CASE REPORT | VOLUME 4, ISSUE 2 | OPEN ACCESS DOI: 10.23937/2377-9004/1410108

Intravenous Leiomyomatosis of the Uterus: A Case Report

Fatma Douik1, Najeh Hsayaoui2, Hajer Bettaieb1, Wael Mbarki1, Hedhili Oueslati3 and Chaouki Mbarki3

1Resident, Department of Gynecology and Obstetrics, Hospital of Ben Arous, Tunisia.

2Assistant, Department of Gynecology and Obstetrics, Hospital of Ben Arous, Tunisia

3Professor, Department of Gynecology and Obstetrics, Hospital of Ben Arous, Tunisia

*Corresponding author: Chaouki Mbarki, MD, Professor, Department of Gynecology and Obstetrics, Hospital of Ben Arous, Mornegue Street, Yasminete, Ben Arous, Tunisia, Tel: 21799563, E-mail: chabmbarki@yahoo.fr

Received: June 05, 2017 | Accepted: October 28, 2017 | Published: October 30, 2017

Citation: Douik F, Hsayaoui N, Bettaieb H, Mbarki W, Oueslati H, et al. (2017) Intravenous Leiomyomatosis of the Uterus: A Case Report. Obstet Gynecol Cases Rev 4:108. doi.org/10.23937/2377-9004/1410108

Copyright: © 2017 Douik F, et al. This is an open-access article distributed under the terms of the Creative Commons Attribution License, which permits unrestricted use, distribution, and reproduction in any medium, provided the original author and source are credited.

Abstract


Intravenous Leiomyomatosis (IVL) is an unusual clinical condition characterized by histologically benign smooth muscle lesions extending from the uterus into pelvic and systemic veins and, more rarely, into the right cardiac chambers. Although the radiological diagnosis is straight forward in most cases, IVL can occur in unusual locations or present with unusual growth patterns that make the diagnosis more challenging. We report clinical, histological, and immunohistochemical features of a uterine IVL in a 44-year-old woman who presented with chronic pelvic pain.

Keywords


Intravenous leiomyomatosis, Uterus, Surgery, Pathology

Introduction


Intravenous Leiomyomatosis (IVL) was first described by Birch-Hirschfield in 1896 [1] and then in 1903 by Knauer [2]. It is a rare neoplasm characterized by a histologically benign-looking smooth muscle cell tumor mass growing within the uterine and extrauterine venous system. Although histologically benign, IVL might be malignant in its mode of behavior. Tumor may penetrate the inferior vena cava, reach the right heart chambers, or extend to the right pulmonary artery, producing heart blockade and thus resulting in a fatal outcome [3]. Appropriate diagnosis and a radical surgical approach to IVL provide optimal outcomes. Incomplete resection and/or microscopic foci of IVL can lead to recurrence. Surgery should always aim for complete tumor excision and include hysterectomy and bilateral salpingo-oophorectomy. We report clinical, histological, and immunohistochemical features of a uterine IVL in a 44-year-old lady who presented with chronic pelvic pain.

Case Report


A 44-year-old premenopausal woman, para 2 gravida 2, without medical history, was admitted in our department of gynecology and obstetrics with complaints of chronic pelvic pain. Pain abdomen was intermittent and confined to lower abdomen. Menstrual cycles were normal and there was no menorrhagia. Abdominal examination revealed irregular and no tender uterine mass of 10 weeks pregnant size with a macroscopically healthy cervix.

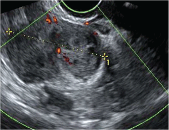
A routine pelvic ultrasound was performed showing bulky uterus with thin endometrium and heterogeneous intracavitary leiomyoma. Pelvic ultrasound showed also a right lateral uterine mass of 45 mm arising from the corpus uteri and partially vascularized (Figure 1). In addition, the patient did not have any other radiological examinations such as CT scan or MRI.

Figure 1: Ultrasonographic finding of intravascular leiomyoma: Right lateral uterine mass of 45 mm arising from the corpus uteri and partially vascularized. View Figure 1

As the patient was symptomatic and had feeling of incomplete voiding of urine and as she had already completed her family, the decision of total abdominal hysterectomy with bilateral salpingo-oophorectomy was taken.

Abdomen was opened by transverse Pfannenstiel incision. Laparotomy revealed an enlarged uterus as 10 weeks of gestation. Ovaries appeared healthy. The right lateral uterine mass was independent of the uterus, encapsulated, very vascular and showed worm-like projections into the pelvic veins. This mass was released from the uterus and totally removed (Figure 2).

Figure 2: Macroscopic appearance of an intravascular leiomyomatosis; (a) Intraoperative view showing a large uterus with an encapsulated hyper-vascularized mass, developing on the right edge of the uterus (arrow) and an apparently normal ovarian (star); (b,c) View in section showing a large uterus with a small cavity, compressed by the wall, with multiple nodular formations (arrow). View Figure 2

On gross examination, the uterus was enlarged containing 4 intramural masses and weighting 345 g. The myometrium was thick with convoluted worm-like fleshy masses, which were white to gray in color. Those tumors in the myometrium had features of a leiomyoma and there was tumor in uterus venous channels. On microscopic examination, the histological aspect was very variable. Some cells were spindle-shaped with no atypia, while others had marked hyalinization and vascularization. No mitosis or cell necrosis was observed. Immunohistochemistry showed positivity for CD3. Tumor cells were positive for vimentin and strongly positive for smooth muscle actin.

The microscopic features and immunohistochemical findings concluded on the diagnosis of IVL extended to the broad ligaments associated with uterine adenomyosis, junctional cervicitis and proliferative endometrium.

