IMAGE ARTICLE | VOLUME 2, ISSUE 2 | OPEN ACCESS DOI: 10.23937/2474-3682/1510032

The Real Risks of Nasogastric Tubes: "Nutrothorax" Complicating a Misplaced Nasogastric Feeding

Joaquín Valle Alonso1 , F Javier Fonseca del Pozo2, Miguel Angel Aguayo3 and Jorge Pedraza3

1Emergency Physician, Southport Hospital, UK

2Family physician, Prehospital Emergency Medicine Montoro, Spain

3Emergency physician, Hospital Valle de los Pedroches, Spain

*Corresponding author: Joaquin Valle Alonso, Emergency physician, Southport Hospital, Southport, Gordon Street 55, Southport, PR9 0LY, UK, Tel: 07725971698, E-mail: joa51274@hotmail.com

Published: February 29, 2016

Citation: Alonso JV, del Pozo FJF, Aguayo MA, Pedraza J (2016) The Real Risks of Nasogastric Tubes: "Nutrothorax" Complicating a Misplaced Nasogastric Feeding. Clin Med Img Lib 2:032. doi.org/10.23937/2474-3682/1510032

Copyright: © 2016 Alonso JV, et al. This is an open-access content distributed under the terms of the Creative Commons Attribution License, which permits unrestricted use, distribution, and reproduction in any medium, provided the original author and source are credited.

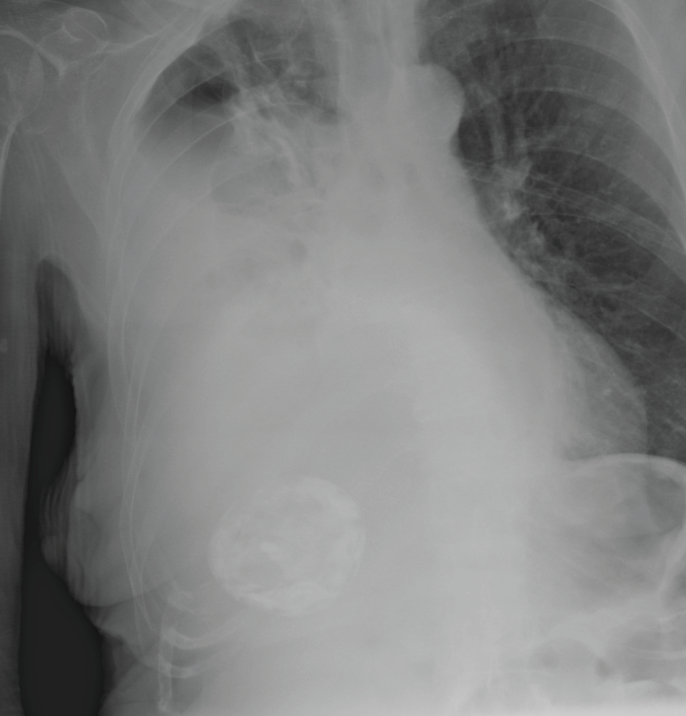
A 75-year-old female patient with past medical history of severe Alzheimer's disease, totally dependent with nasogastric tube feeding (NGT) presented to the emergency department with worsening dyspnea in the past 48 hours. Physical examination revealed on auscultation decreased air entry over the right lung and dullness to percussion. Two days before admission the patient had the NGT changed and a chest X-ray to corroborate position that was checked by one of the junior doctors and discharged to the nursing home. A thoracic bedside ultrasound demonstrated right pleural effusion. A chest radiograph revealed malposition of the NGT in the right pleural space and hydropneumothorax, the NGT was immediately removed without complications and thoracic drainage was inserted obtaining 1200 ml of enteral nutrition (Figure 1, Figure 2, Figure 3 and Figure 4). Her hospital course was satisfactory, and the patient was discharged 7 days later.


Diagnosis


Hydropneumothorax secondary to misplacement of a nasogastric feeding tube.


Discussion


Introduction of nasogastric feeding tubes is usually blindly performed and is considered a safe, easy, non-expensive procedure in awake patients [1]. The rate of complications of a blind insertion technique varies from 0.3 to 15% [1] and is usually related to inadvertent insertion of nasogastric tubes into the trachea and distal airways. Severe aspiration pneumonia, hydrothorax, hemothorax, empyema and delayed pneumothorax have been described as complications [2-5].

Physical examination hardly predicts malposition of the tube and the traditional bedside techniques of gastric aspiration and insufflation test lack specificity and sensitivity and often give false reassurance that the NGT is properly positioned, however, chest X-ray after insertion of feeding tube is considered a gold standard confirmatory test [6], which prevents additional complications, although in this case was misinterpreted. Plain radiography and chest CT are sufficient for a proper diagnosis of this serious complication, although sometimes laryngoscopy can be used to visualize the localization of the tube. Thoracic drainage is the technique of choice, nevertheless sometimes an isolated drainage is not sufficient and placement of additional chest tubes can be required or even performing a bronchoscopy to aspirate the feeding contents [7,8].

 

Figure 1: Nasogastric tube in the right hemithorax.

Figure 2: Hydropneumothorax clearly seen after removal of the nasogastric tube.

Figure 3: Resolution of hydropneumothorax after thoracentesis.

Figure 4: Enteral nutrition obtained after thoracentesis.

References


  1. Halloran O, Grecu B, Sinha A (2011) Methods and complications of nasoenteral intubation. JPEN J Parenter Enteral Nutr 35: 61-66.

  2. Torrington KG, Bowman MA (1981) Fatal hydrothorax and empyema complicating a malpositioned nasogastric tube. Chest 79: 240-242.

  3. Miller KS, Tomlinson JR, Sahn SA (1985) Pleuropulmonary complications of enteral tube feedings. Two reports, review of the literature, and recommendations. Chest 88: 230-233.

  4. Sabga E, Dick A, Lertzman M, Tenenbein M (1997) Direct administration of charcoal into the lung and pleural cavity. Ann Emerg Med 30: 695-697.

  5. Kawati R, Rubertsson S (2005) Malpositioning of fine bore feeding tube: a serious complication. Acta Anaesthesiol Scand 49: 58-61.

  6. Pillai JB, Vegas A, Brister S (2005) Thoracic complications of nasogastric tube: review of safe practice.Interactive Cardiovascular and Thoracic Surgery 4: 429-433.

  7. Durai R, Venkatraman R, Ng PC (2009) Nasogastric tubes. 1: Insertion technique and confirming the correct position. Nurs Times 105: 12-13.

  8. Yardley IE, Donaldson LJ (2010) Patient safety matters: reducing the risks of nasogastric tubes. Clin Med (Lond) 10: 228-230.