the high prevalence of the disease in Brazil, the patient was being treated empirically as having miliary tuberculosis and presented several side effects following the therapy, such as liver toxicity and Steven-Johnson's dermatitis. He was then referred to our service and submitted to transbronchial biopsy that showed the presence of pulmonary ossification in the nodular form (Figure 2), quite possibly secondary to renal failure or to amyloidosis. Tuberculosis drugs were removed, and the patient improved the respiratory symptoms with further therapy to Waldenström's Macroglobulinemia and diuretics [1,2].

Figures


Figure 1: CT scan demonstrating pulmonary micro-nodules with some predominance in the bronchial-vascular axis and scarce ground glass opacities.


Figure 2: Transbronchial biopsy demonstrating pulmonary metaplastic ossification, adjacent to normal lung alveoli (right) (H&E).

References

  1. Duarte AAO, Nakatani J, Rigueiro MP, Saad T (2006) Dendriform pulmonary ossification. Jornal Brasileiro de Pneumologia 32: 270-273.
  2. Peros-Golubicic T, Tekavec-Trkanjec J (2008) Diffuse pulmonary ossification: An unusual interstitial lung disease. Curr Opin Pulm Med 14: 488-492.

Citation

Fernandes CJCS, Shiang C (2018) An Unusual Cause of Lung Micro-Nodules: Pulmonary Ossification. Clin Med Img Lib 4:117. doi.org/10.23937/2474-3682/1510117