Poland's syndrome, Pectoralis muscle aplasia, CT
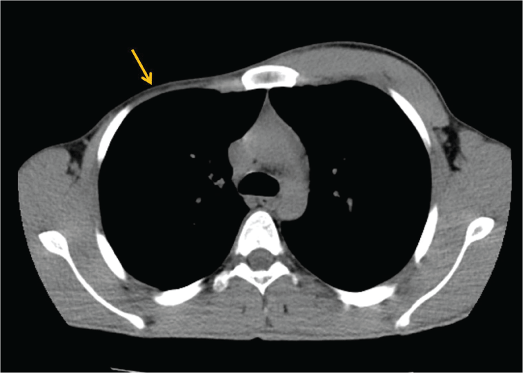
A 20-year-old male patient was admitted to our department due to asymmetrical appearance of the right chest wall. On physical examination, it was seen that right chest wall was asymmetrical and there was right nipple hypoplasia and syndactyly between third and fourth fingers in the right hand. Chest computed tomography (CT) demonstrated the absence of right pectoralis major muscle (Figure 1). No bone anomalies were found.
Poland's syndrome (PS) is a congenital unilateral aplasia of the pectoralis major muscle, with ipsilateral thoracic and upper limb anomalies [1]. The etiology of PS is unknown. Disruption of the normal development of the subclavian artery, defective migration of fetal mesodermal tissue and intrauterine insults have been suggested as possible causes. In most cases, PS is sporadic [2]. The clinical features are variable. The sendrome classically consisting of the combination of unilateral aplasia of the sternocostal head of the major pectoral muscle and an ipsilateral hypoplastic hand with simple syndactyly and short fingers. It may also include mammary hypoplasia and further muscle and bone abnormalities [3,4]. Severe disconfiguration affecting the thoracic cavity and upper extremity may be detected at birth and may require constructive surgery. Minor forms only cause asymmetry of the thoracic wall and the breasts [4]. If absence of pectoralis major muscle is seen on chest X-ray or CT, PS should be considered.
None.
None.
 
												Figure 1: Axial chest CT image demonstrates the absence of right pectoralis major muscle (arrow).