The patient had an uneventful postoperative course. She had echocardiography and chest radiograph, and both were normal. She was discharged on day 4 and actually, she is followed up in our outpatient. No additional surgical or hormonal treatment was necessary. After 4 years of decline, the patient did not have any late complications of recurrence.

Discussion


The precise etiology of IVL is unclear, although there are 2 principal theories. The first is Knauer's theory, which states that the tumor arises from smooth muscle cells in the vessel's wall, and the second is Sitzenfry's theory, which states that the uterine leiomyoma itself proliferates to subsequently invade the venous channels [4]. Evidence has been found supporting both hypotheses [5].

IVL affects predominantly caucasian premenopausal women with a median age about 45 years, but ages range between 21 and 80-years-old [6]. Our patient was a 44-year-old premenopausal woman. Female gonadal steroids play a major role in the pathogenesis as the condition is associated with high estrogen levels [7].

The early diagnosis of IVL is difficult. At the early stage of IVL, most of the patients were asymptomatic despite extensive intravenous extension, and the tumor extension remained inside the small vessels of the myometrium and could not be detected by computed tomography scan or magnetic resonance imaging [3]. The cases of IVL are underestimated because diagnosis is easily missed, particularly in the early stage. The correct preoperative diagnosis of IVL is also difficult because it is usually established by intraoperative findings or postoperative pathologic examination [8].

Moreover, clinical presentation is initially nonspecific, asymptomatic or related to concomitant processes. Ninety percent of patients have symptoms related to a pelvic mass [8], such as hypermenorrhea, pelvic pain or abdominal discomfort. Our patient presented with chronic pelvic pain, which is in line with the most common symptoms reported for IVL [9]. On gross examination, intravenous tumors have been described as rubbery wormlike plugs within vessels that grow beyond the edge of a uterine leiomyoma [10].

Microscopically, the intravascular tumor is variably cellular with spindle-shaped cells that contain elongated nuclei lacking pleomorphism. Nodular condensations of endothelialized smooth muscle may appear to invade or be intimately associated with the vascular wall of the uterine vessels, extending beyond the edges of a leiomyoma [11].

Immunohistochemistry shows positivity for vimentin, desmin, and smooth muscle actin, and negative for CD10. Intravenous tumors may show weak to strong expression of progesterone receptors and estrogen receptors [5,8]. The best treatment of choice for IVL is a complete resection with hysterectomy and bilateral salpingo-oophorectomy, and complete resection of the intravenous and intracardiac extension, if present.

Gonadotropin Releasing Hormone (GnRH) and antiestrogenic therapy have been suggested as a potential approach to prevent tumor growth and reduce the tumor mass but no efficacy has been demonstrated to date [5,6].

The true rate of recurrence of completely resected leiomyomatosis is unknown, but regrowth of the tumor has been documented in up to 30% of patients, from 7 months to 15 years after primary surgery [11]. For these reasons, long-term imaging follow-up is recommended. However, there is no consensus about optimal timing and technique for follow up.

IVL is a rare and benign pathology with a high risk of recurrence; hence, radical excision and long-term follow-up imaging are essential for a good prognosis. Surgery should always aim for complete tumor excision and include hysterectomy and bilateral salpingo-oophorectomy.

Competing Interests


The authors declare no competing interests.

Authors' Contribution


All persons designated as authors above, qualify for authorship, they took active part in the management of this patient and write up of this manuscript. All authors have read and agreed to the final manuscript.

References


  1. Birch-Hirschfeld FV (1896) Lehrbuch der Pathologischen Anatomie. (5th edn), Leipzig, Vogel, Germany, 226

  2. Knauer E (1903) Beitrag zur Anatomie der Uterusmyome. Beur Geburtshilfe Gynaekol 1: 695.

  3. Burke M, Opeskin K (2004) Death due to intravenous leiomyomatosis extending to the right pulmonary artery. Pathology 36: 202-203.

  4. Diakomanolis E, Elsheikh A, Sotiropoulou M, Voulgaris Z, Vlachos G, et al. (2003) Intravenous leiomyomatosis. Arch Gynecol Obstet 267: 256-257.

  5. Kir G, Kir M, Guzbuz A, Karateke A, Aker F (2004) Estrogen and progesterone expression of vessel walls with intravascular leiomyomatosis: discussion of histiogenesis. Eur J Gynaec Oncol 25: 362-366.

  6. Bodner-Adler B, Bartl M, Wagner G (2009) Intravenous leiomyomatosis of the uterus with pulmonary metastases or a case with benign metastasizing leiomyoma? Anticancer Res 29: 495-496.

  7. Quade BJ, Dal Cin P, Neskey DM, Weremowicz S, Morton CC (2002) Intravenous leiomyomatosis: Molecular and cytogenetic analysis of a case. Mod Pathol 15: 351-356.

  8. Barksdale J, Abolhoda A, Saremi F (2011) Intravenous leiomyomatosis presenting as acute Budd-Chiari syndrome. J Vasc Surg 54: 860-863.

  9. Ahmed M, Zangos S, Bechstein WO, Vogl TJ (2004) Intravenous leiomyomatosis. Eur Radiol 14: 1316-1317.

  10. Norris HJ, Pamley T (1975) Mesenchymal tumors of the uterus. V. intravenous leiomyomatosis. Cancer 36: 2164-2178.

  11. Clement PB, Young RH, Scully RE (1988) Intravenous leiomyomatosis of the uterus. A clinicopathological analysis of 16 cases with unusual histologic features. Am J Surg Pathol 12: 932-945.