CASE REPORT | VOLUME 5, ISSUE 1 | OPEN ACCESS DOI: 10.23937/2377-9004/1410112

Biamniotic Parasitic Conjoined Twins with Discordant Genotype

Sofie C Husen1 , Maarten FCM Knapen1, Femke AT de Vries2, Robert M Verdijk3 and Lutgarde CP Govaerts2

1Department of Obstetrics and Prenatal Medicine, Erasmus MC, Rotterdam, The Netherlands

2Department of Clinical Genetics, Erasmus MC, Rotterdam, The Netherlands

3Department of Clinical Pathology, Erasmus MC, Rotterdam, The Netherlands

*Corresponding author: Sofie C Husen, MD, Department of Obstetrics and Prenatal Medicine, Erasmus MC, Wytemaweg 80, 3000 CA, Rotterdam, The Netherlands, Tel: +31628135117, E-mail: s.husen@erasmusmc.nl

Received: December 18, 2017 | Accepted: January 18, 2018 | Published: January 20, 2018

Citation: Husen SC, Knapen MFCM, de Vries FAT, Verdijk RM, Govaerts LCP (2018) Biamniotic Parasitic Conjoined Twins with Discordant Genotype. Obstet Gynecol Cases Rev 5:112. doi.org/10.23937/2377-9004/1410112

Copyright: © 2018 Husen SC, et al. This is an open-access article distributed under the terms of the Creative Commons Attribution License, which permits unrestricted use, distribution, and reproduction in any medium, provided the original author and source are credited.

Introduction


Conjoined twin pregnancies are uncommon. The prevalence of conjoined twins in the first trimester of pregnancy is estimated as 1:50,000, with an unexplained female predominance (3:1) [1,2]. It is thought that at 13-14 days gestational age an incomplete fission of the germinal disc causes the development of a conjoined twin pregnancy, obligatory being associated with a monochorionic monoamniotic placentation [3,4]. We present a rare case of monochorionic biamniotic conjoined twins with discordant genotype for sex chromosomes and postulate on its developmental origin.

Case Description


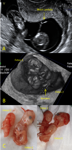
A 30-year-old primigravid woman was referred to our clinic at 12 weeks gestational age with a suspicion of an acardiac twin on a routine first trimester ultrasound scan. Expert abdominal and transvaginal two- and three-dimensional ultrasound examinations showed a monochorionic diamniotic (MCDA) omphalopagus conjoined twin (Figure 1A). Fetus 1 showed a normal intracranial anatomy, a non-covered defect of the abdominal wall with the liver out, ectopia cordis and signs of hydrops fetalis. Fetus 2 showed holoprosencephaly. The latter fetus also had a non-covered defect of the abdominal wall, absence of the heart and signs of hydrops. Only two limbs were visualized. Doppler ultrasound examination showed a single umbilical cord. Both fetuses were surrounded by a separate amniotic sac and two yolk sacs were identified. Examination with three-dimensional virtual reality confirmed these findings (Figure 1B). A provisional diagnosis of a monochorionic biamniotic conjoined twin of the heteropagus type was made.

Figure 1: Biamniotic parasitic conjoined twins A) Ultrasound examination: Two amniotic sacs surrounding the conjoined twins, with the occurrence of a 'black lambda', which indicates the pregnancy to be monochorionic diamniotic (MCDA); B) Screenshot of three-dimensional virtual reality: Showing two amniotic sacs; C) Photo of the postmortem examination of the traumatically separated twins. View Figure 1

A termination of pregnancy was performed at 13 weeks gestational age by application of misoprostol intravaginally. The fetuses showed to be traumatically separated at the time of the postmortem examination (Figure 1C). The external genitalia of fetus 1 showed to be female and the defect of the abdominal wall was confirmed, but only with the intestines extra-abdominally. Internal examination of fetus 1 showed a normal development of the internal organs compliant for the term of pregnancy, with normal localization of the heart. Fetus 2 had a proboscis, rudimentary upper limbs and a single lower limb with five digits. There was a defect of the abdominal wall. Internal organs could only be identified microscopically. Lungs, kidneys and adrenals were present. The heart could not be identified. Abdominal and pelvic internal organs could not be identified. The external genitalia were ambiguous. Both fetuses had a scoliosis with a prominent long and curved coccyx.

Rapid aneuploidy detection (RAD) of skin biopsies of both fetuses showed discordant sex chromosomes. Fetus 1 showed a normal female result, while fetus 2 showed a monosomy X, fitting the signs of hydrops fetalis on ultrasound examination. SNP array (Infinium_CytoSNP_850K v1.1BeadChip, Illumina, San Diego, USA) confirmed the RAD results, with no signs of mosaicism nor additional pathogenic copy number variants in both biopsies. Zygosity testing (AmpFlSTR® Identifiler® PCR Amplification Kit, Applied Biosystems, Life Technologies, Carlsbad, USA) confirmed monozygosity. Parental karyotypes were normal.

