Introduction: Severe pre-eclampsia is a multisystem disorder associated with various ocular complications, however postpartum bilateral serous retinal detachment is uncommon and may threaten vision if not early recognized, thus requiring prompt management in order to prevent permanent visual loss.
Clinical description: A case of 31-year-old woman, G3P0 with an invitro fertilization and previous miscarriages, developed severe pre-eclampsia at 34 weeks of gestation. She underwent an emergency cesarean section for maternal indication. On the second postoperative day, she develops sudden unilateral blindness and blurred vision in the contralateral eye. Ophthalmological examination showed normal optics discs while MRI revealed bilateral serous retinal detachment. She was managed conservatively with strict blood pressure control, magnesium sulphate therapy and anticoagulation with full recovery of vision over 3 weeks without need of surgical intervention.
Discussion: Postpartum retinal detachment is uncommon, most often serous and reversible. This case highlights that conservative management focusing on strict blood pressure control and supportive care was sufficient avoiding surgical intervention. Timely diagnosis and coordinated multidisciplinary management ensured complete visual recovery.
Conclusion: Bilateral serous retinal detachment is a rare but reversible postpartum complication of severe pre-eclampsia. With early recognition, close monitoring and conservative management can lead to complete restoration of vision.
Preeclampsia, Serous retinal detachment, Visual loss, Postpartum, Choroidal ischemia, Multidisciplinary management
Pre-eclampsia is a multiorgan disorder that affects approximately 2-8% of pregnancies [1,2] and is a major cause of maternal and perinatal morbidity worldwide [3]. It is characterized by new onset hypertension after 20 weeks of gestation accompanied by proteinuria or other signs of end-organ dysfunction including hepatic, renal, hematological or neurological involvement [4-6].
Ocular manifestations are often under-recognized affecting up to 50% of patients [7] and ranging from benign retinal vascular changes to serious neuro-ophthalmic complications of which retinal detachment is uncommon but well documented [8-10]. The proposed underlying mechanism involves choroidal ischemia and breakdown of the blood-retinal barrier leading to fluid accumulation in the subretinal space. It typically presents bilaterally and may occur in the third trimester or postpartum period and mostly reversible with conservative approach. Thus, requires prompt recognition and appropriate management to prevent permanent visual loss [6,10]. We report a case of bilateral serous retinal detachment in a postpartum woman with severe pre-eclampsia, highlighting the importance of early recognition and conservative management in achieving optimal visual outcomes.
A case of 31 years old, gravida 3 para 0 with previous two first trimester miscarriages and current invitro fertilization (IVF) pregnancy, presented late at 30 weeks+5 days for antenatal care. Her booking baseline vitals were in normal range (Bp: 127/76 mmgh) with body mass index of 32.41 kg/m 2 . She had no medical or surgical history significant.
At 33 weeks+ 5 days of gestation, she was diagnosed with pregnancy induced hypertension and commenced on oral labetalol with advice for home monitoring blood pressure. Initial investigations showed normal renal and liver function tests, normal platelet count, hemoglobin of 11.5 g/dl, blood group O positive and normal urinalysis with no proteinuria.
At 34 weeks of gestation, she presented in Emergnecy Department with severe headache and markedly elevated blood pressure (180/110 mmgh). She denied any epigastric pain, visual disturbances or pedal edema. Urinalysis showed +3 proteinuria. Laboratory evaluation revealed elevated serum uric acid (0.469 mmol/L) with normal renal and liver function tests and platelet count. Fetal assessment was reassuring. She was diagnosed with severe pre-eclampsia and managed with intravenous antihypertensives and loading + maintenance therapy of magnesium sulphate. A 24-hour urine collection revealed massive proteinuria (11.7 g/24 hrs.). Antenatal corticosteroids were also given. Due to persistent severe hypertension, ongoing symptoms, IVF conception, maternal preference and refusal for induction of labor, an emergency cesarean section was performed after informed consent.
Alive female infant of 1.9 kg with Apgar 7/8/10 delivered. Postoperatively, the patient was stable with Bp: 132/76 mmgh and shifted to High Dependency Unit with continued magnesium sulphate therapy.
