RESEARCH ARTICLE | VOLUME 3, ISSUE 2 | OPEN ACCESS DOI: 10.23937/2572-3243.1510035

Minimally Invasive Percutaneous Screw Fixation of Phalangeal Fractures of the Hand

Simon-Perez C , Garcia-Virto V, Garcia-Medrano B, Rodriguez-Mateos JI, Faour-Martin O and Martin-Ferrero MA

Hospital Clínico Universitario de Valladolid, Valladolid, Spain

*Corresponding author: C Simón Pérez, Hospital Clínico Universitario de Valladolid, Avenida Ramón y Cajal s/n, 47005, Valladolid, Spain, E-mail: simonclarisa@yahoo.es

Received: November 16, 2016 | Accepted: May 30, 2017 | Published: June 01, 2017

Citation: Perez CS, Virto VG, Medrano BG, Mateos JIR, Martin OF, et al. (2017) Minimally Invasive Percutaneous Screw Fixation of Phalangeal Fractures of the Hand. J Musculoskelet Disord Treat 3:035. doi.org/10.23937/2572-3243.1510035

Copyright: © 2017 Perez CS, et al. This is an open-access article distributed under the terms of the Creative Commons Attribution License, which permits unrestricted use, distribution, and reproduction in any medium, provided the original author and source are credited.

Abstract


Aim

This study present the results of an effective, minimally invasive treatment method for displaced diaphyseal and articular fractures of hand phalanges, which are difficult to manage and frequently involve complications stemming from excessive treatment.

Methods

93 patients with phalangeal fractures of the hand were treated using minimally invasive screw osteosynthesis. We carried out a prospective study covering the period from November 2002 to November 2013. All the fractures were closed and 39 (41.9%) fractures were intra-articular. The most common type of fracture was the long oblique, in 40 (43%) cases, followed by the spiral fracture in 14 (15.1%) cases.

Results

The functional results attending mobility range and fracture healing obtained after the last revision (6 months) were excellent in 68 patients (73.1%), good in 18 (19.4%) and poor in 7 (7.5%).

Conclusions

Percutaneous screw osteosynthesis reduces the time of fracture immobilisation to the maximum, contributing to earlier functional recovery, and leaves no aesthetic defects. It is a very useful technique in specially selected fractures and patients.

Type de study/Level of evidence

Therapeutic III.

Keywords


Phalangeal fractures, Minimally invasive surgery, Screw osteosynthesis

Introduction


Fractures of the hand are the most common upper extremity fractures, constituting some 10% of all the fractures in the body [1,2]. Metacarpal and phalangeal fractures account for 14%-28% of all hospital emergency visits [3] and make up approximately 46% of hand and wrist fractures [4]. They mainly occur in young people, causing remarkable social, labour and economic impact [1,2].

Most of these fractures are treated conservatively, with good results as long as there is appropriate short-term immobilization followed by early physiotherapy [1,5-7]. Over the last 25 years, treatment for hand fractures has increasingly turned to surgical treatment because of improved implant materials and tools, as well as rising use of the fluoroscope [1,8,9]. The growth in treating surgically these fractures stems from the desire to lower their two most frequent complications (stiffness and deformity) by providing greater fracture stability and allowing early mobility [1,10,11]. Surgical intervention is indicated for the following types of fractures: irreducible, severe rotations (spiral and oblique fractures), intra-articular, subcapital, open, with bone fragment loss, multiple, hand fractures in polytrauma patients and soft tissue injuries [1,2,12,13].

However, abuse in surgical indication for these fractures has triggered the appearance of other secondary complications from soft tissue injuries, such as tendinous adherences, infection, and even another operation to remove implants [1,5].

The minimally invasive percutaneous screw fixation method tries to prevent the complications derived from conservative treatment and permit early fracture mobility due to a better stabilisation. Also, it minimise open surgery complications, by reducing exposure and soft tissue trauma. Further prevents opening of the fracture focus. The percutaneous location of the hand bones makes it easier to apply this technique, but a careful patient selection is essential for satisfactory results [5].

