IMAGE ARTICLE | VOLUME 3, ISSUE 2 | OPEN ACCESS DOI: 10.23937/2474-3682/1510063

A Rare Cause of Ortner's Syndrome: Pulmonary Artery Aneurysm

Hasan Erdogan , Fatma Zeynep Arslan, Ali Cengiz, Serdar Arslan and Mehmet Sedat Durmaz

Department of Radiology, University of Health Sciences, Turkey

*Corresponding author: Hasan Erdogan, MD, Specialist, Department of Radiology, Konya Education and Research Hospital, University of Health Sciences, 42090, Meram, Konya, Turkey, Tel: +90-506-473-0225, E-mail: dr.hasanerdogan@gmail.com

Received: March 26, 2017 | Accepted: June 08, 2017 | Published: June 10, 2017

Citation: Erdogan H, Arslan FZ, Cengiz A, Arslan S, Durmaz MS (2017) A Rare Cause of Ortner's Syndrome: Pulmonary Artery Aneurysm. Clin Med Img Lib 3:063. doi.org/10.23937/2474-3682/1510063

Copyright: © 2017 Erdogan H, et al. This is an open-access content distributed under the terms of the Creative Commons Attribution License, which permits unrestricted use, distribution, and reproduction in any medium, provided the original author and source are credited.

Keywords


Ortner's syndrome, Cardiovocal syndrome, Pulmonary artery aneurysm

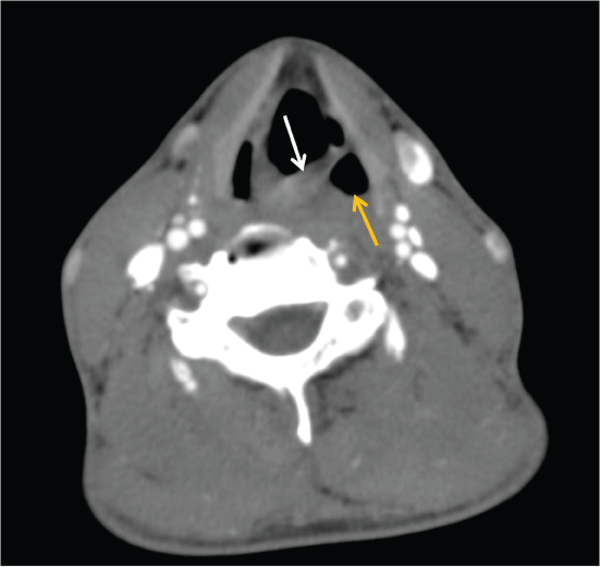
A 37-year-old non-smoker male patient with a 6-month history of hoarseness admitted to our hospital. Laryngoscopic examination revealed left vocal cord paralysis with immobile vocal cord in paramedian position. The patient underwent neck and chest CT imaging. Neck CT demonstrated thickening and medial deviation of the left vocal cord, dilatation of the left piriform sinüs suggesting left vocal cord palsy (Figure 1). Chest CT showed a fusiform aneurysmal dilatation of the proximal left pulmonary artery with 51 mm diameter (Figure 2). Left laryngeal nerve had been compressed between pulmonary artery aneurysm and arcus aorta.

Ortner's syndrome is mainly characterized by hoarseness secondary to recurrent laryngeal nerve palsy due to compression of enlarged cardiovascular structures. It is also referred as cardiovocal syndrome. The most common cause of Ortner's syndrome is left atrial enlargement due to mitral stenosis. Cardiac causes in addition to mitral stenosis that may lead to this problem, such as thoracic aortic aneurysm, congenital heart disease, primary pulmonary hypertension, aberrant subclavian artery syndrome, an enlarged pulmonary artery and iatrogenic reasons. CT is crucial for differential diagnosis of hoarseness and can provide high quality images of aneurysm and related thoracic structures. Echocardiographic evaluation may not satisfactory for definitive diagnosis. Elimination of compression over the nerve may reverse the hoarseness if the duration is not critically long and nerve is not irreversibly damaged. However, ischemia related nerve damages are not associated with good prognosis [1-4].

 


Figure 1: Neck CT image demonstrates thickening and medial deviation of the left vocal cord (white arrow) and dilatation of the left piriform sinus (yellow arrow) suggesting left vocal cord palsy.


Figure 2: Axial (a) Coronal; (b) Chest CT images show fusiform aneurysmal dilatation of the proximal left pulmonary artery (yellow arrow) with 51 mm diameter. Left laryngeal nerve had been compressed between pulmonary artery aneurysm and arcus aorta.

References


  1. Abdullah Çelik, Ahmet Karagöz, Erdal Seren, Sefer Usta, Asli Vural, et al. (2015) A rare cause of Ortner's syndrome: giant pulmonary artery aneurysm secondary to Behçet's disease. J Clin Exp Invest 6: 69-71.

  2. Day JR, Walesby RK (2001) A spontaneous ductal aneurysm presenting with left recurrent laryngeal nevre palsy. Ann Thorac Surg 72: 608-609.

  3. Serkan Duyuler, Pinar Türker Bayir, Ahmet Korkmaz, Yeşim Güray, Erdemli Özcan (2015) Hoarseness Secondary to Cardiovascular Disease: Cardiovocal Sydrome in a Patient With Pulmonary Artery Aneurysm and Giant Atria. ACU Saglik Bil Derg 6: 49-51.

  4. Subramaniam V, Herle A, Mohammed N, Thahir M (2011) Ortner's syndrome: case series and literature review. Braz J Otorhinolaryngol 77: 559-562.