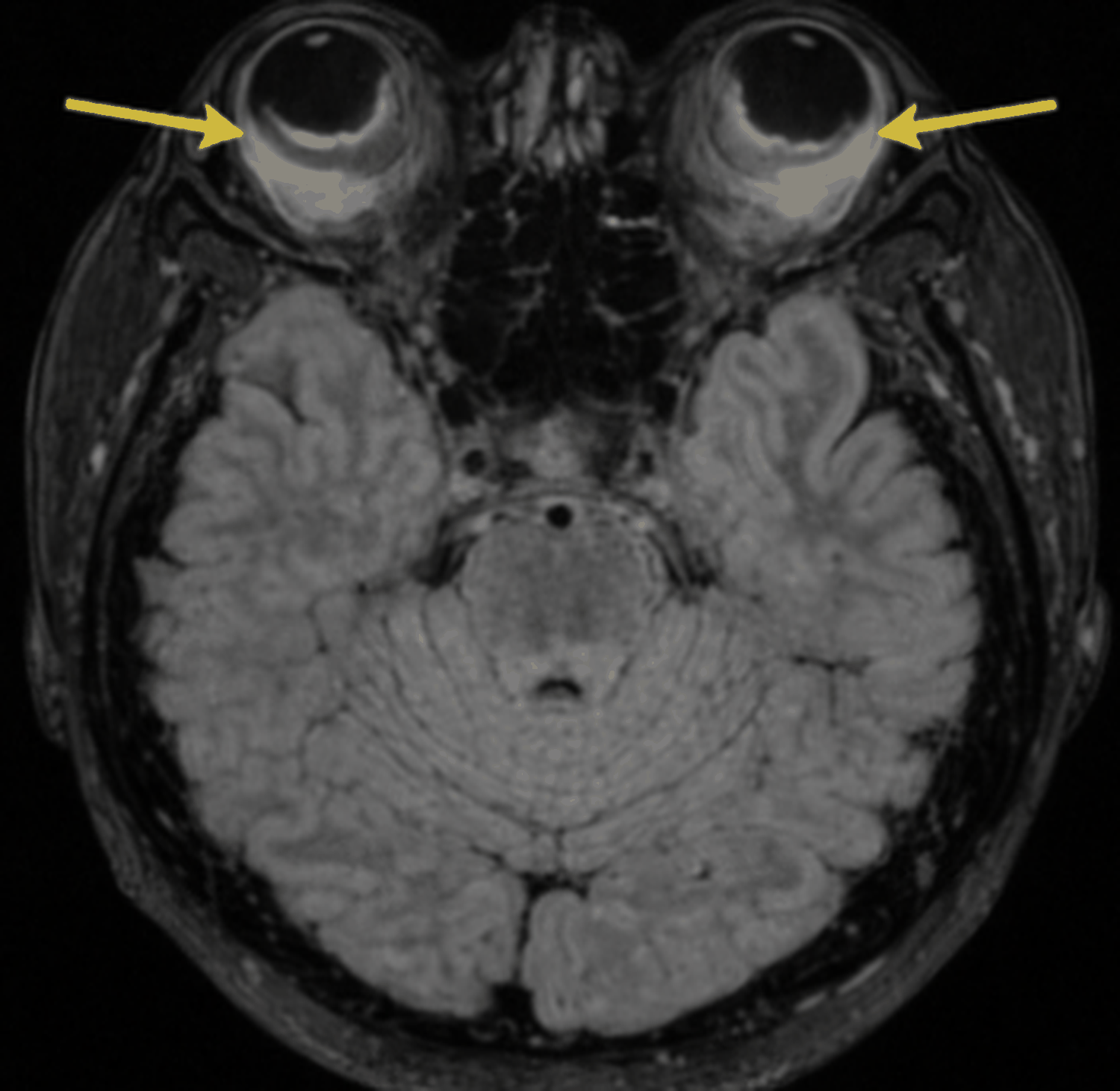
On postoperative day 2, the patient complaint of acute sudden loss of vision in one eye and blurring in contralateral eye despite of controlled blood pressure and reduced proteinuria (+1). Repeated lab results were in normal range. Urgent ophthalmology and neurology consultation were obtained. Fundoscopic examination revealed normal optic discs and red reflexes bilaterally with no papilledema. A CT scan of the brain was normal but MRI brain and orbits revealed bilateral serous retinal detachment (Figure 1).
Figure 1: MRI: showing bilateral serous retinal detachment.
View Figure 1
The patient was managed conservatively with strict blood pressure control, reinstitution of magnesium sulphate, optimization of antihypertensive therapy and postnatal thromboprophylaxis with enoxaparin. No surgical ophthalmic intervention was required.
Her clinical condition gradually improved with complete resolution of visual symptoms over the following weeks. At three weeks postpartum follow up, visual acuity had significantly improved and fundas examination confirmed complete resolution of bilateral serous retinal detachment (Figure 2).
Figure 2: Postpartum complete resolution of pre-eclampsia-associated serous retinal detachment.
View Figure 2
The manifestation of bilateral serous retinal detachment in this postpartum patient admitted with severe preeclampsia highlights the importance of vigilant monitoring for ocular complications in hypertensive disorders of pregnancy [7]. The patient’s presentation with sudden loss of vision on the second postoperative day inspite of controlled blood pressure is consistent with the reported timing of retinal detachment in pre-eclampsia, which can occur antepartum or postpartum, often between 24 hours to 1 week postpartum [3,6,11,12].
The pathophysiology of serous retinal detachment in pre-eclampsia involves choroidal ischemia and breakdown of the blood-retinal barrier leading to fluid accumulation in the subretinal space without retinal tear [9,10]. This typically presents bilaterally, as in our case and is often associated with severe hypertension, proteinuria and other signs of end-organ dysfunction [1]. The patient’s MRI findings demonstrating bilateral serous retinal detachment without underlying retinal breaks are consistent with this mechanism.
Conservative management focusing on strict blood pressure control, magnesium sulphate therapy and supportive care, as employed in this case, is often sufficient, avoiding the need for surgical intervention [6,13] and restoration of the vision in this patient. Thus prompt recognition and multidisciplinary input involving obstetricians, ophthalmologists and other specialists are critical in achieving optimal visual outcomes as timely intervention can lead to complete resolution of retinal detachment and restoration of vision within weeks postpartum as in our case [5,12,14].
So overall this case emphasizes the importance of timely recognition of ocular complications in pre-eclampsia, especially in postpartum period with early ophthalmology referral to prevent permanent vision loss [15].
Bilateral serous retinal detachment is a rare but reversible complication of severe pre-eclampsia which may occur postpartum. Our case demonstrates that timely recognition with early ophthalmology referral and conservative management with strict blood pressure control and supportive care can lead to complete visual recovery without surgical intervention [6,13,12]. Thus emphasizes the importance of multidisciplinary management and vigilant monitoring of postpartum women with severe pre-eclampsia to achieve optimal visual and maternal outcomes [16].
• Bilateral serous retinal detachment can occur in severe pre-eclampsia presenting with sudden blurred vision or visual loss.
• Diagnosis is clinical, supported by fundus examination and imaging.
• With strict blood pressure control, most cases resolve spontaneously with good visual recovery.
The author reported no conflict of interest and no funding was received for this work.