The objective of this article is to present our experience with the percutaneous screw fixation technique for treating certain phalangeal fractures of the hand.

Material and Methods


This was a prospective study covering the period between November 2002 and November 2013, in which 98 patients with phalangeal fractures were treated by percutaneous fixation using screws. The same Orthopaedic Surgery and Traumatology specialist operated on all patientson a day surgery basis.

We selected the patients based on patient characteristics and fracture type. The patient has to be a collaborative and reliable. Subsidiary fractures in this type of treatment were as follows: a) Long spiral or oblique diaphyseal fractures, b) Oblique or Spiral intra-articular fractures (condylar or fractures of the base of the phalange), c) Complex multifragmentary fractures, with impossibility for open osteosynthesis, in which we only intend reduce the articular fracture with percutaneous screws, aligning and immobilizing the rest of the fracture orthopedically.

Anaesthesia was loco-regional, no ischemia was required and preoperative antibiotic prophylaxis was given. We used material and instruments specific to hand osteosynthesis and a low-dose OEC 6800 Mini View mini C-arm fluoroscope (General Electric Medical Systems, Waukesha, WI).

The surgical technique consisted of, first, a closed reduction of the fracture (sometimes with the help of towel clips or Kocher clamps to keep the fragments on the opposite side reduced). Next, we made an incision at the level of the dorsal-palmar skin juncture, the safest area; blunt dissection was then performed to prevent the lateral neurovascular bundles of the extensor apparatus from being trapped, and Kirschner wires were used to maintain the fracture. One by one, we replaced each Kirschner wire with self-tapping 1.5-2 mm micro-screws following the compression criteria for the fracture site, depending on bone type and location. The image intensifier was used to help in this step (Figure 1).

Figure 1: The surgical technique. View Figure 1

Immobilisation was achieved with a syndactyly for 3 weeks. In a few cases, a plaster splint was required during the first 2 weeks. Patients were then sent to rehabilitation.

We performed postoperative follow-ups at 2-3 days, 3-5 weeks, 3 months and 6 months, carrying out x-ray monitoring and serial functionality controls based on the American Society for Surgery of the Hand criteria [9,14] (Table 1).

Table 1: Functional hand results based on the American Society for Surgery of the Hand (ASSH) [9,14] classification. View Table 1

Results


We attempted to treat all the 98 patients using this percutaneous technique. However, 5 (5.4%) could not be treated in this manner because it was impossible to reduce the fracture closedly, with an open osteosynthesis being required for them. This left a cohort of 93 patients for this study, 73 (78.5%) males and 20 (21.5%) females. Their ages ranged from 12 to 70 years (mean age, 29.5 years). Period between the injury and the surgery ranged from 0 to 14 days, with a mean of 3.8 days.

Twenty-four patients (25.8%) suffered a work accident; 36 (38.7%) had a fall; 28 (30.1%) sports accidents, and in 5 (5.4%) the fracture occurred as the result of aggression. One (1.1%) fracture was placed in the distal phalanx, and 1 (1.1%) in the proximal phalanx of the thumb; 13 (13.9%) in the proximal, and 8 (8.6%) in the middle phalanx of the 2nd finger; 11 (11.8%) in the proximal, and 5 (5.4%) in the middle phalanx of the 3rd finger; 18 (19.4%) in the proximal, and 15 (16.1%) in the middle phalanx of the 4th finger; and 17 (18.3%) in the proximal, and 4 (4.3%) in the middle phalanx of the 5th finger (Table 2).

Table 2: Fracture locations. View Table 2

Forty-six (49.5%) fractures were extra-articular; 39 (41.9%) were intra-articular: 20 of the base of the phalanx and 19 of the condyles, and eight (8.6%) were complex multifragmentary fractures with extension lines to the joint. In these last ones, percutaneous osteosynthesis was used only to reduce and preserve articular surface of the bone. All fractures were closed.

