IMAGE ARTICLE | VOLUME 4, ISSUE 2 | OPEN ACCESS DOI: 10.23937/2474-3682/1510084

Incidentally Diagnosed Asymptomatic Primary Hydatid Cyst of Brain

Gokhan CANAZ1 , BekirMahmut KILINC2, Nur TOPYALIN3, Zeynep AKMAN4, Izzet Durmusalioglu1, Ali Osman AKDEMIR2 and Gulbin GOKCAY5

1Department of Neurosurgery, Bakirkoy Research and Training Hospital for Neurology, Neurosurgery and Psychiatry, Istanbul, Turkey

2Department of Neurosurgery, Haseki Training and Research Hospital, Istanbul, Turkey

3Department of Neurosurgery, Van Yuzuncu Yil University, Van, Turkey

4Faculty of Medicine, Canakkale Onsekiz Mart University, Canakkale, Turkey

5Institute of Child Health, Istanbul University, Istanbul, Turkey

*Corresponding author: Gokhan CANAZ, Department of Neurosurgery, Bakirkoy Research and Training Hospital for Neurology, Neurosurgery and Psychiatry, 34147 Bakirkoy/Istanbul, Turkey, Tel: +90-212-409-15-15, E-mail: gokhancanaz@gmail.com

Received: February 17, 2018 | Accepted: March 28, 2018 | Published: March 30, 2018

Citation: CANAZ G, KILINC B, TOPYALIN N, AKMAN Z, Durmusalioglu I, et al. (2018) Incidentally Diagnosed Asymptomatic Primary Hydatid Cyst of Brain. Clin Med Img Lib 4:084. doi.org/10.23937/2474-3682/1510084

Copyright: © 2018 CANAZ G, et al. This is an open-access content distributed under the terms of the Creative Commons Attribution License, which permits unrestricted use, distribution, and reproduction in any medium, provided the original author and source are credited.

Abstract


Turkey is an endemic country to hydatid disease. The definite hosts of echinococcus are various carnivores, the common being the dog. Neurohydatosis is a rare presentation and primary cerebral involvement is even rarer. Intracranial cases become symptomatic depending on location, size and growth rate of the cyst. This is an interesting case of asymptomatic primary hydatid cyst diagnosed after a traffic accident.

Keywords


Hydatid cyst, Echinococcus, Neurohydatosis

Case Report


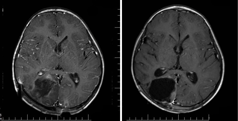
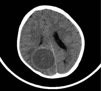
An 8-year-old boy who was living in countryside, was brought to ER because of vomiting due to head trauma. His neurological examination was normal. CT scan revealed a cystic lesion in right parieto-occipital region with approx. 5 cm diameter (Figure 1). By cranial MRI large cystic lesion with periferal enhancement was detected (Figure 2). Indirect hemagglutination was negative. Before surgery, 15 mg/kg/d albendazole treatment was administrated. Further examinations revealed no other involvement in body. Right parieto‑occipital craniotomy performed and lesion was totally excised. Post-operative recovery was uneventful. In pathological examination, fibrous wall was excised and smooth semi-transparent hydatid cyst was seen (Figure 3). Albendazole treatment was continued. Cranial MRI at the post-op 2nd month revealed no pathological findings (Figure 4).

Comments


Albendazole is the first choice in hydatid disease but the primary treatment of intracranial hydatid cysts is surgery [1]. Primary cerebral hydatid cyst rarely occurs in pediatric population. In endemic countries hydatid cyst presentations may be more various than usual [2]. Specific radiological features play an important role in diagnosis of cerebral hydatid cases [1,2].

Conflict of Interest


None.

Acknowledgements


The abstract of the manuscript was accepted as an "e-poster presentation" at: The 34th Annual Meeting of the European Society for Paediatric Infectious Diseases, ESPID 2016, Brighton/UK. 10-14 May 2016.

Figures