Conclusion


An early diagnosis of conjoined twins with 2D- and 3D-ultrasound scans can be made in the first trimester [5,6]. The incomplete fission theory describes the development of conjoined twins and monochorionic and monoamniotic membranes are considered obligatory. However, rare cases of MCDA conjoined twins were reported before [1,3,7,8], not matching this etiology. Alternative etiologies were published. Destephano, et al. [3], described a theory based on the incomplete fission theory. He hypothesized that initially one embryonic disc is situated in the amniotic cavity, followed by an abnormal gastrulation process, resulting in the formation of two primitive streaks instead of one in the embryonic disc. In between the two primitive streaks dimpling and folding of the amniotic sac causes the formation of two separate amniotic cavities and both embryos remain connected omphalopagus [3,9]. As an alternative for the incomplete fission theory a fusion theory was formulated by Spencer, et al. [10]. The latter theory is based on the idea that two separate embryonic discs exist in two different amniotic sacs from early on. These two embryonic discs fuse during development forming the diamniotic conjoined twin [10,11]. The non-mosaic chromosomal discordance would indicate an early separation in the postzygotic stage and supports the fusion theory in our case. Discordant karyotypes in monozygotic twins have been described before [12-15]. Gilbert, et al. and Gou, et al. described cases of monozygotic twins discordant for Turner syndrome and reviewed the known cases with this phenomenon, which is very rare and the prevalence remains unknown [12,13]. Rock, et al. described a case of monochorionic twin pregnancy, discordant anomalies an with a deletion on chromosome 7 in one of the fetuses, likely resulted from a postzygotic mitotic error [14]. Tachon, et al. described monozygotic twins with mosaic 47, XXY/46XX, but with different phenotype and discordant proportions for the 47, XXY and 46, XX cell lines, believed to be a postzygotic origin of the mosaicism [15]. The possible mechanisms of mitotic non-disjunction resulting in heterokaryotypia in monozygotic twins require more evidence. The occurrence of heteropagus parasitic conjoined twins, with signs of dizygosity, based on DNA-extraction, due to fusion was described before by Logrono, et al. [16]. However, these findings could be artefactual or do not indicate dizygosity, but a divergence due to postzygotic mitotic mutations, as described by Machin in a letter to the editor [17]. The occurrence of a biamniotic conjoined twin pregnancy in combination with a discordant genotype was never published so far. This occurrence supports the fusion theory as an etiologic explanation for conjoined twins.

Conflict of Interest


The authors report no conflict of interest.

References


  1. Wielgos M, Bomba-Opon D, Kociszewska-Najman B, Brawura-Biskupski-Samaha R, Kaminski A, et al. (2014) Minimally conjoined monochorionic diamniotic twins - A case report. Eur J Obstet Gynecol Reprod Biol 180: 206-207.

  2. Baken L, Rousian M, Kompanje EJ, Koning AH, van der Spek PJ, et al. (2013) Diagnostic techniques and criteria for first trimester conjoined twin documentation: A review of the literature illustrated by three recent cases. Obstet Gynaecol Surv 68: 743-752.

  3. DeStephano CC, Meena M, Brown DL, Davies NP, Brost BC (2010) Sonographic diagnosis of conjoined diamniotic monochorionic twins. Am J Obstet Gynecol 203: e4-e6.

  4. Kaufman MH (2004) The embryology of conjoined twins. Childs Nerv Syst 20: 508-525.

  5. Sherer DM, Dalloul M, Kheyman M, Zigalo A, Nader I, et al. (2006) Transvaginal color doppler imaging diagnosis of thoracopagus conjoined twins at 7 weeks' gestation. J Ultrasound Med 25: 1485-1487.

  6. Castro-Aragon I, Levine D (2003) Ultrasound detection of first trimester malformations: a pictorial essay. Radiol Clin North Am 41: 681-693.

  7. Tihtonen K, Lagerstedt A, Kähkönen M, Kirkinen P (2009) Diamniotic omphalopagus conjoined twins in a diamniotic pregnancy. Fetal Diagn Ther 25: 343-345.

  8. Charles A, Dickinson JE, Watson S, Phillips N, Yovich J (2005) Diamniotic conjoined fetuses in a triplet pregnancy: An insight into embryonic topology. Pediatr Dev Pathol 8: 666-672.

  9. Kapur RP, Jack RM, Siebert JR (1994) Diamniotic placentation associated with omphalopagus twins: implications for a contemporary model of conjoined twinning. Am J Med Genet 52: 188-195.

  10. Spencer R (2000) Theoretical and analytical embryology of conjoined twins: part I: embryogenesis. Clin Anat 13: 36-53.

  11. Spencer R (1996) Minimally united ischiopagus twins: Infraumbilical union with cloacal anomalies. J Pediatr Surg 31: 1538-1545.

  12. Gilbert B, Yardin C, Briault S, Belin V, Lienhardt A, et al. (2002) Prenatal diagnosis of female monozygotic twins discordant for Turner syndrome: Implications for prenatal genetic counselling. Prenat Diagn 22: 697-702.

  13. Gou C, Gao Y, Chen B, Fang Q (2014) Prenatal Diagnosis and Management of Monozygotic Twins Discordant for Turner Syndrome. Fetal Diagn Ther 36: 255-258.

  14. Rock KR, Millard S, Seravalli V, McShane C, Kearney J, et al. (2017) Discordant anomalies and karyotype in a monochorionic twin pregnancy: A call for comprehensive genetic evaluation. Ultrasound Obstet Gynecol 49: 544-545.

  15. Tachon G, Lefort G, Puechberty J, Schneider A, Jeandel C, et al. (2014) Discordant sex in monozygotic XXY/XX twins: A case report. Hum Reprod 29: 2814-2820.

  16. Logroño R, Garcia-Lithgow C, Harris C, Kent M, Meisner L (1997) Heteropagus conjoined twins due to fusion of two embryos: Report and review. Am J Med Genet 73: 239-243.

  17. Machin GA (1998) Heteropagus conjoined twins due to fusion of two embryos. Am J Med Genet 78: 388-389.