The number of screws used for osteosynthesis depended greatly on the fracture pattern. Thirteen (14%) fractures were treated with a single screw; 51 (54.8%) fractures with 2 screws; 29 (30.1%) with 3 screws; and 1 (1.1%) fracture was treated with 4 screws (Figure 2).

Figure 2: Fracture of the proximal phalanx (3rd finger) treated using 4 percutaneous screws.View Figure 2

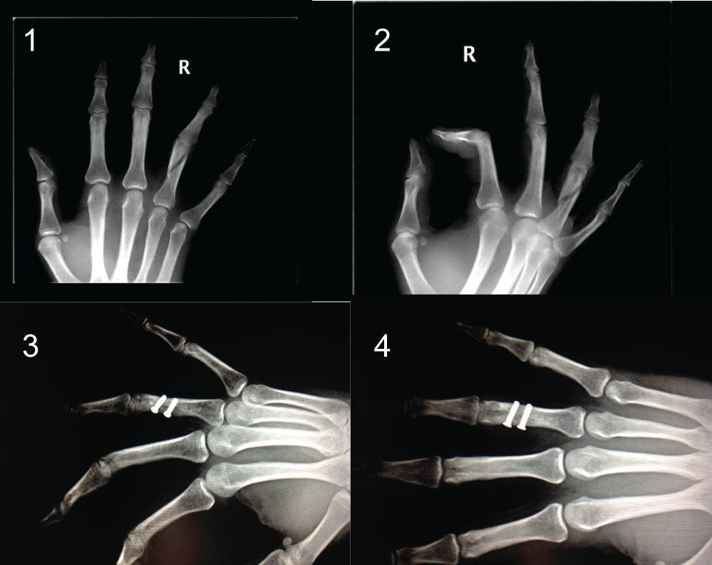
The most frequent type of fracture was the long oblique fracture, found in 40 (43%) cases. The second most frequent was the spiral fracture, in 14 (15.1%) cases (Figure 3).

Figure 3: Spiral fracture of the middle phalanx (3rd finger) treated using 2 screws. View Figure 3

Functional results were measured after the last follow-up (6 months). The outcome was excellent in 68 (73.1%) patients, good in 18 (19.4%) patients, and poor in 7 (7.5%) (Table 3).

Table 3: Functional results obtained after the last follow-up. View Table 3

Reduction of fracture was anatomic, in the radiographic control, in 84 (90.3%) occasions. In 4 (4.3%) patients with a complex multi fragmentary fracture with extension to the base of the phalanx, the articular surface was corrected with the percutaneous osteosynthesis, but the rest of the bone could not be corrected anatomically, although it was not a problem in the final result, because the bone was in acceptable alignment. The articular surface could not be corrected perfectly in 4 (4.3%) patients due to extensive comminution (they are included as poor results). In 1 (1.1%) patient with fracture of the proximal phalanx of the 4th finger, was observed postoperatively a slight diastasis of the fracture site. The fracture did not consolidate, and displaced at ten weeks after suffering a trauma in the finger, and it was necessary to do a surgical revision inserting a plate and screws (included as a poor result).

One patient had poor functional result by an undue delay that prolonged the immobilization, is about a long oblique fracture of the proximal phalanx of the 3rd finger, treated with 2 percutaneous screws, it achieved good consolidation, but after an immobilization of five weeks appears an stiffness with a PIP flexion of 90º, that was not recovered with physiotherapy, and we had to perform a tenolysis at 3 months, releasing the adherences of the lateral bundles of the extensor apparatus, with a good final result. Another patient with a fracture of the base of the proximal phalanx of the 5th finger, treated with two percutaneous screws, had a good consolidation, but presented stiffness in the MCPJ and PIPJ due to a lack of early mobilisation by poor patient cooperation. This patient rejected a proposed surgical intervention for teno-arthrolysis.

