CASE REPORT | VOLUME 5, ISSUE 1 | OPEN ACCESS DOI: 10.23937/2378-3397/1410061

Novel Description of Nash's Rectal Funnel for Drainage of Pelvic Collections Following Colorectal Surgery

O Pickering, A Leonard, A Clarke and GF Nash

Poole Hospital, Poole, Dorset, United Kingdom

*Corresponding author: GF Nash, Poole Hospital, Poole, Dorset, BH15 2JB, United Kingdom, E-mail: guyfnash@gmail.com

Received: December 22, 2017 | Accepted: January 10, 2018 | Published: January 12, 2018

Citation: Pickering O, Leonard A, Clarke A, Nash GF (2018) Novel Description of Nash's Rectal Funnel for Drainage of Pelvic Collections Following Colorectal Surgery. Int J Surg Res Pract 5:061. doi.org/10.23937/2378-3397/1410061

Copyright: © 2018 Pickering O, et al. This is an open-access article distributed under the terms of the Creative Commons Attribution License, which permits unrestricted use, distribution, and reproduction in any medium, provided the original author and source are credited.

Background


The use of a Foley catheter or anal stent for the drainage of pelvic collections following colorectal surgery has previously been described [1,2]. The novel technique of using the Nash rectal funnel in patient with a presacral collection following Hartman's procedure is first presented here.

Case Study


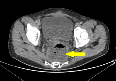
A 50-year-old gentleman whilst undergoing neoadjuvant chemotherapy for rectal cancer underwent an emergency Hartman's procedure for a stercoral perforated rectosigmoid colon. One week post-operatively the patient became persistently pyrexial with rising inflammatory markers, two days after the withdrawal of an abdominal 20 F drain. A CT abdomen and pelvis with contrast showed a 6 × 7.5 × 6 cm presacral fluid collection (Figure 1).

Figure 1: Axial CT image of gas containing presacral collection (arrowed) shown located behind the bladder. View Figure 1

The patient underwent an examination under anaesthetic and attempted drainage of the presacral collection via the blown rectal stump with a large Foley catheter, this unsuccessfully drained sepsis. The Nash rectal funnel (Figure 2) was then inserted under local anaesthetic with impressive initial drainage of the collection, with 50 ml of pus was drained instantly. The rectal stump remaining was only 4 cm and the barrel of the funnel is 4 cm. It is made of soft silastic so the barrel is squeezed by the anus with the flanges at each end preventing dislodgement.

Figure 2: The Nash rectal funnel. View Figure 2

Drainage continued steadily for a further 4 days after which the inflammatory markers had reduced and the rectal funnel was removed. Repeat imaging confirmed successful resolution of the presacral collection (Figure 3). This avoided further need for surgery.

Figure 3: MRI of coronal T2 image of the rectal stent in situ (arrowed). View Figure 3

Technique for Use


The Nash rectal funnel is a soft silastic hollow apparatus which can easily be inserted through the anus to open the blown rectal cross-staples after instillation of local anaesthetic jelly (Instillagel). It is introduced on the ward with the patient in the lateral position. The wider flange is folded over your finger and introduced without discomfort. The rectal funnel can be left in situ until the collection is drained with minimal discomfort to the patient. MR imaging can be used to confirm completion of drainage, after which the rectal funnel can be removed with ease on the ward, but simply pulling on the outer flange.

Discussion


Foley catheters are well established as a tool for collection drainage but due to their narrow lumen can become blocked [2]. The rectal funnel was inspired by Bill Heald's anal stent which originally was designed to protect low rectal anastomoses. It provides an alternative method to the drainage of pelvic collections associated with colorectal surgery, as seen in the above case study. The shorter and wider design of the rectal funnel allows for easier drainage of thicker collection fluid and it avoids both the limitation of mobility that can be caused by a catheter bag and suturing of the catheter to the perineal skin. In theory, Oxygen may pass via the funnel into the pelvic collection to kill the anaerobic bacteria usually associated with such collections. The funnel can be left in place if the collection is slow to drain and if comfortable patients may even go home with it in place.

We have found if to be a cheap, easy and useful; if you have a similar case you can contact us to try the Nash rectal funnel.

Conflicts of Interest


No conflicts of interest to declare.

References


  1. Brent A, Armstrong T, Nash GF, Heald RJ (2007) Therapeutic use of the Heald silastic anal stent. Colorectal Dis 9: 279-280.

  2. EJ Cook, BJ Moran, RJ Heald, GF Nash (2012) Pelvic collection drainage by Heald anal stent. Ann R Coll Surg Engl 94: 361.