There were no infections, and all fractures were consolidated in less than 6 weeks, except for the previously mentioned, that displaced secondarily due to no consolidation at 10 weeks. Five patients (5.4%) needed a second surgical intervention to remove the screws due to intolerance.

Discussion


A.B. Swanson (1970) stated that "fractures of the hand can have the following complications: deformity from lack of therapy, stiffness from excessive treatment and deformity and/or stiffness if attention is deficient" [1]. There are frequently complications associated with these fractures and they can arise in both conservative and surgical treatment [15,16].

Expected advantages of orthopaedic treatment are that prevents the opening of the fracture focus with the necessary dissection of valuable important tissues, avoiding so the subsequent adherent scarring. However, conservative treatment requires us to make, in certain types of fractures, lengthy forced immobilisations. These, in turn, contribute to stiffness and are unable to prevent deformities [1,2].

Some advantages of open surgical treatment are anatomic fracture correction and stability, but excessive indication for surgery for hand fractures, motivated by the availability of new micro-osteosynthesis materials, has led to finger stiffness derived from dissecting of important tissues, and of the occupied space by osteosynthesis material itself that is sometimes needed so that the different tissues can sliding [1,2,5,8,9].

Minimally invasive percutaneous screw fixation of phalangeal fractures has the advantages of both previous techniques: not opening of the fracture focus and getting good fracture stability for early mobilization, with minimal tissue dissection. Traditionally it has been done with Kirschner wires, but wires provide only precarious stabilizationof the fracture focus, and needs to be following with cast in mobilization. Although recent cadaver studies have compared several osteosynthesis methods for unicondylar fractures of the proximal phalanx, and found no significant differences between osteosynthesis with screws and with Kw. This study fails, as long as there was no resistance to active mobilisation, which is necessary to achieve in patients [17]. We have no seen any secondary displacements with screw osteosynthesis despite early active mobilisation of the finger affected. Nevertheless our experience with Kw. is that they provide less stability, delaying then, early mobilization. For the treatment of long oblique fractures of the proximal phalanx, cadaveric studies have shown no significant differences in the biomechanical fracture stability between using 2 or 3 screws [18]. In our series, we most often used 2 (54.8%) screws, but sometimes 3 screws are necessary to stabilise the fracture, mainly in spiral line fractures. In distal and proximal intra-articular fractures that have single line we used habitually a single screw (Figure 3). In our experience, the more screws are used, the more stability is achieved. However, we found no differences in functional outcome according to the number of screws used in osteosynthesis. Also not influenced the functional outcome of patients the location of the fracture of the phalanx (condyle, shaft or base). Only the comminution of the fracture line, the quality of surgical technique, and the early postoperative mobilization influenced in final result.

As it is a percutaneous technique, it involves a certain difficulty in reducing the fracture itself and performing the osteosynthesis, above all in spiral line fractures, because the 3-dimensional orientation complexity. Nevertheless, we achieved percutaneous reduction and osteosynthesis in 93 (94.9%) of the 98 occasions in which we had planned to do so. Careful previous selection of fractures is essential, to avoid failure of the process and complications. This technique can be used to achieve percutaneously anatomical reduction of the articular surface in complex multifragmentary fractures with articular and metaphyseal-diaphyseal extension, combining it with other osteosynthesis like intramedullary Kw. or orthopaedic methods to treat fully the fracture.

We have only seen complications attributable to the technique in 5 patients. In one of them, the fracture was insufficiently stable and when the patient suffered a trauma in the finger, it was displaced; this mobilised the fragments and a new intervention using plate and screw osteosynthesis was necessary, with good final results. The other 4 patients had complications because there was inadequate anatomical articular reduction. However, the results might have been the same or worse if we had tried open reduction, because of the comminution of bone fragments.

Two other patients, already mentioned in the results, had complications due to an incorrect follow-up or lack of cooperation, despite having insisted on patient selection.

Summarizing, the results of this method exceed those published with treatment by means of osteosynthesis with plate and screws [1,2,9,12,13], or conservative treatment [1,2,6], having less incidence of unsatisfactory complications [15,16,19].

Conflict of Interest


There is no conflict of interest and the paper has not been submitted elsewhere.

References


  1. Stern PJ (2005) Fractures of the metacarpals and phalanges. In: Green DP, Hotchkiss RN, Pederson WC, Wolfe SW, Green's Operative Hand Surgery. (5th edn), Elsevier Churchill Livingstone, Philadelphia, 1: 286-294.

  2. Pun WK, Chow SP, So YC, Luk KD, Ip FK, et al. (1989) A prospective study on 284 digital fractures of the hand. J Hand Surg Am 14: 474-481.

  3. Packer GJ, Shaheen MA (1993) Patterns of hand fractures and dislocations in a district general hospital. J Hand Surg Br 18: 511-514.

  4. Hove LM (1993) Fractures of the hand: Distribution and relative incidence. Scand J Plast Reconstr Surg Hand Surg 27: 317-319.

  5. Klein DM, Belsone RJ (2000) Percutaneous Treatment of Carpal, metacarpal and Phalangeal injuries. Clin Orthop Relat Res 375: 116-125.

  6. Barton N (1989) Conservative treatment of articular fractures in the hand. J Hand Surg Am 14: 386-390.

  7. Barton NJ (1984) Fractures of the hand. J Bone Joint Surg Br 66: 159-167.

  8. Dubert T, Valenti P, Dinh A, Osman N (2002) Le Systeme VB. Un noveaumatérield´ostéosynthesemodulaire á la foisvis et broche. Chir Main 21: 23-27.

  9. Bosscha K, Snellen JP (1993) Internal fixation of metacarpal and phalangeal fractures with AO mini fragment screws and plates: a prospective study. Injury 24: 166-168.

  10. Freeland AE, Orbay JL (2006) Extraarticular hand fractures in adults: a review of new developments. Clin Orthop Relat Res 445: 133-145.

  11. Lee JY, Teoh LC (2006) Dorsal fracture dislocations of the proximal interphalangeal joint treated by open reduction and interfragmentary screw fixation: indication approaches and results. J Hand Surg Br 31: 138-146.

  12. Chen SH, Wei FC, Chen HC, Chuang CC, Noordhoff S (1994) Miniature plates and screws in acute complex hand injury. J Trauma 37: 237-242.

  13. Pun WK, Chow SP, So YC, Luk KD, Ngai WK, et al. (1991) Unstable phalangeal fractures: treatment by A.O. screw and plate fixation. J Hand Surg Am 16: 113-117.

  14. Freeland A (2000) Outcome Measurements. Hand fractures. Repair, Reconstruction and Rehabilitation. Churchill Livingstone, Philadelphia, 12-13.

  15. Balaram AK, Bednar MS (2010) Complications after the fractures of metacarpal and phalanges. Hand Clin 26: 169-177.

  16. Gajendran VK, Gajendran VK, Malone KJ (2015) Management of Complications with Hand Fractures. Hand Clin 3: 165-177.

  17. Sirota MA, Parks BG, Higgins JP, Means KR Jr (2013) Stability of fixation of proximal phalanx unicondylar fractures of the hand: a biomechanical cadaver study. J Hand Surg Am 38: 77-81.

  18. Zelken JA, Hayes AG, Parks BG, Means KR Jr (2015) Two versus 3 lag screws for fixation of long oblique proximal phalanx fractures of the fingers: a cadaver study. J Hand Surg Am 40: 1124-1129.

  19. Page SM, Stern PJ (1998) Complications and range of motion following plate fixation of metacarpal and phalangeal fractures. J Hand Surg Am 23: 827-832.